Objectifs
Savoir décrire et reconnaitre les principaux mouvements anormaux.

Tremblement

Le tremblement se définit comme une oscillation rythmique du corps ou d’une partie du corps autour de sa position d’équilibre. Il est caractérisé par sa fréquence et son amplitude, mais sa classification clinique repose essentiellement sur ses circonstances de survenue et sa localisation.
C’est son caractère rythmique qui permet de le distinguer facilement de la plupart des autres mouvements anormaux.

Orientation étiologique et prise en charge

L’interrogatoire doit préciser :
  • les circonstances d’apparition (aiguë, subaiguë ou chronique) ;
  • les antécédents personnels et les antécédents familiaux de tremblement ou de maladie neurologique ;
  • les prises médicamenteuses.
L’analyse du tremblement repose sur :
  • ses circonstances de survenue et, afin de les préciser, l’examen clinique doit comporter :
  • un examen de la marche, un examen au repos (sujet assis, avant-bras posé sur les cuisses) et une épreuve de calcul mental qui peuvent mettre en évidence un tremblement de repos ;
  • les manœuvres des bras tendus et du bretteur qui peuvent révéler un tremblement postural ;
  • l’épreuve « doigt-nez », une épreuve d’écriture avec réalisation d’une spirale, l’épreuve du verre, qui objectivent un tremblement intentionnel ;
  • sa localisation : chef, face, voix ; le caractère proximal ou distal, uni- ou bilatéral ;
  • la recherche de signes associés : neurologiques (signes parkinsoniens ou cérébelleux notamment) et généraux.

Tremblement de repos


Diagnostic positif

Il est présent lorsque les muscles sont totalement relâchés et disparaît lors de la contraction musculaire ou lors du sommeil.
Il est potentialisé par le calcul mental, et par la marche lorsqu’il touche les membres supérieurs.
Il est le plus souvent localisé à la partie distale des membres, mais peut toucher la mandibule, la langue ou les lèvres.
Il n’est, en règle générale, jamais localisé au chef. Sa fréquence est de 4 à 6 par seconde.

Diagnostic étiologique

Pur, il est quasiment pathognomonique du syndrome parkinsonien, qu’il s’agisse d’une maladie de Parkinson, d’un autre syndrome parkinsonien dégénératif, d’un syndrome parkinsonien iatrogène, ou, chez le sujet jeune, d’une maladie de Wilson (encadré).
La recherche d’une prise de neuroleptiques (classiques ou cachés) doit être systématique.
Chez le sujet de moins de 50 ans, un dosage sérique du cuivre échangeable et de la céruléoplasmine ainsi qu'une cuprurie (pour une maladie de Wilson) sont indiqués.

Traitement

Il est dépendant de la cause.
En cas de tremblement iatrogène : exclusion des neuroleptiques si possible ou, en cas d’impossibilité, discussion du remplacement des neuroleptiques classiques par la clozapine, qui a l’avantage de ne pas entraîner de syndrome parkinsonien mais qui nécessite une surveillance hebdomadaire de l’hémogramme pendant les 18 premières semaines, puis tous les mois.
En cas de maladie de Parkinson ou d’autre syndrome parkinsonien dégénératif, il faut discuter en fonction de la gêne fonctionnelle et du terrain, soit les agonistes dopaminergiques, soit la L-Dopa.
En cas de maladie de Wilson, c’est le traitement spécifique de la maladie.

Tremblement d’action

Il survient lorsque les muscles sont activés. Il peut être à prédominance posturale ou intentionnelle.
Le tremblement postural est révélé par la manœuvre des bras tendus, ou du bretteur : il est absent au repos, présent au maintien de l’attitude.
Le tremblement intentionnel apparaît lors de la réalisation des mouvements, et peut être testé par l’épreuve des verres, l’écriture, la réalisation d’une spirale.

Exagération du tremblement physiologique

C’est la première cause à éliminer. Il s’agit en général d’un tremblement essentiellement postural. Cette exagération du tremblement physiologique peut être :
  • d’origine iatrogène (tableau 1) ;
  • de substances excitantes (café) ;
  • d’origine endocrinienne ou métabolique : hyperthyroïdie, troubles ioniques, sevrage éthylique, alcoolisme, maladie de Wilson à évoquer chez le sujet jeune (avant 50 ans).

