objectif
DIAGNOSTIQUER une pathologie infectieuse, lithiasique, immunologique et tumorale des glandes salivaires.
On distingue les pathologies infectieuses (non lithiasiques), lithiasiques, immunologiques (et endocriniennes) et les pathologies tumorales. Les sialadénites (inflammation des glandes salivaires) regroupent les pathologies infectieuses et lithiasiques (habituellement aiguës), les sialadénoses représentent les patho­logies chroniques.

Rappels anatomiques

Les glandes salivaires sont des annexes de la cavité orale composées de parenchyme glandulaire sécréteur et de leurs canaux excréteurs.

Les glandes salivaires principales

Elles sont bilatérales et symétriques, et forment un collier salivaire. Elles produisent une sécrétion prandiale (fig. 1A et 1B).

La parotide

La parotide est la plus volumineuse des glandes salivaires ; elle est située en arrière du ramus de la mandibule et en avant du tragus. Elle est bilobée et englobe le nerf facial.
Son canal excréteur, le conduit parotidien, vient s’aboucher en regard de la 2e molaire supérieure. Elle sécrète une salive séreuse.

La glande submandibulaire

Elle est située à la face médiale de la branche horizontale de la mandibule. Son canal excréteur, le conduit submandibulaire, chemine dans le plancher buccal et vient s’aboucher de part et d’autre du frein de la langue. Elle sécrète une salive séromuqueuse.

La glande sublinguale

C’est la plus petite des glandes salivaires principales ; elle est située sous la muqueuse du plancher buccal. Elle se draine par une multitude de petits canaux excréteurs, s’abouchant directement dans la cavité buccale, et par un canal principal dans la partie terminale du conduit submandibulaire, ou sinon directement à la muqueuse. Elle sécrète une salive muqueuse, donc épaisse.

Les glandes salivaires accessoires

On en compte plus de 700, disisséminées dans l’ensemble de la muqueuse buccale. Elles sécrètent en continu une salive muqueuse.

Pathologies infectieuses (ou sialadénites infectieuses)

Virale

La sialadénite ourlienne (virus des oreillons) est une infection à paramyxovirus à l’origine de parotidites aiguës de l’enfant, elle est devenue rare grâce à la vaccination. Le diagnostic est clinique. Les symptômes sont souvent bilatéraux mais asymétriques ; de multiples tissus peuvent être touchés (pancréas, testicule, nerf vestibulaire [VIII]...). Sur le plan clinique, la phase d’invasion, de courte durée, est marquée par une fièvre, des malaises, des otalgies, des douleurs à la palpation parotidienne. Une notion de contage dans les 3 semaines précédentes est à rechercher. La phase d’état dure une semaine environ et se manifeste par une fièvre, principalement accompagnée de céphalées, de dysphagie et d’odynophagie. L’inspection exobuccale retrouve une tuméfaction parotidienne initialement unilatérale puis bilatérale. L’inspection endobuccale retrouve une rougeur à l’ostium du conduit parotidien. L’évolution est spontanément favorable dans la majorité des cas. Les oreillons confèrent une immunité à vie. La prévention est fondée sur la vaccination : vaccin rougeole, oreillons, rubéole (ROR) à 12 mois, puis entre 16 et 18 mois.
D’autres virus peuvent être responsables de parotidite.

Bactériennes

Proportionnellement plus fréquentes à la parotide.

Infection à germes pyogènes de l’adulte

Infection aiguë liée à une baisse du flux salivaire, elle touche préférentiellement la parotide du patient âgé ou en réanimation (déshydratation). Le point de départ est intracanalaire ; il évolue vers la formation d’une collection purulente pouvant s’étendre au reste de la glande (fig. 2). Les germes en cause sont principalement le staphylocoque doré et le streptocoque du groupe A. Cliniquement, on retrouve un patient fébrile avec une glande inflammatoire et du pus à l’ostium (spontané ou après pression glandulaire) qui sera prélevé pour examen bactériologique. Le diagnostic différentiel est la sialadénite lithiasique, lithiase qui doit être recherchée par un scanner ou une échographie. Le traitement consiste en une antibiothérapie adaptée : pénicilline + acide clavulanique ou céphalosporine ou vancomycine + métronidazole. Une réhydratation et des soins de bouche associés sont nécessaires pour parvenir à une amélioration locale rapide en 24-48 heures en moyenne.

