Malgré le développement des techniques dites « non invasives » d’exploration de la circulation coronarienne (épreuve d’effort, scintigraphie myocardique, échographie de stress, scanner coronarien et imagerie par résonance magnétique [IRM] cardiaque), la coronarographie, couplée à la mesure de la réserve coronarienne (fractional flow reserve [FFR]), demeure l’examen de référence pour évaluer la sévérité des sténoses coronariennes dont dépendent les indications de revascularisation.
Les progrès considérables réalisés dans le domaine de l’imagerie radiologique et dans celui des matériels de cathétérisme ainsi que le recours quasi systématique à la voie radiale font désormais de la coronarographie un examen dont le risque est bien moindre que celui de méconnaître une cardiopathie ischémique éventuelle.
Les progrès considérables réalisés dans le domaine de l’imagerie radiologique et dans celui des matériels de cathétérisme ainsi que le recours quasi systématique à la voie radiale font désormais de la coronarographie un examen dont le risque est bien moindre que celui de méconnaître une cardiopathie ischémique éventuelle.
Modalités pratiques d’un examen efficace et sûr
Imagerie des artères coronaires
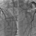
La coronarographie consiste à réaliser un film radiologique secondairement numérisé des artères coronaires épicardiques opacifiées par l’injection sélective de produit de contraste au moyen d’une sonde introduite par voie percutanée. L’examen peut être pratiqué par différentes voies d’abord (fémorale ou radiale) et dure en moyenne quinze minutes. En cas de coronarographie normale, l’existence d’un spasme peut être dévoilée par la réalisation d’un test au Méthergin, puissant vasoconstricteur dérivé de l’ergot de seigle (fig. 1 ).
Avec quelques limites…
La coronarographie étant une projection biplane, elle peut méconnaître une sténose excentrée malgré la multiplication des incidences.
De plus, la réduction de la section endoluminale de la coronaire ne se traduit pas systématiquement par une répercussion hémodynamique, en particulier quand elle se situe dans les zones intermédiaires (40-70 %).
De plus, la réduction de la section endoluminale de la coronaire ne se traduit pas systématiquement par une répercussion hémodynamique, en particulier quand elle se situe dans les zones intermédiaires (40-70 %).
... non sans solutions
Étude de la réserve coronarienne
Associer une étude de la FFR à l’imagerie permet de quantifier l’impact sur la circulation distale et d’identifier ainsi le caractère ischémiant d’une sténose.La FFR se définit comme le rapport entre le débit distal et le débit proximal, équivalant dans des conditions de vasodilatation maximale (résistances vasculaires devenant négligeables) au rapport des pressions de part et d’autre de la sténose. Elle est mesurée au moyen d’un guide de pression, placé jusqu’à la partie la plus distale de l’artère, après administration d’adénosine et de trinitrine, puissants vasodilatateurs. Une FFR ≥ 0,8 exclut une ischémie secondaire à la sténose. À l’inverse, une FFR < 0,75 témoigne d’une ischémie avérée. Ainsi, le recours à la FFR permet une classification fonctionnelle des lésions révélées par la coronarographie.
Étude de la FVG globale et de la cinétique segmentaire
La coronarographie peut également être complétée par l’étude de la fonction ventriculaire gauche (FVG) globale et de la cinétique segmentaire grâce à l’opacification de la cavité ventriculaire gauche.Des risques limités
Du fait de l’amélioration des techniques, les risques de la coronarographie sont faibles. Les complications mineures représentent ainsi 1 % des actes et se résument essentiellement à des pathologies périphériques au point de ponction, tandis que les complications majeures concernent 0,3 % des patients – les plus redoutables sont l’hématome rétropéritonéal, l’accident vasculaire cérébral (AVC), l’occlusion coronarienne aiguë et l’insuffisance rénale liée à l’administration d’iode. Ces dernières dépendent du terrain vasculaire, de l’âge du patient et de l’existence préalable d’une insuffisance rénale.
Lire aussi | Coronarographie : quelles indications ?
Indications
Arrêt cardiocirculatoire extrahospitalier
Les lésions coronariennes instables sont la première cause des arrêts cardiaques extrahospitaliers.1 Une coronarographie immédiate est recommandée en cas de sus-décalage du segment ST sur l’électrocardiogramme (ECG) réalisé après retour d’une activité circulatoire spontanée.2
Dans les autres cas, il convient d’abord de rechercher une cause extracardiaque (AVC, embolie pulmonaire, hémorragie) par la réalisation d’une tomodensitométrie (TDM) cérébrale et thoraco-abdominale. Si aucune cause extracardiaque n’est retrouvée, la coronarographie est réalisée, le plus souvent de façon différée.3
Une deuxième coronarographie peut être réalisée à distance, pour une revascularisation complémentaire ou pour rechercher un spasme coronarien chez les patients dont la première coronarographie était normale.