Tremblement essentiel (tableau 2)

Un tremblement essentiel est évoqué devant un tremblement d’installation progressive sur plusieurs années, le plus souvent symétrique, de fréquence rapide (de 8 à 12 c/s), touchant en général en priorité les membres supérieurs, mais parfois aussi le chef, la mandibule ou la voix.
Initialement postural, s’aggravant progressivement, et devenant également intentionnel, il perturbe alors la réalisation des mouvements volontaires. Il est volontiers amélioré par l’alcool et survient (mais ce n’est pas toujours le cas) dans un contexte familial.
Le traitement repose, en fonction du terrain et des contre-indications, sur le propranolol (de 40 à 160 mg), la primidone (en débutant par un quart de comprimé à 25 mg), ou le topiramate (de 25 à 75 mg).
Dans les formes sévères, la stimulation cérébrale profonde du noyau ventro-intermédiaire (VIM) du thalamus, ou la thalamotomie par Gamma Knife, peuvent être discutées.

Tremblement cérébelleux

Il est principalement intentionnel, souvent de grande amplitude et proximal, de fréquence basse (4 c/s). Il traduit un syndrome cérébelleux dont les causes peuvent être nombreuses :
  • toxiques (intoxication alcoolique aiguë ou chronique, iatrogène (tableau 3) ;
  • lésionnelles (sclérose en plaques, séquelles d’accident vasculaire cérébral ou de traumatisme crânien…) ;
  • dégénératives ou génétiques (ataxies héréditaires).
Aucun traitement n’a réellement fait la preuve de son efficacité. La stimulation du noyau ventral intermédiaire (VIM) du thalamus peut, dans certains cas, être discutée.

Tremblement rubral

Il est souvent assimilé au tremblement cérébelleux, mais est lié à une lésion du noyau rouge ou de ses voies afférentes ou efférentes.
Il s’agit d’un tremblement intentionnel de grande amplitude, mais qui se distingue du tremblement cérébelleux par sa présence également au repos et au maintien de l’attitude (tremblement présent aux 3 temps).
Ses causes sont essentiellement lésionnelles.
Comme pour le tremblement cérébelleux, il n’y a pas de traitement réellement efficace.

Autres tremblements


Tremblement spécifique d’une tâche

Il n’apparaît que lors de la réalisation d’une tâche spécifique, comme par exemple l’écriture (tremblement de l’écriture).
Son diagnostic différentiel peut se poser avec une dystonie de fonction.
Ce tremblement ne nécessite pas la réalisation d’examens complémentaires si le reste de l’examen clinique est normal.
Les possibilités thérapeutiques sont limitées, mais les traitements du tremblement essentiel peuvent être tentés.

Tremblement orthostatique

Il n’est présent qu’en position debout et concerne les membres inférieurs.
En général, le patient ne se plaint pas de tremblement mais de troubles de l’équilibre et de la marche.
L’examen des cuisses à l’orthostatisme montre un tremblement des quadriceps.
L’enregistrement électrophysiologique réalisé en position debout enregistre au niveau des quadriceps un tremblement extrêmement rapide (de 15 à 17 c/s).
La prise en charge thérapeutique, souvent décevante, repose sur les traitements anti-épileptiques tels que la gabapentine, le clonazepam, et les traitements anti-trémoriques tels que le propranolol ou la primidone.

Tremblements psychogènes

Ils doivent être évoqués en cas de tremblement :
  • irrégulier en fréquence ou amplitude, notamment lors des manœuvres de distractibilité (par exemple lors des mouvements complexes réalisés avec le membre controlatéral) ;
  • associant de manière inhabituelle une composante de repos, posturale et d’action ;
  • de début brutal, avec parfois un événement déclenchant.
Il faut aussi l’évoquer en cas d’antécédent de somatisation.

Examens complémentaires

L’analyse clinique est le temps principal du diagnostic d’un tremblement.

Examens biologiques

Ceux à réaliser, quel que soit le type de tremblement, sont :
  • en cas d’installation récente ou subaiguë : un dosage de la TSHus ;
  • avant l’âge de 50 ans, un dosage du cuivre échangeable et de la céruléoplasmine pour exclure une rare maladie de Wilson.

