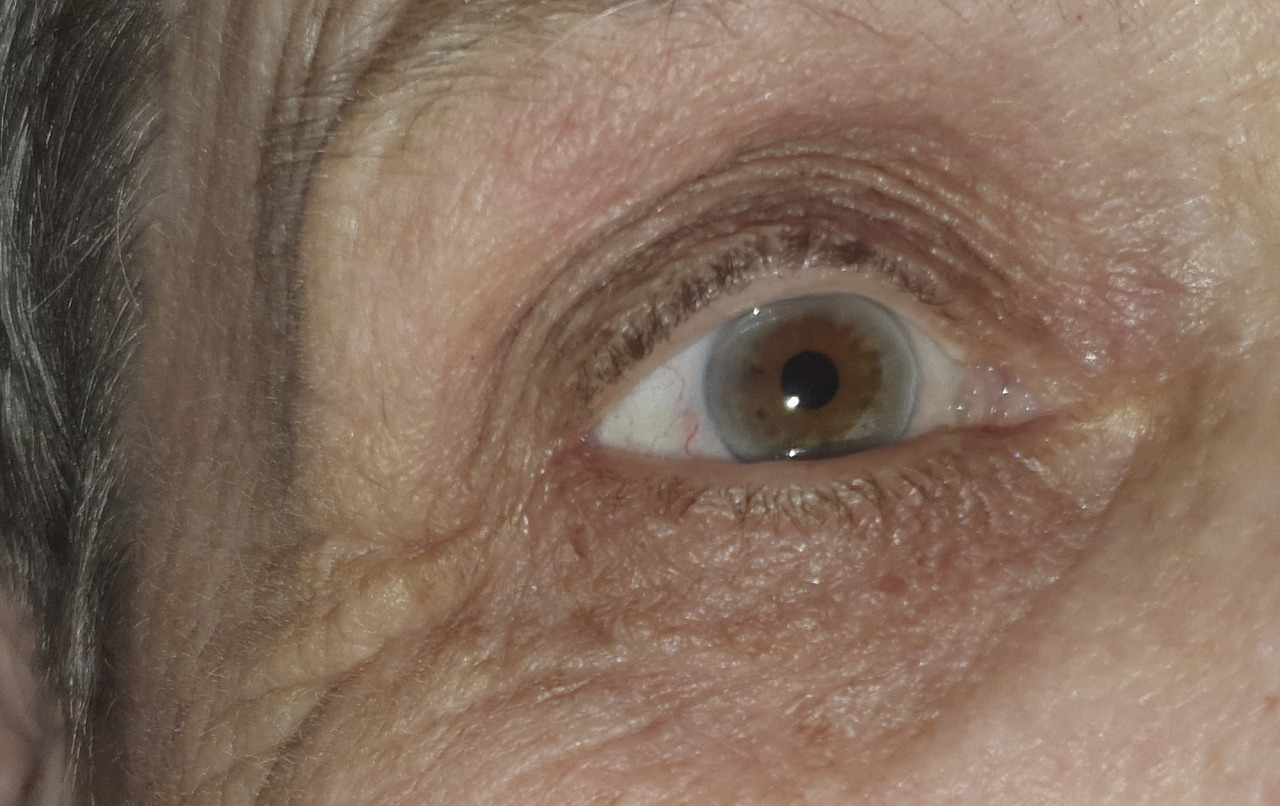
Sur demande d’une infirmière exerçant en maison de retraite, Maryvonne, 87 ans, est examinée pour une pigmentation périorbitaire excessive (figure). Son dossier médical indique qu’elle a été admise dans l’établissement dans un contexte de perte d’autonomie avec insuffisance hépato­cellulaire due à un alcoolisme chronique.

L’hyperpigmentation périorbitaire peut être classée en cinq catégories, selon sa cause :
- constitutionnelle, avec une bande courbe brunâtre typique au niveau de la paupière inférieure ;
- post-inflammatoire, avec des taches irrégulières brunes ou grises, pigmentation associée à des caractéristiques de lichénification ;
- vasculaire, avec un érythème, des capillaires proéminents ou des télangiectasies ;
- effet d’ombre, dû au relâchement cutané autour des yeux ;
- autres (anémie, troubles hormonaux, carences nutritionnelles, hémochromatose, alcoolisme…).
Les patients alcooliques avec atteinte hépatique peuvent avoir une hyperpigmentation périorale, périorbitaire, aréolaire et des jambes ainsi qu’une majoration de leurs éphélides. Cette hyperpigmentation est probablement liée à un excès de synthèse de la mélanine dans les cellules de la couche basale de l’épiderme (mélanocytes). Ces lésions pigmentaires apparaissent le plus souvent sur les zones photoexposées.
La prise en charge est avant tout étiologique.

Pour en savoir plus

Ranu H, Thng S, Goh BK, et al. Periorbital hyperpigmentation in Asians: An epidemiologic study and a proposed classification. Dermatol Surg 2011;37(9):1297-303.
Smith KE, Fenske NA. Cutaneous manifestations of alcohol abuse. J Am Acad Dermatol 2000;43:1-16; quiz 16-8.
Liu SW, Lien MH, Fenske NA. The effects of alcohol and drug abuse on the skin. Clin Dermatol 2010;28(4):391-9.
Kluger N. Manifestations cutanées liées à la consommation et à l’abus d’alcool. Images en dermatologie 2014;VII(1):33-8.

Une question, un commentaire ?