objectifs
Devant une hépatomégalie, une masse abdominale, ou la découverte de nodules hépatiques, argumenter les principales hypothèses diagnostiques et justifier les examens complémentaires pertinents.

Hépatomégalie

Définition

L’hépatomégalie est une augmentation du volume du foie. Elle peut concerner un segment ou un lobe hépatique, ou être diffuse. On distingue également l’hépatomégalie homogène de l’hépato­mégalie hétérogène.

Diagnostic positif et différentiel

Le diagnostic est le plus souvent clinique. Le patient peut rapporter une sensation de gêne ou de pesanteur en hypochondre droit ou en épigastre. Lorsque l’hépatomégalie est majeure, elle peut être visible lors de l’inspection (fig. 1). La palpation d’une hépato­mégalie nécessite un examen physique consciencieux : placé à la droite du patient, le médecin pose sa main droite à plat en regard de l’hypochondre droit, parallèlement au rebord costal. À l’inspiration profonde, le bord inférieur du foie vient au contact de l’index. On peut ainsi mesurer la flèche hépatique, qui correspond à la somme de la matité sous-costale et du débord hépatique, un travers de doigt correspondant à 2 cm environ, et caractériser l’hépatomégalie (bord inférieur du foie mousse ou tranchant, consistance du parenchyme, sensible ou indolore, régulier ou non). La flèche hépatique sur la ligne médioclaviculaire est comprise entre 10 et 12 cm en situation physiologique. Une ascite abondante, un pannicule adipeux sous-cutané important ou une défense abdominale peuvent gêner l’examen clinique, et les signes décrits peuvent ne pas être perceptibles. Dans de tels cas, l’échographie abdominale peut aider au diagnostic, et permet également d’éliminer une masse développée aux dépens d’un organe de voisinage : tumeur gastrique, pancréatique, colique ou rénale.

Étiologie

La plupart des maladies du foie, aiguës ou chroniques, peuvent s’accompagner d’une hépatomégalie ; les causes principales sont présentées dans le tableau, avec les signes cliniques et para­cliniques associés qui permettent l’orientation diagnostique.
À noter que la cirrhose ne s’accompagne d’une hépatomégalie qu’au stade initial (qui peut durer plusieurs années), elle est alors plus volontiers sectorielle ou hétérogène qu’homogène ; le paren­chyme hépatique s’atrophie ensuite avec l’évolution de la maladie.

Orientation diagnostique


Examen clinique

À l’interrogatoire, on recherche :
  • des antécédents personnels et familiaux d’hépatopathie, une prise de médicaments et de toxiques, les facteurs de risque d’hépatite virale, les éléments du syndrome métabolique ;
  • des signes fonctionnels : douleur abdominale, fièvre, altération de l’état général, prurit, modification de la couleur des urines et des selles.
À l’examen physique, outre la caractérisation de l’hépatomégalie détaillée plus haut, on précisera s’il y a des signes évocateurs d’hépatopathie chronique (dilatation des veines sous-cutanées abdominales correspondant à une circulation veineuse collatérale, ascite, splénomégalie, angiomes stellaires, érythrose palmaire…), un ictère, un œdème des membres inférieurs, un reflux hépato-­jugulaire, une turgescence jugulaire, des adénopathies.

Biologie

Les examens de première intention sont : le bilan hépatique complet (transaminases, bilirubine totale et conjuguée, phospha­tases alcalines, gamma-glutamyltransférase), la numération formule sanguine, le taux de prothrombine, l’albuminémie et l’ionogramme sanguin.
En seconde intention, orienté par l’examen clinique, on pourra effectuer des sérologies virales (virus des hépatites virales A, B C et E selon le contexte), une glycémie à jeun et l’exploration d’une anomalie lipidique, un bilan auto-immun (électrophorèse des protides plasmatiques, dosage pondéral des immunoglobulines, recherche d’auto-anticorps), un bilan martial (fer, ferritinémie, coefficient de saturation de la transferrine), des hémocultures, des sérologies parasitaires, un dosage de marqueurs tumoraux (alphafœtoprotéine [AFP], antigène carbohydrate [CA] 19-9, antigène carcino-embryonnaire [ACE]).

