La découverte fortuite d’une masse surrénalienne lors d’une imagerie abdominale doit être appréhendée avec deux objectifs : éliminer une lésion délétère justifiant une exérèse chirurgicale ; éviter les examens et traitements inutiles.
Un incidentalome surrénalien est une masse surrénalienne découverte fortuitement lors d’une imagerie abdominale, à l’exclusion des lésions découvertes lors du suivi d’antécédent néoplasique ou lors d’un bilan étiologique (d’hypertension artérielle, par exemple). La prévalence des incidentalomes surrénaliens croît avec l’âge et dépasse 7 % après 50 ans. Lors de sa découverte, il convient, d’une part, de reconnaître les lésions délétères justifiant une exérèse chirurgicale et, d’autre part, de définir les modalités de surveillance des patients non opérés.
La démarche de prise en charge fondée sur les recommandations de la Société européenne d’endocrinologie permet de ne pas pratiquer d’examens complémentaires abusifs et a fortiori d’exérèse inutile (fig. 1 ).1
La démarche de prise en charge fondée sur les recommandations de la Société européenne d’endocrinologie permet de ne pas pratiquer d’examens complémentaires abusifs et a fortiori d’exérèse inutile (
Le plus souvent bénins
Les nodules surrénaliens infracentimétriques, quel que soit le contexte, ne méritent pas d’être explorés.1
Les tumeurs nécessitant une prise en charge sont les corticosurrénalomes malins (au pronostic effroyable, que seule l’exérèse complète peut améliorer), les métastases surrénaliennes et les tumeurs hormonalement actives (phéochromocytome, adénome cortisolique, adénome de Conn). La fréquence de ces lésions est variable selon le recrutement (séries chirurgicales, oncologiques, etc.), mais leur prévalence cumulée est estimée inférieure à 10 %.1 L’interrogatoire doit toujours rechercher des antécédents de cancer et l’examen clinique des signes évoquant une pathologie néoplasique et/ou une hypersécrétion surrénalienne. La grande majorité des incidentalomes correspond donc à des tumeurs bénignes non fonctionnelles ; elles sont dominées par les adénomes non sécrétants du cortex surrénalien, ne justifiant pas de traitement. L’exception à cette règle est la découverte d’un incidentalome chez une personne jeune (moins de 35 ans).
Les tumeurs nécessitant une prise en charge sont les corticosurrénalomes malins (au pronostic effroyable, que seule l’exérèse complète peut améliorer), les métastases surrénaliennes et les tumeurs hormonalement actives (phéochromocytome, adénome cortisolique, adénome de Conn). La fréquence de ces lésions est variable selon le recrutement (séries chirurgicales, oncologiques, etc.), mais leur prévalence cumulée est estimée inférieure à 10 %.1 L’interrogatoire doit toujours rechercher des antécédents de cancer et l’examen clinique des signes évoquant une pathologie néoplasique et/ou une hypersécrétion surrénalienne. La grande majorité des incidentalomes correspond donc à des tumeurs bénignes non fonctionnelles ; elles sont dominées par les adénomes non sécrétants du cortex surrénalien, ne justifiant pas de traitement. L’exception à cette règle est la découverte d’un incidentalome chez une personne jeune (moins de 35 ans).
Incidentalome surrénalien et cancers
Les métastases exclusivement surrénaliennes révélatrices d’un cancer sont exceptionnelles.1 De même, un incidentalome surrénalien isolé et unilatéral chez un patient aux antécédents de cancer en rémission est très rarement une récidive métastatique.
Le corticosurrénalome malin est, quant à lui, un cancer rare (1 ou 2 cas nouveaux par million d’habitants et par an), qui ne représente qu’au plus 5 % des incidentalomes surrénaliens ; il est néanmoins découvert de plus en plus souvent de manière fortuite.
Les autres cancers de la surrénale (lymphome, sarcome) sont encore plus rares.2
Le corticosurrénalome malin est, quant à lui, un cancer rare (1 ou 2 cas nouveaux par million d’habitants et par an), qui ne représente qu’au plus 5 % des incidentalomes surrénaliens ; il est néanmoins découvert de plus en plus souvent de manière fortuite.
