Les maladies psychiatriques étant fréquentes (jusqu’à 20 % de la population générale), les médecins généralistes sont très souvent les premiers à les dépister et à débuter la prise en charge.
Les examens d’imagerie cérébrale ne permettent pas de confirmer ou d’infirmer le diagnostic mais visent à éliminer d’autres étiologies (certaines atteintes cérébrales se manifestent par des symptômes qui évoquent des troubles psychiatriques).

Troubles du développement cérébral

Une imagerie cérébrale est recommandée par la HAS1, 2 devant :
– une suspicion de trouble envahissant du développement de l’enfant (TED), généralement avant l’âge de 10 ans (autisme notamment) ;
– un premier épisode psychotique au cours de l’adolescence ou chez l’adulte jeune (< 30 ans), qui peut marquer l’entrée dans la schizophrénie ou un trouble bipolaire ;
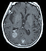
– on cherche surtout à éliminer une tumeur (a fortiori si manifestations épileptiques associées ; fig. 1).
En l’absence de critères de gravité (signe de focalisation à l’examen clinique) : demander une IRM anatomique sans urgence, mais dans un délai inférieur à 6 mois.
Chronicité et résistance
Dans certaines formes de dépression – liées à un trouble bipolaire ou non – ou de TOC ne répondant pas aux traitements médicamenteux ni psychothérapiques : demander une IRM anatomique sans urgence3 pour rechercher les causes organiques de cette résistance (démence fronto-temporale, tumeur frontale ou, le plus souvent, lésions de leucoaraiose, cf. infra).
En cas d’épisode dépressif simple de l’adulte :4 pas d’indication.
Troubles psychiatriques tardifs5
Les affections psychiatriques touchent surtout les adultes jeunes (< 40 ans), mais les décompensations aiguës ne sont pas rares chez les sujets de 50 ans.
Si elles surviennent au-delà de 65 ans chez une personne sans antécédents connus : rechercher activement une étiologie organique.
Tout d’abord, éliminer une cause iatrogène, y compris de possibles interactions
médicamenteuses.
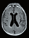
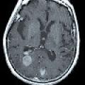
En cas de suspicion d’accident vasculaire ischémique ou hémorragique : demander un scanner cérébral en urgence (fig. 2 et 3).
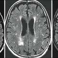
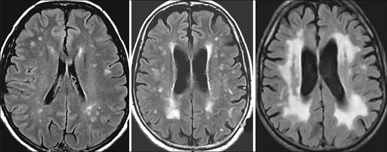
En dehors de cette situation, des ischémies sous- corticales répétées sont parfois à l’origine d’une leucoaraiose périventriculaire (fig. 4) qui n’est pas spécifique mais qui témoigne de l’étendue des lésions ischémiques. Certains tableaux de dépression de la personne âgée avec des facteurs de risque cardiovasculaire, marqués par une apathie et des troubles cognitifs, s’associent à une leucoaraiose diffuse (on parle de dépression vasculaire).
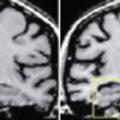
Rechercher un début de troubles cognitifs témoignant d’une maladie dégénérative (Alzheimer, Parkinson ou démence fronto-temporale [DFT]) :
– en effet, des symptômes psychiatriques à type d’anxiété, de dépression, d’apathie ou d’irritabilité sont fréquemment associés ;
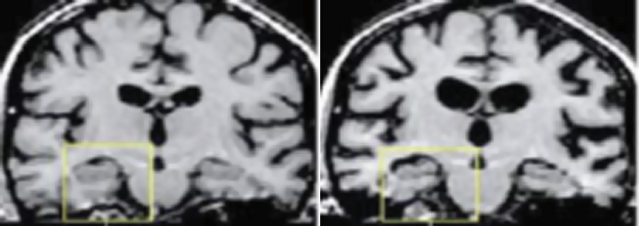
– l’IRM peut montrer une atrophie diffuse ou de l’hippocampe (fig. 5) et/ou des lésions de leucoaraiose ;
– en complément, une tomographie par émission de positons (TEP) au glucose marqué au fluor-18 met en évidence un effondrement du métabolisme frontal (DFT) ou pariétal (maladie d’Alzheimer ; fig. 6).
En cas de dépendance sévère à l’alcool compliquée de troubles cognitifs, un scanner cérébral ou une IRM peuvent révéler une atrophie diffuse (les personnes âgées sont plus vulnérables à sa neurotoxicité).
* Formation des plis et des gyrus cérébraux lors du développement du cerveau qui débute in utero et se poursuit chez le jeune adulte.
Encadre

Perspectives

De nombreuses études ont été menées pour mieux comprendre les mécanismes cérébraux des troubles mentaux. Elles s’appuient sur différentes techniques : imagerie fonctionnelle lors d’exécution de tâches, imagerie de l’intégrité de la matière blanche, mesure précise et automatisées de certaines structures cérébrales ou de la gyrification.* D’autres travaux de recherche en cours visent à identifier des marqueurs de l’inflammation cérébrale. Leur application en pratique clinique n’est pas encore envisageable.

* Formation des plis et des gyrus cérébraux lors du développement du cerveau qui débute in utero et se poursuit chez le jeune adulte.
Encadre

Trois indications

Troubles développementaux (schizophrénie, TED) : pour éliminer une tumeur cérébrale.

Pathologies chroniques et résistantes (dépression ou TOC) : exclure une cause organique.

Apparition de troubles psychiatriques après 65 ans : causes vasculaires (ischémiques ou hémorragiques) et/ou démences débutantes.

Références
1. HAS. Autisme et autres troubles envahissants du développement : diagnostic et évaluation chez l’adulte. Recommandations. Juillet 2011. https://bit.ly/2ArgSrJ

2. Petitjean F, Marie-Cardine M. Schizophrénies débutantes. Conférence de consensus des 23 et 24 janvier 2003. https://bit.ly/2yAtuui

3. HAS. Affections psychiatriques de longue durée Troubles dépressifs récurrents ou persistants de l’adulte. Guide. Février 2009. https://bit.ly/2E1RMUL

4. HAS. Épisode dépressif caractérisé de l’adulte : prise en charge en soins de premier recours. Recommandations pour la pratique clinique. Octobre 2017. https://bit.ly/2FIVPXo

5. Clement JP. Psychiatrie de la personne âgée. Paris: Médecine Sciences Flammarion; 2010.

Dans cet article

Ce contenu est exclusivement réservé aux abonnés