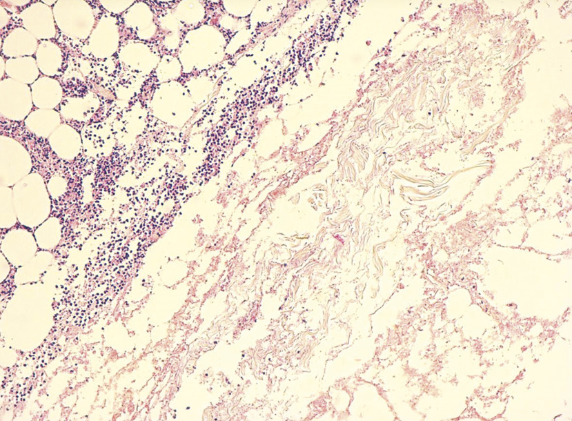
Cet homme de 58 ans consultait pour de multiples lésions nodulaires noirâtres, apparues depuis quelques mois sur une lésion nodulaire post-traumatique évoluant depuis 1 an sur la face interne de la jambe gauche ; ces lésions dont quelques-unes avaient une surface ulcérée étaient étagées le long du membre (fig. 1 ). Ces lésions étaient entourées d’un placard achromique bien limité, rappelant l’aspect d’un vitiligo (fig. 2 ) ; le patient ne rapportait pas d’antécédent personnel ou familial de vitiligo. Une biopsie de la lésion initiale confirmait le diagnostic de mélanome avec un indice de Breslow à 9 mm (fig. 3 ). Le bilan d’extension montrait de multiples nodules pulmonaires et des adénopathies d’allures tumorales au niveau inguinal et iliaque interne et externe gauche. Ce patient décédait 1 mois plus tard.
Le mélanome est une tumeur cutanée agressive nécessitant une prise en charge rapide au stade initial. L’apparition de lésions achromiques vitiligo-like chez des patients ayant un mélanome a été rapportée ; sa prévalence est de 2,8 à 7 % de l’ensemble des mélanomes.1-3 Certains supposent que lorsque les antigènes des mélanocytes transformés sont détectés par le système immunitaire, des anticorps anti-mélanome se forment et détruisent également les mélanocytes normaux.4 L’apparition de lésions vitiligo-like chez un patient avec un mélanome serait donc un signe de bon pronostic. Plus récemment, une équipe a rapporté l’apparition de lésions achromiques chez des patients ayant un mélanome métastatique traité par des nouvelles thérapeutiques.5
Références
1. Berd D, Mastrangelo MJ, Lattime E, et al. Melanoma and vitiligo: immunology’s Grecian urn. Cancer Immunol Immunother 1996;42:263-7.
2. Vyas R, Selph J, Gerstenblith MR. Cutaneous manifestations associated with melanoma. Semin Oncol 2016;43:384-9.
3. Speeckaert R, van Geel N, Vermaelen KV, et al. Immune reactions in benign and malignant melanocytic lesions: lessons for immunotherapy. Pigment Cell Melanoma Res 2011;24:334-44.
4. Nedelcu RI, Zurac SA, Brinzea A, et al. Morphological features of melanocytic tumors with depigmented halo: review of the literature and personal results. Rom J Morphol Embryol 2015;56:659-63.
5. Miguel Angel Flores-Terry. A case of vitiligo-like depigmentation induced by dabrafenib in patients with metastatic melanoma. JAAD 2016;74:AB184.
2. Vyas R, Selph J, Gerstenblith MR. Cutaneous manifestations associated with melanoma. Semin Oncol 2016;43:384-9.
3. Speeckaert R, van Geel N, Vermaelen KV, et al. Immune reactions in benign and malignant melanocytic lesions: lessons for immunotherapy. Pigment Cell Melanoma Res 2011;24:334-44.
4. Nedelcu RI, Zurac SA, Brinzea A, et al. Morphological features of melanocytic tumors with depigmented halo: review of the literature and personal results. Rom J Morphol Embryol 2015;56:659-63.
5. Miguel Angel Flores-Terry. A case of vitiligo-like depigmentation induced by dabrafenib in patients with metastatic melanoma. JAAD 2016;74:AB184.
Une question, un commentaire ?
Sur le même thème
Exercice
Article Web