Les autres cancers de la surrénale (lymphome, sarcome) sont encore plus rares.2
Nature bénigne ou maligne : le scanner pour orienter
Le scanner est l’examen de première intention pour différencier tumeur bénigne et tumeur maligne. Dans cet objectif, il doit être uniquement dédié à l’analyse des surrénales et comporter des séquences non injectées. Trois éléments sont à considérer : la taille de la lésion, son homogénéité et sa densité spontanée :
– une taille supérieure à 4 cm plaide en faveur d’une nature non adénomateuse même si elle ne l’exclut pas ; a contrario, les corticosurrénalomes malins de petite taille représentent moins de 1 % des incidentalomes ;3, 4 la taille n’est donc qu’un élément d’orientation ;
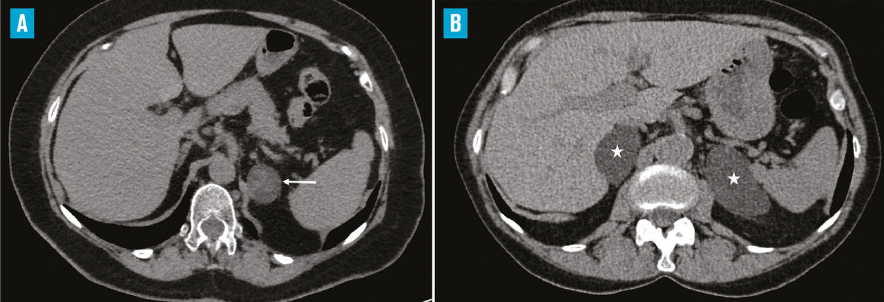
– lorsque la lésion est homogène, une densité spontanée au scanner inférieure à 10 unités de Hounsfield (UH) témoigne d’un contenu graisseux et affirme le diagnostic d’adénome cortical bénin.1 Si la tumeur mesure moins de 3 cm, le seuil de densité éliminant la malignité peut être porté jusqu’à 20 UH3, 4 (fig. 2A ) ;
– si la lésion est hétérogène, on ne peut pas appliquer les critères précédents ;
– enfin, 30 % des adénomes peuvent tromper par leur faible contenu lipidique et une densité spontanée supérieure à 10 UH.1
– une taille supérieure à 4 cm plaide en faveur d’une nature non adénomateuse même si elle ne l’exclut pas ; a contrario, les corticosurrénalomes malins de petite taille représentent moins de 1 % des incidentalomes ;3, 4 la taille n’est donc qu’un élément d’orientation ;
– lorsque la lésion est homogène, une densité spontanée au scanner inférieure à 10 unités de Hounsfield (UH) témoigne d’un contenu graisseux et affirme le diagnostic d’adénome cortical bénin.1 Si la tumeur mesure moins de 3 cm, le seuil de densité éliminant la malignité peut être porté jusqu’à 20 UH3, 4 (
– si la lésion est hétérogène, on ne peut pas appliquer les critères précédents ;
– enfin, 30 % des adénomes peuvent tromper par leur faible contenu lipidique et une densité spontanée supérieure à 10 UH.1
Bilan de deuxième intention, trois possibilités
Lorsque, malgré la réalisation d’un scanner, la nature de l’incidentalome demeure incertaine, plusieurs approches peuvent être proposées.
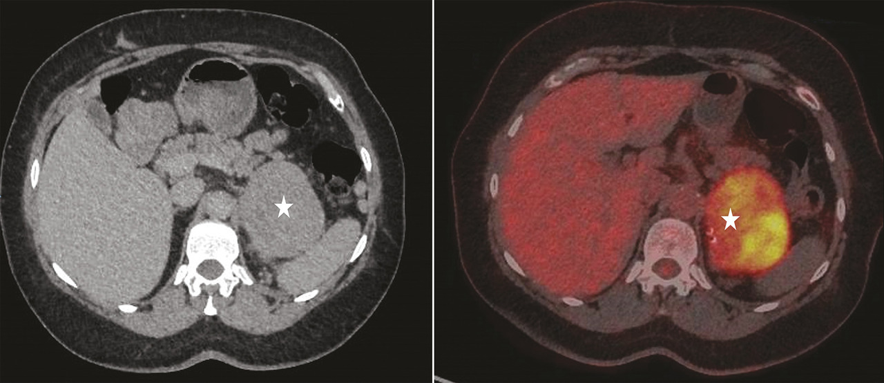
fig. 3 ).5 Si la valeur prédictive négative de la TEP est donc un argument fort en faveur de la bénignité, une augmentation de la captation du FDG n’est cependant pas spécifique et peut également s’observer, essentiellement en cas de phéochromocytome bénin mais aussi dans certains adénomes corticaux bénins ou hémorragies surrénaliennes, notamment.
