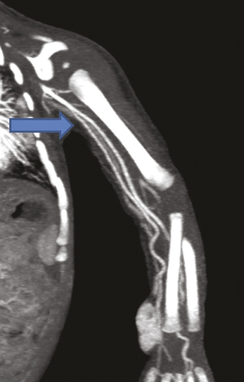
Ce nourrisson de 11 mois était hospitalisé pour l’exploration d’une masse à l’extrémité inférieure de l’avant-bras. À l’échographie, on notait une formation tissulaire hypervasculaire au Doppler couleur, motivant un complément d’investigations. L’imagerie par résonance magnétique étant techniquement difficile à réaliser, un angioscanner a été demandé, qui montrait (fig. 1 et 2 ) une tumeur vasculaire à développement essentiellement sous-cutané respectant les structures musculaires et osseuses. Il mettait en évidence une variante anatomique : une origine haute de l’artère radiale sans cross-over avec l’artère cubitale.
L’artère radiale a une importance médicale majeure : elle permet le monitoring de la pression artérielle en anesthésie et réanimation, elle sert de greffon en chirurgie coronarienne, et constitue un abord essentiel dans les fistules artérioveineuses d’hémodialyse. Selon les études,1 la prévalence estimée de l’origine haute de l’artère radiale, appelée aussi artère radiobrachiale, varie de 4,67 à 15,6 %. Cette particularité est le plus souvent unilatérale, sans prédominance de sexe ou de côté rapportée à l’heure actuelle. Elle peut prendre naissance à plusieurs niveaux, depuis l’artère axillaire jusqu’à l’artère humérale. Le cross-over cubital correspond à une artère anastomotique faisant communiquer l’artère cubitale avec l’artère radiobrachiale. Ce cross-over a été observé dans 17,8 % des cas de naissance haute de l’artère radiale.2 Compte tenu de son importance pour les abords vasculaires, il est important de connaître les variantes anatomiques de l’artère radiale.
Références
1. Haładaj R, Wysiadecki G, Dudkiewicz Z, Polguj M, Topol M. The high origin of the radial artery (brachioradial artery): its anatomical variations, clinical significance, and contribution to the blood supply of the hand. Biomed Res Int 2018;2018:1520929.
2. McCormack LJ, Cauldwell EW, Anson BJ. Brachial and antebrachial arterial patterns; a study of 750 extremities. Surg Gynecol Obstet 1953;96:43-54.
2. McCormack LJ, Cauldwell EW, Anson BJ. Brachial and antebrachial arterial patterns; a study of 750 extremities. Surg Gynecol Obstet 1953;96:43-54.
Une question, un commentaire ?