Un homme de 25 ans, militaire, se présente pour une consultation de contrôle dans les suites d’une prise en charge multidisciplinaire en médecine physique et réadaptation pour une lomboradiculalgie L5-S1 ayant nécessité une hospitalisation de quinze jours au cours de laquelle une imagerie par résonance magnétique (IRM) du rachis lombaire est réalisée.
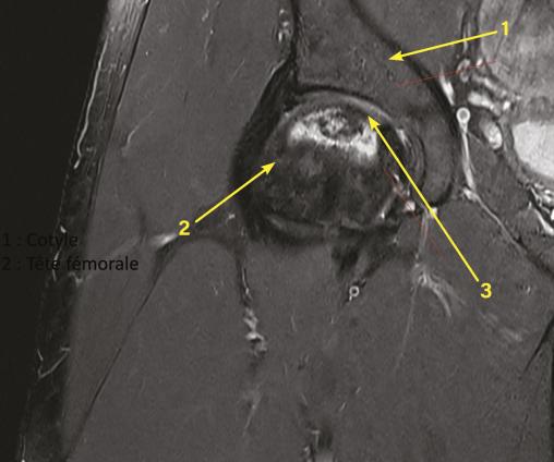
L’IRM retrouve un aspect d’ostéonécrose de la tête fémorale sans déformation de celle-ci.
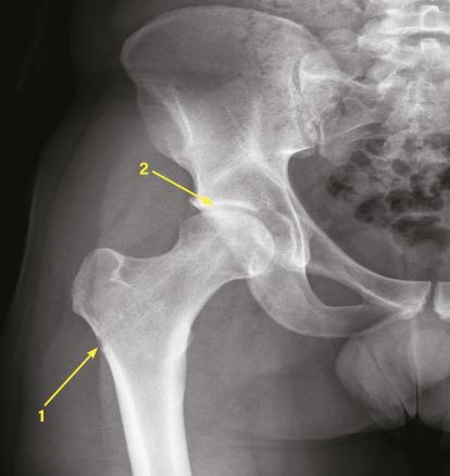
À l’interrogatoire, le patient ne présente pas de facteur de risque. Son examen clinique n’objective pas de limitation des amplitudes articulaires avec un testing musculaire normal. Il est adressé à un chirurgien orthopédique qui, après un bilan radiologique d’extension, propose une prise en charge par surveillance simple avec risque important de dégradation dans les années à venir, ou chirurgicale conservatrice par forage, greffe avec éviction de l’appui, pour une durée de six semaines. Cette dernière solution est choisie par le patient (fig. 1 ). Le contrôle (IRM) six semaines après l’opération ne montre pas de progression de la maladie, la greffe spongieuse réalisée est toujours présente (fig. 2 ).
L’IRM retrouve un aspect d’ostéonécrose de la tête fémorale sans déformation de celle-ci.
À l’interrogatoire, le patient ne présente pas de facteur de risque. Son examen clinique n’objective pas de limitation des amplitudes articulaires avec un testing musculaire normal. Il est adressé à un chirurgien orthopédique qui, après un bilan radiologique d’extension, propose une prise en charge par surveillance simple avec risque important de dégradation dans les années à venir, ou chirurgicale conservatrice par forage, greffe avec éviction de l’appui, pour une durée de six semaines. Cette dernière solution est choisie par le patient (
L’ostéonécrose aseptique de la tête fémorale (ONA) est une pathologie invalidante d’origine probablement multifactorielle. Dans la littérature, deux hypothèses principales sont évoquées : un processus ischémique primitif et/ou un processus cytotoxique.
Cette pathologie relativement fréquente touche particulièrement l’adulte jeune (de 18 à 55 ans). Dans 20 % des cas, la cause n’est pas retrouvée.1 Les facteurs de risque identifiés sont nombreux, dont la corticothérapie sans dose seuil établie, l’éthylisme chronique, la consommation de tabac.2
Cliniquement, la phase initiale est paucisymptomatique. La découverte peut donc être fortuite. Lors de la phase symptomatique, le patient présente une douleur mécanique sans limitation d’amplitude articulaire mais avec une rotation interne douloureuse. Les douleurs peuvent être localisées au niveau du pli de l’aine mais aussi au niveau de la région lombaire basse, voire du genou. L’évolution est péjorative, avec l’apparition inévitable, sans traitement, d’une coxarthrose.