Imagerie

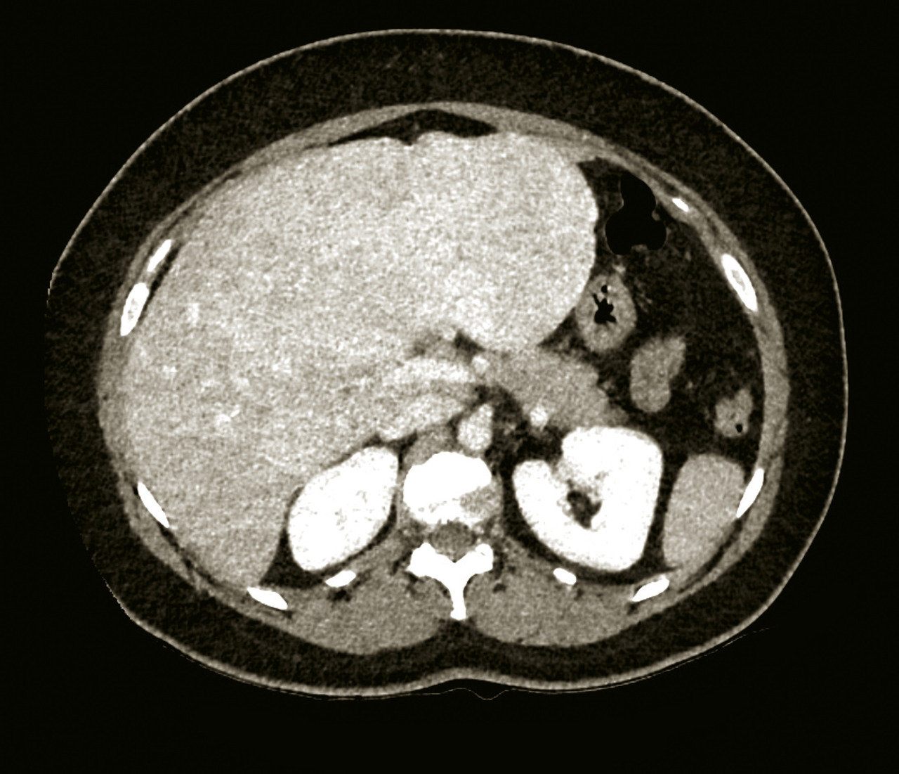
L’échographie abdominale est l’examen d’imagerie de première intention devant la découverte d’une hépatomégalie. Elle permet de caractériser cette dernière plus finement que l’examen clinique, de mettre en évidence des signes de cirrhose (dysmorphie hépatique à contours bosselés, signes d’hypertension portale : splénomégalie et voies de dérivation porto-systémiques), une dilatation des voies biliaires, une stéatose hépatique (parenchyme hyperéchogène), et le mode Doppler peut montrer des signes indirects d’insuffisance cardiaque droite (dilatation des veines hépatiques) ou encore une thrombose d’une ou plusieurs veines hépatiques responsable d’un syndrome de Budd-Chiari. L’échographie permet aussi de mettre en évidence une ascite, même si elle est de faible abondance, ainsi qu’un ou plusieurs nodules hépatiques.
Une imagerie en coupe, tomodensitométrie (TDM) ou imagerie par résonance magnétique (IRM), avec étude triphasique (temps artériel, portal et tardif) après injection de produit de contraste, peut être utile au diagnostic étiologique d’une hépatomégalie.
Si les voies biliaires sont dilatées, une cholangio-IRM peut permettre d’en déterminer la cause.
L’échographie cardiaque sera utile si les veines hépatiques sont dilatées et s’il existe des arguments en faveur d’une insuffisance cardiaque.

