Inflammation chronique aboutissant à une fibrose progressive du parenchyme pancréatique puis à sa destruction, suivie par une perte progressive des fonctions endocrines et exocrines (fig. 1).
Au moins un des critères suivants : – calculs pancréatiques, lésions au minimum modérées en wirsungographie rétrograde,
– stéatorrhée > 7 g/24 h – ou preuve histologique.
En pratique : diagnostic posé sur un faisceau d’arguments.
Pronostic :
– survie de 75 % à 10 ans et de 50 % à 20 ans ;
– mortalité surtout liée aux complications du diabète ou à l’alcoolo- tabagisme.
Au moins un des critères suivants : – calculs pancréatiques, lésions au minimum modérées en wirsungographie rétrograde,
– stéatorrhée > 7 g/24 h – ou preuve histologique.
En pratique : diagnostic posé sur un faisceau d’arguments.
Pronostic :
– survie de 75 % à 10 ans et de 50 % à 20 ans ;
– mortalité surtout liée aux complications du diabète ou à l’alcoolo- tabagisme.
Plusieurs étiologies
Alcool : dans > 80 % des cas ; prédominance masculine (sex-ratio de 5 :1), âge moyen de début de la maladie : 40 ans (après environ 10-15 ans d’intoxication à raison de 100 g d’alcool/j).
Hypercalcémie : en général liée à une hyperparathyroïdie.
Forme tropicale : touchant des sujets jeunes vivant dans ces régions.
Causes génétiques : pancréatite héréditaire à transmission dominante ou récessive ; mucoviscidose.
Obstruction par une tumeur d’évolution lente de type intracanalaire papillaire et mucineuse du pancréas.
Séquelles d’un traumatisme abdominal, endoscopique ou chirurgical.
Post-radiothérapie : parfois de nombreuses années après l’irradiation.
Auto-immune ou associée à une MICI, une cirrhose biliaire primitive ou un syndrome de Gougerot-Sjögren.
Idiopathique.
Signes cliniques
Douleur épigastrique, transfixiante, à irradiation postérieure, intense, calmée par la position en chien de fusil ; habituellement post-prandiale.
Favorisée par les repas riches en graisse et en alcool, parfois atténuée par l’aspirine.
Amaigrissement (restriction alimentaire à cause de la douleur).
Liée à une poussée aiguë (élévation de la lipase) ou à une complication (hyperpression canalaire, inflammation pancréatique, infiltration nerveuse péripancréatique ou pseudokyste).
Examen physique :
– souvent peu contributif (contrastant avec la symptomatologie bruyante), sauf en cas de complication ;
– si pseudokyste : masse épigastrique à la palpation abdominale.
Stéatorrhée (selles claires, graisseuses et nauséabondes) : signe tardif d’atrophie pancréatique.
Examens morphologiques
ASP : calcifications en regard de l’aire pancréatique ; quasi abandonné.
Échographie abdominale :
– souvent en 1re intention ;
– augmentation du volume ou atrophie de l’organe, calcifications, pseudokyste, dilatation du canal de Wirsung ou de la voie biliaire principale liée à une sténose, une compression.
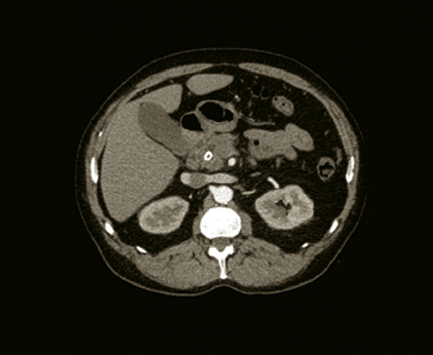
TDM abdominale sans et avec injection de produit de contraste : examen de référence (+++) ;
– meilleure description des lésions (calcifications diffuses ou focales, atrophie, calcul [fig. 2] + dilatation du canal de Wirsung en amont), de l’inflammation pancréatique (coulées de nécrose si poussée), d’éventuelles complications (pseudokyste, dilatation de la voie biliaire principale, hypertension portale segmentaire).
Pancréato-IRM :très performante mais peu accessible.
