Une femme de 31 ans consulte pour une « boule » périanale ancienne et indolore mais inesthétique. L’examen clinique révèle une tuméfaction rosée de la marge anale (fig. 1).

L’hidradénome papillifère est une tumeur kystique bénigne des glandes apocrines. Il est situé dans le derme profond, sans connexion avec l’épiderme. Il survient quasi exclusivement chez la femme d’âge moyen. La localisation habituelle est périnéovulvaire (fig. 2) ; beaucoup plus rarement, elle peut être anale ou périanale. 

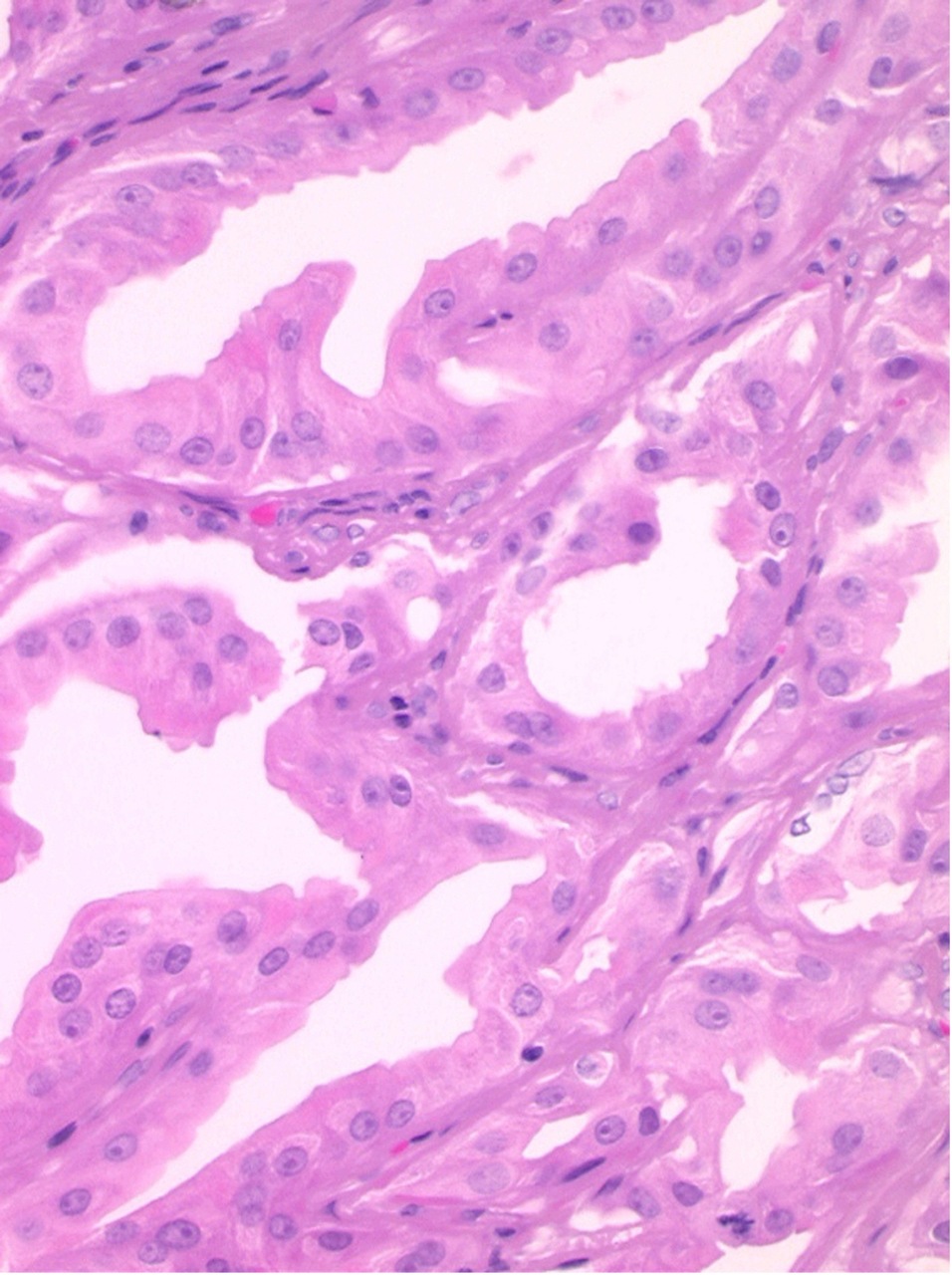
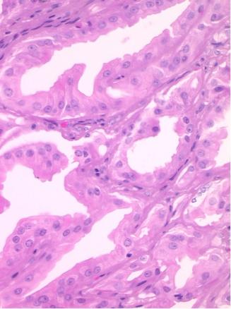
L’hidradénome papillifère est habituellement asymptomatique ; de rares douleurs et/ou saignements peuvent survenir en cas d’érosion de la surface. Le plus souvent, il prend l’aspect d’un nodule intradermique rond, unique, ferme, mobile, recouvert par une peau normale, de couleur rose, translucide, généralement de petite taille. Parfois, il a un aspect bleuté, exophytique et/ou ulcéré. Le diagnostic repose sur l’analyse histologique (fig. 3).

Les principaux diagnostics différentiels sont le molluscum contagiosum, le condylome, la thrombose hémorroïdaire externe, le kyste sébacé et la marisque.

L’exérèse chirurgicale est salvatrice et permet de poser un diagnostic formel. La récidive est exceptionnelle.

Pour en savoir plus
Spindler L, Pommaret E, Fathallah N, et al. Les hidradénomes papillifères de l’anus ressemblent à ceux de la vulve : étude de 14 cas. Ann Dermatol Venereol 2019;146(8-9):537-41.
Seo GJ, Seo JH, Cho KJ, et al. Hidradenoma Papilliferum of the Anus: A report of 2 cases and review of the literature. Ann Coloproctol 2019;35(6):361-3.

Une question, un commentaire ?