Ponction-biopsie hépatique

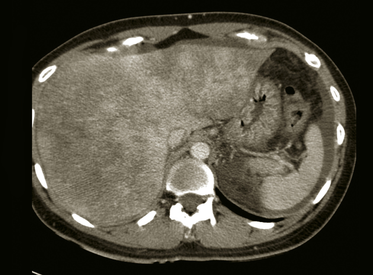
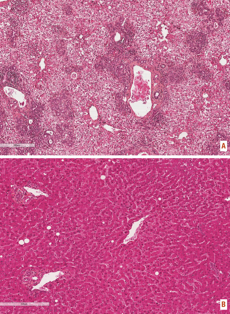
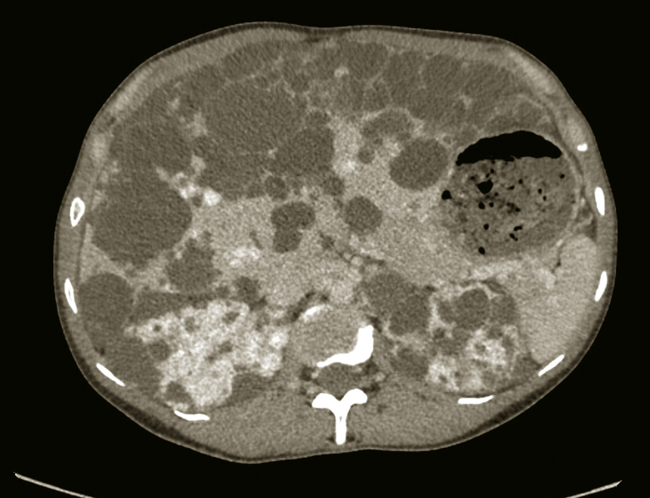
Lorsque les données cliniques, biologiques et d’imagerie ne permettent pas de faire un diagnostic étiologique, la ponction-­biopsie hépatique est nécessaire. Elle peut apporter un faisceau d’arguments qui, même s’ils ne sont pas spécifiques, orientent vers une cause donnée. Elle permet également de déterminer le stade évolutif (extension de la nécrose hépatocytaire pour les maladies aiguës, extension de la fibrose pour les maladies chroniques). Si l’hépatomégalie est diffuse, la biopsie est en principe réalisée dans le lobe droit, et un contrôle échographique est recommandé (fig. 8) ; à l’inverse, lorsque qu’il existe un ou plusieurs nodules, elle doit être faite en foie nodulaire et en foie non nodulaire pour rechercher une hépatopathie sous-jacente.
Les contre-indications à la ponction-biopsie transpariétale sont l’ascite, les troubles de l’hémostase non corrigés (taux de prothrombine inférieur à 50 %, plaquettes inférieures à 60 G/L, temps de céphaline activée [TCA] ratio supérieur à 1,5) et une dilatation des voies biliaires. Les deux premières contre-indications peuvent être contournées en effectuant la biopsie par voie transjugulaire.

Démarche diagnostique

Un examen clinique détaillé permet le plus souvent de s’orienter vers une étiologie (fig. 9).
Si tel n’est pas le cas, et également afin de confirmer une hypothèse diagnostique, des examens biologiques et d’imagerie sont nécessaires. Les principaux examens complémentaires indiqués en fonction de l’étiologie suspectée sont présentés dans le tableau.

Conduite à tenir devant une masse abdominale

Un examen clinique systématique permet le plus souvent de s’orienter vers une étiologie, notamment grâce à la localisation de la masse. L’interrogatoire doit préciser le terrain (mode de vie, dont prise de toxiques, antécédents personnels et familiaux, en particulier digestifs, traitements), la date d’apparition de la masse, son évolution au cours du temps, les circonstances de découverte de la masse, les signes généraux et fonctionnels associés (fièvre, altération de l’état général, douleurs, troubles du transit, extériorisation de sang…). À l’examen physique, on s’attachera à caractériser la masse (topographie, taille, régularité de sa surface, consistance, sensibilité, mobilité) et à rechercher des signes physiques associés (adénopathies, ictère…).
Le cliché d’abdomen sans préparation n’a pas sa place devant la découverte d’une masse abdominale. L’échographie abdominale est en revanche l’examen d’imagerie de première intention ; elle permet de préciser le plus souvent l’organe aux dépens duquel la masse est développée, et la nature tissulaire ou liquidienne de la lésion. Toutefois, l’origine d’une masse abdominale peut être difficile à déterminer en échographie lorsqu’il existe des interpositions gazeuses. La TDM est souvent nécessaire pour caractériser plus précisément la masse.

Masse de l’hypochondre droit


Hépatomégalie

Voir partie Hématomégalie (tableau)

Augmentation de taille de la vésicule biliaire

La vésicule biliaire n’est pas palpable en situation physiologique. Si elle l’est, il peut s’agir :
  • d’un hydrocholécyste, c’est-à-dire une distension de la vésicule liée à un calcul enclavé au niveau du collet vésiculaire ou dans le canal cystique ;
  • d’une tumeur maligne du pancréas, qui comprime la voie biliaire principale, la vésicule est alors distendue du fait d’une rétention, et l’ictère est constant ;
  • d’une cholécystite aiguë, la vésicule est alors sensible à la palpation (signe de Murphy) et le patient fébrile, il est toutefois très rare que la vésicule soit palpable au cours d’une cholé­cystite ;
  • d’une tumeur maligne de la vésicule, la vésicule est ici dure, irrégulière et fixée.