Parotidite récidivante juvénile (enfant)

Elle se manifeste par des épisodes de parotidite à répétition. Le diagnostic est posé à partir de trois épisodes. La clinique est similaire à celle des oreillons. La récidive signe le diagnostic car les oreillons ne récidivent pas. On retrouve une tuméfaction paro­tidienne uni- ou bilatérale inflammatoire, douloureuse, associée à du pus à l’ostium et des adénopathies cervicales. L’étiologie n’est pas connue (conduit parotidien trop étroit ?). Elle peut conduire à des séquelles fonctionnelles glandulaires.

Sialadénite tuberculeuse

Les glandes salivaires sont très rarement touchées par la tuberculose. La contamination salivaire par le bacille de Koch se fait surtout par contiguïté avec un ganglion para- ou intraglandulaire. La sialadénite tuberculeuse est essentiellement rencontrée dans les pays en voie de développement. La symptomatologie est atypique, parfois trompeuse, faisant évoquer une lésion tumorale. L’imagerie retrouve le plus souvent de multiples kystes non caractéristiques. Seul l’examen anatomopathologique permet d’affirmer le diagnostic par la découverte de granulomes gigantocellulaires avec nécrose caséeuse.

Pathologies (ou sialadénites) lithiasiques

La lithiase salivaire se définit comme la présence d’un ou plusieurs calcul(s) (cristaux de calcium) dans le conduit excréteur d’une glande salivaire. Toutes les glandes salivaires peuvent être touchées par une lithiase salivaire, avec une nette prédominance pour la glande submandibulaire (85 % des cas).
Les facteurs de risque sont le sexe masculin, le tabac et les antécédents personnels ou familiaux de lithiase. Elle peut être observée à tout âge mais préférentiellement après 30 ans.

Circonstances de découverte


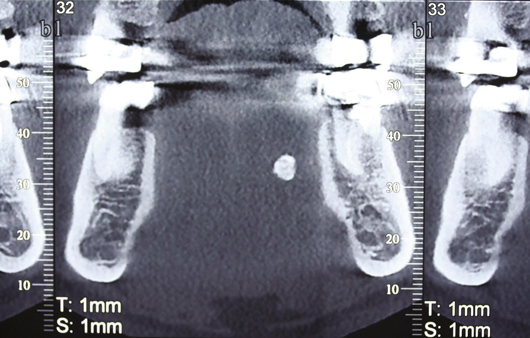
Lithiase submandibulaire

Découverte fortuite à l’occasion d’un examen radiologique comme un panoramique dentaire
L’examen clinique avec palpation bidigitale (ou bimanuelle) permettra alors de retrouver le calcul dans le conduit submandibulaire (fig. 3 et 4).
Découverte à l’occasion d’une complication mécanique, rythmée par les repas
Souvent le premier signe de lithiases :
  • hernie salivaire : gonflement de la loge submandibulaire au moment du repas lié à un blocage partiel et temporaire de l’écoulement salivaire (fig. 5 et 6) ;
  • colique salivaire : douleur associée à la hernie salivaire.
Complications infectieuses
Elles surviennent généralement après les complications mécaniques, mais peuvent parfois être inaugurales. Elles se situent dans le canal (sialodochite), autour du canal (périsialodochite) ou en amont du canal (sialadénite) :
  • sialodochite : elle se caractérise par une fièvre élevée, une douleur vive et aiguë, irradiant à l’oreille, associée à une dysphagie voire une hypersialorrhée. On retrouve du pus à l’ostium (fig. 7) ;
  • périsialodochite : diffusion de l’infection au plancher buccal péricanalaire, responsable d’un véritable abcès du plancher buccal. Elle associe une tuméfaction du plancher douloureuse, un trismus, une otalgie et des douleurs à la déglutition. La présence de pus à l’ostium n’est pas systématique ;
  • sialadénite : infection de la glande, stricto sensu, elle se fait en amont du canal. Elle est synonyme de submandibulite aiguë. La peau en regard est chaude et érythémateuse, associée à une otalgie, une dysphagie et une fièvre modérée.
Ces complications infectieuses peuvent évoluer vers la fistulisation ou la cellulite cervicofaciale avec risque d’asphyxie et de choc septique.

