Une patiente de 34 ans consulte aux urgences pour une douleur thoracique droite haute à la suite d’une contusion par son guidon lors d’une chute de moto à faible cinétique.
Du fait de la typologie rassurante du traumatisme et de la normalité des constantes, la patiente est installée pour prise en charge dans un délai inférieur à cent vingt minutes. Il lui est administré 1 gramme de paracétamol orodispersible. Elle demande une antalgie complémentaire deux heures plus tard, pour une douleur évaluée à 7 sur l’échelle visuelle analogique (EVA).
L’examen met en évidence une douleur à la palpation de l’articulation sternoclaviculaire droite sans déformation. Le reste de l’examen clinique est sans particularité.
Sur la radiographie (fig. 1 ), aucune lésion osseuse traumatique n’est constatée ; les alignements sont respectés.
Le diagnostic d’entorse sternoclaviculaire est posé. La patiente sort avec une ordonnance pour une attelle coude au corps et du tramadol. Un scanner de l’articulation sternoclaviculaire est prescrit, à réaliser en cas de persistance des douleurs.
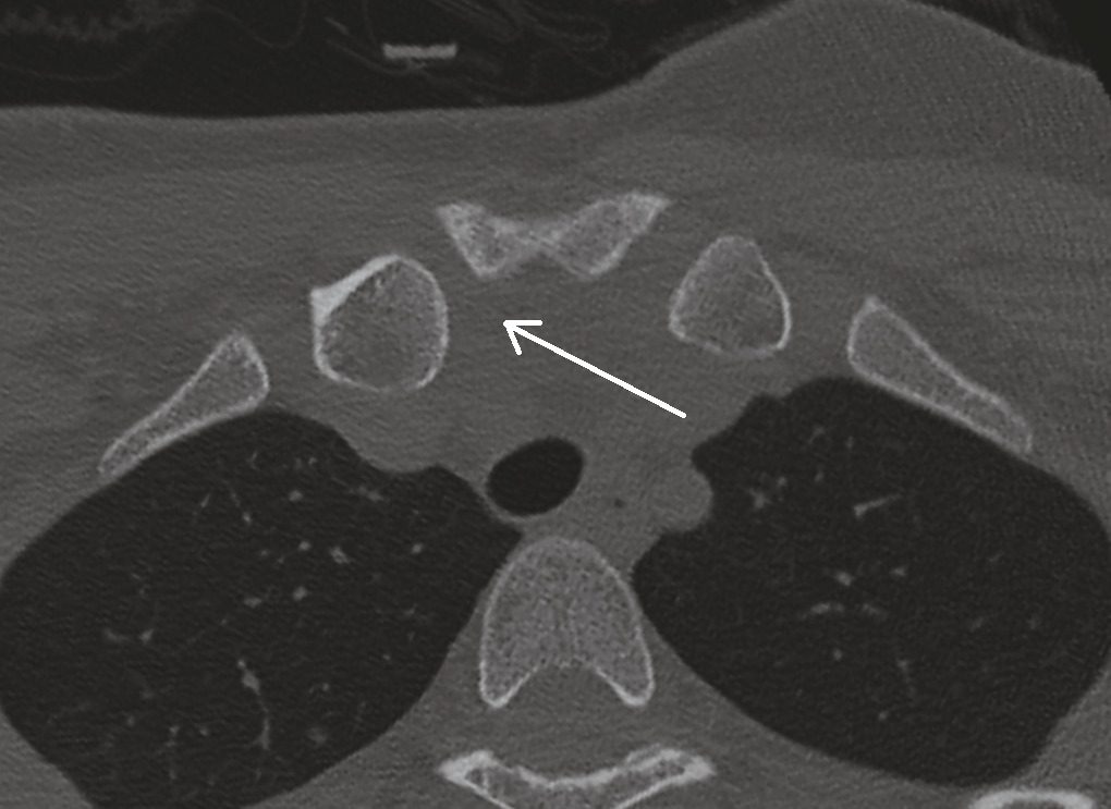
Ce dernier, réalisé deux semaines après le traumatisme, objective une subluxation postérieure de l’articulation sternoclaviculaire droite avec pincement relatif de l’interligne (fig. 2 ). Une réduction est donc réalisée.