Enregistrement électrophysiologique

Il n’est pas systématique, mais permet de déterminer la fréquence du tremblement (qui peut constituer une orientation étiologique) et peut être utile :
  • en cas de tremblement psychogène, pour documenter l’effet des manœuvres de distractibilité ;
  • en cas de tremblement orthostatique, où il est le seul moyen d’affirmer le diagnostic (enregistrement à l’orthostatisme d’un tremblement de 15 à 17 Hz) ;
  • pour faire le diagnostic différentiel avec des myoclonies rythmiques, dont la prise en charge thérapeutique est totalement différente.

Réalisation d’une imagerie cérébrale

Elle est nécessaire en cas :
  • de tremblement cérébelleux ou rubral ;
  • de tremblement de début brutal, surtout lorsqu’il est unilatéral ;
  • et de suspicion de maladie de Wilson (où l’IRM cérébrale montre des hypersignaux évocateurs notamment des noyaux gris centraux).

Réalisation d’une scintigraphie au bêta-CIT (DAT-Scan)

Elle est indiquée pour distinguer un tremblement essentiel d’un tremblement parkinsonien.
Cette distinction est le plus souvent facile cliniquement, mais peut s’avérer difficile en cas d’association non exceptionnelle d’un tremblement de repos et postural.

Dystonie

Définition

Elle se définit comme une contraction musculaire involontaire prolongée, responsable de mouvements répétitifs (souvent en rotation) ou de postures anormales.
La dystonie se reproduit en général toujours à l’identique chez un patient donné. Elle est majorée par le mouvement, améliorée par le repos.

Classification

L’analyse sémiologique permet de distinguer :
  • les dystonies focales ou segmentaires limitées à une région du corps : par exemple, le blépharospasme (dystonie localisée aux muscles orbiculaires des paupières caractérisée par des mouvements itératifs d’occlusion des paupières invalidants), la dystonie cervicale (ou torticolis spasmodique) localisée aux muscles du cou, la dystonie focale d’un membre ;
  • les hémidystonies ;
  • les dystonies généralisées ;
  • les dystonies de fonction qui n’apparaissent que lors de la réalisation d’une fonction spécifique comme l’écriture (crampe des écrivains) ou la pratique d’un instrument de musique (crampe des musiciens).

Diagnostic étiologique

Il doit distinguer :
  • les dystonies primaires : d’origine génétique (même s’il n’existe pas toujours d’antécédents familiaux) ;
  • les dystonies secondaires :
  • iatrogènes : les neuroleptiques peuvent provoquer des dystonies aiguës lors de leur introduction, ou après plusieurs années d’utilisation, des dystonies tardives (appelées dyskinésies tardives). Elles sont le plus souvent limitées à un groupe musculaire, notamment du cou ou de la face ;
  • lésionnelles : une lésion des noyaux gris centraux (accident vasculaire cérébral, anoxie, intoxication au monoxyde de carbone…) peut se compliquer par une dystonie controlatérale à la lésion, le plus souvent après un intervalle libre de quelques mois à quelques années ;
  • métaboliques : la maladie de Wilson mais aussi d’autres maladies métaboliques rares peuvent se révéler par une dystonie.

Conduite à tenir

Il faut :
  • rechercher une prise de neuroleptiques récente ou ancienne (un intervalle libre est possible) ;
  • réaliser une enquête familiale, à la recherche d’antécédents neurologiques familiaux similaires ;
  • réaliser une imagerie cérébrale (à la recherche d’une lésion des noyaux gris centraux notamment) ;
  • effectuer un dosage du cuivre et de la céruléoplasmine (chez les sujets de moins de 50 ans).

Traitement

La toxine botulique peut être proposée en cas de dystonie focale : injection sous-cutanée ou intramusculaire dans les muscles impliqués dans la dystonie. La toxine botulique agit en réalisant un bloc présynaptique au niveau de la jonction neuromusculaire (elle empêche la libération de l’acétylcholine dans la fente synaptique).
Un traitement par L-dopa doit être essayé devant toute dystonie, car il existe de rares formes dopa-sensibles.
Les les anticholinergiques peuvent être proposés (trihexyphénidyle), en l’absence de contre-indications (glaucome à angle fermé, adénome de la prostate…) et avant l’âge de 60 ans en raison du risque confusionnel au-delà.

Chorée

Il s’agit de mouvements spontanés, rapides, irréguliers, d’assez grande amplitude, arythmiques, survenant sur un fond d’hypotonie, dépourvus de finalité.

