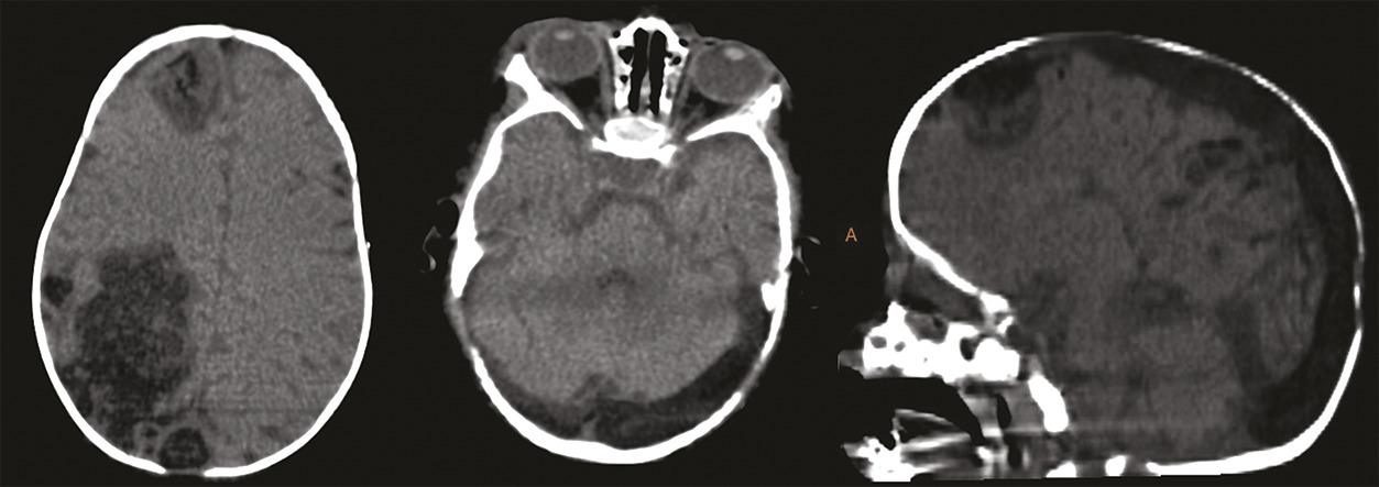
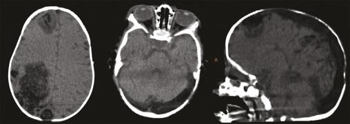
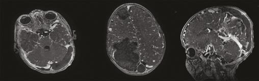
Ce nourrisson de 5 mois était admis aux urgences pour une crise convulsive généralisée. Issu d’un mariage consanguin, il était né par voie basse, sans notion de souffrance néonatale ni antécédents pathologiques notables. L’examen clinique trouvait un syndrome méningé fébrile. Un bilan biologique, une ponction lombaire, une tomodensitométrie et une imagerie par résonance magnétique cérébrales (fig. 1 et 2) étaient réalisés en urgence. Les prélèvements sanguins et du liquide céphalorachidien avaient un aspect lactescent, en faveur d’une méningite bactérienne, et le bilan lipidique était très perturbé : hypercholestérolémie totale à 17 g/L avec un LDL-cholestérol très élevé et un HDL-cholestérol très bas. L’imagerie montrait des plages lésionnelles parenchymateuses cérébrales droites, frontale et pariétale, de signal graisseux et une thrombophlébite cérébrale des sinus longitudinal et latéraux ainsi que quelques veines corticales de signal graisseux. Le diagnostic d’hypercholestérolémie primaire était posé. Le nourrisson était hospitalisé en réanimation et mis sous régime hypolipidémiant.

L’hypercholestérolémie familiale, trouble héréditaire autosomique dominant du métabolisme lipidique, entraîne une exposition à vie à une augmentation des taux de lipoprotéines de basse densité (LDL). Elle est rarement diagnostiquée durant la petite enfance. Le cholestérol est essentiel pour la physiologie neuronale ; composant majeur des membranes cellulaires, il contribue à la régulation de la perméabilité ionique, de la forme cellulaire, de l’interaction cellule-cellule et de la signalisation transmembranaire.1 Les patients souffrent principalement de manifestations dermatologiques et oculaires. L’athérosclérose sévère implique plusieurs lits vasculaires, y compris les systèmes vasculaires cérébral et périphérique.2 Cependant les complications neurologiques ne sont pas décrites dans la littérature de l’hypercholestérolémie primaire.

Références

1. Martin MG, Pfrieger F, Dotti CG. Cholesterol in brain disease: sometimes determinant and frequently implicated. EMBO reports 2014;15:1036-52.
2. Schaefer EJ, Santos RD, Goldsmith LA, et al. Xanthomatoses and lipoprotein disorders. In: Dermatology in general medicine. Blacklick (OH) : McGraw-Hill Professional, 2012:1601.

Une question, un commentaire ?