Le bénéfice de l’imagerie par résonance magnétique (IRM) n’est quant à lui pas démontré quand les examens évoqués ci-dessus ne sont pas concluants.
TEP-scan au 18-FDG
La tomographie par émission de positons couplée à un scanner (TEP-scan) au 18-FDG (traceur dérivé du glucose marqué avec une molécule de fluor 18) est un examen de deuxième intention. Une hyperfixation y traduit l’avidité métabolique du tissu néoplasique. Surtout, une absence de fixation de l’incidentalome a une valeur d’exclusion de la malignité de plus de 90 % (Calcul du wash out
Le calcul du wash out du produit de contraste sur scanner injecté est corrélé au fait que la vidange est plus rapide dans les adénomes que dans les tumeurs malignes. Sa sensibilité et sa spécificité rapportées sont de l’ordre de 90 %, mais ces performances ont surtout été validées pour les métastases et ne sont applicables que si la lésion est homogène.Surveillance évolutive
La surveillance évolutive est une troisième option possible, fondée sur la notion selon laquelle une croissance de taille sur une période de six à douze mois est en faveur de la nature maligne de la masse. Elle est cependant moins documentée.1Biopsie et IRM, rarement pertinentes
La biopsie chirugicale surrénalienne, qui minimise le risque d’essaimage néoplasique le long de son trajet, n’est indiquée qu’en cas de masse suspecte de malignité pour différencier le corticosurrénalome malin des sarcomes et lymphomes, deux pathologies justifiant des approches spécifiques. Elle n’est réalisée qu’après avoir éliminé biologiquement un phéochromocytome.Le bénéfice de l’imagerie par résonance magnétique (IRM) n’est quant à lui pas démontré quand les examens évoqués ci-dessus ne sont pas concluants.
Incidentalome surrénalien et hypersécrétion endocrine : quel bilan effectuer ?
La présence de signes cliniques ou biologiques évocateurs d’une sécrétion stéroïdienne excessive (hypertension artérielle avec hypokaliémie, syndrome de Cushing, hirsutisme…) oriente vers la nature corticale de l’incidentalome et son caractère vraisemblablement malin en cas de sécrétion androgénique ou multiple.1
Éliminer un phéochromocytome
La recherche du phéochromocytome doit être systématique. Sa présentation clinique est souvent atypique dans le contexte des incidentalomes.6 Ainsi, la triade clinique de Ménard (céphalées pulsatiles, palpitations et sueurs profuses) est fréquemment absente, et l’examen peut n’objectiver qu’une hypertension artérielle d’allure banale. Dans environ 10 % des cas, le phéochromocytome n’entraîne même pas d’hypertension artérielle spontanée (phéochromocytome silencieux) ; elle peut néanmoins se révéler lors de l’intervention chirurgicale. Sauf lorsque la lésion est à l’évidence un adénome cortical bénin au scanner, le dosage des métanéphrines urinaires des 24 heures ou des métanéphrines libres plasmatiques doit donc être systématique. Devant un incidentalome non typique d’adénome surrénalien, une élévation minime des métanéphrines et une lésion richement vascularisée et fixant au TEP-scan au 18-FDG doit faire anticiper toutes les précautions anesthésiques nécessaires.
Rechercher un adénome de Conn sur points d’appel
La prévalence de l’adénome de Conn au sein des incidentalomes est faible (moins de 1 %). Sa recherche est possible par l’évaluation du rapport aldostérone/rénine plasmatique, en évitant toute interférence médicamenteuse. Elle n’est justifiée que pour les patients présentant une hypertension artérielle et/ou une kaliémie inférieure à 3,7 mmol/L.
Test de freinage indispensable pour éliminer un adénome cortisolique infraclinique
Un incidentalome surrénalien amène rarement à diagnostiquer un syndrome de Cushing. En revanche, les adénomes cortisoliques infracliniques (ACIC) sont beaucoup plus fréquents (5-10 % des incidentalomes). Il s’agit de tumeurs bénignes produisant du cortisol de manière autonome avec une intensité faible et insuffisante pour entraîner un syndrome de Cushing clinique patent.
