Un homme de 30 ans consulte pour une douleur abdominale apparue sans facteur déclenchant. Il n’a pas d’antécédents particuliers.
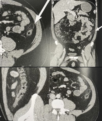
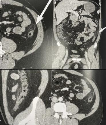
À l’examen clinique, on note une douleur augmentée à la palpation en fosse iliaque gauche. Le scanner abdominopelvien plaide en faveur d’une panniculite mésentérique (figure ).
Un avis chirurgical est demandé, qui conclut à la nécessité d’une simple surveillance.
À l’examen clinique, on note une douleur augmentée à la palpation en fosse iliaque gauche. Le scanner abdominopelvien plaide en faveur d’une panniculite mésentérique (
Un avis chirurgical est demandé, qui conclut à la nécessité d’une simple surveillance.
La panniculite mésentérique correspond à une inflammation aspécifique de la racine du mésentère. Cette appellation désigne à la fois le tableau clinique et les signes radiologiques qui lui sont associés. Par usage, une hyperdensité mésentérique au scanner est souvent nommée « panniculite mésentérique », sans préjuger de sa cause, ce qui peut entraîner une certaine confusion.
La panniculite mésentérique idiopathique est une maladie rare. Elle correspond à la deuxième étape évolutive de la mésentérite sclérosante (lipodystrophie, panniculite, puis mésentérite rétractile).
Douleurs abdominales, ballonnements, nausées, perte de poids sont possibles, mais la majorité des patients est asymptomatique. Une masse abdominale est palpable dans 50 % des cas, et un syndrome inflammatoire d’intensité variable peut être associé.
La panniculite mésentérique idiopathique est évoquée devant la présence au scanner d’une pseudomasse hétérogène hyperdense au sein de la graisse mésentérique, sans ascite ni œdème sous-cutané. C’est un diagnostic d’élimination. Il convient en effet d’exclure un œdème mésentérique, une inflammation locale, une tuberculose péritonéale, une hémorragie, un lymphome, un neurofibrome, un lipome, un liposarcome…
Les complications sont rares (compression digestive ou vasculaire).
Le traitement n’est utile que chez les patients symptomatiques, mais sans consensus actuel (colchicine, corticoïdes et parfois immunosuppresseurs sont proposés). Une meilleure compréhension de la physiopathologie, notamment de l’activité immunorégulatrice du tissu adipeux, devrait permettre d’améliorer la prise en charge.
La panniculite mésentérique idiopathique est une maladie rare. Elle correspond à la deuxième étape évolutive de la mésentérite sclérosante (lipodystrophie, panniculite, puis mésentérite rétractile).
Douleurs abdominales, ballonnements, nausées, perte de poids sont possibles, mais la majorité des patients est asymptomatique. Une masse abdominale est palpable dans 50 % des cas, et un syndrome inflammatoire d’intensité variable peut être associé.
La panniculite mésentérique idiopathique est évoquée devant la présence au scanner d’une pseudomasse hétérogène hyperdense au sein de la graisse mésentérique, sans ascite ni œdème sous-cutané. C’est un diagnostic d’élimination. Il convient en effet d’exclure un œdème mésentérique, une inflammation locale, une tuberculose péritonéale, une hémorragie, un lymphome, un neurofibrome, un lipome, un liposarcome…
Les complications sont rares (compression digestive ou vasculaire).
Le traitement n’est utile que chez les patients symptomatiques, mais sans consensus actuel (colchicine, corticoïdes et parfois immunosuppresseurs sont proposés). Une meilleure compréhension de la physiopathologie, notamment de l’activité immunorégulatrice du tissu adipeux, devrait permettre d’améliorer la prise en charge.
Pour en savoir plus
Béchade D, Durand X, Desramé J, et al. Profil étiologique des panniculites mésentériques : à propos de sept cas. Rev Med Interne 2007;28:289-95.
Piessen G, Mariette C, Triboulet JP, et al. Panniculite mésentérique. Ann Chir 2006;131(2):85-90.
Daghfous A, Bedioui H, Baraket O, et al. La panniculite mésentérique simulant un processus tumoral. Tunisie médicale 2010;88(12):950-3.
Ronot M. Panniculite mésentérique : purement radiologique ? Rev Prat Med Gen 2019;33(1017):214-5.
Piessen G, Mariette C, Triboulet JP, et al. Panniculite mésentérique. Ann Chir 2006;131(2):85-90.
Daghfous A, Bedioui H, Baraket O, et al. La panniculite mésentérique simulant un processus tumoral. Tunisie médicale 2010;88(12):950-3.
Ronot M. Panniculite mésentérique : purement radiologique ? Rev Prat Med Gen 2019;33(1017):214-5.
Une question, un commentaire ?