Dans les autres cas, il convient d’abord de rechercher une cause extracardiaque (AVC, embolie pulmonaire, hémorragie) par la réalisation d’une tomodensitométrie (TDM) cérébrale et thoraco-abdominale. Si aucune cause extracardiaque n’est retrouvée, la coronarographie est réalisée, le plus souvent de façon différée.3
Une deuxième coronarographie peut être réalisée à distance, pour une revascularisation complémentaire ou pour rechercher un spasme coronarien chez les patients dont la première coronarographie était normale.
Syndromes coronaires aigus
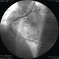
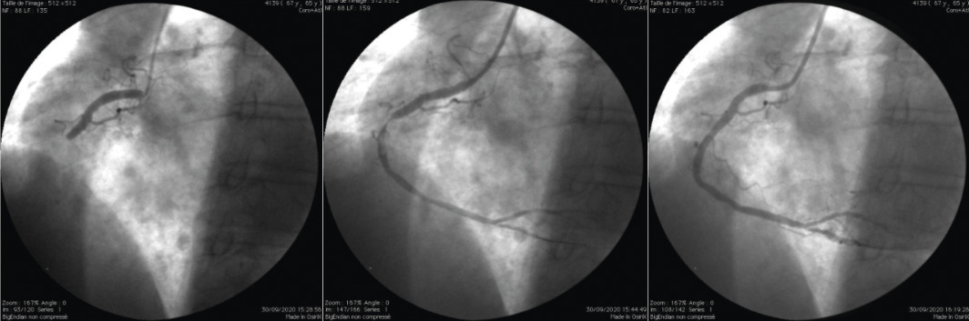
En dehors des dissections coronariennes spontanées, des spasmes ou des emboles coronariens, les syndromes coronaires aigus (SCA) résultent le plus souvent de la rupture dans la lumière artérielle d’une plaque athéromateuse. S’ensuit la formation d’un thrombus dont l’évolution imprévisible peut conduire à l’occlusion coronarienne et à la mort subite (fig. 2 ). Si une telle atteinte coronarienne menaçante est cliniquement suspectée, une coronarographie est réalisée dans un délai qui dépend des symptômes, de l’ECG et des dosages biologiques (troponinémie) [fig. 3 ].
fig. 4 ) si elle peut être réalisée moins de 120 minutes après le diagnostic.4
Si l’accès à une salle de cathétérisme cardiaque n’est pas immédiatement possible et qu’une fibrinolyse intraveineuse est entreprise, une coronarographie devra être réalisée entre deux et vingt-quatre heures après, afin de s’assurer de la perméabilité de l’artère et de réaliser si nécessaire une angioplastie complémentaire.5
Avec sus-décalage du segment ST
La coronarographie permet d’identifier l’artère responsable, dont l’angioplastie primaire reste le traitement idoine (Si l’accès à une salle de cathétérisme cardiaque n’est pas immédiatement possible et qu’une fibrinolyse intraveineuse est entreprise, une coronarographie devra être réalisée entre deux et vingt-quatre heures après, afin de s’assurer de la perméabilité de l’artère et de réaliser si nécessaire une angioplastie complémentaire.5
Avec sous-décalage du segment ST
La présence d’un sous-décalage du segment ST à l’ECG et la positivité de la troponinémie sont des critères de gravité qui imposent une hospitalisation en unité de soins intensifs cardiologiques (USIC) et une coronarographie rapide. En effet, cette stratégie dite « invasive précoce », avec une coronarographie réalisée en première intention dans les vingt-quatre heures, s’est avérée la plus efficace pour réduire la mortalité cardiovasculaire et le risque d’infarctus du myocarde.6 Dans les tableaux les plus graves (choc cardiogénique, troubles du rythme ou récidive douloureuse avec modifications de l’ECG), la coronarographie doit être réalisée dans les deux heures.Angor instable sans signe à l’ECG ni élévation de la troponine
Ce diagnostic clinique correspond à un angor de novo (apparu depuis moins de 3 mois), un angor crescendo ou un angor de repos, résistant au traitement médical ou résiduel post-infarctus. Le risque d’évolution vers l’infarctus est bien réel. Une coronarographie est donc réalisée pour détecter les patients à haut risque, avec une indication à revascularisation d’emblée par angioplastie ou par chirurgie de pontage aortocoronarien.Angor stable
L’évolution de la plaque d’athérome rompue est parfois moins défavorable : le thrombus mural peut progressivement être englobé par le processus fibreux de cicatrisation. La lésion est alors plus sténosante, éventuellement symptomatique, mais moins sujette au risque de rupture et de complications ; sa structure est en effet dépourvue de centre lipidique et plus riche en fibres collagènes. Cette « stabilisation » de la plaque requiert plusieurs semaines (3 mois au maximum).Lorsque la symptomatologie est stable, il n’y a pas de risque d’évolution brutale vers l’occlusion et l’infarctus du myocarde. Cela ne préjuge cependant en rien de la sévérité des lésions et de leur diffusion. Aussi, lorsque la symptomatologie angineuse est ancienne, sans aggravation récente et laisse supposer des lésions stables, la coronarographie reste nécessaire, notamment chez les sujets de moins de 80 ans. Elle permet de détecter les lésions qui relèvent d’une revascularisation systématique en raison d’une évolution spontanée péjorative (sténoses du tronc commun et de l’artère interventriculaire antérieure [IVA] proximale ainsi que les atteintes tritronculaires à mauvaise fonction ventriculaire gauche).
