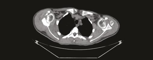
Un homme de 21 ans est admis en service de réanimation pour convulsion fébrile, quelques semaines après avoir été rapatrié d’une mission en zone d’endémie palustre pour des crises convulsives. Le diagnostic d’un accès palustre à Plasmodium falciparum est confirmé. L’évolution est marquée par la survenue d’un déficit moteur et sensitif au niveau des deux membres supérieurs avec une amyotrophie des muscles de la ceinture scapulaire ; un syndrome de Parsonage-Turner post-infectieux est suspecté (fig. 1 ). Un électromyogramme, une imagerie par résonance magnétique (IRM) du plexus brachial (fig. 2 ) et un scanner des épaules sont en faveur d’une luxation antérieure post-convulsive des deux épaules (fig. 3 et 4 ).
Les luxations antérieures invétérées de l’épaule sont extrêmement rares. Elles sont définies par une luxation non réduite après la troisième semaine ; elles posent toujours un problème diagnostique et thérapeutique. La cause est majoritairement traumatique, parfois post-convulsive, et peut être aussi la conséquence d’une immobilisation non surveillée après réduction d’une luxation antérieure.1 Le diagnostic est difficile, car la douleur initiale diminue rapidement sans disparaître. La limitation des amplitudes articulaires passe alors au premier plan : la mobilité globale est limitée en abduction et en rotation interne.
Les radiographies standard contribuent à poser le diagnostic ; le scanner permet d’appréhender le siège exact et l’étendue des lésions osseuses de passage antérieur.
Les radiographies standard contribuent à poser le diagnostic ; le scanner permet d’appréhender le siège exact et l’étendue des lésions osseuses de passage antérieur.
Référence
1. Vandenbussche E. Les luxations invétérées de l’épaule. Locked shoulder dislocation. Conférence d’enseignement, 2010;99.
Une question, un commentaire ?
Sur le même thème
Exercice