Un patient de 22 ans, sans antécédent, consulte pour un tableau de sciatique L5 droite. L’examen clinique ne retient pas de critère de gravité mais note une hypoesthésie S1 droite tronquée au genou. Un traitement par anti-inflammatoire non stéroïdien (AINS) est instauré.
Le traitement par AINS se révèle inefficace et, quinze jours plus tard, l’hypoesthésie S1 est complète. Une courte cure de corticothérapie est instaurée et une imagerie par résonance magnétique (IRM) est demandée rapidement.
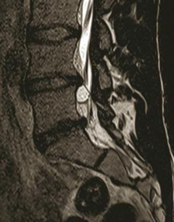
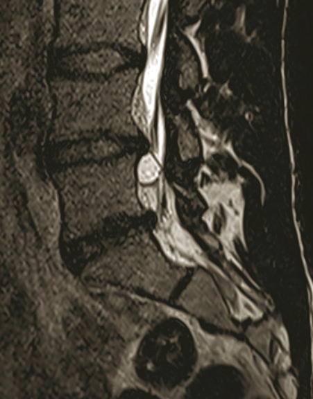
L’IRM du rachis lombaire obtenue une semaine plus tard retrouve une formation kystique développée en postéro-latéral droit du corps vertébral de L5 venant comprimer la racine L5 droite et affleurant la racine S1 droite à son émergence, évocatrice d’un kyste arthrosynovial extramédullaire et extradural (photos).
Le patient est adressé à un neurochirurgien.
Le traitement par AINS se révèle inefficace et, quinze jours plus tard, l’hypoesthésie S1 est complète. Une courte cure de corticothérapie est instaurée et une imagerie par résonance magnétique (IRM) est demandée rapidement.
L’IRM du rachis lombaire obtenue une semaine plus tard retrouve une formation kystique développée en postéro-latéral droit du corps vertébral de L5 venant comprimer la racine L5 droite et affleurant la racine S1 droite à son émergence, évocatrice d’un kyste arthrosynovial extramédullaire et extradural (photos).
Le patient est adressé à un neurochirurgien.
La prise en charge de la lombosciatalgie commune (LSC) sans signe de gravité est bien codifiée.1-3 On définit une LSC grave par la présence d’une sciatique hyperalgique, paralysante ou avec présence d’un syndrome de la queue de cheval.2
En l’absence de signe de gravité dans les sept premières semaines d’évolution, aucun examen d’imagerie n’est indiqué . Ce délai est raccourci en cas de lombosciatique symptomatique, d’absence d’évolution ou d’aggravation malgré un traitement bien conduit. Cet examen peut être au mieux une IRM, à défaut un scanner.2
Le kyste synovial lombaire est une formation para-articulaire développée à partir de l’articulation interapophysaire postérieure. Il se forme aux dépens de la capsule articulaire postérieure par épanchements intra-articulaires répétés et constitue une cause rare non discale de lombalgie et/ou de sciatique d’origine rachidienne.4 La prise en charge neurochirurgicale est systématique si le patient est symptomatique.
En l’absence de signe de gravité dans les sept premières semaines d’évolution, aucun examen d’imagerie n’est indiqué . Ce délai est raccourci en cas de lombosciatique symptomatique, d’absence d’évolution ou d’aggravation malgré un traitement bien conduit. Cet examen peut être au mieux une IRM, à défaut un scanner.2
Le kyste synovial lombaire est une formation para-articulaire développée à partir de l’articulation interapophysaire postérieure. Il se forme aux dépens de la capsule articulaire postérieure par épanchements intra-articulaires répétés et constitue une cause rare non discale de lombalgie et/ou de sciatique d’origine rachidienne.4 La prise en charge neurochirurgicale est systématique si le patient est symptomatique.
Références
1. Collège français des enseignants en rhumatologie. Item 94 – Radiculalgie et syndrome canalaire [en ligne]. 2017. Disponible sur https://bit.ly/3qSw4YG
2. Agence nationale d’accréditation et d’évaluation en santé. Prise en charge diagnostique et thérapeutique des lombalgies et lombosciatiques communes de moins de trois mois d’évolution. Recommandations pour la pratique clinique. Février 2000.
3. Pinto RZ, Verwoerd AJH, Koes BW. Which pain medications are effective for sciatica (radicular leg pain)? BMJ 2017;359:j4248.
4. Badaoui M, Kharras AE. Kyste synovial postérieur lombaire. Pan Afr Med J 2016;24:173.
2. Agence nationale d’accréditation et d’évaluation en santé. Prise en charge diagnostique et thérapeutique des lombalgies et lombosciatiques communes de moins de trois mois d’évolution. Recommandations pour la pratique clinique. Février 2000.
3. Pinto RZ, Verwoerd AJH, Koes BW. Which pain medications are effective for sciatica (radicular leg pain)? BMJ 2017;359:j4248.
4. Badaoui M, Kharras AE. Kyste synovial postérieur lombaire. Pan Afr Med J 2016;24:173.
Une question, un commentaire ?
Sur le même thème
Exercice
Article Web
Exercice
Article Web
Article