Autres causes

Plus rarement, une masse palpable en hypochondre peut correspondre à une tumeur de l’angle colique droit, une néphromégalie droite ou une lésion de la surrénale droite.

Masse de l’épigastre

Il peut s’agir d’une hypertrophie du lobe gauche du foie (fréquente au cours de la cirrhose), d’une lésion pancréatique, gastrique ou du côlon transverse.

Tumeur pancréatique

Il s’agit le plus souvent d’une tumeur maligne, de type adénocarcinome, qui s’associe à une altération de l’état général marquée, à un ictère si la tumeur est localisée au niveau de la tête du pancréas, et à des douleurs solaires si elle est au niveau du corps. La masse est dure, sensible, fixée.
Un pseudokyste du pancréas, s’il est volumineux, peut aussi être palpable sous forme d’une masse ferme, rénitente et régulière, il correspond généralement à une séquelle de pancréatite aiguë.

Tumeur gastrique

La masse est dure, pierreuse, mais il est très rare qu’une tumeur gastrique se révèle par une masse palpable isolée ; les symptômes digestifs sont habituellement au premier plan : épigastralgies, vomissements, hématémèse ou méléna. L’endoscopie œso-gastro-duodénale avec biopsies ciblées permet le diagnostic.

Masse de l’hypochondre gauche


Splénomégalie

Une rate palpable est toujours pathologique, et peut avoir pour cause une hypertension portale, une hémopathie (hémolyse chronique, maladie lympho- ou myéloproliférative), une infection virale, bactérienne, fongique ou parasitaire, une maladie de surcharge…

Autres causes

Beaucoup plus rarement, une tumeur de la queue du pancréas, de l’angle colique gauche, de l’estomac ou du rein gauche peut être responsable d’une masse en hypochondre gauche.

Masse des flancs

Une lésion développée aux dépens du muscle psoas (hématome le plus fréquemment, abcès ou tumeur plus rarement), d’un rein (polykystose, tumeur maligne, hydronéphrose), du côlon ou une tumeur rétropéritonéale primitive (sarcome essentiellement) peut se révéler par une masse palpable en flanc gauche ou droit. Une hépatomégalie volumineuse peut être palpée en flanc droit, de même qu’une splénomégalie importante peut être palpée en flanc gauche.

Masse de la région ombilicale

Il peut s’agir d’une tumeur ou d’un abcès de l’intestin grêle, d’une tumeur du côlon transverse ou du mésentère. Un volumineux anévrisme de l’aorte abdominale peut se révéler par une masse battante pulsatile associée à un souffle systolique à l’auscultation de ce quadrant.

Masse de la fosse iliaque droite

L’adénocarcinome du cæcum peut se manifester sous forme d’une masse en fosse iliaque droite, souvent associée à une anémie ferriprive, voire à du méléna ; les troubles du transit sont en revanche généralement absents. Une coloscopie avec biopsies de la tumeur permet le diagnostic.
Il peut également s’agir d’une maladie de Crohn compliquée d’un abcès (mode de révélation de la maladie ou complication au cours de son évolution) ou d’une appendicite abcédée ; le patient est alors fébrile et la masse douloureuse. La TDM montrera une collection liquidienne parfois hétérogène, éventuellement associée à d’autres lésions en cas de maladie de Crohn (épaississement des parois, sténose, fistule).
Une tumeur ou un abcès de l’ovaire peuvent également être palpés.

Masse de l’hypogastre


Causes diverses

Les diagnostics les plus aisés sont à évoquer en priorité :
  • grossesse méconnue : date des dernières règles, dosage des β-hCG ;
  • globe vésical : il se présente comme une matité convexe vers le haut, et le contexte est souvent évocateur (patient âgé, période postopératoire, médicament favorisant) ; l’anurie n’est en revanche pas systématique puisqu’il peut y avoir des mictions par regorgement ;
  • fécalome : le diagnostic se fait au toucher rectal.

Causes utérines

Le fibrome utérin peut être palpé sous la forme d’une masse ferme, lisse, régulière et indolore (sauf s’il s’agit d’une torsion d’un fibrome pédiculé, qui est très douloureuse), mobile avec l’utérus, qui peut s’associer à une pesanteur pelvienne, des ménorragies ou encore des troubles mictionnels. L’échographie pelvienne permet la confirmation diagnostique.
Le cancer de l’endomètre se révèle le plus souvent par des métrorragies post-ménopausiques.

