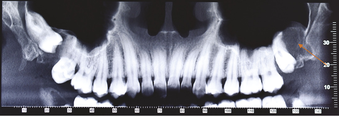
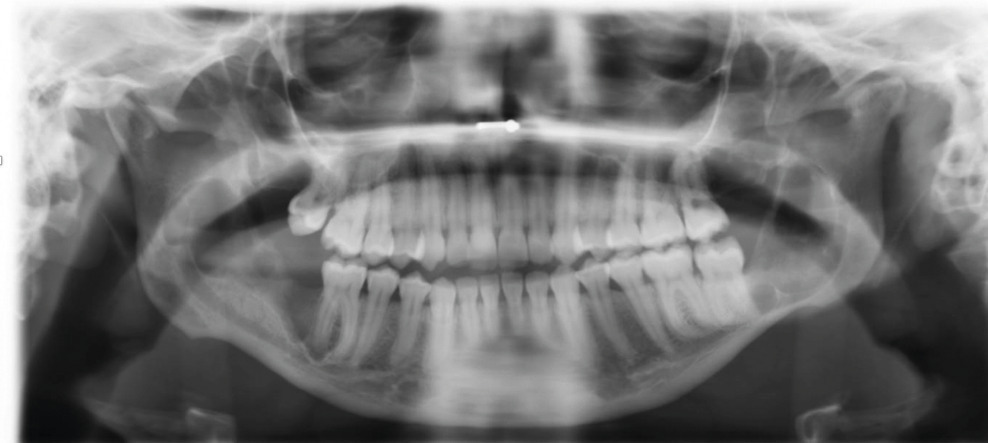
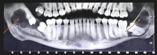
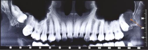
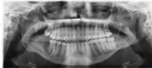
Cette femme de 26 ans consultait pour des douleurs récidivantes au niveau des dents de sagesse. Elle avait comme antécédents un asthme et une néphrectomie du rein droit en raison d’une dysplasie. Sa consommation tabagique était estimée à 6 paquets-année. Le panoramique dentaire (fig. 1 ) montrait quatre images radioclaires entourant les dents de sagesse. La patiente était alors adressée dans le service de chirurgie où un Cone Beam (fig. 2 et 3 ) permettait d’évaluer la taille des lésions kystiques ainsi que leurs rapports avec les structures anatomiques voisines. L’avulsion des dents de sagesse et l’énucléation des kystes étaient réalisées. L’examen anatomopathologique des lésions notait une paroi kystique bordée par un épithélium malpighien ortho- ou parakératosique avec une hyperplasie des couches basales compatible avec des kératokystes bénins odontogènes.
La présence simultanée de kératokystes doit faire suspecter un syndrome de Gorlin, ou nævomatose basocellulaire, maladie héréditaire transmise sur le mode autosomique dominante. Des mutations du gène PTCH1 sont responsables de ce syndrome. La pénétrance est complète mais l’expressivité variable.1 La prévalence estimée varie de 1 sur 57 000 à 1 sur 164 000. L’espérance de vie des patients atteints par ce syndrome n’est pas diminuée. La prise en charge doit être multidisciplinaire. La recherche d’un carcinome baso-cellulaire est essentielle, et l’exposition excessive aux ultraviolets est déconseillée. Les études rapportent2 par ordre d’apparition : une fibrose cardiaque chez le nouveau-né, des médulloblastomes chez le jeune enfant, les kératokystes odontogènes chez le jeune adulte et enfin les tumeurs ovariennes chez la femme en âge de procréer.
Références
1. Pino LC, Balassiano LK, Sessim M, et al. Basal cell nevus syndrome: clinical and molecular review and case report. Int J Dermatol 2016;55:367‑75.
2. Bresler SC, Padwa BL, Granter SR. Nevoid basal cell carcinoma syndrome (Gorlin syndrome). Head Neck Pathol 2016;10:119‑24.
2. Bresler SC, Padwa BL, Granter SR. Nevoid basal cell carcinoma syndrome (Gorlin syndrome). Head Neck Pathol 2016;10:119‑24.
Une question, un commentaire ?
Sur le même thème
Article
Article
Article
Article