Écho-endoscopie :
– plus invasive, sous anesthésie générale, en 2e intention ;
– si doute diagnostique devant un nodule, facilite la ponction pour trancher entre pseudokyste infecté et nodule tumoral.
Cholangio-pancréatographie rétrograde endoscopique :
– après écho-endoscopie ;
– en vue d’un geste endoscopique interventionnel (dilatation d’une sténose, mise en place d’une prothèse pancréatique et/ou biliaire).
Complications
Poussées de pancréatite aiguë : fréquentes au début (fig. 1).
Pseudokystes : collections de liquide pancréatique sans paroi propre, nécrotiques ou rétentionnelles, régressant spontanément dans 30 % des cas ; peuvent se compliquer d’infection, de compression (voie biliaire principale, duodénum ou estomac), d’hémorragie (pseudo-anévrisme) ou se rompre dans la cavité abdominale (ascite).
Sténose/compression de la voie biliaire principale :
– chez 5 à 20 % des patients, à évoquer devant un prurit et/ou un ictère ;
– due à son engainement dans son trajet intra- pancréatique par la tête calcifiée de l’organe (sténose) ou à un pseudokyste (compression) ;
– angiocholite ou cirrhose biliaire secondaire possible.
Sténose duodénale ou pylorique :
– même mécanisme que la précédente ;
– accompagnée de douleurs, vomissements ou intolérance alimentaire.
Insuffisance pancréatique (tardive, après 10 ans) :
– endocrine : induisant un diabète, le plus souvent insulino-réquérant ;
– exocrine : baisse de la sécrétion des enzymes pancréatiques, responsable d’une stéatorrhée et d’un syndrome de malabsorption.
Épanchements des séreuses (intrapéritonéaux ou pleuraux) : liés soit à une fistule entre le canal pancréatique et la cavité péritonéale ou pleurale, soit à la rupture d’un pseudokyste dans le péritoine.
Hémorragie digestive : érosion vasculaire par un pseudokyste (pseudo-anévrisme) ou rupture de varices (cardio-tubérositaires, œsophagiennes ou spléniques) liée à une hypertension portale (thrombus, compression).
Adénocarcinome pancréatique : risque accru surtout si tabagisme.
Diagnostics différentiels
Ulcère gastroduodénal : douleurs épigastriques chez un patient alcoolotabagique.
Colique hépatique, cholécystite aiguë, pancréatite d’origine biliaire.
Cancer de la tête du pancréas (si dilatation du Wirsung).
Angor mésentérique : douleurs récidivantes, favorisées par la prise alimentaire.
Prise
en charge
Sevrage alcoolique immédiat, total et définitif : prescrire un support psychologique, un suivi en addictologie, prévenir le syndrome de sevrage ;
– associer l’arrêt du tabac.
Douleur : antalgiques (jusqu’au palier III).
Si dénutrition : conseiller un apport calorique élevé mais en limitant les lipides. Si forme sévère : nutrition entérale nocturne via une sonde naso-jéjunale.
Pseudokystes :
– si compliqués ou > 6 cm : endoscopie pour drainage interne dans le tube digestif (prothèse kystogastrique ou kystoduodénale) ; si impossible ou échec : chirurgie.
Insuffisance pancréatique exocrine : extraits pancréatiques + régime pauvre en graisses.
Diabète : antidiabétiques oraux, recours rapide à l’insuline ; sevrage alcoolique +++.
Compression de la voie biliaire principale ou du duodénum : dérivation en général endoscopique ; chirurgie en 2e intention.
Épanchement des séreuses : jeûne avec nutrition parentérale ; mise en place d’une prothèse dans le canal pancréatique pour drainer les sécrétions dans le duodénum et exclure la fistule.
Encadre
Quel bilan biologique ?
Hémogramme, taux de prothrombine, ASAT, ALAT, GT, phosphatase alcaline (PAL), bilirubine totale et conjuguée, électrophorèse des protéines sériques (albumine et pré-albumine), glycémie à jeun, lipasémie.
Diarrhée chronique : rechercher une stéatorrhée (débit fécal de graisses > 7 g/j après un régime apportant 100 g de graisses ou dosage de l’élastase fécale).