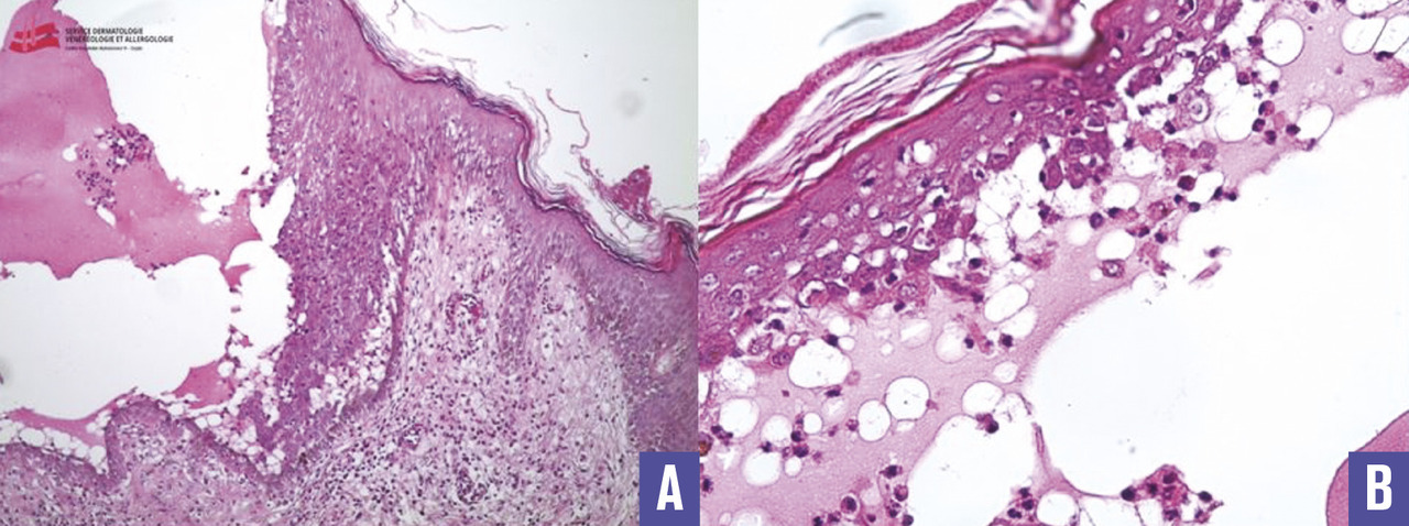
Cette patiente de 39 ans consultait pour de multiples lésions, évoluant depuis six mois, ulcéro-bourgeonnantes, entourées d’une collerette épithéliale avec quelques bulles tendues, à base non érythémateuse, dont quelques-unes disposées en rosette, à périphérie surélevée pustuleuse, siégeant au niveau du pubis et des plis axillaires. On notait également de multiples lésions pustuleuses non folliculaires des creux axillaires, des régions scapulaire et pubiennes (fig. 1). L’examen des muqueuses et des phanères révélait respectivement une chéilite érosive, avec des érosions endojugales, et une paronychie péri-unguéale. La biopsie cutanée était en faveur d’un pemphigus profond végétant et le bilan immunologique a objectivé des anticorps anti-desmogléine 1 et 3 positifs (fig. 2). La clinique et les examens paracliniques ont permis de poser le diagnostic de pemphigus végétant de type Hallopeau. La patiente a reçu une corticothérapie orale à raison de 1 mg/kg/j et est décédée avant que le traitement par rituximab puisse débuter.

Le pemphigus végétant de type Hallopeau est une dermatose bulleuse auto-­immune rare, caractérisée par des pustu­les et/ou des végétations papillomateuses ­affectant préférentiellement les plis. Son diagnostic repose sur la clinique, l’histologie et l’examen immuno-enzymatique (ELISA). La mortalité de cette maladie atteint environ 5 à 15 % par an. Le traitement repose sur les corticostéroïdes systémiques et les immunosuppresseurs.1, 2

Références

1. Ghanshyam K, Tegta GR, Sharma A, Kaur M, Sharma S. A rare case of extensive pemphigus v egetans. Indian Dermatol Online J 2020;11:87-90.
2. Cuellar I, Mejia M, Castellanos-Angarita A, Casas-Barrera MA. Hallopeau type of pemphigus vegetans, an unusual clinical presentation of an infrequent disease. Dermatol Online J 2020;26:13030/qt91q8q1f1.

Une question, un commentaire ?