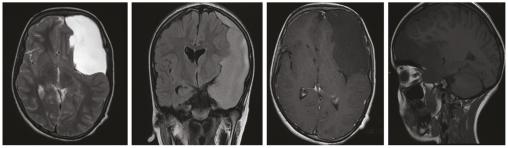
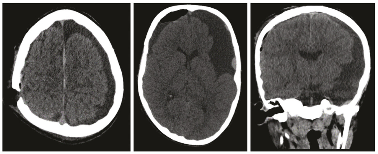
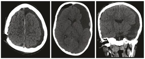
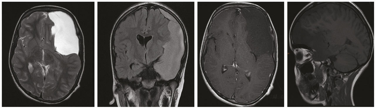
Un enfant de 12 ans est victime d’un traumatisme crânien minime occasionnant une diplopie. Le scanner cérébral montre deux hématomes sous-duraux hémisphériques chroniques ayant ressaigné et une volumineuse lésion kystique temporale gauche. Le patient a été opéré, avec évacuation de l’hématome sous-dural droit (fig. 1). Une imagerie par résonance magnétique (IRM) cérébrale a été réalisée pour mieux caractériser la formation kystique et pour le bilan étiologique du saignement ; elle montre une formation kystique extra-axiale temporale gauche renfermant un sédiment hémorragique en rapport avec un kyste arachnoïdien remanié, et un hématome sous-dural hémisphérique gauche d’allure plutôt chronique (fig. 2). Aucune autre malformation ne pouvait expliquer le saignement. Le diagnostic retenu est celui d’un kyste arachnoïdien remanié compliqué d’hématomes sous-duraux.

Les kystes arachnoïdiens sont des formations congénitales qui se développent dans les citernes cérébrales riches en arachnoïde, généralement asymptomatiques. Ils peuvent cependant présenter des complications de type hématome sous-dural ou saignement intrakystique, surtout chez le sujet jeune, à l’occasion d’un traumatisme crânien souvent minime. Ces complications peuvent provenir de la rupture des vaisseaux intrakystiques ou d’amarrage pouvant être expliquée par la fragilité des veines entourant la paroi du kyste.1 L’hématome sous-dural chronique est rarement observé chez l’enfant, car le parenchyme occupe la quasi-totalité des espaces sous-arachnoïdiens.2
Le traitement de choix est l’évacuation de l’hématome, avec surveillance de l’évolution du kyste.

Références

1. Abderrahmen K, Saadaoui K, Bouhoula A, Boubaker A, Jemel H. Traitement des kystes arachnoïdiens de la fosse cérébrale moyenne associés à une collection sous-durale. Neurochirurgie 2012;58(5):325‑30.
2. Bounamous K, Bouaziz M. Kyste arachnoïdien compliqué d’un hématome sous-dural chronique chez l’enfant : à propos d’un cas et revue de la littérature. Afr J Neurol Sci 2017;36(1):3‑7.

Une question, un commentaire ?