Une patiente de 27 ans, sans antécédent particulier, consulte pour des gonalgies chroniques. L’examen clinique trouve une tuméfaction de la cuisse associée à des signes inflammatoires.
L’examen biologique révèle une hyperleucocytose (20 000/mm3) à polynucléaires neutrophiles, avec une vitesse de sédimentation accélérée (25 mm) et une protéine C réactive augmentée (80 mg/L).
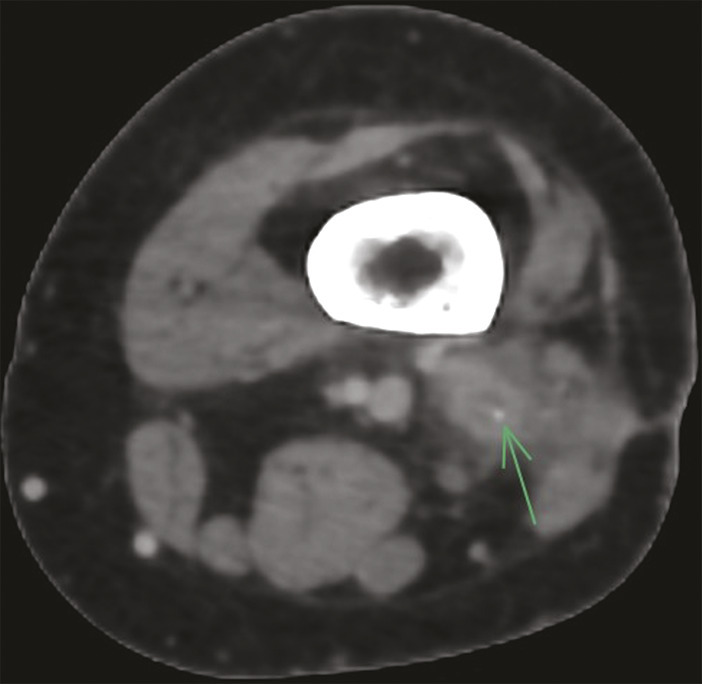
Une radiographie standard complétée par un scanner (fig. 1 ) met en évidence un épaississement cortico-périosté de la diaphyse fémorale, une condensation de l’os médullaire centrée par une ostéolyse linéaire décrivant un trajet fistuleux qui alimente une collection abcédée des parties molles renfermant des séquestres osseux (fig. 2 ). Le diagnostic d’ostéomyélite chronique est retenu.
Le traitement chirurgical a consisté en un drainage avec curetage osseux, associé à une excision des tissus infectés et nécrosés avec ablation des séquestres. Les prélèvements cytobactériologiques ont permis d’identifier un Staphylococcus aureus sensible à la méticilline (méti-S).
Une antibiothérapie adaptée a permis une bonne évolution clinico-biologique.
L’examen biologique révèle une hyperleucocytose (20 000/mm3) à polynucléaires neutrophiles, avec une vitesse de sédimentation accélérée (25 mm) et une protéine C réactive augmentée (80 mg/L).
Une radiographie standard complétée par un scanner (
Le traitement chirurgical a consisté en un drainage avec curetage osseux, associé à une excision des tissus infectés et nécrosés avec ablation des séquestres. Les prélèvements cytobactériologiques ont permis d’identifier un Staphylococcus aureus sensible à la méticilline (méti-S).
Une antibiothérapie adaptée a permis une bonne évolution clinico-biologique.
L’ostéomyélite chronique survient à la suite d’une infection bactérienne. La majorité des ostéomyélites chroniques chez l’adulte se rencontrent dans des contextes postopératoires ou post-traumatiques. Le diagnostic d’ostéomyélite chronique est posé face à une contamination osseuse bactérienne perdurant depuis plus d’un mois. Il est indépendant du tableau clinique, qui peut être aigu, subaigu ou fruste. L’élément diagnostique essentiel est l’identification du germe causal dans l’os, le sang ou le liquide articulaire.
L’affection atteint l’espace médullaire et le cortex, conduisant progressivement à la destruction osseuse.1
L’imagerie radiologique standard montre un remodelage de l’os avec un épaississement cortical composé d’appositions périostées épaisses et irrégulières. Au sein de l’os, on observe des plages radiotransparentes dans lesquelles on peut retrouver un séquestre osseux. Le scanner et l’imagerie par résonance magnétique (IRM) permettent d’apprécier avec davantage de précision l’étendue de la maladie dans les tissus mous et la cavité médullaire, et représentent actuellement les examens de choix. Le scanner permet en particulier l’évaluation du cortex osseux, la recherche d’un séquestre osseux, un corps étranger ou une fistule. L’IRM permet de mieux apprécier les abcès ou collections.1,2
Le traitement comprend un geste chirurgical de débridement, drainage ou résection osseuse et d’oblitération de l’espace mort, des soins des tissus mous, une stabilisation des fragments osseux, si nécessaire, et une antibiothérapie ciblée.2
L’affection atteint l’espace médullaire et le cortex, conduisant progressivement à la destruction osseuse.1
L’imagerie radiologique standard montre un remodelage de l’os avec un épaississement cortical composé d’appositions périostées épaisses et irrégulières. Au sein de l’os, on observe des plages radiotransparentes dans lesquelles on peut retrouver un séquestre osseux. Le scanner et l’imagerie par résonance magnétique (IRM) permettent d’apprécier avec davantage de précision l’étendue de la maladie dans les tissus mous et la cavité médullaire, et représentent actuellement les examens de choix. Le scanner permet en particulier l’évaluation du cortex osseux, la recherche d’un séquestre osseux, un corps étranger ou une fistule. L’IRM permet de mieux apprécier les abcès ou collections.1,2
Le traitement comprend un geste chirurgical de débridement, drainage ou résection osseuse et d’oblitération de l’espace mort, des soins des tissus mous, une stabilisation des fragments osseux, si nécessaire, et une antibiothérapie ciblée.2
Références
1. Cornu O, Van Cauter M, Docquier PL, Barbier O, Yombi JC. Ostéomyélites chroniques. C 2013-UCL-faculté de médecine et de médecine dentaire. Bruxelles-Woluwe.
2. Benhamou M, Martin A, Bouilleau L, Druon J, Bernard L, Cottier JP. Imagerie des infections osseuses. La Lettre de l’infectiologue 2015;30(3):104 11.
2. Benhamou M, Martin A, Bouilleau L, Druon J, Bernard L, Cottier JP. Imagerie des infections osseuses. La Lettre de l’infectiologue 2015;30(3):104 11.
Une question, un commentaire ?