Bastien, 16 ans, se plaint de douleurs du coude droit majorées par l’extension forcée. Non soulagé par les anti-inflammatoires, l’adolescent ressent depuis peu un blocage, l’extension complète est impossible.
L’examen clinique ne relève qu’un flexum antalgique du coude sans signes d’inflammation locale ou de perte de tonus musculaire.
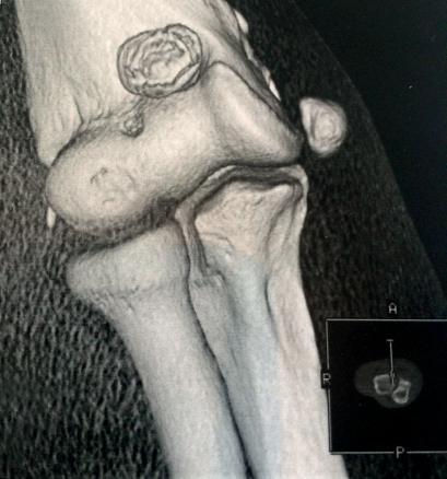
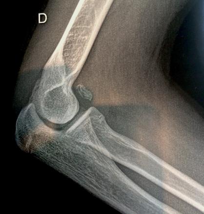
À la radiographie (fig. 1 ), une image calcifiée intra-articulaire évoque un ostéochondrome. Après scanner (fig. 2 ), l’exérèse permet la récupération totale de la mobilité articulaire. L’anatomopathologie confirme l’ostéochondrome bénin.
L’examen clinique ne relève qu’un flexum antalgique du coude sans signes d’inflammation locale ou de perte de tonus musculaire.
À la radiographie (
Cette affection bénigne de l’enfant et de l’adolescent représente 10 % des tumeurs osseuses et 35 % des lésions bénignes à ces âges.
Diagnostiqué plutôt avant 30 ans, l’ostéochondrome siège volontiers aux métaphyses des os longs, toujours à proximité des cartilages de croissance. Habituellement asymptomatique, il est découvert fortuitement ou lors de complications mécaniques (fractures, compression des tissus mous).
Des localisations multiples sont possibles dans une maladie génétique rare à transmission autosomique dominante (maladie des exostoses multiples).
Une douleur doit évoquer une dégénérescence sarcomateuse, 3 à 5 fois plus fréquente en cas de forme multiple.
Radiologiquement, l’excroissance est faite de tissu spongieux entouré d’une corticale bien limitée, rattachée à l’os normal par une base pédiculée ou sessile. Le scanner précise la localisation et ses abords en vue de la chirurgie. L’IRM est utile si doute diagnostique ou suspicion de dégénérescence. L’analyse anatomopathologique retrouve un os trabéculaire normal recouvert de périoste et d’une coiffe cartilagineuse.
Le traitement, uniquement chirurgical, consiste à enlever l’exostose.
Diagnostiqué plutôt avant 30 ans, l’ostéochondrome siège volontiers aux métaphyses des os longs, toujours à proximité des cartilages de croissance. Habituellement asymptomatique, il est découvert fortuitement ou lors de complications mécaniques (fractures, compression des tissus mous).
Des localisations multiples sont possibles dans une maladie génétique rare à transmission autosomique dominante (maladie des exostoses multiples).
Une douleur doit évoquer une dégénérescence sarcomateuse, 3 à 5 fois plus fréquente en cas de forme multiple.
Radiologiquement, l’excroissance est faite de tissu spongieux entouré d’une corticale bien limitée, rattachée à l’os normal par une base pédiculée ou sessile. Le scanner précise la localisation et ses abords en vue de la chirurgie. L’IRM est utile si doute diagnostique ou suspicion de dégénérescence. L’analyse anatomopathologique retrouve un os trabéculaire normal recouvert de périoste et d’une coiffe cartilagineuse.
Le traitement, uniquement chirurgical, consiste à enlever l’exostose.
PouR en savoir plus
– Chinellato M, Gayous J. Trop exubérant… Rev Prat Med Gen 2017;31:124.
– Corgé L, et al. Que d’os ! Rev Prat Med Gen 2010;24:806.
– Mondoloni G. Exostose : une découverte radiographique. Rev Prat Med Gen 2001;15:1331-2.
– Corgé L, et al. Que d’os ! Rev Prat Med Gen 2010;24:806.
– Mondoloni G. Exostose : une découverte radiographique. Rev Prat Med Gen 2001;15:1331-2.
Une question, un commentaire ?
Sur le même thème
Article