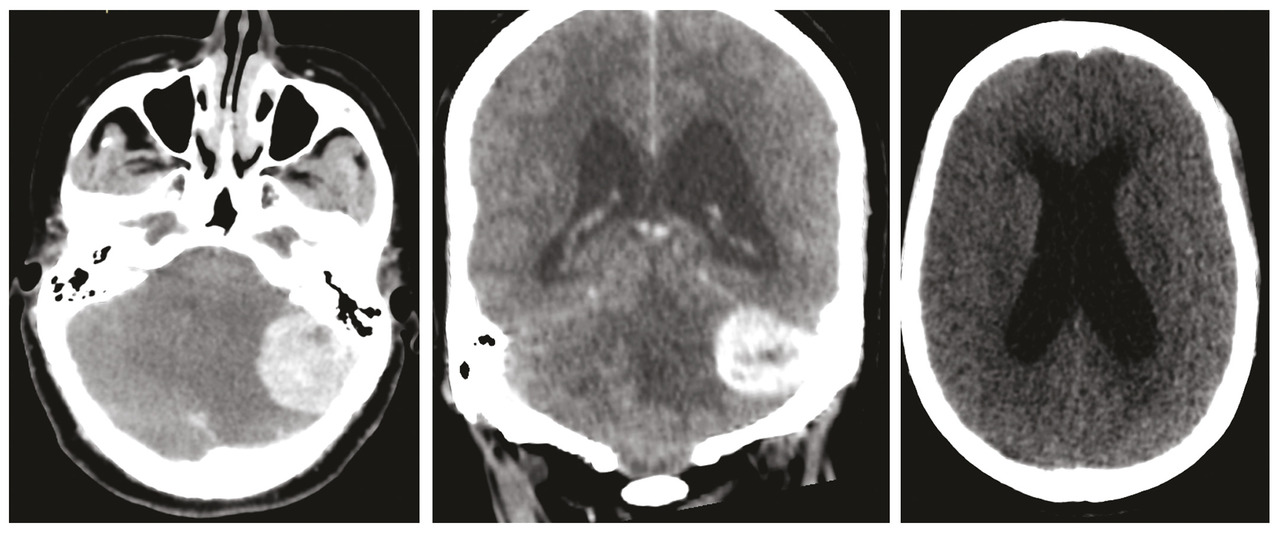
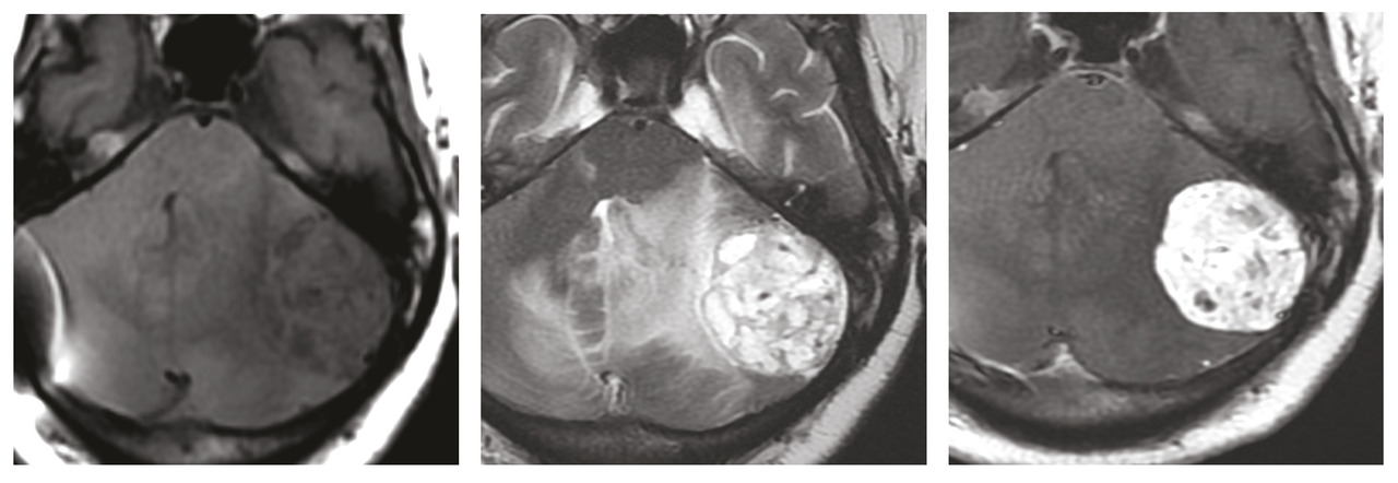
Une femme de 32 ans, sans antécédents pathologiques, consulte pour baisse brutale de l’acuité visuelle. L’examen ophtalmologique trouve un œdème papillaire bilatéral, le reste de l’examen neurologique est sans particularités. Face à cette symptomatologie, un scanner cérébral est réalisé en urgence. Il montre un processus cérébelleux gauche responsable d’un effet de masse sur le quatrième ventricule avec une hydrocéphalie d’amont et des signes de résorption transépendymaire (fig. 1 ). Par la suite, la patiente a bénéficié d’une dérivation ventriculo-péritonéale. Une imagerie par résonance magnétique (IRM) cérébrale a été réalisée pour une meilleure analyse. Elle a permis d’objectiver un processus intra-axial cérébelleux gauche bien limité à double composante kystique et charnue majoritaire en hyposignal T1-hypersignal T2 sans restriction sur la diffusion et se rehaussant de façon intense après injection de chélates de gadolinium (fig. 2 ). La patiente a été opérée (résection en monobloc de la tumeur) (fig. 3 ). Le diagnostic d’hémangioblastome a été confirmé à l’examen anatomopathologique. La patiente s’est améliorée par la suite sur le plan neurologique mais elle a conservé une cécité définitive.