Classification étiologique


Chorées acquises

Chorées iatrogènes : de très nombreux médicaments peuvent entraîner une chorée : antiparkinsoniens (notamment la L-Dopa), antagonistes dopaminergiques, antiépileptiques, inhibiteurs calciques, lithium, contraception orale, etc.
Chorées auto-immunes : chorée post-streptoccocique (de Sydenham) apparaissant dans les semaines suivant une angine streptococcique non traitée par antibiotiques, lupus érythémateux disséminé ou syndrome des antiphospholipides, thyroïdite d’Hashimoto, syndromes paranéoplasiques (en général associés à la présence d’anticorps antineurones dans le sang ou le liquide céphalo-rachidien).
Chorées gravidiques : survenant au cours de la grossesse.
Chorées lésionnelles : vasculaires ou tumorales, lésions des noyaux gris centraux (striatum notamment).
Chorées métaboliques : hyperglycémie sans cétose.
Chorées infectieuses : toxoplasmose cérébrale, infection à VIH.
Rarement maladie de Creutzfeldt-Jakob.

Chorées héréditaires

Elles sont dominées par la maladie de Huntington.
La maladie de Huntington est une maladie héréditaire de transmission autosomique dominante, liée à une mutation de type répétition de triplets CAG dans le gène de la huntingtine. La pénétrance est de 100 %.
L’âge de début est variable, inversement proportionnel au nombre de triplets CAG. L’évolution est lente et se fait sur une vingtaine d’années.
Trois types de signes peuvent inaugurer la maladie ou apparaître au cours de l’évolution :
  • les signes psychiatriques : troubles thymiques, troubles du comportement (impulsivité quasi systématique) ;
  • les troubles cognitifs : apparition d’une détérioration intellectuelle dominée par des troubles cortico-frontaux (troubles dyséxécutifs, difficultés de planification, d’abstraction).
  • les signes moteurs : mouvements choréiques diffus ou, dans les formes juvéniles, syndrome akinéto-hypertonique ;
Les autres signes sont des troubles oculomoteurs (lenteur puis limitation de la poursuite oculaire et des saccades) apparaissant au cours de l’évolution.
Le diagnostic repose sur l’étude génétique, qui met en évidence une augmentation des triplets CAG (> 39) dans le gène de la huntingtine.
L’aggravation progressive de la chorée a pour conséquence des troubles de l’équilibre, de la coordination, de l’élocution et de la déglutition. Ces troubles moteurs associés à l’aggravation des troubles cognitifs (démence) sont à l’origine d’une perte progressive de l’autonomie
Le traitement est actuellement purement symptomatique :
  • des mouvements choréiques : tétrabénazine (Xenazine) de 12,5 à 75 mg/j (effets secondaires à surveiller : syndrome dépressif et syndrome parkinsonien), neuroleptiques (olanzapine, tiapride) ;
  • des troubles psychiatriques : en fonction des symptômes, neuroleptiques, antidépresseurs, anxiolytiques ;
  • kinésithérapie et orthophonie sont nécessaires pour la prise en charge des troubles de la coordination et de l’équilibre, ainsi que pour les troubles de l’élocution et de la déglutition.
Le conseil génétique est indispensable et requiert une information concernant le mode de transmission de la maladie. Un diagnostic présymptomatique peut être proposé aux membres de la famille non malades (dans le cadre de consultations pluridisciplinaires faisant intervenir un neurologue, un psychiatre et un généticien).

Conduite à tenir face à une chorée

Elle consiste en :
  • la recherche des antécédents familiaux ou la prise de médicaments ;
  • un bilan biologique à adapter à chaque situation : glycémie, recherche anticorps antiphospholipides, antinucléaires, antineurones, antistreptococciques, antithyroglobuline, TSHus ;
  • la recherche génétique de la maladie de Huntington, notamment en cas d’antécédent familial de démence ou de trouble pyschiatrique, ou en cas de chorée généralisée progressive, sans autre cause évidente ;
  • IRM cérébrale à la recherche d’une lésion du striatum notamment ;
  • le traitement symptomatique de la chorée (tétrabénazine [Xenazine] de 12,5 à 75 mg/j [contre-indication : dépression ou syndrome akinétique sévère]) les neuroleptiques ;
  • le traitement de la cause : syndrome des antiphospholipides, thyroïdite, etc.

