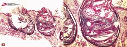
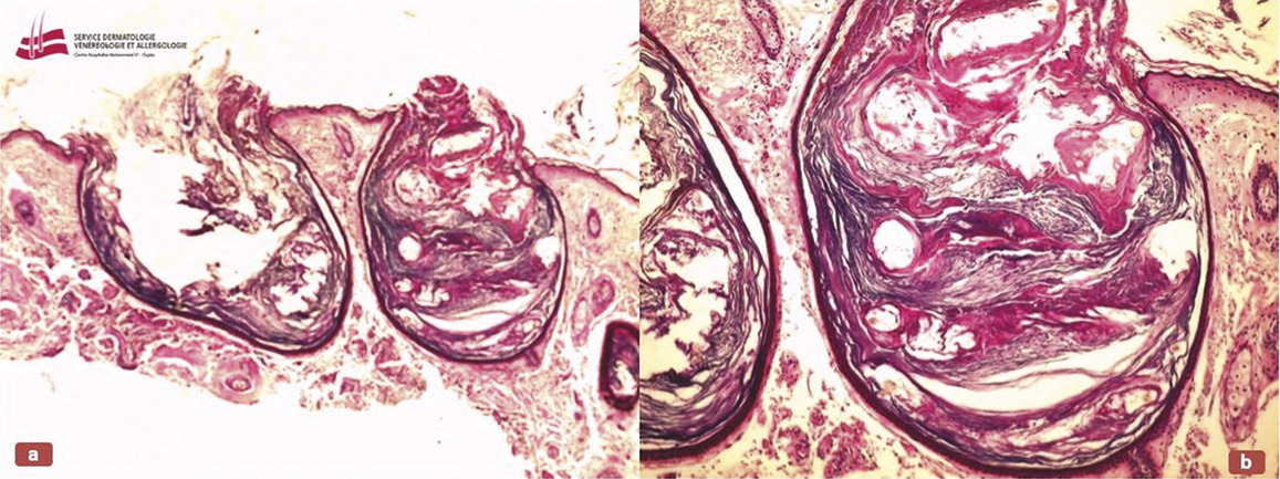
Ce patient de 71 ans, fumeur suivi pour une amylose AL (amylose primitive, à chaînes légères d’immunoglobulines) associée à un myélome multiple, était sous chimiothérapie et acide zolédronique. Il avait développé, depuis plus d’un an, plusieurs lésions kystiques et comédoniennes étendues de la face et du cou, plus marquées sur le front et les régions temporales, avec quelques comédons au niveau des joues, des rides et des sillons profonds du front, évoquant, entre autres diagnostics, un mycosis fongoïde pilotrope (fig 1 et 2). L’examen histologique de la biopsie cutanée était en faveur d’une élastoïdose de Favre-Racouchot (fig 3).

La maladie de Favre-Racouchot, ou élastoïdose nodulaire à kystes et comédons, est caractérisée par le développement de kystes et de comédons ouverts sur une peau endommagée par l’actinisme.1 Ses causes restent incertaines, bien que l’exposition au soleil, le tabagisme et les radiations ionisantes paraissent jouer un rôle.2 Son diagnostic est essentiellement clinique. Histologiquement, les lésions se caractérisent par une élastose ­actinique significative, une atrophie épidermique, une dégénérescence basophile du derme supérieur, des follicules dilatés et de gros kystes dans le derme moyen et inférieur. Les glandes sébacées sont habituellement atrophiques ou absentes.1 Divers traitements peuvent être proposés (rétinoïdes topiques, laser...). Une protection solaire et l’arrêt du tabac sont fortement recommandés.2

Références

1. Ibad S, Tahir M. Favoure Racouchot syndrome with scalp involvement: a case report. Pak Armed Forces Med J 2021;71(1):373-74.
2. Paganelli A, Mandel VD, Kaleci S, Pellacani G, Rossi E. Favre-Racouchot disease: systematic review and possible therapeutic strategies. J Eur Acad Dermatol Venereol 2019;33(1):32-41.

Une question, un commentaire ?