Une IRM de contrôle réalisée deux mois après le geste opératoire montre des stigmates hémorragiques sans résidu tumoral.
Une IRM de contrôle réalisée deux mois après le geste opératoire montre des stigmates hémorragiques sans résidu tumoral.
L’hémangioblastome est une tumeur vasculaire bénigne rare observée essentiellement chez l’adulte (grade 1 de l’OMS), représentant 2 % des tumeurs primitives du système nerveux central.1 Elle se localise préférentiellement au niveau de la fosse cérébrale postérieure, puis de la moëlle épinière et beaucoup moins souvent à l’étage sus tentoriel. Elle peut être sporadique ou génétique dans le cadre de la maladie de von Hippel-Lindau.1
Elle est révélée habituellement par une hypertension intracrânienne ; une polyglobulie peut être présente dans 20 % des cas.
On distingue radiologiquement et histologiquement quatre types d’hémangioblastome :2
– le type 1 : kyste simple sans nodule macroscopique ;
– le type 2 : kyste avec un nodule mural ;
– le type 3 : solide ;
– le type 4 : solide avec de petits kystes internes.2
À l’imagerie, le nodule mural est isodense au parenchyme cérébral avec rehaussement intense après contraste, les parois kystiques ne se rehaussent généralement pas et les calcifications ne sont pas fréquentes. On peut observer également à l’IRM des vides de signal sur la séquence T2 qui correspondent aux vaisseaux, et à l’IRM de perfusion les valeurs du rCBV (regional cerebral blood volume ou volume sanguin cérébral régional) sont élevées.
Le traitement standard consiste en l’exérèse chirurgicale des tumeurs surtout de la fosse cérébrale postérieure (FCP) qui doivent être traitées rapidement du fait de leur potentiel de croissance rapide.2 La chimiothérapie n’est pas validée.
Le risque de récidive est augmenté chez les patients atteints de la maladie de Von Hippel Lindau d’où la nécessité d’une surveillance régulière.
Elle est révélée habituellement par une hypertension intracrânienne ; une polyglobulie peut être présente dans 20 % des cas.
On distingue radiologiquement et histologiquement quatre types d’hémangioblastome :2
– le type 1 : kyste simple sans nodule macroscopique ;
– le type 2 : kyste avec un nodule mural ;
– le type 3 : solide ;
– le type 4 : solide avec de petits kystes internes.2
À l’imagerie, le nodule mural est isodense au parenchyme cérébral avec rehaussement intense après contraste, les parois kystiques ne se rehaussent généralement pas et les calcifications ne sont pas fréquentes. On peut observer également à l’IRM des vides de signal sur la séquence T2 qui correspondent aux vaisseaux, et à l’IRM de perfusion les valeurs du rCBV (regional cerebral blood volume ou volume sanguin cérébral régional) sont élevées.
Le traitement standard consiste en l’exérèse chirurgicale des tumeurs surtout de la fosse cérébrale postérieure (FCP) qui doivent être traitées rapidement du fait de leur potentiel de croissance rapide.2 La chimiothérapie n’est pas validée.
Le risque de récidive est augmenté chez les patients atteints de la maladie de Von Hippel Lindau d’où la nécessité d’une surveillance régulière.
Références
1. Samai N, Adjabi D, Alimi S, Martani M, Fadla H, Bouaziz M. Les hémangioblastomes sporadiques de la fosse cérébrale postérieure (à propos de 14 cas et revue de la littérature). Neurochirurgie 2017;63(1):33-4.
2. Slater A, Moore NR, and Huson SM. The natural history of cerebellar hemangioblastomas in von Hippel-Lindau disease. Am J Neuroradiol 2003;24(8):1570-4.
2. Slater A, Moore NR, and Huson SM. The natural history of cerebellar hemangioblastomas in von Hippel-Lindau disease. Am J Neuroradiol 2003;24(8):1570-4.
Une question, un commentaire ?