Ballisme

Il s’agit de mouvements de très grande amplitude, proximaux, qui justifient le même bilan et la même prise en charge que les mouvements choréiques.
En cas de début brutal, une origine vasculaire doit être exclue en priorité : accident vasculaire ischémique ou, plus souvent, hématome des noyaux gris centraux (noyau sous-thalamique en particulier)

Myoclonies

Définition

Il s’agit de contractions musculaires brusques et brèves touchant un fragment de muscle, un muscle entier, voire plusieurs muscles. Elles sont le plus souvent arythmiques, mais il existe des myoclonies rythmiques qui constituent le principal diagnostic différentiel du tremblement. Les myoclonies négatives correspondent à de brusques résolutions du tonus et sont appelées également astérixis.

Diagnostic étiologique

Les causes de myoclonies sont très nombreuses.
Les circonstances de survenue (aiguë, subaiguë, chronique), la localisation (localisées ou diffuses), le caractère spontané, provoqué (myoclonies d’action) ou réflexe (myoclonies provoquées par le bruit, le toucher), les signes associés (hyperthermie, troubles de la vigilance) permettent d’orienter le diagnostic étiologique. Les myoclonies peuvent en effet témoigner d’une souffrance cérébrale (cortex, tronc cérébral) ou médullaire.
Causes métaboliques : insuffisance rénale, hyponatrémie, hyperammoniémie. Le flapping tremor malgré son nom se range plus volontiers dans le groupe des myoclonies : il apparaît au maintien de l’attitude, est irrégulier, avec une composante d’atonie (durant laquelle la main chute). Il se rencontre dans les encéphalopathies métaboliques (dosage de l’hyperammoniémie).
Causes iatrogènes : surdosage médicamenteux notamment (lithium, antiviraux, par exemple).
Encéphalites infectieuses.
Épilepsie.
Causes lésionnelles : post-anoxiques, par exemple.
Maladie de Creutzfeldt-Jakob.

Conduite à tenir

Il faut réaliser un bilan biologique en cas de myoclonies aiguës ou subaiguës : ionogramme, glycémie, créatininémie, urée, ammoniémie.
Le reste du bilan peut comporter :
  • un électro-encéphalogramme : à la recherche de signes épileptiques ;
  • une IRM ou un scanner cérébral (en cas de myoclonies diffuses ou latéralisées) ou une IRM médullaire (en cas de myoclonies limitées aux membres inférieurs) ;
  • l’étude du liquide céphalo-rachidien en cas d’hyperthermie (pour exclure une encéphalite ou une méningo-­encéphalite infectieuse), ou en cas de suspicion de maladie de Creutzfeldt-Jakob (dosage de la protéine 14.3.3 et de la protéine tau totale).

Tics

Définition

Les tics correspondent à des mouvements involontaires, soudains, brefs, intermittents, stéréotypés, répétés, précédés d'un sentiment prémonitoire. Ils peuvent être simples (clignement des paupières), complexes (caricature d’un geste volontaire), vocaux (raclement de gorge, reniflements, cris), voire coprolalie (verbalisation d’obscénités). Il s’agit des seuls mouvements anormaux qui peuvent être transitoirement contrôlés par la volonté, mais au prix d’une tension intense, avec en général un phénomène de rebond.

Classification

Tics bénins : ils surviennent en général dans l’enfance et disparaissent spontanément en quelques années, soit totalement, soit partiellement. Ils n’ont pas d’incidence sur l’intégration scolaire, sociale ou professionnelle.
Maladie des tics de Gilles de la Tourette : elle débute dans l’enfance. Son diagnostic nécessite la présence de tics moteurs et de tics verbaux (bruits laryngés, coprolalie), quotidiens, chroniques, à l’origine d’une souffrance marquée ou d’un retentissement fonctionnel. Elle peut s’accompagner de comorbidités fréquentes (troubles obsessionnels compulsifs, dépression, autisme, automutilations). L’évolution peut se faire de manière favorable à l’âge adulte, mais certaines formes restent graves, avec impossibilité d’intégration sociale.