Lithiase parotidienne

Moins fréquente que la lithiase submandibulaire, la lithiase parotidienne se manifeste plus souvent par des complications infectieuses. Les complications infectieuses sont les mêmes qu’à la submandibulaire. La sialodochite se manifeste par une inflammation du conduit parotidien au niveau de la joue et une issue de pus à l’ostium en regard de la 2e molaire maxillaire. La périsialodochite correspond à un abcès jugal. La sialadénite (ou parotidite) associe une tuméfaction de la loge parotidienne à un érythème cutané et des douleurs.
Les complications mécaniques, hernie et colique salivaires, se manifestent ici au niveau de la loge parotidienne, en avant et en dessous de l’oreille.

Examen physique

L’inspection exobuccale recherche un gonflement de la glande. L’inspection endobuccale recherche une crête salivaire inflammatoire, une issue de salive ou de pus à l’ostium.
La palpation de la glande confirme le gonflement, alors que la palpation bidigitale de la glande et du conduit pratiquée d’arrière en avant (pour éviter de repousser un calcul vers le hile) recherche un calcul.

Paraclinique

Les examens complémentaires permettent d’objectiver le calcul, aussi bien pour les lithiases submandibulaires que parotidiennes.

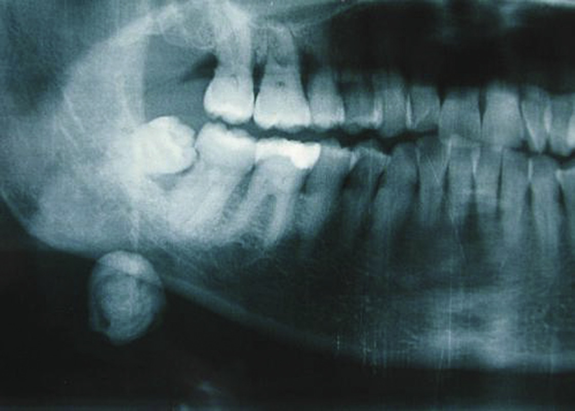
Le panoramique dentaire

Il retrouve une image ovalaire radio-opaque le plus souvent en regard de l’encoche pré-angulaire de la mandibule. Il permet d’éliminer un potentiel diagnostic différentiel non lithiasique, principalement dentaire (fig. 8). C’est un examen de débrouillage qui reste systématique, notamment pour éliminer une autre pathologie, dentaire, par exemple.

L’échographie

C’est un examen simple mais opérateur-dépendant présentant de nombreux faux négatifs et sans valeur localisatrice pour le chirurgien. Elle permet de diagnostiquer les calculs de plus de 2 mm, s’ils ne sont pas trop antérieurs. On retrouve une image hyperéchogène avec un cône d’ombre postérieur. Elle est souvent prescrite en première intention par le médecin généraliste car elle est non irradiante et peu coûteuse, mais sa valeur diag­nostique relative lui fait souvent préférer le scanner, surtout si un geste chirurgical va être envisagé.

Le scanner

C’est un examen clé, de grande sensibilité et valeur localisatrice. C’est l’examen de choix. Il est le plus souvent effectué sans injection de produit de contraste. L’injection ne sera nécessaire qu’en cas de suspicion d’infection ou de tumeur (fig. 9).

Le cone beam

Cette tomographie volumique par faisceau conique est une technique de tomodensitométrie permettant de produire une radiographie numérisée. Cet examen peut remplacer le scanner car il est moins irradiant, moins coûteux, et présente moins d’artéfacts dentaires ; en revanche, il n’est pas pris en charge par l’Assurance maladie dans cette indication et montre mal les tissus mous (fig. 10).

La sialendoscopie

Elle est réalisée sous anesthésie locale ou générale. Elle permet de visualiser mais aussi d’extraire la lithiase (fig. 11).