Du fait de la typologie rassurante du traumatisme et de la normalité des constantes, la patiente est installée pour prise en charge dans un délai inférieur à cent vingt minutes. Il lui est administré 1 gramme de paracétamol orodispersible. Elle demande une antalgie complémentaire deux heures plus tard, pour une douleur évaluée à 7 sur l’échelle visuelle analogique (EVA).
L’examen met en évidence une douleur à la palpation de l’articulation sternoclaviculaire droite sans déformation. Le reste de l’examen clinique est sans particularité.
Sur la radiographie (
Le diagnostic d’entorse sternoclaviculaire est posé. La patiente sort avec une ordonnance pour une attelle coude au corps et du tramadol. Un scanner de l’articulation sternoclaviculaire est prescrit, à réaliser en cas de persistance des douleurs.
Ce dernier, réalisé deux semaines après le traumatisme, objective une subluxation postérieure de l’articulation sternoclaviculaire droite avec pincement relatif de l’interligne (
La subluxation postérieure de l’articulation sternoclaviculaire est une forme mineure de luxation sternoclaviculaire postérieure. L’articulation sternoclaviculaire est très mobile dans tous les plans de l’espace, y compris en rotation. C’est une articulation très sollicitée, pour tout mouvement du membre supérieur.
Les subluxations sternoclaviculaires sont rares et souvent méconnues initialement (1 patient sur 3). Cliniquement, une douleur intense avec une imagerie radiologique standard peu contributive doit attirer l’attention. Les déformations locales peuvent être absentes (cas de cette patiente) et la luxation est souvent masquée par l’œdème et l’hématome. Tout patient ayant une douleur post-traumatique (EVA supérieure à 6) au niveau d’une articulation sternoclaviculaire devrait bénéficier d’une imagerie en coupe lors de sa prise en charge initiale. Les subluxations sternoclaviculaires surviennent le plus souvent à la suite de traumatismes indirects à haute énergie : chute sur une épaule antépulsée en rotation interne et, plus rarement, par choc direct. La proximité des gros vaisseaux et des poumons peut entraîner de graves complications chez les sujets jeunes qu’elles concernent plus particulièrement. De ce fait, toute luxation doit être réduite et sa stabilité évaluée. Les réductions, chirurgicales ou orthopédiques, doivent être réalisées au bloc opératoire. Il est plus prudent de faire appel à une équipe chirurgicale multidisciplinaire comprenant un chirurgien thoracique.
Les subluxations sternoclaviculaires sont rares et souvent méconnues initialement (1 patient sur 3). Cliniquement, une douleur intense avec une imagerie radiologique standard peu contributive doit attirer l’attention. Les déformations locales peuvent être absentes (cas de cette patiente) et la luxation est souvent masquée par l’œdème et l’hématome. Tout patient ayant une douleur post-traumatique (EVA supérieure à 6) au niveau d’une articulation sternoclaviculaire devrait bénéficier d’une imagerie en coupe lors de sa prise en charge initiale. Les subluxations sternoclaviculaires surviennent le plus souvent à la suite de traumatismes indirects à haute énergie : chute sur une épaule antépulsée en rotation interne et, plus rarement, par choc direct. La proximité des gros vaisseaux et des poumons peut entraîner de graves complications chez les sujets jeunes qu’elles concernent plus particulièrement. De ce fait, toute luxation doit être réduite et sa stabilité évaluée. Les réductions, chirurgicales ou orthopédiques, doivent être réalisées au bloc opératoire. Il est plus prudent de faire appel à une équipe chirurgicale multidisciplinaire comprenant un chirurgien thoracique.
Références
1. Rousset M, Moreel P, Descamps S. La luxation sternoclaviculaire postérieure. Journal de traumatologie du sport 2010;27:14-19.
2. Catonné Y, Khiami F, Depiesse F. Traumatologie en pratique sportive. Elsevier Masson. 2021.
2. Catonné Y, Khiami F, Depiesse F. Traumatologie en pratique sportive. Elsevier Masson. 2021.
Une question, un commentaire ?