Conduite à tenir

Le diagnostic de tics ne nécessite pas la réalisation d’examens complémentaires.
La prise en charge thérapeutique doit prendre en compte le retentissement fonctionnel et social. En l’absence de retentissement, aucun traitement n’est nécessaire. En cas de retentissement fonctionnel, dans le cadre de la maladie des tics de Gilles de la Tourette, la prise en charge thérapeutique repose sur la thérapie cognitive et comportementale et les neuroleptique à faibles doses. En cas de comorbidités, une prise en charge mixte neurologique et psychiatrique est souvent nécessaire. La prise en charge sociale ne doit pas être négligée.

Athétose

L’athétose correspond à des mouvements involontaires et reptatoires.
Ce terme est actuellement réservée aux mouvements anormaux postanoxiques, qui combinent des éléments dystoniques et choréiques.

Hémispasme facial

Il se distingue des autres mouvements anormaux car, contrai- rement à tous les autres, son mécanisme n’est pas lié à une ano- malie des noyaux gris centraux. Il est soit secondaire à un conflit vasculo-nerveux sur le trajet du nerf facial (spasme hémifacial primitif), soit secondaire à une régénération aberrante des fibres du nerf facial au décours d’une paralysie faciale périphérique (hémispasme facial post-paralytique).
Il correspond à des secousses musculaires, non rythmiques, irrégulières, localisées à une hémiface. Ces secousses peuvent avoir un caractère soutenu (tonique) ou être plus brèves (clo- niques).
La réalisation d’une IRM cérébrale pour exclure une lésion sur le trajet du nerf facial est indiquée.
Le traitement repose sur la réalisation d’injections sous-cutanées de faibles doses de toxine botulique.

Dyskinésies

Le terme de dyskinésies est un terme générique décrivant des mouvements anormaux choréiques et/ou dystoniques associés à deux grands cadres étiologiques :
  • les dyskinésies dopa-induites observées chez les patients parkinsoniens traités de manière pulsatile par lévodopa ;
  • les dyskinésies iatrogènes induites par les neuroleptiques.

Dyskinésies dopa-induites

Elles sont classées en deux catégories :
  • les dyskinésies de pic de dose, de nature choréo-dystoniques intéressant le tronc, le chef et les membres, et prédominant du côté le plus dénervé ;
  • les dyskinésies de début et fin de dose ou dyskinésies biphasiques, de nature choréo-ballique, intéressant plus volontiers la racine des membres inférieurs.

Dyskinésies induites par les neuroleptiques

On distingue ici deux formes possibles :
  • les dyskinésies aigues (dystonie axiale, et crises oculogyres) pouvant faire l’objet d’une injection d’anticholinergique en intramusculaire ou en intraveineuse lente ;
  • les dyskinésies tardives (dyskinésies bucco-facio-masticatoires et akathisie [piétinement]).
Points forts
Mouvements anormaux

POINTS FORTS À RETENIR

Un tremblement de repos pur est un tremblement parkinsonien.

Tout mouvement anormal apparaissant avant l’âge de 50 ans doit conduire à éliminer une maladie de Wilson.

La réalisation d’une imagerie cérébrale est indiquée dans le bilan étiologique des tremblements cérébelleux.

Devant tout mouvement anormal, une cause toxique, notamment médicamenteuse, doit être recherchée.

Les neuroleptiques sont contre-indiqués en cas de tremblement de repos mais également en cas de dystonie.

Le traitement de choix des dystonies focales repose sur les injections locales de toxine botulique.

Une chorée peut révéler une maladie auto-immune, notamment un syndrome des antiphospholipides ou un lupus erythémateux disséminé.

Un conseil génétique est indispensable en cas de diagnostic de maladie de Huntington.

Associées à des troubles de la vigilance, les myoclonies doivent conduire à rechercher en priorité une encéphalopathie infectieuse ou toxique.

L’association de troubles psychiatriques et de mouvements anormaux (en dehors des mouvements anormaux liés à la prise de neuroleptiques) conduit à rechercher une maladie de Huntington et une maladie de Wilson.

La maladie de Huntington est de transmission autosomique dominante.

La maladie de Wilson est de transmission autosomique récessive.

Un taux de céruléoplasmine normal n’exclut pas toujours une maladie de Wilson.

Encadre

Maladie de Wilson

Le diagnostic de maladie de Wilson doit être évoqué devant tout mouvement anormal apparaissant avant l’âge de 50 ans.