L’imagerie par résonance magnétique (IRM)

Elle se discute chez l’enfant car elle est moins irradiante que le scanner, mais reste moins sensible. Elle reste coûteuse et peu prescrite pour les lithiases.

Pathologies immunologiques, ou sialadénoses

Les sialadénoses se caractérisent par des atteintes salivaires chroniques non tumorales, non infectieuses, non lithiasiques. Elles touchent surtout les parotides.

Pathologies immunologiques

Les pathologies immunologiques des glandes salivaires peu­vent être responsables d’augmentation de volume des glandes ou d’hyposialie.

Syndrome de Gougerot-Sjögren

Pathologie inflammatoire auto-immune caractérisée par une atteinte de l’ensemble du système glandulaire exocrine comprenant par exemple les glandes lacrymales, salivaires, les muqueuses du tube digestif, génitales, ainsi que de l’arbre respiratoire. L’inflammation et l’infiltration lymphoïde du parenchyme glandulaire entraînent un syndrome sec. Elle touche principalement les femmes et débute entre 40 et 60 ans. Le syndrome de Gougerot-Sjögren peut être isolé, il est dit primitif, ou être associé à une autre maladie systémique (lupus, polyarthrite, sclérodermie…) ; il est alors dit secondaire.
Sur le plan clinique, le syndrome sec se traduit par :
  • la xérostomie, qui est le motif le plus fréquent de consultation. Les signes cliniques sont une muqueuse sèche et collante, une absence de lac salivaire au plancher buccal et une absence d’écoulement salivaire aux ostia à la palpation glandulaire. Une chéilite, une atrophie papillaire ou encore des caries aux collets des dents sont des signes indirects ;
  • la xérophtalmie majorée en fin de journée peut être à l’origine d’une kératoconjonctivite pouvant se compliquer d’ulcère de cornée.
Les examens paracliniques permettent de confirmer le diag­nostic :
  • le test au sucre caractérisé par un sucre intrabuccal non dissout en 3 minutes ;
  • le test à la fluorescéine montre une diminution du temps de rupture du film lacrymal (break up time [BUT test] < à 10 secondes) et donc un défaut qualitatif du film lacrymal ;
  • le test de Schirmer met en évidence un défaut quantitatif de sécrétions lacrymales. Une bandelette graduée placée dans le cul-de-sac conjonctival inférieur pendant 5 minutes reste sèche ou peu imbibée (< 5 mm) ;
  • la biopsie des glandes salivaires accessoires sous anesthésie locale est un examen clé. Elle comprend au moins 4 glandes salivaires pour être interprétable.
Elle retrouve un infiltrat inflammatoire lymphoplasmocytaire asso­cié à une atrophie glandulaire et canalaire. L’examen anatomo­pathologique permet de définir le stade d’atteinte selon la classification de Chisholm, qui comporte 5 stades. Les stades évocateurs sont surtout les stades 4 et 5 où les foyers présentant des amas de plus de 50 cellules lymphocytaires agglomérées sont supérieurs ou égaux à 1 tous les 4 mm2.
Le diagnostic du syndrome de Gougerot-Sjögren est posé si 4 des 6 critères diagnostiques sont présents avec au moins les critères 5 ou 6 (tableau 1).

Sarcoïdose

Maladie granulomateuse systémique chronique principalement pulmonaire et ganglionnaire d’étiologie inconnue. Sur le plan salivaire, le syndrome de Heerfordt associe une hypertrophie parotidienne, une uvéite et une paralysie faciale ainsi que de la fièvre.

Atteinte parotidienne du VIH

Des tuméfactions salivaires principalement parodiennes peu­vent survenir à toutes les phases de la maladie. L’imagerie peut faire le diagnostic d’hyperplasie adénoïde kystique caractérisée par un parenchyme mité de nombreuses cavités (images pseudo­kystiques) formées à partir d’adénopathies nécrosées. Cette affection bénigne peut avoir un retentissement esthétique.
Au cours d’une infection par le virus de l’immunodéficience humaine (VIH), la parotide peut également être le siège d’un lymphome.