Ainsi, le cortisol libre urinaire des 24 heures est un outil peu sensible pour diagnostiquer les ACIC. Leur dépistage repose donc sur la mise en évidence d’une autonomie sécrétoire surrénalienne à l’aide du test de freinage minute à la dexaméthasone. Ce test doit être systématique devant tout incidentalome.1
Celle-ci est, en revanche, jugée possible si la cortisolémie est comprise entre 51 et 139 nmol/L ; elle est vraisemblable si la cortisolémie est supérieure à 139 nmol/L.
Par ailleurs et dans la mesure où le potentiel sécrétoire individuel des cellules adénomateuses est limité (contrairement aux adénomes cortisoliques classiques), c’est seulement en cas de masse sécrétoire suffisante qu’apparaissent les anomalies biologiques. Ainsi, un faux positif du test de freinage est suspecté en cas d’adénome de petite taille (inférieur à 2 cm).
En cas de freinage imparfait, le bilan est complété par d’autres examens en milieu spécialisé pour confirmer l’autonomie sécrétoire (hormone corticotrope hypophysaire [ACTH] plasmatique freinée) et pour mesurer l’intensité de la sécrétion cortisolique.
Quelques publications font enfin état d’une prévalence accrue de microfractures vertébrales. Ce surrisque est difficile à mettre en évidence dans une pratique de routine.
Ainsi, le cortisol libre urinaire des 24 heures est un outil peu sensible pour diagnostiquer les ACIC. Leur dépistage repose donc sur la mise en évidence d’une autonomie sécrétoire surrénalienne à l’aide du test de freinage minute à la dexaméthasone. Ce test doit être systématique devant tout incidentalome.1
Interprétation des résultats
Une cortisolémie sérique inférieure à 50 nmol/L (1,8 µg/dL) à 8 h, après prise la veille au soir à 23 h de 1 mg de dexaméthasone, élimine l’autonomie sécrétoire.Celle-ci est, en revanche, jugée possible si la cortisolémie est comprise entre 51 et 139 nmol/L ; elle est vraisemblable si la cortisolémie est supérieure à 139 nmol/L.
Attention aux faux positifs
Des faux positifs du test sont possibles en cas de prise d’œstrogènes (contraception ou substitution ménopausique), prise d’inducteurs enzymatiques, ou en cas d’affection intercurrente susceptible d’activer l’axe corticotrope (infection, dépression…).Par ailleurs et dans la mesure où le potentiel sécrétoire individuel des cellules adénomateuses est limité (contrairement aux adénomes cortisoliques classiques), c’est seulement en cas de masse sécrétoire suffisante qu’apparaissent les anomalies biologiques. Ainsi, un faux positif du test de freinage est suspecté en cas d’adénome de petite taille (inférieur à 2 cm).
En cas de freinage imparfait, le bilan est complété par d’autres examens en milieu spécialisé pour confirmer l’autonomie sécrétoire (hormone corticotrope hypophysaire [ACTH] plasmatique freinée) et pour mesurer l’intensité de la sécrétion cortisolique.
Des surrisques associés aux adénomes cortisoliques infracliniques ?
De nombreuses données confirment que l’autonomie sécrétoire cortisolique est associée à divers facteurs de risque cardiovasculaires, même en l’absence d’excès flagrant de sécrétion de cortisol : accumulation de graisse viscérale, insulinorésistance, intolérance aux hydrates de carbone et hypertension artérielle notamment.7 Plusieurs études de suivi de larges cohortes ont également rapporté une augmentation des événements cardiovasculaires, voire de la mortalité cardiovasculaire8, 9, chez les patients atteints d’ACIC, comparativement aux patients porteurs d’incidentalomes considérés comme non sécrétants.Quelques publications font enfin état d’une prévalence accrue de microfractures vertébrales. Ce surrisque est difficile à mettre en évidence dans une pratique de routine.
Particularités des incidentalomes surrénaliens bilatéraux
Dans environ 30 % des cas, l’incidentalome est bilatéral. La démarche à adopter présente alors quelques aspects spécifiques.
En effet, certaines pathologies détruisent les surrénales et entraînent une insuffisance surrénalienne. Celle-ci doit être dépistée grâce au dosage du cortisol et de l’ACTH matinale et, éventuellement, à l’aide d’un test au Synacthène.