Tumeur de l’ovaire

Bénigne ou maligne, kystique ou tissulaire, la lésion est le plus souvent latéralisée d’un côté ou de l’autre. Dans le cas contraire, il est cliniquement difficile de la distinguer d’une tumeur utérine.

Masse de la fosse iliaque gauche

Elle peut correspondre à un abcès du sigmoïde, qui complique généralement une diverticulite aiguë sigmoïdienne ; le patient est fébrile, présente classiquement une diarrhée, et la masse est sensible.
Une tumeur du sigmoïde peut se révéler par une masse, mais les rectorragies ou les troubles du transit sont le plus souvent au premier plan.
Une tumeur ou un abcès de l’ovaire peut également être palpé(e) en fosse iliaque gauche.

Masses non systématisées

Certaines lésions n’ont pas de topographie caractéristique, et peuvent être palpées dans différents quadrants de l’abdomen.
Une masse pariétale peut correspondre à une hernie (réductible ou non), un hématome de paroi ou encore un lipome (masse régulière, mobile par rapport au plan musculaire et indolore).
De volumineuses adénopathies abdominales peuvent être palpées chez un sujet maigre, auquel cas toutes les aires ganglionnaires doivent être palpées à leur tour.
Des nodules multiples, durs, indolores et fixés doivent faire évoquer une carcinose péritonéale, ils peuvent s’accompagner d’ascite, de douleurs abdominales, de troubles du transit, voire d’un syndrome occlusif.
Enfin, une masse abdominale d’origine indéterminée peut correspondre à un corps étranger, notamment du matériel opératoire.
Encadre

Pour en savoir +

ALD n° 30. Lymphomes non hodgkiniens de l’adulte, Guide maladie chronique. Haute Autorité de santé (HAS), 2015.
ALD n° 17. Maladie de Gaucher, Guide maladie chronique. HAS, 2007.
Prise en charge de l’hémochromatose liée au gène HFE (hémochromatose de type 1), Recommandation de bonne pratique. HAS, 2005.
Ponction-biopsie hépatique. Réalisation pratique et indications. Association française pour l’étude du foie (AFEF) et Société nationale française de gastroentérologie (SNFGE), 2002.
Que reste-t-il des indications de la ponction-biopsie hépatique ? Post’U, SNFGE, 2011.
Carcinome hépatocellulaire (cancer primitif du foie), Thésaurus national de cancérologie digestive. SNFGE, 2019.
Recommandations pour le diagnostic et le suivi non invasif des maladies chroniques du foie. AFEF, 2020.
Message auteur

Hépatomégalie et masse abdominale

Comme tous les items d’orientation diagnostique, « Hépatomégalie et masse abdominale » ne peut faire l’objet d’un dossier progressif à lui seul. Il peut en revanche être une très bonne porte d’entrée dans un cas clinique, et bien sûr être source de questions isolées.

Voici quelques exemples de questions auxquelles vous pourriez être confrontés.

◗ Connaître l’ordre dans lequel les examens complémentaires doivent être effectués lors de la découverte d’une hépatomégalie : bilan biologique en première intention (transaminases, bilirubine totale et conjuguée, phosphatases alcalines, gamma-glutamyl-transférase, numération formule sanguine, taux de prothrombine, albuminémie), puis écho-Doppler abdominal, imagerie injectée en troisième ligne, et ponction-biopsie hépatique en dernier recours, tout ceci devant bien entendu être adapté au contexte et aux principales hypothèses diagnostiques.

◗ Donner les caractéristiques du carcinome hépatocellulaire en imagerie injectée : aspect hypervasculaire au temps artériel (phénomène de wash-in), et hypovasculaire au temps portal ou tardif (phénomène de wash-out) par rapport au parenchyme hépatique adjacent.

◗ Citer les contre-indications à la ponction-biopsie hépatique transpariétale : présence d’ascite, de troubles de l’hémostase non corrigés (taux de prothrombine inférieur à 50 %, plaquettes inférieures à 60 G/L, TCA ratio supérieur à 1,5), d’une dilatation des voies biliaires.

◗ Citer les principales hypothèses diagnostiques devant la palpation d’une masse de tel quadrant. Tous les quadrants sont susceptibles de faire l’objet d’une telle question.

◗ Un patient vous est adressé pour splénomégalie, la suite du dossier vous amène à poser le diagnostic de cirrhose.

◗ Un patient consulte pour une altération de l’état général, vous palpez une masse épigastrique ; votre première hypothèse doit être celle de l’adénocarcinome pancréatique.

Dans cet article

Ce contenu est exclusivement réservé aux abonnés