Un nourrisson de 2 mois, de sexe masculin, est admis pour prise en charge d’une détresse respiratoire. La grossesse n’a pas été suivie ; l’accouchement médicalisé s’est déroulé par voie basse. À la naissance, le score d’Apgar est à 2. L’examen clinique à l’admission trouve des extrémités cyanosées, une polypnée (fréquence respiratoire à 80 cycles/min), des signes de lutte (tirage sous- et intercostal, battement des ailes du nez), la saturation est à 60 % en air ambiant, 85 % sous oxygène. L’auscultation thoracique constate une absence de râles et de souffle cardiaque.
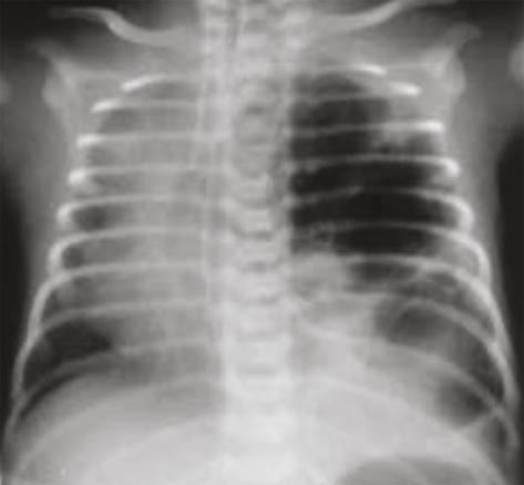
La radiographie pulmonaire objective une hyperclarté avasculaire de l’hémichamp pulmonaire gauche (fig. 1).
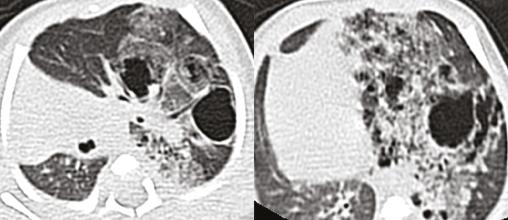
Le scanner thoracique ou tomodensitométrie (TDM) montre de multiples lésions kystiques au sein d’une condensation parenchymateuse pulmonaire prenant la quasi-totalité du poumon gauche, typiques d’une malformation adénomatoïde kystique classée type I de la classification d’Adzick (fig. 2).
Le patient a bénéficié en urgence d’une pneumectomie gauche avec bonne évolution postopératoire.

La malformation adénomatoïde kystique du poumon (MAKP) est une lésion hamartomateuse pulmonaire rare. Elle représente 25 % des lésions congénitales des poumons et 71 % des malformations pulmonaires diagnostiquées in utero, avec une nette prédominance masculine.
La constitution de la MAKP intervient à un stade précoce du développement pulmonaire. Elle résulte de l’échec du parenchyme pulmonaire à induire une différenciation broncho-alvéolaire normale.
Cette malformation est diagnostiquée pendant la période anténatale grâce à l’échographie fœtale. Les cas qui échappent au diagnostic anténatal sont asymptomatiques et de découverte fortuite à la suite d’une détresse respiratoire ou en raison de complications essentiellement infectieuses.
Le diagnostic post-natal est fondé sur le scanner thoracique, qui est l’examen de référence.1 La sémiologie radiologique est variable : une condensation homogène (souvent avant aération des kystes en post-natal immédiat), des images kystiques multiples, l’association d’images kystiques et d’une condensation, un niveau hydroaérique avec épaississement de la paroi des kystes en cas de surinfection. La prédominance lobaire inférieure, unilatérale, est retrouvée dans 98 % des cas.
L’injection de produit de contraste permet d’éliminer la séquestration pulmonaire, qui est la malformation associée la plus fréquente (retrouvée dans 25 % des cas). La recherche des autres malformations est impérative, notamment les atteintes rénales, cardiaques, digestives, thoraciques, faciales.2
La chirurgie avec exérèse totale de la lésion est le traitement de référence.

Références

1. Bousetta K, Aloui-Kasbi N, Fitouri Z, Sammoud A, Becher SB, Hammou A, et al. Malformations pulmonaires congénitales. Apport de l’imagerie. Journal de Pédiatrie et de Puériculture 2004;17(7):370-9.
2. Ayadi-Kaddour A, Chaabouni S, Meraï S, Ben Mrad S, Djilani H, Tritar F, El Mezni F. Malformation adénomatoïde kystique congénitale du poumon : à propos de trois cas de révélation tardive. Revue des Maladies respiratoires 2008;25(3):338-43.

Une question, un commentaire ?