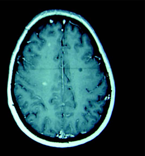
30 mai : Journée mondiale de la sclérose en plaques (SEP) ! Cette maladie neurologique auto-immune et dégénérative se déclare chez des patients âgés de 30 ans, en moyenne. Elle entraîne une destruction de la myéline, gaine protectrice des fibres nerveuses du cerveau et de la moelle épinière. Elle provoque, par paliers ou progressivement, des séquelles définitives, invalidantes, touchant la motricité, la sensibilité, la vision, le contrôle des sphincters. Ce sont 100 000 patients en France et 5 000 nouveaux cas chaque année. Les femmes sont 3 fois plus touchées que les hommes.

La prise en charge des patients a grandement été améliorée grâce à la recherche. Les progrès thérapeutiques ont permis une réelle amélioration de la qualité de vie des malades. Souvent jeunes, ces patients peuvent désormais envisager des projets (vie commune, enfants, travail, loisirs...).

Parmi les grandes avancées de ces 30 dernières années : une meilleure connaissance de l’évolution de la maladie dans le temps et de ses différences entre adultes et enfants ; des grossesses désormais possibles chez les femmes atteintes, l’efficacité et la sécurité des médicaments en permanence évalués, les effets des nouveaux médicaments mieux anticipés grâce à un suivi renforcé, l’exploration du lien entre vaccination et SEP a abouti à des recommandations précises.

 

Retour en articles sur cette maladie :

Item 102 – Sclérose en plaques

Dossier – Sclérose en plaques

Vivre avec... Une sclérose en plaques

SEP et grossesse

 

Alexandra Karsenty, La Revue du Praticien

Image :  coll. C. Papeix.