En dehors de ces lésions « critiques », l’intérêt de la coronarographie dans cette indication doit être nuancé. En effet, lorsqu’elle est menée sur les seules données de l’imagerie coronarographique, la revascularisation diminue bien l’intensité de la symptomatologie angineuse et améliore la qualité de vie des patients (en réduisant notamment le nombre de traitements et leurs effets secondaires), mais elle reste sans incidence significative sur le risque d’infarctus du myocarde et sur la mortalité.7
En revanche, lorsque les lésions visualisées à la coronarographie sont passées au crible discriminant de la FFR, leur angioplastie est plus bénéfique, comparée au traitement médical optimal, sur un critère composite associant décès toute cause, infarctus du myocarde et revascularisation urgente.8
Ainsi, même chez les patients âgés de plus 80 ans, la coronarographie doit être envisagée en cas de persistance d’une symptomatologie angineuse invalidante malgré un traitement médical bien conduit. Cependant, elle doit systématiquement s’accompagner d’une étude de la FFR, destinée à guider la revascularisation.
En dehors de ces lésions « critiques », l’intérêt de la coronarographie dans cette indication doit être nuancé. En effet, lorsqu’elle est menée sur les seules données de l’imagerie coronarographique, la revascularisation diminue bien l’intensité de la symptomatologie angineuse et améliore la qualité de vie des patients (en réduisant notamment le nombre de traitements et leurs effets secondaires), mais elle reste sans incidence significative sur le risque d’infarctus du myocarde et sur la mortalité.7
En revanche, lorsque les lésions visualisées à la coronarographie sont passées au crible discriminant de la FFR, leur angioplastie est plus bénéfique, comparée au traitement médical optimal, sur un critère composite associant décès toute cause, infarctus du myocarde et revascularisation urgente.8
Ainsi, même chez les patients âgés de plus 80 ans, la coronarographie doit être envisagée en cas de persistance d’une symptomatologie angineuse invalidante malgré un traitement médical bien conduit. Cependant, elle doit systématiquement s’accompagner d’une étude de la FFR, destinée à guider la revascularisation.
Ischémie silencieuse
La douleur angineuse est la manifestation la plus tardive de l’ischémie myocardique. Elle survient au terme d’une cascade de perturbations métaboliques, hémodynamiques, contractiles et électriques. L’ischémie peut donc rester silencieuse si ce processus physiopathologique est prématurément interrompu.9
Par ailleurs, une neuropathie (diabétique, par exemple) ainsi que les différences de susceptibilité individuelle à la perception de la douleur peuvent expliquer l’absence de manifestation clinique d’une ischémie myocardique pourtant avérée. Or des épisodes ischémiques répétés, même asymptomatiques, peuvent être à l’origine d’une insuffisance cardiaque, d’un infarctus du myocarde ou de mort subite par trouble du rythme (fibrillation ventriculaire).
