La proctologie étant peu et mal enseignée durant les 2 premiers cycles des études médicales, il est difficile pour les généralistes de maîtriser diagnostics et thérapeutiques des pathologies anales. Pourtant, elles sont relativement simples à identifier, leur traitement est souvent efficace et le service rendu au patient considérable. Découvrez cette nouvelle rubrique, où nous publions, une fois par mois, une image « énigmatique » illustrant une pathologie proctologique incontournable. À vous de jouer !
Les pathologies anales sont très fréquentes. Aux États-Unis, 20 % de la population aurait déjà eu un symptôme hémorroïdaire dans sa vie. La fissure anale vient juste après ; c’est le 2e motif de rendez-vous proctologique. Les suppurations anales et péri-anales (fistules cryptoglandulaires, sinus pilonidal infecté, maladie de Verneuil, maladie de Crohn…) sont également une source importante de consultations, notamment en urgence. L’incidence du cancer de l’anus est en hausse depuis 2 à 3 décennies.
Ces affections se manifestent par des douleurs intenses et par divers symptômes (tuméfaction gênante, saignements, suintements, prurit, incontinence…) qui génèrent une grande inquiétude et altèrent la qualité de vie des patients.
Pourtant, elles sont peu et mal enseignées durant les 2 premiers cycles des études médicales en France, si bien qu’il est difficile pour les médecins généralistes de maîtriser diagnostics et thérapeutiques.
De surcroît, le pharmacien est le premier recours pour bon nombre de patients, alors même qu’il n’est pas davantage formé sur le sujet et que, bien entendu, il ne pratique pas d’examen. Diagnostics erronés ou retardés sont parfois lourds de conséquences. Et ne parlons pas d’internet dont l’absence de fiabilité et le caractère anxiogène sont des défauts connus.
Cette situation s’explique entre autres par le tabou (85 % des patients ne parleraient pas de leur[s] symptôme[s] proctologique[s] de façon spontanée), l’embarras de ceux ne souhaitant pas être examinés, le manque de temps et aussi de connaissance proctologique du praticien qui craint de ne pas reconnaître les lésions.
Pourtant, l’examen proctologique est un acte rapide, les pathologies anales sont relativement simples à identifier, leur traitement de première intention est souvent efficace et le service rendu au patient considérable.
Nous vous proposons dans cette nouvelle rubrique, une fois par mois, une image « énigmatique » illustrant une des pathologies proctologiques incontournables (par Vincent de Parades, groupe hospitalier Paris Saint-Joseph, Paris).
L’objectif ? Les démystifier, en appréhender l’infinie variété (elles ne se résument pas aux hémorroïdes, loin s’en faut !), inciter à leur prise en charge plus large en premier recours et contribuer à homogénéiser nos discours respectifs à l’égard des patients souvent en grande difficulté. À vous de jouer !
Découvrez l’image d'octobre ci-dessous :
Une femme de 25 ans consulte pour une tuméfaction anale hyperalgique survenue au décours de son accouchement par voie basse. L’examen clinique révèle une masse volumineuse.
La suite du cas clinique : Alam AA, De Parades V. Un prurit à connaître. Rev Prat Med Gen 2022;36:413.
Découvrez l’image de septembre ci-dessous :
Un homme de 23 ans consulte pour des abcès au niveau de la fesse, du périnée et des aisselles. L’examen clinique révèle la présence de plusieurs nodules cutanés inflammatoires ainsi que de cicatrices.
La suite du cas clinique : Rentien AL, De Parades V. Un prurit à connaître. Rev Prat Med Gen 2022;36:351.
Découvrez l’image de juin ci-dessous :
Une femme de 37 ans consulte aux urgences pour des douleurs permanentes, pulsatiles, insomniantes, non rythmées par les selles, au niveau de la fesse gauche.
À l’examen, la peau apparaît rougeâtre, tendue et luisante.
La suite du cas clinique : Thierry ML, De Parades V. Un prurit à connaître. Rev Prat Med Gen 2022;36:303.
Découvrez l’image de mai ci-dessous :
Une femme de 23 ans consulte pour des excroissances prurigineuses en « crêtes de coq » de la marge anale.
La suite du cas clinique : Alam A, Spindler L, De Parades V. Un prurit à connaître. Rev Prat Med Gen 2022;36:253.
Découvrez l’image de avril ci-dessous :

Une patiente de 72 ans se plaint d’un prurit anal depuis un an. L’examen clinique révèle un placard érythémateux, bilatéral en « ailes de papillon », à contours irréguliers, discrètement squameux, avec des condylomes.
La suite du cas clinique : Roland D, De Parades V. Un prurit à connaître. Rev Prat Med Gen 2022;36:201.
L’image de mars :