La radiographie conventionnelle n’est pas indiquée pour le diagnostic d’ostéonécrose. L’IRM est, à l’heure actuelle, l’examen de référence. Elle doit donc être proposée devant toute douleur de hanche du sujet jeune non expliquée par une radiographie. Associée à la radiographie (face et profil de Dunn), elle permet également d’éliminer les diagnostics différentiels les plus fréquents (conflit acétabulaire, atteinte du labrum, kyste arthrosynovial, ostéochondrite…).
En dehors de la prise en charge des facteurs de risque identifiés, le traitement médical permet seulement de soulager la douleur, par la prescription d’anti-inflammatoires non stéroïdiens (AINS) et d’antalgiques de palier 1 ou 2, dans l’attente d’un traitement chirurgical.
Le traitement chirurgical est conditionné par la classification d’Arlet et Ficat.3
Actuellement, il existe deux options :
Cette pathologie relativement fréquente touche particulièrement l’adulte jeune (de 18 à 55 ans). Dans 20 % des cas, la cause n’est pas retrouvée.1 Les facteurs de risque identifiés sont nombreux, dont la corticothérapie sans dose seuil établie, l’éthylisme chronique, la consommation de tabac.2
Cliniquement, la phase initiale est paucisymptomatique. La découverte peut donc être fortuite. Lors de la phase symptomatique, le patient présente une douleur mécanique sans limitation d’amplitude articulaire mais avec une rotation interne douloureuse. Les douleurs peuvent être localisées au niveau du pli de l’aine mais aussi au niveau de la région lombaire basse, voire du genou. L’évolution est péjorative, avec l’apparition inévitable, sans traitement, d’une coxarthrose.
La radiographie conventionnelle n’est pas indiquée pour le diagnostic d’ostéonécrose. L’IRM est, à l’heure actuelle, l’examen de référence. Elle doit donc être proposée devant toute douleur de hanche du sujet jeune non expliquée par une radiographie. Associée à la radiographie (face et profil de Dunn), elle permet également d’éliminer les diagnostics différentiels les plus fréquents (conflit acétabulaire, atteinte du labrum, kyste arthrosynovial, ostéochondrite…).
En dehors de la prise en charge des facteurs de risque identifiés, le traitement médical permet seulement de soulager la douleur, par la prescription d’anti-inflammatoires non stéroïdiens (AINS) et d’antalgiques de palier 1 ou 2, dans l’attente d’un traitement chirurgical.
Le traitement chirurgical est conditionné par la classification d’Arlet et Ficat.3
Actuellement, il existe deux options :
- un traitement conservateur, le plus souvent par forage cervico-céphalique avec thérapie cellulaire associée, pour les stades précoces, sans déformation de la tête fémorale (Arlet et Ficat stades 1 et 2) ;
- un traitement non conservateur, par arthroplastie totale de hanche, pour les stades avancés lorsque la tête fémorale a perdu sa sphéricité (Arlet et Ficat stades 3 et 4).
Références
1. Lespasio MJ, Sodhi N, Mont MA. Osteonecrosis of the hip: A primer. Perm J 2019;23:18-100.
2. Pijnenburg L, Felten R, Javier RM. Ostéonécroses aseptiques, une revue générale des ostéonécroses de la hanche, et au-delà. Rev Med Interne 2020;41(1):27-36.
3. Liu N, Zheng C, Wang Q, Huang Z. Treatment of non-traumatic avascular necrosis of the femoral head (review). Exp Ther Med 2022;23(5):321.
2. Pijnenburg L, Felten R, Javier RM. Ostéonécroses aseptiques, une revue générale des ostéonécroses de la hanche, et au-delà. Rev Med Interne 2020;41(1):27-36.
3. Liu N, Zheng C, Wang Q, Huang Z. Treatment of non-traumatic avascular necrosis of the femoral head (review). Exp Ther Med 2022;23(5):321.
Une question, un commentaire ?
Sur le même thème
Article