La détection de signes électriques ischémiques sur l’ECG de base ou lors d’un test de recherche d’ischémie (épreuve d’effort seule ou couplée à une scintigraphie, échographie ou IRM de stress), même sans traduction clinique, doit conduire à la réalisation d’une coronarographie. La revascularisation myocardique est en effet plus efficace que le traitement médicamenteux pour prévenir la survenue d’événements cardiaques indésirables.10
Par ailleurs, une neuropathie (diabétique, par exemple) ainsi que les différences de susceptibilité individuelle à la perception de la douleur peuvent expliquer l’absence de manifestation clinique d’une ischémie myocardique pourtant avérée. Or des épisodes ischémiques répétés, même asymptomatiques, peuvent être à l’origine d’une insuffisance cardiaque, d’un infarctus du myocarde ou de mort subite par trouble du rythme (fibrillation ventriculaire).
La détection de signes électriques ischémiques sur l’ECG de base ou lors d’un test de recherche d’ischémie (épreuve d’effort seule ou couplée à une scintigraphie, échographie ou IRM de stress), même sans traduction clinique, doit conduire à la réalisation d’une coronarographie. La revascularisation myocardique est en effet plus efficace que le traitement médicamenteux pour prévenir la survenue d’événements cardiaques indésirables.10
Troubles du rythme ventriculaire graves
Une coronarographie doit être réalisée en cas d’extrasystoles ventriculaires menaçantes (nombreuses, polymorphes, répétitives, couplage variable, phénomène R/T), d’épisodes de tachycardie ventriculaire ou de fibrillation ventriculaire traitée par choc électrique externe (CEE). En effet, les troubles du rythme associés à une pathologie coronarienne peuvent être responsables de morts subites.
Insuffisance cardiaque
Le patient insuffisant cardiaque se mobilise peu, de sorte qu’il n’atteint généralement pas le seuil de la douleur angineuse. Or, en cas d’insuffisance cardiaque systolique, plus de 1 patient sur 2 est atteint de maladie coronarienne sans signe d’ischémie. Dans le cas particulier de l’insuffisance cardiaque à fonction systolique préservée, la prévalence de la maladie coronarienne atteint 80 %. Il a été récemment montré que la réalisation d’une coronarographie précoce dans cette indication améliorait le pronostic des patients en termes de mortalité globale et de risque de nouvelle décompensation cardiaque. Ce gain est probablement dû à l’incitation induite à réaliser une revascularisation coronarienne.11
Douleurs thoraciques atypiques
Sa sensibilité absolue et sa spécificité parfaite font de la coronarographie un moyen diagnostique précieux auquel il faut recourir en cas de symptomatologie thoracique, brachiale ou dorsale interscapulaire survenant à l’effort, chez un patient avec des facteurs de risque cardiovasculaires. À l’inverse, la coronarographie peut permettre d’éliminer le diagnostic de coronaropathie chez un patient avec des douleurs « compatibles » mais chez qui la TDM coronarienne et les tests d’ischémie non invasifs ne sont pas contributifs ; elle permet ainsi d’éviter un traitement au long cours sans fondement, et une iatrogénie.12
Valvulopathies
L’existence d’une sténose coronarienne est susceptible de compromettre la défibrillation du cœur après chirurgie valvulaire. Une coronarographie ou un scanner coronarien est donc recommandé en préopératoire en cas d’antécédent cardiovasculaire chez les hommes de plus de 40 ans et les femmes ménopausées ainsi qu’en cas de suspicion de maladie coronarienne ou de dysfonction ventriculaire gauche chez les patients ayant un ou plusieurs facteurs de risque cardiovasculaires. Enfin, l’exploration coronarienne doit être systématique en cas d’insuffisance mitrale sévère, la ventriculographie permettant une bonne évaluation de l’importance de la régurgitation.13
1. Spaulding CM, Joly LM, Rosenberg A, et al. Immediate coronary angiography in survivors of out-of-hospital cardiac arrest. N Engl J Med 1997;336(23):1629-33.
2. Larsen JM, Ravkilde J. Acute coronary angiography in patients resuscitated from out-of-hospital cardiac arrest – a systematic review and meta-analysis. Resuscitation 2012;83(12):1427-33.
3. Noc M, Fajadet J, Lassen JF, et al. Invasive coronary treatment strategies for out-of-hospital cardiac arrest: a consensus statement from the European Association for Percutaneous Cardiovascular Interventions (EAPCI)/Stent for life (SFL) groups. EuroIntervention 2014;10(1):31-7.
4. Ibanez B, James S, Agewall S, et al. 2017 ESC Guidelines for the management of acute myocardial infarction in patients presenting with ST-segment elevation: The Task Force for the management of acute myocardial infarction in patients presenting with ST-segment elevation of the European Society of Cardiology (ESC). Eur Heart J 2018;39(2):119-77.
