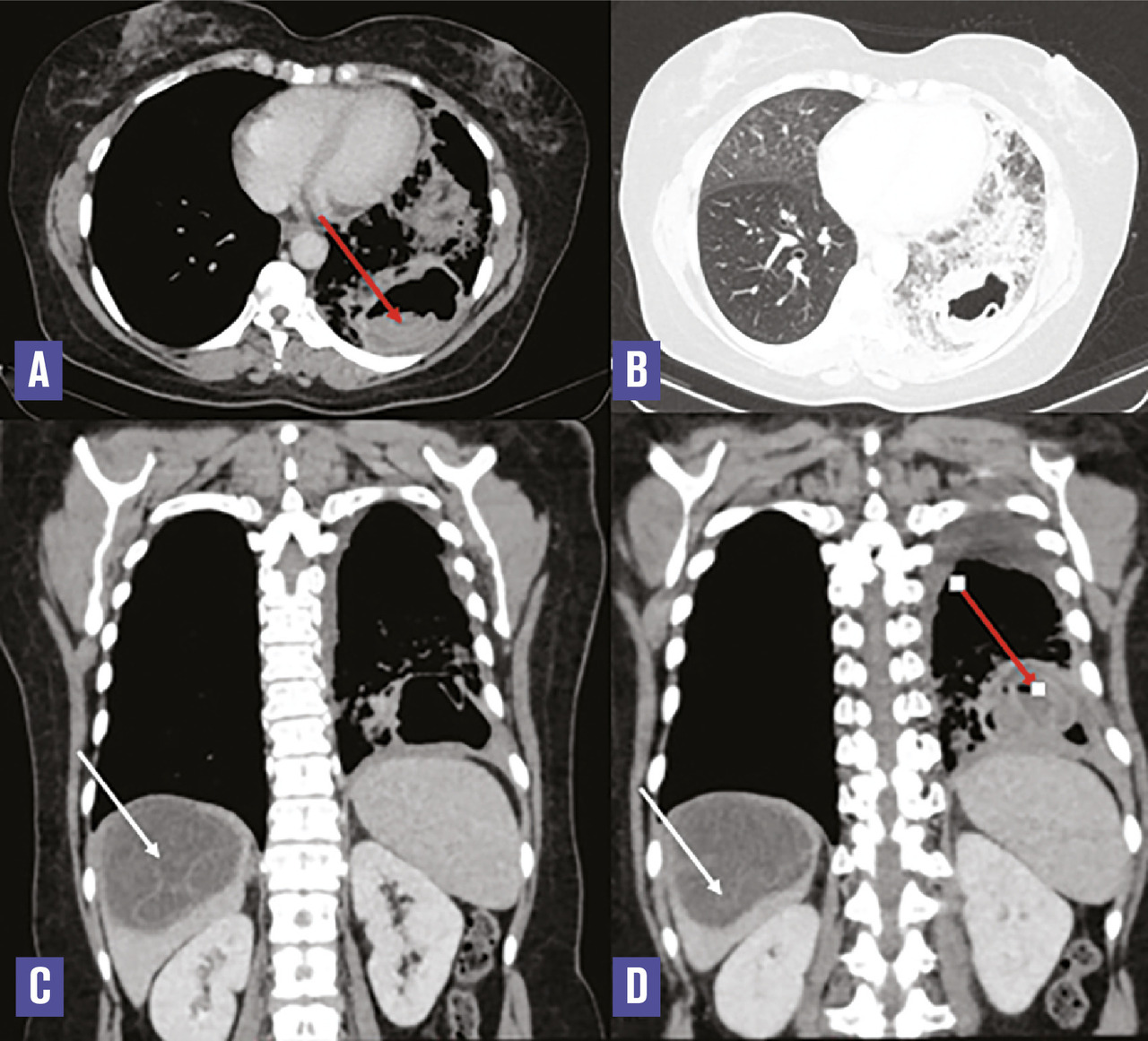
Cette femme de 40 ans consultait aux urgences pour des douleurs basi-thoraciques associées à une pesanteur de l’hypochondre droit. À l’examen clinique, elle était fébrile (38,5 °C) et polypnéique. Le bilan biologique montrait un syndrome inflammatoire. Sur la tomodensitométrie thoraco-abdominale (v. figure ) on notait deux masses pulmonaires du lobe inférieur gauche dont une était excavée, à paroi épaisse irrégulière et renfermant une membrane décollée et flottante (flèche rouge). Au niveau hépatique, il y avait une masse kystique à paroi fine du dôme, renfermant de multiples cloisons (flèche blanche). Après une chimiothérapie par albendazole, une résection chirurgicale des trois kystes était réalisée, l’étude histologique confirmant le diagnostic d’hydatidose.
La maladie hydatique est une infection parasitaire endémique due au développement chez l’homme de la forme larvaire d’Echinococcus granulosus.1 L’hydatidose multiviscérale, définie par la localisation simultanée de kystes hydatiques dans plus d’un organe, est peu fréquente. Elle pose des difficultés diagnostiques étant donné son polymorphisme d’où l’intérêt de réunir un faisceau d’arguments cliniques, sérologiques et radiologiques pour retenir le diagnostic. L’imagerie joue un rôle important dans le diagnostic positif, la recherche de complication et dans le bilan de surveillance. Le traitement est fondé essentiellement sur la chirurgie.2
Références
1. Wang ZH, Wang XM, Liu XQ. Echinococcosis in China, a review of the epidemiology of Echinococcus spp. Ecohealth 2008;5:115-26.
2. Grozavu C, Ilias M, Pantile D. Multivisceral echinococcosis: concept, diagnosis, management. Chirurgia (Bucur) 2014;109:758-68.
2. Grozavu C, Ilias M, Pantile D. Multivisceral echinococcosis: concept, diagnosis, management. Chirurgia (Bucur) 2014;109:758-68.
Une question, un commentaire ?
Sur le même thème
Article
Article
Article
Article