Pour réduire le nombre de thyroïdectomies inutiles, la HAS, en collaboration avec le Conseil national professionnel de radiologie et d’imagerie médicale (G4), vient d’élaborer de nouvelles recos sur les indications des explorations : dans quelles situations prescrire une échographie ? quand faire une cytoponction ? comment orienter les traitements ensuite ? Tout ce qu’il faut savoir pour la pratique, algorithme décisionnel et cas cliniques à l’appui.
Les pathologies thyroïdiennes, fréquentes dans la population générale, touchent plus souvent les femmes que les hommes et revêtent différentes formes : anomalies du fonctionnement de la thyroïde (dysthyroïdies : hypothyroïdie et hyperthyroïdie) et/ou anomalies de la structure de cette glande (goitre, nodule).
Les nouvelles recos de la HAS font le point sur l’indication des examens à réaliser dans leur prise en charge. En effet, le recours à l’échographie en cas d’hyperthyroïdie, aujourd’hui presque systématique, n’est parfois pas justifié ; ensuite, deux ablations de la thyroïde sur trois sont réalisées sans cytoponction préalable, ce qui conduit à pratiquer des thyroïdectomies pour des nodules bénins qui ne nécessitent, pour la plupart, qu’une simple surveillance. Ces recos ont donc pour but de réduire les échographies non pertinentes en cas de dysthyroïdies, d’améliorer le recours à l’échographie pour caractériser les nodules et de réaliser une cytoponction avant toute chirurgie de nodule, qui permettra de diminuer les thyroïdectomies non pertinentes (risques inutiles liés à la chirurgie et la prise d’un traitement hormonal à vie).
En cas de dysthyroïdie, quand prescrire une échographie ?
S’il s’agit d’une hypothyroïdie, l’échographie n’est en général pas indiquée, sauf dans quelques situations :
– nodule ou adénopathie palpables ;
– présence de signes de compression (dysphonie, dysphagie, dyspnée).
Elle peut se discuter en cas de :
– TSH élevée persistante avec anticorps antithyropéroxydase négatifs ;
– palpation difficile ;
– facteurs de risque de cancer de la thyroïde (exposition à une irradiation durant l’enfance, antécédents familiaux de cancer de la thyroïde, certaines maladies génétiques).
En cas d’hyperthyroïdie, l’échographie n’est pas indiquée pour le diagnostic de la maladie de Basedow typique et/ou anticorps anti-récepteurs de la TSH positifs, ni pour celui d’une thyroïdite de De Quervain typique. Dans tous les autres cas, elle est indiquée pour le diagnostic étiologique et toujours avant un traitement radical (chirurgie, traitement par iode 131).
De nouvelles recos sur la prise en charge des hypo- et hyperthyroïdies sont en cours d’élaboration par la HAS et doivent être finalisées courant 2022.
Après la découverte d’un nodule, quels examens ?
Les nodules de la thyroïde sont fréquents (jusqu’à 50 % en population générale), ils se caractérisent par une grosseur localisée au niveau du cou, dans la glande thyroïde. Le plus souvent asymptomatiques, ils sont découverts sur une imagerie demandée pour une autre cause. D’évolution lente, ils sont bénins dans au moins 90 % des cas (bien que l’incidence des cancers de la thyroïde soit en augmentation régulière – due, au moins en partie, à l’amélioration des moyens diagnostics). Au terme d’un bilan, ils ne nécessitent donc qu’une simple surveillance. Il est ainsi nécessaire de pouvoir caractériser le nodule et notamment d’en évaluer le risque de malignité afin d’orienter la prise en charge.
L’échographie thyroïdienne est l’examen de référence pour caractériser le nodule (score EU-TIRADS*, qui permet d’identifier les plus à risque de malignité), quel que soit son mode de découverte. Un dosage de la TSH doit également être réalisé. En cas de TSH basse, l’échographie doit être couplée à la scintigraphie (sauf contre-indication).
