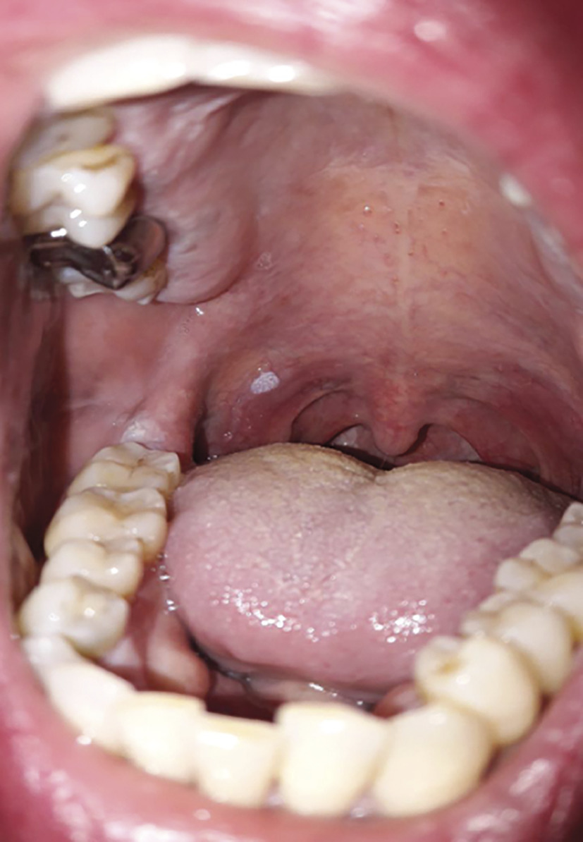
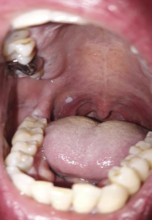
Monique, 45 ans, consulte pour une lésion buccale du voile du palais mou, asymptomatique, qui évolue depuis 1 an (figure). Blanchâtre, d’aspect framboisé, elle n’est ni ulcérée ni douloureuse (flèche). Après exérèse chirurgicale, l’analyse anatomopathologique révèle un papillome verruqueux et l’absence de cellule maligne (exérèse complète).
Observation
Cette lésion de la cavité buccale est une végétation généralement unique, non douloureuse, exophytique et de taille modeste. La prolifération lui donne un aspect framboisé avec un reflet blanchâtre fréquent, témoin d’une kératose superficielle. Ces papillomes sont souvent plus petits et plus kératinisés que les condylomes acuminés (buccaux, ils sont rares). Ils siègent volontiers au niveau de la langue ou du palais comme chez cette patiente.
Ce sont des tumeurs bénignes, les plus fréquentes de la cavité buccale, développées à partir de l’épithélium. Elles sont souvent d’origine virale en rapport avec un HPV non oncogène. Rarement, l’HPV 16 est en cause, avec un risque élevé de cancérisation. Ce virus est transmis par voie sexuelle lors des rapports orogénitaux dans la plupart des cas. L’intoxication tabagique favorise l’infection orale à HPV.
Il n’y a le plus souvent pas de risque de transformation maligne, sauf chez le patient immunodéprimé.Divers traitements peuvent être tentés : exérèse chirurgicale, cryochirurgie ou laser CO2.
Ce sont des tumeurs bénignes,
Il n’y a le plus souvent pas de risque de transformation maligne, sauf chez le patient immunodéprimé.
Pour en savoir plus
Messeca C, Halimi C, Ejeil AL. Pathologie des muqueuses buccales. Rev Prat Med Gen 2018;32:691-9.
Une question, un commentaire ?
Sur le même thème
Article