Sialadénoses nutritionnelles

Elles se caractérisent par une parotidomégalie bilatérale pouvant atteindre l’ensemble des glandes salivaires.
Elles peuvent être retrouvées chez les grands mangeurs d’amidon (pain, pomme de terre), les patients éthyliques chroniques, les anorexiques-boulimiques, ou encore les patients diabétiques.

Pathologies tumorales (tableau 2)

Épidémiologie et anatomopathologie

La glande le plus souvent touchée est la glande parotide (85 % des tumeurs salivaires +++). Il y a de nombreux types histologiques. Dans plus de 95 % des cas, ces tumeurs sont épithéliales :
  • 66 % sont des tumeurs bénignes, dont 50 % sont des adénomes pléomorphes (anciennes tumeurs mixtes), les autres étant le plus souvent des cystadénolymphomes papillaires (CALP) ;
  • 14 % sont des tumeurs à malignité intermédiaire : tumeurs muco-épidermoïdes et tumeurs à cellules acineuses… ;
  • 20 % sont des tumeurs malignes : adénocarcinome, carcinome adénoïde kystique…

Tumeurs de la glande parotide

Les tumeurs de la glande parotide sont dominées par l’adénome pléomorphe.

Clinique

Tuméfaction isolée pré- ou infra-auriculaire qui peut soulever le lobule de l’oreille et grossit lentement.
Examen exobuccal
Analyse de la tuméfaction parotidienne : siège, forme, taille, consistance, mobilité par rapport aux plans profonds ostéo­musculaires et superficiels cutanés. Ces données sont consignées sur un schéma daté.
Examen endobuccal
Analyse du conduit parotidien (ou canal de Sténon) et de son ostium (en regard du collet de la 2e molaire supérieure), de la salive qui s’en écoule ; celle-ci doit être claire et de débit normal (par comparaison avec le côté opposé).
Analyse du prolongement pharyngien de la glande parotide, qui refoule la loge amygdalienne lorsqu’il est hypertrophié.

Signes d’évolution

En cas de tumeur bénigne, l’évolution est progressive sur plusieurs années, la tuméfaction atteignant parfois un volume con­sidérable, sans perte des caractères de bénignité.
En cas de tumeur maligne, l’évolution peut dans 50 % des cas être d’allure bénigne. L’évolution peut également être d’allure rapide, accompagnée de signes de gravité : douleurs, paralysie faciale (fig. 8), trismus, adénopathie satellite.

Paraclinique

Le panoramique dentaire est utile pour éliminer une autre patho­­logie (dentaire ou lithiasique) et vérifier l’état dentaire si une radio­thérapie complémentaire était prescrite.
L’échographie est un examen de débrouillage ; elle précise la topographie intra- ou extraglandulaire.
L’IRM est l’examen de référence. Elle permet de mettre en évidence des tumeurs de petite taille, d’affirmer la nature paro­tidienne de la masse et parfois de localiser le nerf facial par rapport à la tumeur. Elle offre en outre une orientation diagnostique (séquences de perfusion-diffusion) :
  • adénome pléomorphe : hypersignal T2, polylobé, unifocal ;
  • cystadénolymphome : kystique, multifocal, régulier ;
  • tumeur maligne (carcinome adénoïde kystique) : masse infiltrante à limites irrégulières.

Histologie

La confirmation histologique étant la règle, toute tumeur parotidienne nécessite une exérèse chirurgicale passant à distance de la tumeur avec examen histologique extemporané (parotidectomie). La parotidectomie exploratrice avec examen histologique extemporané est le seul examen déterminant pour le diagnostic étiologique d’une tuméfaction parotidienne. Elle permet d’effectuer dans le même temps le geste thérapeutique pour les tumeurs bénignes. Avant cette parotidectomie exploratrice, la cytoponction à l’aiguille fine peut orienter le diagnostic. Elle n’a de valeur que positive (fig. 12).