L’insuffisance surrénalienne oriente prioritairement vers des métastases ou, plus rarement, vers une tuberculose, un lymphome ou des hématomes.
Le bloc enzymatique congénital en 21-hydroxylase peut, dans sa forme mineure, entraîner une hypertrophie surrénalienne nodulaire bilatérale. Il est systématiquement recherché par le dosage de la 17-alpha-hydroxyprogestérone (17-OHP) couplé au test au Synacthène.
Enfin, une autonomie sécrétoire surrénalienne est plus fréquente dans les incidentalomes surrénaliens bilatéraux et particulièrement en cas d’hyperplasie surrénalienne macronodulaire (fig. 2B ).7
En effet, certaines pathologies détruisent les surrénales et entraînent une insuffisance surrénalienne. Celle-ci doit être dépistée grâce au dosage du cortisol et de l’ACTH matinale et, éventuellement, à l’aide d’un test au Synacthène.
L’insuffisance surrénalienne oriente prioritairement vers des métastases ou, plus rarement, vers une tuberculose, un lymphome ou des hématomes.
Le bloc enzymatique congénital en 21-hydroxylase peut, dans sa forme mineure, entraîner une hypertrophie surrénalienne nodulaire bilatérale. Il est systématiquement recherché par le dosage de la 17-alpha-hydroxyprogestérone (17-OHP) couplé au test au Synacthène.
Enfin, une autonomie sécrétoire surrénalienne est plus fréquente dans les incidentalomes surrénaliens bilatéraux et particulièrement en cas d’hyperplasie surrénalienne macronodulaire (
Traitement des incidentalomes surrénaliens : la chirurgie rarement nécessaire
Les particularités de la chirurgie des corticosurrénalomes malins ou des phéochromocytomes n’est pas ici discutée. Leur exérèse doit être réalisée dans un centre expert, idéalement membre du reseau INCA-Endocan-Comete des cancers surrénaliens.
Tumeurs bénignes et phéochromocytomes de petite taille
Pour ces lésions, l’indication à opérer doit toujours être bien posée car, si elle est faible, la morbidité d’un tel geste chirurgical reste incompressible. L’approche laparoscopique est habituelle car mieux tolérée.
Adénomes cortisoliques infra-cliniques : décision au cas par cas
Les séries publiées10 montrent une amélioration des facteurs de risque cardiovasculaires (en particulier de la pression artérielle et des troubles de la glycorégulation) chez une majorité des patients opérés. Néanmoins, ces études pâtissent de limites méthodologiques majeures (caractère rétrospectif et non contrôlé) empêchant toute conclusion définitive. De plus, les bénéfices en sont difficiles à appréhender au niveau individuel. Dans l’attente des résultats d’études prospectives en cours de réalisation, la discussion thérapeutique doit se faire au cas par cas dans un centre expert (la liste de ces centres est disponible sur le site de la filière maladies rares endocriniennes : www.firendo.fr).Il est actuellement admis que l’indication chirurgicale est d’autant plus justifiée que le sujet est jeune, présente un profil biologique d’autonomie sécrétoire confirmé et associé à des facteurs de risque cardiovasculaires ou des comorbidités potentiellement attribuables à un hypercortisolisme.1
La mise en évidence d’une insuffisance corticotrope postopératoire et la nécessité de substitution par hydrocortisone pendant quelques semaines confirment a posteriori l’excès sécrétoire de cortisol.
La mise en évidence d’une insuffisance corticotrope postopératoire et la nécessité de substitution par hydrocortisone pendant quelques semaines confirment a posteriori l’excès sécrétoire de cortisol.
Surveillance pour les adénomes corticaux bénins et non sécrétants
L’exérèse chirurgicale des adénomes corticaux bénins et non sécrétants n’est pas justifiée. Certaines équipes continuent cependant à les opérer lorsque leur taille est supérieure à 4-5 cm, même s’il n’existe pas de données fondées sur les preuves pour recommander cette attitude si le scanner et la biologie sont sans équivoque.
Suivi des incidentalomes surrénaliens non opérés : la clinique en premier !
L’analyse des larges séries de suivi montre que les incidentalomes bien caractérisés initialement au scanner comme typiquement bénins ne se transforment jamais en carcinome, même lorsqu’ils grossissent. Le consensus propose donc de ne pas réaliser de suivi d’imagerie des lésions typiques d’adénome cortical mesurant moins de 4 cm.
