Le spectre et les déterminants des maladies chroniques du foie ont considérablement changé ces dernières années : campagnes de dépistage et vaccination contre l’hépatite B, guérison de l’hépatite C par les antiviraux directs… La non-alcoholic fatty liver desease (NAFLD) est devenue la cause la plus fréquente de maladie chronique du foie en raison de la progression croissante des facteurs de risque que sont l’obésité et le diabète de type 2.

La 3Journée mondiale de lutte contre la NASH (stéatohépatite – ou accumulation de graisse dans le foie associée à une inflammation – non alcoolique), le 12 juin 2020, est l’occasion de rappeler qu’en France 7 millions personnes ont une stéatose métabolique (NAFLD). Parmi elles, plus de 1 million ont une NASH, et plus de 200 000 Français sont à haut risque de développer une cirrhose et/ou un cancer du foie. Aux États-Unis, pays fortement touché, l’augmentation de la prévalence d’ici 2030 du nombre de personnes vivant avec une NASH est estimée à 63 % par rapport à 2015.

Habituellement asymptomatique, la stéatose est de découverte fortuite dans la plupart des cas (élévation des transaminases, aspect hyperéchogène du foie à l’échographie). Elle doit être recherchée devant tout syndrome métabolique. Le risque évolutif est marqué par l’apparition d’une fibrose qui peut être évaluée de manière non invasive par des tests sanguins (qui combinent différents paramètres) et surtout la réalisation d’une élastométrie (par fibroscan). La réalisation d’une biopsie hépatique n’est pas systématique et doit être évaluée au cas par cas.

Sur le plan thérapeutique, plusieurs molécules sont en cours d’évaluation. La mise en place de mesures hygiéno-diététiques et une perte de poids restent pour le moment les mesures les plus efficaces.

Recommandations de pratique clinique de EASL – EASD-EASO sur la prise en charge de la stéatopathie métabolique

Alexandra Karsenty, La Revue du Praticien

 

 

Stéatose hépatique non alcoolique : 1 adulte sur 5 ?

Item 276 – Cirrhose et complications

Acide obéticholique dans la NASH

Agonistes des récepteurs du GLP-1 : quoi de neuf ?

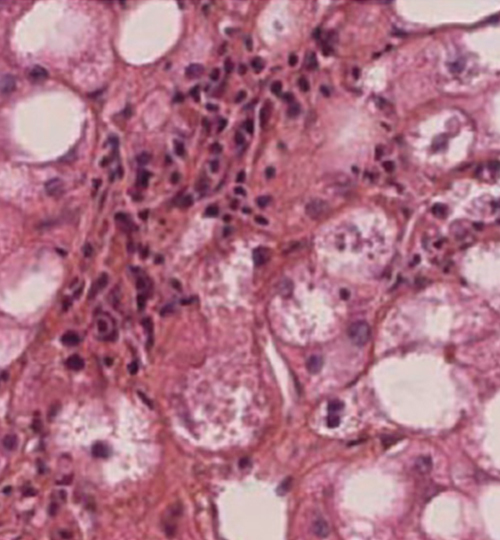
La stéatose hépatique (image) associe un infiltrat inflammatoire à polynucléaires neutrophiles et des lésions hépatocytaires (ballonnisation, nécrose et corps de Mallory). Ce sont les mêmes lésions que celles observées lors d'une hépatique alcoolique, étiologie à exclure. Crédit image : Catherine Guettier.