Relativement fréquents en population générale (prévalence estimée à 12 % en échographie), surtout chez l’homme.1
Évolution naturelle : augmentation en nombre et taille avec l’âge.
Découverte souvent fortuite, plus rarement du fait de douleurs ou d’infections.
En majorité bénins et asymptomatiques, ne nécessitant pas de suivi.
À adresser au spécialiste en cas de :
– suspicion de cancer à l’imagerie : réunion de concertation pluridisciplinaire en présence d’un urologue et d’un radiologue ;
– nombre élevé chez un patient jeune : évoquer une maladie génétique favorisante dont le diagnostic et le suivi impliquent un néphrologue.
La classification de Bosniak reste à ce jour la référence guidant la prise en charge.
Évolution naturelle : augmentation en nombre et taille avec l’âge.
Découverte souvent fortuite, plus rarement du fait de douleurs ou d’infections.
En majorité bénins et asymptomatiques, ne nécessitant pas de suivi.
À adresser au spécialiste en cas de :
– suspicion de cancer à l’imagerie : réunion de concertation pluridisciplinaire en présence d’un urologue et d’un radiologue ;
– nombre élevé chez un patient jeune : évoquer une maladie génétique favorisante dont le diagnostic et le suivi impliquent un néphrologue.
La classification de Bosniak reste à ce jour la référence guidant la prise en charge.
Génétique parfois en cause
Très souvent sporadiques, probablement par affaiblissement de la membrane basale tubulaire aboutissant à une structure diverticulaire remplie de fluide.
Favorisés par certaines maladies héréditaires : questionner les antécédents familiaux, proposer une consultation d’oncogénétique le cas échéant.
Polykystose autosomique dominante (PKAD) :
– cause génétique la plus fréquente (prévalence 1/400 à 1/1 000) ; atteinte hépatique fréquemment associée et sur-risque d’anévrisme intracrânien ;
– un bon critère diagnostique échographique : ≥ 3 kystes rénaux avant 40 ans ou ≥ 2 kystes sur chaque rein entre 40 et 60 ans et histoire familiale concordante ;
– en son absence : ≥ 10 kystes rénaux entre 16 et 40 ans sont suspects ;
– risque évolutif : insuffisance rénale terminale chez 50 % des patients à l’âge de 60 ans.2
Sclérose tubéreuse de Bourneville
– incidence d’environ 1/10 000 ;
– outre les kystes, peut entraîner la formation d’angiomyolipomes et de cancers du rein ;
– à craindre devant des atteintes neurologiques (épilepsie, retard mental…) et cutanées (taches hypomélaniques).
Polykystose autosomique récessive ; maladie de von Hippel-Lindau : plus rare.
Favorisés par certaines maladies héréditaires : questionner les antécédents familiaux, proposer une consultation d’oncogénétique le cas échéant.
Polykystose autosomique dominante (PKAD) :
– cause génétique la plus fréquente (prévalence 1/400 à 1/1 000) ; atteinte hépatique fréquemment associée et sur-risque d’anévrisme intracrânien ;
– un bon critère diagnostique échographique : ≥ 3 kystes rénaux avant 40 ans ou ≥ 2 kystes sur chaque rein entre 40 et 60 ans et histoire familiale concordante ;
– en son absence : ≥ 10 kystes rénaux entre 16 et 40 ans sont suspects ;
– risque évolutif : insuffisance rénale terminale chez 50 % des patients à l’âge de 60 ans.2
Sclérose tubéreuse de Bourneville
– incidence d’environ 1/10 000 ;
– outre les kystes, peut entraîner la formation d’angiomyolipomes et de cancers du rein ;
– à craindre devant des atteintes neurologiques (épilepsie, retard mental…) et cutanées (taches hypomélaniques).
Polykystose autosomique récessive ; maladie de von Hippel-Lindau : plus rare.
Diagnostic
Détectés initialement sur l’échographie.
Scanner injecté multiphasique : gold standard historique.
Tend aujourd’hui à être supplanté par l’IRM au gadolinium (non irradiant, produit de contraste injectable aux patients insuffisants rénaux sévères) :
Caractérisation : nombre de kystes, latéralisation, taille et classification selon Bosniak3 et suivi des formations kystiques.
Scanner injecté multiphasique : gold standard historique.
Tend aujourd’hui à être supplanté par l’IRM au gadolinium (non irradiant, produit de contraste injectable aux patients insuffisants rénaux sévères) :
Caractérisation : nombre de kystes, latéralisation, taille et classification selon Bosniak3 et suivi des formations kystiques.
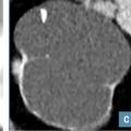
Cinq catégories de kystes
Classification Bosniak en 5 types :
– I, II, IIF, III et IV avec un pourcentage respectif de malignité estimé à < 1 %, 9 %, 18 %, 51 % et 86 % sur séries chirurgicales, le taux de malignité serait plus faible pour les catégories ≤ IIF sur les cohortes de suivi radiologique ;4
– déterminée sur TDM ou IRM d’après l’épaisseur de la paroi, d’éventuels septa, calcifications et surtout en recherchant une prise de contraste murale ou septale (tableau ) ;
– distinguer les I et IV est relativement aisé, plus difficile pour les catégories II, IIF et III (moins bonne concordance inter-observateur).
Progrès en résolution de la TDM, essor de l’IRM et de l’échographie de contraste : pourraient aboutir à mieux différencier formes bénignes et malignes.