Ensuite, les indications de la cytoponction des nodules dépendent de l’évaluation échographique prédictive de malignité (score EU-TIRADS), de leur taille et de la présence d’un éventuel contexte à risque, par exemple nodule sous-capsulaire, isthmique, ganglion spécifique, extension extrathyroïdienne (v. algorithme).
Elle doit être réalisée sous échoguidage (sauf exception), et la décision prise dans le cadre d’une réflexion partagée impliquant le patient, le médecin traitant et le(s) médecin(s) spécialiste(s). La conduite à tenir ultérieure – nouvelle cytoponction, surveillance clinique et échographique ou chirurgie de la thyroïde – dépend des caractéristiques échographiques et des résultats de la cytoponction (v. algorithme).

* Le score échographique de risque European-Thyroid Imaging Reporting and Data System (EU-TIRADS) permet de prédire le risque de malignité à partir de l’aspect échographique :
– score 1 : absence de nodule ;
– score 2 : bénin (kystes simples, nodules spongiformes) ;
– score 3 : nodules à faible risque de malignité (ovales, aux contours nets et dont la composante solide est isoéchogène ou hyperéchogène, sans microcalcifications) ;
– score 4 : nodules de risque intermédiaire (ovales, aux contours nets et dont la composante solide est pour tout ou partie modérément hypoéchogène, sans microcalcifications) ;
– score 5 : les nodules comportant au moins un signe de forte suspicion de malignité (forme non ovale – plus épaisse que large –, contours irréguliers, microcalcifications, hypoéchogénicité marquée).
La qualité de l’échographie thyroïdienne doit répondre à des critères reconnus. Le médecin demandeur doit vérifier la présence de ces critères sur l’iconographie et le compte-rendu (notamment : présence d’un schéma avec localisation de chaque nodule, description de chaque nodule avec score EU-TIRADS pour les nodules significatifs, évaluation des aires ganglionnaires cervicales).
La demande d’examen à l’échographiste doit mentionner le contexte clinique et biologique et la finalité de l’examen, car les données de l’échographie doivent être confrontées aux données cliniques et biologiques disponibles.
Documents utiles :
Fiche – Exploration des pathologies thyroïdiennes chez l’adulte. Pertinence et critères de qualité de l’échographie, pertinence de la cytoponction échoguidée.
Fiche – Quiz sur l’exploration d’un nodule thyroïdien. Outil d’autoévaluation pour les professionnels de santé. Cette fiche est enrichie de nombreux cas cliniques.
Document patients – Nodule de la thyroïde : comment l'explorer ? Ce document fait le point sur les nodules, leur possible évolution, l’importance de l’échographie, la nécessité ou non d’une cytoponction et les modalités de surveillance.
LMA, La Revue du Praticien
Pour en savoir plus :
HAS. Quelle imagerie pour les pathologies de la thyroïde ? 28 septembre 2021.
À lire aussi
Wémeau JL, Ladsous M. Item 239. Goitre, nodules thyroïdiens et cancers thyroïdiens.Rev Prat 2019;69(7);e-229-38.
Ladsous M, Wémeau JL. Item 241. Hypothyroïdie. Rev Prat 2018;68(5);e-211-8.
Proust-Lemoine E, Wémeau JL. Item 240. Hyperthyroïdie.Rev Prat 2020;70(2);e-47-55.
Schlumberger M (dir.). Dossier – Cancer de la thyroïde. Rev Prat 2017;67(6);661-89.
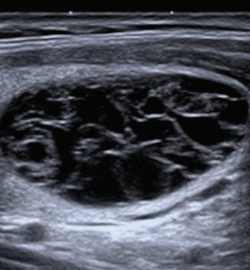
Figure : Nodule spongiforme. Échographie en coupes longitudinale et transversale d’un nodule EU-TIRADS 2. Extrait de : Russ G. Prise en charge du nodule thyroïdien. Rev Prat 2017;67(6);663-7