Un homme de 53 ans consulte pour un prurit anal chronique. Divers topiques ne l’ont pas soulagé. L’examen clinique révèle une dermite (fig. 1).

James Paget (1814-1899), célèbre chirurgien anglais, a ­laissé son nom à une ostéite déformante hypertrophiante, mais aussi à une maladie du mamelon. L’atteinte anale et/ou péri­anale est une localisation rare des formes extramammaires de cette dernière. 

La maladie de Paget est un adénocarcinome intraépi­dermique. Elle peut être « primitive » lorsqu’elle est liée à l’extension épithéliale d’un adénocarcinome sous-cutané, ou « secondaire » à l’extension de contiguïté d’un cancer primitif anogénital ou viscéral synchrone distant, notamment colo­rectal, urologique, mammaire ou nasopharyngé.

Elle est plus fréquente chez la femme et survient en général après l’âge de 50 ans.

Les signes d’appel ne sont pas spécifiques et les manifestations cliniques sont polymorphes, si bien que le diagnostic est souvent tardif. 

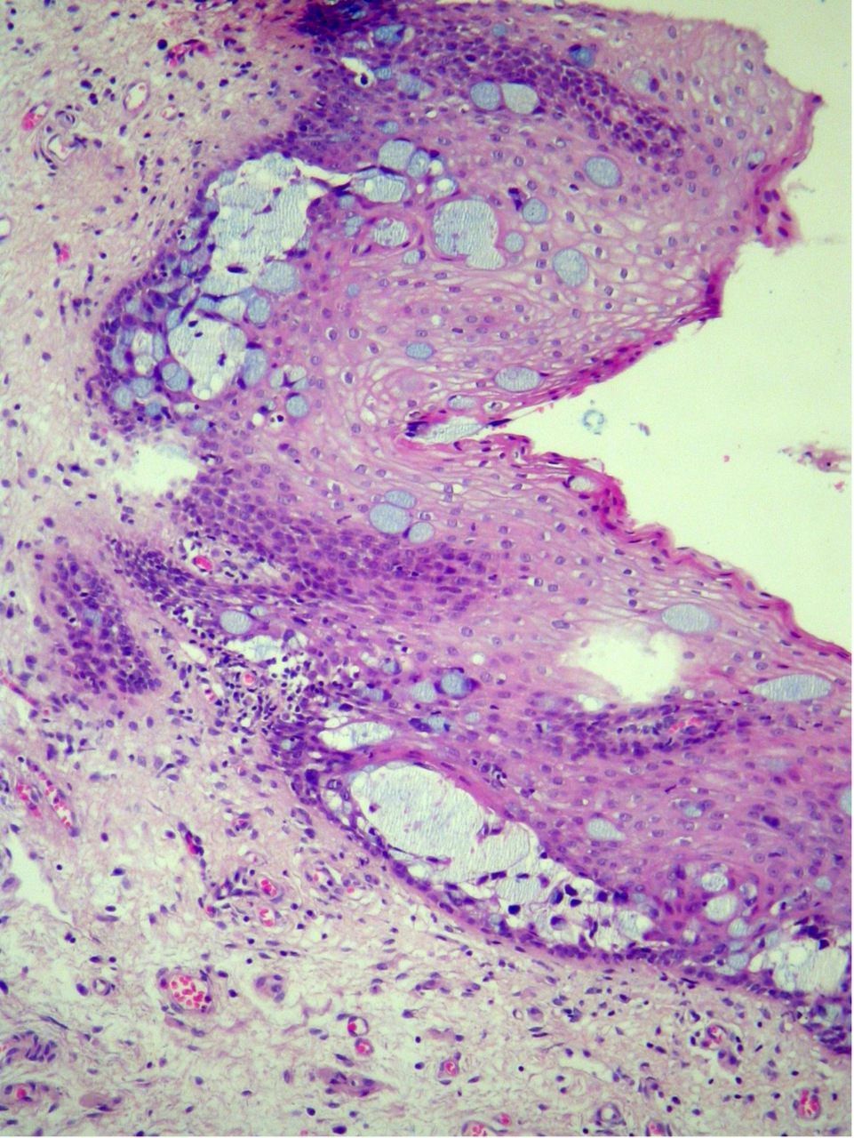
L’analyse histologique permet le diagnostic (fig. 2). En outre, l’immunohistochimie oriente vers le type de cancer éventuellement associé.

Les principaux diagnostics différentiels sont le psoriasis, les mycoses, l’eczéma de contact, les dermites d’irritation, le lichen plan ou lichen scléro-atrophique et la maladie de Bowen.

L’évolution est en général lente mais le pronostic dépend aussi du contexte. 

L’exérèse chirurgicale élargie est souvent réalisée, et la prise en charge thérapeutique ultérieure se discute au cas par cas. La surveillance doit être prolongée en raison des récidives fréquentes et de la possible survenue d’un cancer viscéral métachrone.

Pour en savoir plus
Fathallah N, Fite C, Duchatelle V, et al. Une lésion anale persistante. Rev Prat 2018;68(5):1-5. 
Thompson HM, Kim JK. Perianal Paget’s Disease. Dis Colon Rectum 2021;64(5):511-5.

Une question, un commentaire ?