Il s’agit d’une maladie multisystémique,

héréditaire de transmission autosomique

récessive, due à des mutations du gène ATP7B (codant pour le transporteur intrahépatique du cuivre), à l’origine d’une accumulation de cuivre intrahépatique.

Les signes cliniques peuvent être :

➜ hépatiques : tableaux de stéatose, de cirrhose progressive, d’hépatite chronique aiguë ou fulminante ;

➜ hématologiques : accès d’anémie hémolytique ;

➜ néphrologiques : syndrome néphrotique, tubulopathie ;

➜ psychiatriques : troubles de la personnalité ou du comportement, addictions, altération des performances scolaires ;

➜ neurologiques : mouvements anormaux : tremblements postural et intentionnel, syndrome parkinsonien, dystonie focale, notamment faciale (aspect de « sourire sardonique »), ou généralisée et plus rarement chorée ou syndrome cérébelleux.

Les signes cliniques peuvent être

neurologiques purs, et il faut penser

au diagnostic même en l’absence

d’atteinte plurisystémique.

Le diagnostic repose sur :

➜ l’enquête familiale : recherche de mouvements anormaux ou de troubles psychiatriques dans la fratrie, recherche de consanguinité ;

➜ le dosage de la cuprémie totale (diminuée) et de la cuprurie (augmentée) ;

➜ le dosage du cuivre échangeable relatif (CER), défini par le rapport du cuivre libre ou échangeable sur le cuivre total, est également recommandé (> 18.5%) ;

➜ le dosage de la céruléoplasmine (diminuée) ;

➜ la recherche d’un anneau de Kayser-Fleischer (dépôt de cuivre péricornéen mis en évidence par l’examen à la lampe à fente) ;

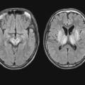
➜ la réalisation d’une IRM cérébrale (figure ci-dessus) qui dans les formes neurologiques est toujours anormale : hypersignaux T2 et FLAIR localisés aux noyaux gris centraux, au thalamus, au mésencéphale, voire au noyau dentelé ;

➜ l’étude génétique (réalisée après signature d’un consentement éclairé),qui confirme le diagnostic.

Le traitement médical est d’autant plus efficace qu’il est administré à un stade précoce de la maladie. Il repose sur les chélateurs du cuivre (D-pénicillamine, trientine) et les sels de zinc (qui diminuent l’absorption intestinale du cuivre). L’évaluation de l’observance et de l’efficacité repose sur la clinique et le dosage urinaire du cuivre des 24 heures (élevé sous traitements chélateurs et bas sous sels de zinc). L’amélioration clinique sous traitement est lente et peut être totale, mais une aggravation transitoire (hépatique et/ou neurologique) peut être observée à l’introduction du traitement. La transplantation hépatique est réservée aux formes hépatiques sévères. Dans les formes neurologiques, elle peut être discutée en cas de résistance au traitement médical.

La surveillance clinique et biologique est multidisciplinaire. Elle doit s’assurer de la bonne observance du traitement. L’enquête familiale est indispensable afin d’identifier la maladie dans la fratrie et de débuter précocement le traitement.

Message auteur

Mouvements anormaux

Ce chapitre des mouvements anormaux est complémentaire du chapitre consacré aux syndromes parkinsoniens.

La maladie de Wilson peut s’inscrire dans les deux questions, et peut faire l’objet d’un cas clinique.

Il faut se souvenir que tout mouvement anormal survenant avant 50 ans peut révéler une maladie de Wilson, et connaître les moyens du diagnostic (tests biologiques et génétiques, IRM cérébrale) ainsi que les principes du traitement et de sa surveillance.

Comme la maladie de Wilson, la maladie de Huntington est un sujet transversal avec la psychiatrie et la génétique, et peut également faire l’objet d’une question.

Il faut savoir reconnaître la maladie de Huntington, connaître les modalités du diagnostic, celles du conseil génétique du diagnostic présymptomatique, ainsi que les principes du traitement.

Le diagnostic d’un tremblement est également une question importante.

Comment examiner un tremblement, orienter son diagnostic étiologique, et savoir quels sont les examens complémentaires à réaliser (ou à ne pas réaliser) en cas de tremblement.

Enfin, les mouvements anormaux peuvent être iatrogènes, et il faut connaître les principaux médicaments susceptibles d’induire un tremblement, une dystonie, une chorée…

Dans cet article

Ce contenu est exclusivement réservé aux abonnés