Sur le plan endocrinien, durant le suivi d’un incidentalome considéré initialement comme non sécrétant, le risque médian est inférieur à 0,5 % de découvrir un aldostéronome, un phéochromocytome, ou de survenue d’un syndrome de Cushing.11 Il est donc suggéré de ne pas réaliser de bilan endocrinien systématique en cas d’incidentalome non sécrétant.1 Il en est de même pour les ACIC dont l’évolution vers un syndrome de Cushing patent concerne moins de 3 % des patients.1, 11
En revanche, une surveillance clinique et biologique simple des cibles tissulaires du cortisol est importante : tour de taille, pression artérielle, glycémie et hémoglobine glyquée. Elle permet de poser l’indication, ou non, de répéter le bilan endocrinien, à la recherche d’une autonomie sécrétoire surrénalienne (d’autant plus importante que l’incidentalome est volumineux).
Sur le plan endocrinien, durant le suivi d’un incidentalome considéré initialement comme non sécrétant, le risque médian est inférieur à 0,5 % de découvrir un aldostéronome, un phéochromocytome, ou de survenue d’un syndrome de Cushing.11 Il est donc suggéré de ne pas réaliser de bilan endocrinien systématique en cas d’incidentalome non sécrétant.1 Il en est de même pour les ACIC dont l’évolution vers un syndrome de Cushing patent concerne moins de 3 % des patients.1, 11
En revanche, une surveillance clinique et biologique simple des cibles tissulaires du cortisol est importante : tour de taille, pression artérielle, glycémie et hémoglobine glyquée. Elle permet de poser l’indication, ou non, de répéter le bilan endocrinien, à la recherche d’une autonomie sécrétoire surrénalienne (d’autant plus importante que l’incidentalome est volumineux).
Références
1. Fassnacht M, Arlt W, Bancos I, Dralle H, Newell-Price J, Sahdev A, et al. Management of adrenal incidentalomas: European Society of Endocrinology Clinical Practice Guideline in collaboration with the European Network for the Study of Adrenal Tumors. Eur J Endocrinol 2016;175(2):G1-G34.
2. Fassnacht M, Dekkers OM, Else T, Baudin E, Berruti A, de Krijger R, et al. European Society of Endocrinology Clinical Practice Guidelines on the management of adrenocortical carcinoma in adults, in collaboration with the European Network for the Study of Adrenal Tumors. Eur J Endocrinol 2018;179(4):G1-G46.
3. Marty M, Gaye D, Perez P, Auder C, Nunes ML, Ferriere A, et al. Diagnostic accuracy of computed tomography to identify adenomas and benign tumors amongst adrenal incidentalomas in an endocrinological population. Eur J Endocrinol 2018.
4. Bancos I, Taylor AE, Chortis V, Sitch AJ, Jenkinson C, Davidge-Pitts CJ, et al. Urine steroid metabolomics for the differential diagnosis of adrenal incidentalomas in the EURINE-ACT study: a prospective test validation study. Lancet Diabetes Endocrinol 2020;8(9):773-81.
5. He X, Caoili EM, Avram AM, Miller BS, Else T. 18F-FDG-PET/CT Evaluation of indeterminate adrenal masses in noncancer patients. J Clin Endocrinol Metab 2021;106(5):1448-59.
6. Haissaguerre M, Courel M, Caron P, Denost S, Dubessy C, Gosse P, et al. Normotensive incidentally discovered pheochromocytomas display specific biochemical, cellular, and molecular characteristics. J Clin Endocrinol Metab 2013;98(11):4346-54.
7. Prete A, Subramanian A, Bancos I, Chortis V, Tsagarakis S, Lang K, et al. Cardiometabolic disease burden and steroid excretion in benign adrenal tumors: A cross-sectional multicenter study. Ann Intern Med 2022.
8. Di Dalmazi G, Vicennati V, Garelli S, Casadio E, Rinaldi E, Giampalma E, et al. Cardiovascular events and mortality in patients with adrenal incidentalomas that are either non-secreting or associated with intermediate phenotype or subclinical Cushing’s syndrome: a 15-year retrospective study. Lancet Diabetes Endocrinol 2014;2(5):396-405.