Traitement (hors programme)

Tumeur bénigne
Exérèse tumorale extracapsulaire, parotidectomie superficielle ou totale, selon la taille et la localisation tumorale par rapport au nerf facial.
Tumeur maligne
Parotidectomie totale ± évidement ganglionnaire. Le sacrifice du nerf facial est très rarement indiqué. La radiothérapie peut être utilisée comme traitement complémentaire en fonction des cas.
Complications des parotidectomies
Paralysie faciale : fréquente (20 %), elle régresse toujours si le nerf facial a bien été respecté.
Syndrome de Frey : fréquent (15 %), d’apparition tardive (supé­­rieure à trois mois). Rougeur et sudation perpandiales de la région massétérine liées à la repousse aberrante des fibres parasympathiques. Le traitement se fait par des injections répétées de toxine botulique.

Tumeurs de la glande submandibulaire

Elles sont de faible fréquence, mais à plus fort risque de malignité.
La clinique est marquée par l’apparition progressive d’une masse indolente, ferme, en dedans de la moitié postérieure de la branche horizontale de la mandibule. La démarche diagnostique et thérapeutique est superposable à celle des tumeurs parotidiennes.
Le panoramique dentaire permet surtout d’éliminer une pathologie dentaire.
L’IRM reste l’examen de référence. Ici aussi, l’exérèse chirurgicale est la règle. Elle permet d’obtenir le diagnostic histologique extemporanément.

Tumeurs de la glande sublinguale

La « grenouillette », ou ranula, est un faux kyste mucoïde (absence de paroi vraie), secondaire à l’obstruction d’un canal excréteur de la glande sublinguale. La grenouillette se manifeste par une tuméfaction bleutée et ovoïde du plancher buccal. La palpation montre une tuméfaction rénitente à contenu liquidien, indolore et isolée. L’évolution se fait par poussées qui sont entrecoupées d’épisodes de fistulisation buccale (écoulement de liquide filant évoquant du blanc d’œuf). La paraclinique est inutile. Le traitement est chirurgical. Il se fait par voie buccale, avec l’exérèse de la grenouillette dans sa totalité mais également exérèse de la glande sublinguale qui lui a donné naissance (fig. 13).

Tumeurs des glandes salivaires accessoires

Les tumeurs des glandes salivaires accessoires représentent 10 % des tumeurs salivaires et sont essentiellement palatines. Elles sont majoritairement représentées par des adénomes pléomorphes et par des lésions malignes, carcinome adénoïde kystique notamment. •
Points forts
Pathologie des glandes salivaires

POINTS FORTS À RETENIR

Pathologies lithiasiques : l’examen doit être bilatéral, comparatif, bidigital et de l’arrière vers l’avant. Il doit rechercher la présence d’une lithiase palpable, qui signe le diagnostic. En cas de complication infectieuse grave, un traitement en urgence est nécessaire.

Pathologies infectieuses : la forme pyogène de l’adulte est souvent déclenchée par une cause générale.

Pathologies inflammatoires : elles nécessitent une prise en charge pluridisciplinaire. Une destruction du parenchyme salivaire et donc d’un défaut de production de salive. La conséquence est majeure pour le patient, qui se retrouve avec un manque de salive.

Pathologie tumorale : elle est dominée par l’adénome pléomorphe parotidien. L’IRM est l’examen clé.

Encadre

Sialadénites, tumeurs et sialadénoses

Elles représentent l’essentiel des pathologies salivaires.

Il faut retenir la lithiase qui prédomine sur la glande submandibulaire et se manifeste par des gonflements perprandiaux.

Les tumeurs salivaires sont essentiellement situées au niveau de la glande parotide. L’adénome pléomorphe est la tumeur la plus fréquente. Les tumeurs malignes sont retrouvées dans 20 % des tumeurs parotidiennes.

La sialadénose à retenir est le syndrome de Gougerot-Sjögren de par sa fréquence et son risque d’évolution en lymphome de MALT

Message auteur

Pathologie des glandes salivaires

En complément de l'item 88 – Pathologies des glandes salivaires, il est recommandé d'étudier les sujets suivants :

• Lithiase de la glande submandibulaire.

• Maladie de Gougerot-Sjögren.

• Sarcoïdose avec syndrome de Heerfordt.

• Adénome pléomorphe de la glande parotide.

Dans cet article

Ce contenu est exclusivement réservé aux abonnés