Un homme de 29 ans consulte pour une douleur lombaire basse d’intensité croissante. À l’examen, il a une tuméfaction inflammatoire du sillon interfessier, située au-dessus de fossettes avec des poils
La suite du cas clinique : Draullette M, De Parades V. Une histoire de poils. Rev Prat Med Gen 2022;36:149.
L’image de février :

Une patiente de 36 ans consulte pour une gêne anale apparue depuis plusieurs mois. Elle a eu une « crise hémorroïdaire » lors d’une grossesse et a remarqué des « excroissances » résiduelles.
La suite du cas clinique : Roland D, De Parades V. Des excroissances gênantes. Rev Prat Med Gen 2022;36:93.
L’image de janvier :

Un homme de 51 ans consulte pour un prurit anal avec du sang rouge à l’essuyage. Il a pour antécédent un psoriasis des coudes.
La suite du cas clinique : Alam A, De Parades V. Un prurit... Rev Prat Med Gen 2022;36:41.
L’image de décembre :

Une femme de 25 ans consulte pour une douleur anale intense survenue lors d’une selle dure. À l’examen, elle a une plaie du bas canal anal.
La suite du cas clinique : Barré A, De Parades V. Ça déchire ! Rev Prat Med Gen 2021;35:517.
L’image de novembre :

Une femme de 45 ans consulte en urgence pour une douleur anale permanente depuis deux jours. À l’examen, elle a une tuméfaction de la marge, hyperalgique au toucher.
La suite du cas clinique : Barré A, De Parades V. Encore une crise hémorroïdaire... ? Rev Prat Med Gen 2021;35:470.
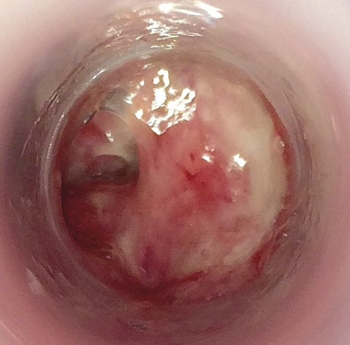
L’image d’octobre :

Une patiente de 87 ans consulte pour un prolapsus anal associé à des émissions glaireuses et des rectorragies, dans un contexte de constipation chronique.
La suite du cas clinique : Haas M, Spindler L, De Parades V. Un volumineux prolapsus… Rev Prat Med Gen 2021;35:413.
L’image de septembre :

Un patient de 24 ans sans antécédent consulte pour une excroissance périanale prurigineuse apparue depuis 2 semaines. L’inspection objective un petit nodule.
La suite du cas clinique : Haas M, Spindler L, Adam J, De Parades V. Un nodule indolore... Rev Prat Med Gen 2021;35:333.
L’image de juin :

Une patiente de 35 ans, auxiliaire en crèche, se plaint d’un prurit anal évoluant depuis plusieurs semaines. L’examen de la marge anale montre des érosions cutanées secondaires au grattage ainsi qu’un petit « spaghetti » très mobile. La suite du cas clinique : Draullette M, De Parades V. Des spaghettis ? Rev Prat Med Gen 2021;35:303.
L’image de mai :

Une patiente de 45 ans, obèse et diabétique, consulte pour un prurit anal évoluant depuis un mois. L’examen clinique montre un érythème de la région anale. La suite du cas clinique : Roland D, de Parades V. Un prurit mal placé. Rev Prat Med Gen 2021;35:252.
L’image d’avril :

Un homme de 30 ans consulte pour une douleur ano-rectale intense évoluant depuis 24 heures avec des faux besoins glairo-sanglants. Il prend une prophylaxie pré-exposition contre le VIH. La marge anale est normale. L’anuscopie montre une rectite érythémateuse avec des sécrétions purulentes. La suite du cas clinique : Barre A, Aubert M, de Parades V. Après une soirée non protégée... Rev Prat Med Gen 2021;35:199.
L’image de mars :

Une femme de 54 ans consulte pour une douleur apparue la veille. Elle a de longue date une tuméfaction anale indolore qui se prolabe lors de la défécation et se réintègre spontanément. L’examen révèle une lésion polypoïde, de couleur violacée et de consistance ferme, pédiculée et appendue au canal anal. La suite du cas clinique : Thierry ML, de Parades V. Battant de cloche. Rev Prat Med Gen 2021;35:145.
L’image de février :

Un homme de 29 ans se plaint de douleurs anales permanentes d’apparition récente (depuis 2 jours). La douleur est non rythmée par la défécation et non insomniante. Il n’y a ni suintement ni fièvre. L’examen clinique montre une tuméfaction de la marge anale. La suite du cas clinique : Alam A, de Parades V. Une boule douloureuse. Rev Prat Med Gen 2021;35:93.
D’après : De Parades V, Benfredj P, Fathallah N, et al. Nouvelle année : parlons d’anus. Rev Prat Med Gen 2021;35:12.