5. Cantor WJ, Fitchett D, Borgundvaag B, et al. Routine early angioplasty after fibrinolysis for acute myocardial infarction. N Engl J Med 2009;360(26):2705-18.
6. Fox KA, Clayton TC, Damman P, et al. Long-term outcome of a routine versus selective invasive strategy in patients with non-ST-segment elevation acute coronary syndrome: a meta-analysis of individual patient data. J Am Coll Cardiol 2010;55(22):2435-45.
7. Spertus JA, Jones PG, Maron DJ, et al. Health-status outcomes with invasive or conservative care in coronary disease. N Engl J Med 2020;382(15):1408-19.
8. De Bruyne B, Pijls NHJ, Kalesan B, et al. Fractional flow reserve-guided PCI versus medical therapy in stable coronary disease. N Eng J Med 2012;367(11): 991-1001.
9. Meiltz A, Ciaroni S. L’ischémie myocardique silencieuse : un silence assourdissant. Rev Med Suisse 2005:1:613-6.
10. Bourassa MG, Pepine CJ, Forman SA, et al. Asymptomatic Cardiac Ischemia Pilot (ACIP) Study: effects of coronary angioplasty and coronary bypass graft surgery on recurrent angina and ischemia The ACIP investigators. J Am Coll Cardiol 1995;26(3):606-14.
11. Kosyakovsky LB, Austin PC, Ross HJ, et al. Early invasive coronary angiography and acute ischaemic heart failure outcomes. Eur Heart J 2021;42(36):3756-66.
12. Knuuti J, Wijns W, Saraste A, et al. 2019 ESC Guidelines for the diagnosis and management of chronic coronary syndromes. Eur Heart J 2020;41(3): 407- 77.
13. Vahanian A, Beyersdorf F, Pra F, et al. 2021 ESC/EACTS Guidelines for the management of valvular heart disease. Eur Heart J 2021: ehab395.
2. Larsen JM, Ravkilde J. Acute coronary angiography in patients resuscitated from out-of-hospital cardiac arrest – a systematic review and meta-analysis. Resuscitation 2012;83(12):1427-33.
3. Noc M, Fajadet J, Lassen JF, et al. Invasive coronary treatment strategies for out-of-hospital cardiac arrest: a consensus statement from the European Association for Percutaneous Cardiovascular Interventions (EAPCI)/Stent for life (SFL) groups. EuroIntervention 2014;10(1):31-7.
4. Ibanez B, James S, Agewall S, et al. 2017 ESC Guidelines for the management of acute myocardial infarction in patients presenting with ST-segment elevation: The Task Force for the management of acute myocardial infarction in patients presenting with ST-segment elevation of the European Society of Cardiology (ESC). Eur Heart J 2018;39(2):119-77.
5. Cantor WJ, Fitchett D, Borgundvaag B, et al. Routine early angioplasty after fibrinolysis for acute myocardial infarction. N Engl J Med 2009;360(26):2705-18.
6. Fox KA, Clayton TC, Damman P, et al. Long-term outcome of a routine versus selective invasive strategy in patients with non-ST-segment elevation acute coronary syndrome: a meta-analysis of individual patient data. J Am Coll Cardiol 2010;55(22):2435-45.
7. Spertus JA, Jones PG, Maron DJ, et al. Health-status outcomes with invasive or conservative care in coronary disease. N Engl J Med 2020;382(15):1408-19.
8. De Bruyne B, Pijls NHJ, Kalesan B, et al. Fractional flow reserve-guided PCI versus medical therapy in stable coronary disease. N Eng J Med 2012;367(11): 991-1001.
9. Meiltz A, Ciaroni S. L’ischémie myocardique silencieuse : un silence assourdissant. Rev Med Suisse 2005:1:613-6.
10. Bourassa MG, Pepine CJ, Forman SA, et al. Asymptomatic Cardiac Ischemia Pilot (ACIP) Study: effects of coronary angioplasty and coronary bypass graft surgery on recurrent angina and ischemia The ACIP investigators. J Am Coll Cardiol 1995;26(3):606-14.
11. Kosyakovsky LB, Austin PC, Ross HJ, et al. Early invasive coronary angiography and acute ischaemic heart failure outcomes. Eur Heart J 2021;42(36):3756-66.
12. Knuuti J, Wijns W, Saraste A, et al. 2019 ESC Guidelines for the diagnosis and management of chronic coronary syndromes. Eur Heart J 2020;41(3): 407- 77.
13. Vahanian A, Beyersdorf F, Pra F, et al. 2021 ESC/EACTS Guidelines for the management of valvular heart disease. Eur Heart J 2021: ehab395.