– I, II, IIF, III et IV avec un pourcentage respectif de malignité estimé à < 1 %, 9 %, 18 %, 51 % et 86 % sur séries chirurgicales, le taux de malignité serait plus faible pour les catégories ≤ IIF sur les cohortes de suivi radiologique ;4
– déterminée sur TDM ou IRM d’après l’épaisseur de la paroi, d’éventuels septa, calcifications et surtout en recherchant une prise de contraste murale ou septale (
– distinguer les I et IV est relativement aisé, plus difficile pour les catégories II, IIF et III (moins bonne concordance inter-observateur).
Progrès en résolution de la TDM, essor de l’IRM et de l’échographie de contraste : pourraient aboutir à mieux différencier formes bénignes et malignes.
Vigilance dès le stade IIF
I et II : pas de suivi ou de traitement.
IIF : suivi par imagerie – modalités non consensuelles – par TDM ou IRM avec injection de produit de contraste (pas d’échographie), pouvant amener à reclassifier le kyste :
– à répéter tous les 6 mois pendant au moins 2 ans, puis annuel jusqu’à 5 ans ;
– taux de reclassification en catégorie III ou IV durant le suivi estimé à 12 % avec une forte valeur prédictive positive pour la malignité (85 %).4
III et IV : résection chirurgicale en première intention et analyse anatomopathologique de la pièce opératoire ;
– destruction thermique percutanée : alternative chez les patients fragiles ou lorsqu’une néphrectomie partielle n’est pas possible ;
– biopsie percutanée : discutée en réunion de concertation pluridisciplinaire mais non systématique.
IIF : suivi par imagerie – modalités non consensuelles – par TDM ou IRM avec injection de produit de contraste (pas d’échographie), pouvant amener à reclassifier le kyste :
– à répéter tous les 6 mois pendant au moins 2 ans, puis annuel jusqu’à 5 ans ;
– taux de reclassification en catégorie III ou IV durant le suivi estimé à 12 % avec une forte valeur prédictive positive pour la malignité (85 %).4
III et IV : résection chirurgicale en première intention et analyse anatomopathologique de la pièce opératoire ;
– destruction thermique percutanée : alternative chez les patients fragiles ou lorsqu’une néphrectomie partielle n’est pas possible ;
– biopsie percutanée : discutée en réunion de concertation pluridisciplinaire mais non systématique.
Pas tous bénins !
Kyste se révélant être un cancer :
– histologie la plus fréquente : carcinome rénal à cellules claires dans 63 % des cas ;
– potentiel d’évolution métastatique plus faible que le phénotype solide (non kystique) ;4
– scanner thoracique pour rechercher des métastases.
Kystes suspects d’infection :
– ponction évacuatrice guidée par TDM ou échographie ;
– identifie le germe en cause avec son antibiogramme, l’ECBU n’étant pas toujours positif ;
– ponction évacuatrice pour les kystes simples de grande taille responsables de compression (douleur et/ou obstacle sur les voies urinaires) ;
– sclérothérapie percutanée à l’éthanol ou traitement chirurgical 5 à proposer pour éviter les récidives, fréquentes en l’absence de traitement.
– histologie la plus fréquente : carcinome rénal à cellules claires dans 63 % des cas ;
– potentiel d’évolution métastatique plus faible que le phénotype solide (non kystique) ;4
– scanner thoracique pour rechercher des métastases.
Kystes suspects d’infection :
– ponction évacuatrice guidée par TDM ou échographie ;
– identifie le germe en cause avec son antibiogramme, l’ECBU n’étant pas toujours positif ;
– ponction évacuatrice pour les kystes simples de grande taille responsables de compression (douleur et/ou obstacle sur les voies urinaires) ;
– sclérothérapie percutanée à l’éthanol ou traitement chirurgical 5 à proposer pour éviter les récidives, fréquentes en l’absence de traitement.
Encadre
L’essentiel
Fréquents, majoritairement bénins et ne nécessitant pas de suivi.
Caractérisés en TDM ou IRM avec injection de produit de contraste.
Classification de Bosniak : oriente sur la probabilité de cancer et guide la prise en charge.
Plus de 10 kystes rénaux avant 40 ans : suspecter une polykystose autosomique dominante.
Références
1. Terada N, Ichioka K, Matsuta Y, Okubo K, Yoshimura K, Arai Y. The natural history of simple renal cysts. J Urol 2002;167:21-3.
2. Bergmann C, Guay-Woodford LM, Harris PC, Horie S, Peters DJM, Torres VE. Polycystic kidney disease. Nat Rev Dis Primer 2018;4:50.
3. Israel GM, Bosniak MA. An update of the Bosniak renal cyst classification system. Urology 2005;66:484-8.
4. Schoots IG, Zaccai K, Hunink MG, Verhagen PCMS. Bosniak Classification for Complex Renal Cysts Reevaluated: A Systematic Review. J Urol 2017;198:12-21.
5. Skolarikos A, Laguna MP, de la Rosette JJ. Conservative and radiological management of simple renal cysts: a comprehensive review. BJU Int 2012;110:170-8.
2. Bergmann C, Guay-Woodford LM, Harris PC, Horie S, Peters DJM, Torres VE. Polycystic kidney disease. Nat Rev Dis Primer 2018;4:50.
3. Israel GM, Bosniak MA. An update of the Bosniak renal cyst classification system. Urology 2005;66:484-8.
4. Schoots IG, Zaccai K, Hunink MG, Verhagen PCMS. Bosniak Classification for Complex Renal Cysts Reevaluated: A Systematic Review. J Urol 2017;198:12-21.
5. Skolarikos A, Laguna MP, de la Rosette JJ. Conservative and radiological management of simple renal cysts: a comprehensive review. BJU Int 2012;110:170-8.