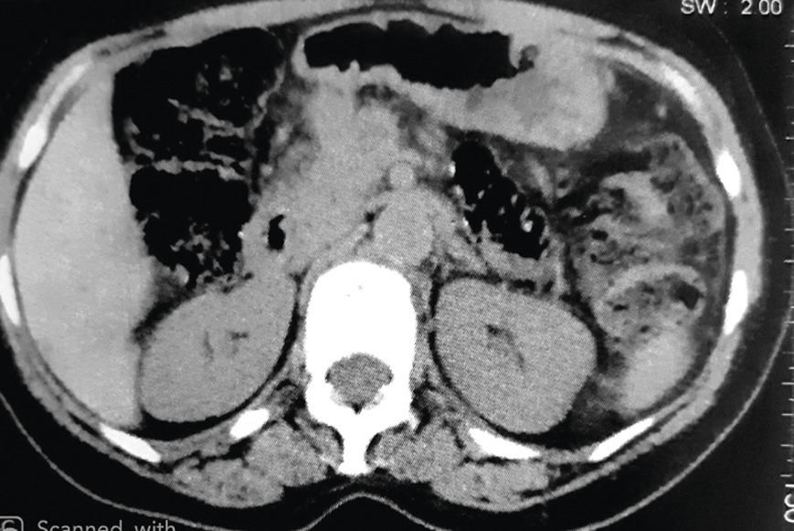
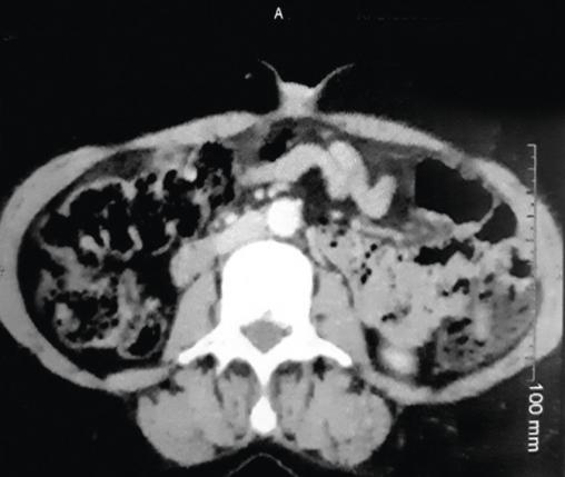
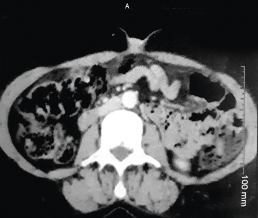
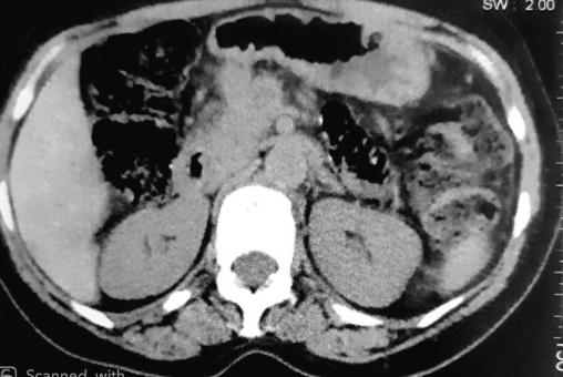
Cette femme de 54 ans consultait pour un nodule ombilical associé à des douleurs de l’hypochondre gauche, et une anorexie depuis 4 mois. À l’examen, cette tuméfaction ombilicale était douloureuse et ferme (fig. 1 ). La tomodensitométrie thoraco-abdomino-pelvienne (fig. 2 et 3 ) montrait un processus tumoral du corps du pancréas avec infiltration de la graisse périlésionnelle, métastases hépatiques et carcinose péritonéale. L’imagerie par résonance magnétique notait un processus tumoral nécrotique du corps du pancréas avec métastases hépatiques et nodules péritonéaux carcinomateux. La biopsie cutanée du nodule montrait une lymphangite carcinomateuse dermique avec des cellules tumorales carcinomateuses en petits amas dans les lymphatiques et un foyer d’infiltration épidermique pagétoïde, concluant à une lymphangite carcinomateuse dermique. Ce nodule dit de Sœur Marie-Josèphe révélait un adénocarcinome pancréatique. La patiente décédait 3 mois plus tard.
Le nodule de Sœur Marie-Josèphe est une tumeur rare d’origine métastatique d’un cancer le plus souvent gastrique. La découverte d’emblée d’un nodule métastatique sur le site ombilical témoigne du pronostic péjoratif, et de la non-opérabilité du patient.1 La survie moyenne dépend de la tumeur primitive, elle varie de 2 à 11 mois dans le cas de l’adénocarcinome pancréatique.2 Le mauvais pronostic de cette entité impose un dépistage précoce par la biopsie ou la cytoponction du nodule ombilical.
Références
1. Badri T, Fazaa B, Zermani R, et al. Tumeur de l’ombilic. Ann Dermatol Venereol 2005;132:55-7.
2. Delgadillo X, Gonzalez M, Merlini M.2007) Le nodule de Sœur Marie-Joseph. Schweiz Med Forum 2007;7:1001-2.
2. Delgadillo X, Gonzalez M, Merlini M.2007) Le nodule de Sœur Marie-Joseph. Schweiz Med Forum 2007;7:1001-2.
Une question, un commentaire ?
Sur le même thème
Exercice
Article Web
Dossier