Charles, 34 ans, militaire depuis 2011, est un sportif régulier (10 h/semaine), sans antécédents. Lors de sa visite annuelle d’aptitude de 2019, l’ECG (sinusal et régulier) montre des troubles de repolarisation précoce en V1 et V2 et des ondes T négatives (V3 à V6 et DII, DIII et aVf). La fréquence cardiaque est de 50 batt/min. Le cœur est normo-axé. Il a des épisodes de palpitations depuis plusieurs années.
Sur l’ECG de 2011, les ondes T sont négatives dans les dérivations inférieures. En 2016, elles s’étendent aux précordiales.
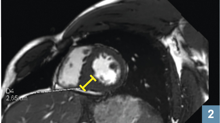
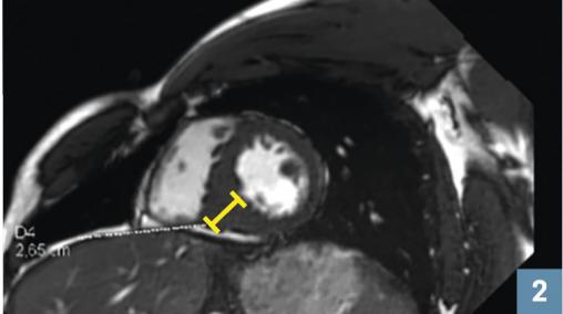
L’IRM de 2019 montre une cardiomyopathie hyper- trophique avec un septum mesuré à 26 mm en inféroseptal.
Abstention thérapeutique et surveillance cardiologique annuelle sont proposées. Le patient est cependant déclaré inapte à l’exercice de la profession de militaire.
Sur l’ECG de 2011, les ondes T sont négatives dans les dérivations inférieures. En 2016, elles s’étendent aux précordiales.
L’IRM de 2019 montre une cardiomyopathie hyper- trophique avec un septum mesuré à 26 mm en inféroseptal.
Abstention thérapeutique et surveillance cardiologique annuelle sont proposées. Le patient est cependant déclaré inapte à l’exercice de la profession de militaire.
Chez le sportif, un certain nombre d’anomalies sont décrites (tableau).1
Ce sujet a en outre une cardiomyopathie hypertrophique. Touchant 1 personne sur 500 en population générale, voire 1 sur 200 (car maladie sous-diagnostiquée et de pénétrance incomplète). Elle est due à une mutation sur un des gènes codant pour une des protéines du sarcomère cardiaque ; plus de 400 mutations sont décrites.
C’est la 1re cause de mort subite au cours de l’effort.2 La gêne fonctionnelle est faible (palpitations chez ce patient) ou variable : dyspnée modérée, angor d’effort, syncopes…
Le diagnostic repose sur l’échographie ou l’IRM : hypertrophie asymétrique à prédominance septale sans dilation du VG, après avoir exclu les autres causes (cardiopathie hypertensive, maladie de surcharge, non compaction ventriculaire, valvulopathie aortique, cœur d’athlète). Une enquête familiale est souhaitable (dépistage des apparentés au 1er degré).
L’éducation thérapeutique est cruciale : pour éviter les tachycardies, interdire les compétitions sportives, conserver une précharge suffisante en favorisant une bonne hydratation, proscrire la consommation excessive d’alcool, etc.
Bêtabloquants et inhibiteurs calciques peuvent être prescrits si la maladie est symptomatique.
Selon les recommandations européennes,3 un défibrillateur automatique implantable est indiqué chez les patients à haut risque de mort subite (> 6 % à 5 ans) ; il est discuté si ce risque* est compris entre 4 et 6.
Ce sujet a en outre une cardiomyopathie hypertrophique. Touchant 1 personne sur 500 en population générale, voire 1 sur 200 (car maladie sous-diagnostiquée et de pénétrance incomplète). Elle est due à une mutation sur un des gènes codant pour une des protéines du sarcomère cardiaque ; plus de 400 mutations sont décrites.
C’est la 1re cause de mort subite au cours de l’effort.2 La gêne fonctionnelle est faible (palpitations chez ce patient) ou variable : dyspnée modérée, angor d’effort, syncopes…
Le diagnostic repose sur l’échographie ou l’IRM : hypertrophie asymétrique à prédominance septale sans dilation du VG, après avoir exclu les autres causes (cardiopathie hypertensive, maladie de surcharge, non compaction ventriculaire, valvulopathie aortique, cœur d’athlète). Une enquête familiale est souhaitable (dépistage des apparentés au 1er degré).
L’éducation thérapeutique est cruciale : pour éviter les tachycardies, interdire les compétitions sportives, conserver une précharge suffisante en favorisant une bonne hydratation, proscrire la consommation excessive d’alcool, etc.
Bêtabloquants et inhibiteurs calciques peuvent être prescrits si la maladie est symptomatique.
Selon les recommandations européennes,3 un défibrillateur automatique implantable est indiqué chez les patients à haut risque de mort subite (> 6 % à 5 ans) ; il est discuté si ce risque* est compris entre 4 et 6.
Références
1. Corrado D, Pelliccia A, Heidbuchel H, et al. Recommendations for interpretation of 12-lead electrocardiogram in the athlete. Eur Heart J 2010;31:243‑59.
2. Young L, Smedira NG, Tower-Rader A, Lever H, Desai MY. Hypertrophic cardiomyopathy: A complex disease. Cleve Clin J Med 2018;85:399‑411.
3. Task Force members, Elliott PM, Anastasakis A, et al. ESC Guidelines on diagnosis and management of hypertrophic cardiomyopathy: the Task Force for the Diagnosis and Management of Hypertrophic Cardiomyopathy of the European Society of Cardiology (ESC). Eur Heart J 2014;35:2733-79.
2. Young L, Smedira NG, Tower-Rader A, Lever H, Desai MY. Hypertrophic cardiomyopathy: A complex disease. Cleve Clin J Med 2018;85:399‑411.
3. Task Force members, Elliott PM, Anastasakis A, et al. ESC Guidelines on diagnosis and management of hypertrophic cardiomyopathy: the Task Force for the Diagnosis and Management of Hypertrophic Cardiomyopathy of the European Society of Cardiology (ESC). Eur Heart J 2014;35:2733-79.
Une question, un commentaire ?