9. Debono M, Bradburn M, Bull M, Harrison B, Ross RJ, Newell-Price J. Cortisol as a marker for increased mortality in patients with incidental adrenocortical adenomas. J Clin Endocrinol Metab 2014;99(12):4462-70.
10. Bancos I, Alahdab F, Crowley RK, Chortis V, Delivanis DA, Erickson D, et al. THERAPY OF ENDOCRINE DISEASE: Improvement of cardiovascular risk factors after adrenalectomy in patients with adrenal tumors and subclinical Cushing’s syndrome: a systematic review and meta-analysis. Eur J Endocrinol 2016;175(6):R283-R95.
11. Elhassan YS, Alahdab F, Prete A, Delivanis DA, Khanna A, Prokop L, et al. Natural history of adrenal incidentalomas with and without mild autonomous cortisol excess: A systematic review and meta-analysis. Ann Intern Med 2019;171(2):107-16.
2. Fassnacht M, Dekkers OM, Else T, Baudin E, Berruti A, de Krijger R, et al. European Society of Endocrinology Clinical Practice Guidelines on the management of adrenocortical carcinoma in adults, in collaboration with the European Network for the Study of Adrenal Tumors. Eur J Endocrinol 2018;179(4):G1-G46.
3. Marty M, Gaye D, Perez P, Auder C, Nunes ML, Ferriere A, et al. Diagnostic accuracy of computed tomography to identify adenomas and benign tumors amongst adrenal incidentalomas in an endocrinological population. Eur J Endocrinol 2018.
4. Bancos I, Taylor AE, Chortis V, Sitch AJ, Jenkinson C, Davidge-Pitts CJ, et al. Urine steroid metabolomics for the differential diagnosis of adrenal incidentalomas in the EURINE-ACT study: a prospective test validation study. Lancet Diabetes Endocrinol 2020;8(9):773-81.
5. He X, Caoili EM, Avram AM, Miller BS, Else T. 18F-FDG-PET/CT Evaluation of indeterminate adrenal masses in noncancer patients. J Clin Endocrinol Metab 2021;106(5):1448-59.
6. Haissaguerre M, Courel M, Caron P, Denost S, Dubessy C, Gosse P, et al. Normotensive incidentally discovered pheochromocytomas display specific biochemical, cellular, and molecular characteristics. J Clin Endocrinol Metab 2013;98(11):4346-54.
7. Prete A, Subramanian A, Bancos I, Chortis V, Tsagarakis S, Lang K, et al. Cardiometabolic disease burden and steroid excretion in benign adrenal tumors: A cross-sectional multicenter study. Ann Intern Med 2022.
8. Di Dalmazi G, Vicennati V, Garelli S, Casadio E, Rinaldi E, Giampalma E, et al. Cardiovascular events and mortality in patients with adrenal incidentalomas that are either non-secreting or associated with intermediate phenotype or subclinical Cushing’s syndrome: a 15-year retrospective study. Lancet Diabetes Endocrinol 2014;2(5):396-405.
9. Debono M, Bradburn M, Bull M, Harrison B, Ross RJ, Newell-Price J. Cortisol as a marker for increased mortality in patients with incidental adrenocortical adenomas. J Clin Endocrinol Metab 2014;99(12):4462-70.
10. Bancos I, Alahdab F, Crowley RK, Chortis V, Delivanis DA, Erickson D, et al. THERAPY OF ENDOCRINE DISEASE: Improvement of cardiovascular risk factors after adrenalectomy in patients with adrenal tumors and subclinical Cushing’s syndrome: a systematic review and meta-analysis. Eur J Endocrinol 2016;175(6):R283-R95.
11. Elhassan YS, Alahdab F, Prete A, Delivanis DA, Khanna A, Prokop L, et al. Natural history of adrenal incidentalomas with and without mild autonomous cortisol excess: A systematic review and meta-analysis. Ann Intern Med 2019;171(2):107-16.
Dans cet article
- Le plus souvent bénins
- Incidentalome surrénalien et cancers
- Incidentalome surrénalien et hypersécrétion endocrine : quel bilan effectuer ?
- Particularités des incidentalomes surrénaliens bilatéraux
- Traitement des incidentalomes surrénaliens : la chirurgie rarement nécessaire
- Suivi des incidentalomes surrénaliens non opérés : la clinique en premier !