Maladie fréquente et méconnue (ce qui en fait sa gravité), touchant principalement les sujets jeunes.
Jusqu’à 0,1 % de la population serait atteinte..1, 2, 3 Impact lié à la morbidité induite et à l’absentéisme professionnel.1, 2
Caractérisé par la déformation du stroma cornéen.
Tableaux cliniques variés allant des formes frustres non visibles cliniquement aux perforations cornéennes secondaires à son amincissement extrême.
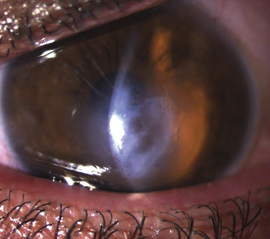
En cas de perforation de la membrane de Descemet (encadré) : hydrops possible, qui se traduit par la présence d’eau dans le stroma cornéen en raison de la rupture de la barrière avec l’humeur aqueuse (fig. 1).
Principal facteur de risque (retrouvé dans presque 100 % des cas) : frottements oculaires répétés.1, 2, 4, 5 Ces derniers induisent une désorganisation des fibrilles de collagène du stroma, perturbant la biomécanique naturelle de la cornée.
Composante inflammatoire impliquée dans la genèse de la maladie : suggérée par la mise en évidence de kératocytes activés en microscopie confocale (mais s’agit-il d’une cause ou d’une conséquence ?).
Sujets les plus à risque : personnes atteintes d’allergies oculaires, syndrome de Down, maladie de Marfan, syndromes secs oculaires sévères.

Diagnostic

Découvert parfois de façon fortuite lors d’un examen ophtalmologique de routine.
Révélé par une baisse d’acuité visuelle récente en raison d’un astigmatisme évolutif. Dans ce cas, l’examen à la lampe à fente montre : hypertrophie des nerfs cornéens, anneau de Fleischer (dépôts ferriques autour d’un cône), stries de Vogt (déformation du stroma postérieur), ou encore opacité du sommet du cône (en raison des frottements par la paupière) ; dans certains cas extrêmes, la déformation est visible.
Le plus souvent : signes cliniques mineurs => diagnostic par topographie cornéenne (examen qui permet de relever les rayons de courbure à divers endroits de la cornée), qui mesure l’amplitude de la courbure (kératométrie) et l’épaisseur (par pachymétrie ; fig. 2) : on retrouve classiquement un bombement inférieur, qui peut être asymétrique.

Évolution

Favorable sous traitement : la kératométrie maximale se stabilise et n’augmente plus.
En cas de poursuite des frottements :
– augmentation de la kératométrie et amincissement en pachymétrie ;
– l’astigmatisme irrégulier n’est plus corrigeable par les traitements sphéro-cylindriques classiques (verres de lunettes ou lentilles souples), ce qui se traduit par une BAV ;
– dans certains cas, l’amincissement est tel que la seule option est la greffe de cornée.

Prise en charge : 2 objectifs

Stabilisation de la pathologie :
– obtenue par l’arrêt des frottements ;
– des traitements topiques lubrifiants et antiprurigineux (antihistaminiques en collyres) peuvent soulager ;
– envisager une protection oculaire nocturne afin d’éviter les contacts avec l’oreiller (l’appui prolongé favorisant l’évolution de la maladie) ;
cross-linking : traitement par riboflavine et rayonnement laser ultraviolet visant à rigidifier la cornée en induisant une polymérisation des fibrilles de collagène du stroma.
Réhabilitation visuelle :
– verres de lunettes : possibilités limitées en raison du caractère irrégulier de l’astigmatisme ; ne conviennent qu’aux kératocônes très peu évolués ;
– lentilles rigides ou hybrides (dont le matériel s’apparente plus à une lentille souple) : traitement de choix ; ont l’avantage de corriger parfaitement l’irrégularité de l’astigmatisme en épousant la forme de la cornée ;
– anneaux intracornéens : mise en place chirurgicale de dispositifs en plastique dans la cornée pour aplatir le cône afin de diminuer l’astigmatisme, plus facilement corrigeable avec les lunettes ; en revanche, l’aplatissement peut complexifier l’adaptation de lentilles de contact (en informer le patient avant l’opération) ;
– si forme évoluée : greffe de cornée (en dernière intention) : kératoplastie antérieure profonde ou transfixiante selon les cas.

Encadre

Rappels anatomiques

La cornée est un tissu avasculaire située au niveau de la partie antérieure du globe oculaire. Il s’agit d’une lentille d’environ 40 dioptries qui sert de barrière contre le monde extérieur et fait converger les rayons pour les focaliser sur le plan rétinien.1, 4, 5

Elle est constituée de plusieurs couches (de la plus externe à la plus interne) :

épithélium : formé de cellules épithéliales dont le renouvellement est rapide (toutes les 48 heures) ; fonction principale : protéger les couches sous-jacentes ; recouvert par les larmes qui ont un rôle trophique très important ;

membrane de Bowman : sépare l’épithélium du stroma ; sa fonction précise est à ce jour inconnue chez l’homme ;

stroma : compose 90 % de l’épaisseur cornéenne ; principalement constitué de fibrilles de collagène dont l’organisation donne le caractère transparent à la cornée. Ce collagène est sécrété par les kératocytes, présents en faible nombre au sein de cette couche ;

membrane de Descemet : sépare le stroma de l’endothélium ;

endothélium : monocouche cellulaire très fine de cellules endothéliales (quelques microns), avec un rôle primordial : maintenir le taux d’hydratation du tissu cornéen de manière la plus stable possible ; en cas de défaillance, un œdème apparaît très rapidement, ce qui se traduit par une diminution de la transparence cornéenne et une baisse d’acuité visuelle.

Références

1. Chan E, Baird PN, Vogrin S, Sundararajan V, Daniell MD, Sahebjada S. Economic impact of keratoconus using a health expenditure questionnaire: A patient perspective. Clin Exp Ophthalmol 2020;48:287-300.
2. Kubaloglu A, Sari ES, Koytak A. Deep anterior lamellar keratoplasty in eyes previously treated with collagen crosslinking for keratoconus: 3-year results. Graefes Arch Clin Exp Ophthalmol 2020;258:821-7.
3. Levit A, Benwell M, Evans BJW. Randomised controlled trial of corneal vs. scleral rigid gas permeable contact lenses for keratoconus and other ectatic corneal disorders. Cont Lens Anterior Eye 2020;S1367-0484(19)30268-1.
4. Greenstein SA, Fry KL, Hersh MJ, Hersh PS. Higher-order aberrations after corneal collagen crosslinking for keratoconus and corneal ectasia. J Cataract Refract Surg 2012;38:292-302.
5. Ferdi AC, Nguyen V, Gore DM, Allan BD, Rozema JJ, Watson SL. Keratoconus Natural Progression: A Systematic Review and Meta-analysis of 11 529 Eyes. Ophthalmology 2019;126:935-45.

Dans cet article

Ce contenu est exclusivement réservé aux abonnés
essentiel

Le kératocône est une maladie fréquente potentiellement grave dont l’évolution est favorisée le frottement oculaire.

Sa prise en charge repose sur la stabilisation et l’adoption d’équipements optiques en fonction du stade.

Le médecin généraliste doit alerter sur la dangerosité des frottements oculaires répétés.

Les « frotteurs » doivent être dépistés et adressés à l’ophtalmologiste pour topographie cornéenne et prescription d’un traitement adapté.