Neuropathie optique d’évolution progressive, le glaucome se traduit par une excavation pathologique de la papille optique et une altération du champ visuel pouvant aboutir, à un stade tardif, à la cécité. Classiquement, on parle de glaucome à angle ouvert (GAO) lorsque l’angle formé par l’iris et la cornée est large, l’humeur aqueuse s’écoulant facilement via le trabéculum. Dans le glaucome à angle fermé, le mécanisme en cause est le blocage pupillaire (fig. 1).
Le contact étroit entre la face postérieure de l’iris et la face antérieure du cristallin induit un gradient de pression entre la chambre antérieure et la chambre postérieure de l’œil. La racine de l’iris repoussée vers l’avant ferme partiellement ou complètement l’angle iridocornéen, empêchant l’évacuation de l’humeur aqueuse. La pression intraoculaire s’élève de façon chronique ou brutale, et peut entraîner une neuropathie optique (glaucome primitif par fermeture de l’angle).
Contrairement à une idée répandue, les formes chroniques ou progressives des glaucomes par fermeture de l’angle (GFA), peu ou pas symptomatiques, sont diagnostiquées et suivies comme les GAO. Elles sont beaucoup plus fréquentes que la crise de fermeture aiguë de l’angle (improprement appelée glaucome aigu par fermeture de l’angle ; encadré).

Épidémiologie

Deuxième cause de cécité dans le monde, le glaucome atteint 80 à 110 mi­llions de personnes (1,2 à 1,5 M en France) dont environ 5 à 8 millions d’aveugles.1-3 Mondialement, le GFA affecte 15 à 20 millions de personnes, dont 4 à 5 millions ont une cécité bilatérale, alors que pour le GAO, les chiffres sont respectivement 50-80 millions et 3-4 millions. En Europe et aux États-Unis, les GAO sont plus fréquents – 80 à 90 % des cas – que les GFA : 10 à 20 %. En Asie, ces derniers représentent 70 à 80 % des cas de glaucome.
Facteurs de risque : sexe féminin, âge élevé, origine ethnique (asiatique), antécédents familiaux et caractéristiques anatomiques (hypermétropie, faible longueur de l’œil, cristallin épais et volumineux, iris épais).4

Diagnostic

Le GFA est généralement asymptomatique et d’évolution insidieuse ; seul l’examen ophtalmologique l’identifie et évalue sa sévérité.5, 6 Principaux moyens diagnostiques :
– mesure de la pression intraoculaire au tonomètre, pathologique si supérieure à 21 mmHg ;
– gonioscopie (fig. 2 et 3), examen indolore qu’on réalise en posant une lentille sur l’œil après anesthésie par instillation de collyre. Il montre l’angle entre l’iris et la cornée et détermine le type de glaucome ;
– analyse de la papille au FO : excavation traduisant une diminution de la quantité de fibres optiques, hémorragie péripapillaire… Une tomographie par cohérence optique (OCT) scanne la tête du nerf optique et les fibres optiques, et estime plus précisément l’importance de leur dégradation ;
– le relevé du champ visuel, ou périmétrie, établit pour chaque œil une carte du champ de vision et quantifie pour chaque point vu la sensibilité rétinienne. Il est fondamental pour le suivi du glaucome, témoignant de sa vitesse de progression.

Prise en charge

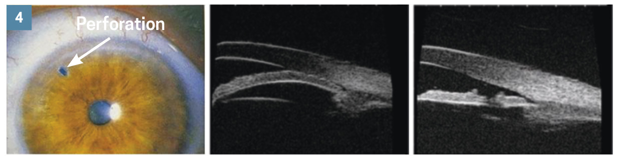
En première intention : lever le blocage pupillaire afin de rouvrir l’angle irido- cornéen, par iridotomie laser (perfo­ration de l’iris au laser : sujet jeune, cristallin transparent ; fig. 4) ou en enlevant le cristallin opacifié par chirurgie de la cataracte chez le sujet âgé (fig. 5). Lorsque la baisse pressionnelle n’est pas suffisante pour empêcher l’évolution de la neuropathie glaucomateuse, la prise en charge complémentaire est très similaire à celle d’un glaucome à angle ouvert : collyres hypotonisants, en monothérapie d’abord puis en combinaison si besoin, et enfin chirurgies filtrantes si le traitement médical n’est pas suffisant.5, 6
Les quatre classes de collyresles plus utilisées sont, par ordre décroissant d’efficacité :
– les analogues de prostaglandines (latanoprost, Xalatan, Monoprost ; travo­prost, Travatan ; bimatoprost, Lumigan) ;
– les bêtabloquants (timolol ; cartéolol, Cartéol…) ;
– les alpha-agonistes (brimonidine, Alphagan) ;
– les inhibiteurs de l’anhydrase carbonique (dorzolamide ; brinzolamide, Azopt).
On peut, en fonction de la sévérité et de la progression du glaucome, les utiliser en mono-, bi- ou trithérapie. Si la maladie n’est pas stabilisée, on envisage un traitement chirurgical.
Chirurgie filtrante et de drainage : on crée une petite fistule au travers de la sclère, afin que l’humeur aqueuse puisse s’écouler de l’intérieur de l’œil jusqu’à sous la conjonctive (fig. 6). Elle s’élimine ensuite au travers de la conjonctive ou dans des veines. Étant donné les risques significatifs (échec, hémorragie intra­oculaire, infection, aggravation des déficits du champ visuel, baisse d’acuité visuelle…), la chirurgie est réservée aux glaucomes évolués et réfractaires aux traitements médicaux et lasers.

Suivi

Deux à trois fois par an, la mesure de la pression intraoculaire et l’examen du nerf optique sont systématiques. Le relevé du champ visuel est crucial pour juger de la stabilité ou quantifier la vitesse d’évolution du glaucome. Lorsqu’il est stable, cela signifie que l’on a suffisamment abaissé la pression intraoculaire (la pression cible est atteinte). Lorsqu’il se dégrade trop rapidement avec le temps, la thérapeutique doit être renforcée. La pression cible est très variable d’un patient à un autre, et de ce fait le suivi est capital pour ajuster les thérapeutiques.

Un traitement préventif ?

Lorsqu’un examen systématique met en évidence un angle iridocornéen étroit, une iridotomie laser préventive peut parfois être réalisée, même en l’absence d’élévation de la pression intraoculaire ou de glaucome. Ce geste n’est pas systématique, et dépend de plusieurs facteurs : âge, éventuels antécédents familiaux de glaucome, ethnicité et symptômes ou signes cliniques évocateurs d’épisodes de fermeture intermittente de l’angle. Si une simple surveillance est décidée, on prévient le patient des traitements médicamenteux contre-indiqués.

Quels médicaments proscrire ?

En cas d’angle iridocornéen étroit ou fermé, ou de GFA n’ayant pas bénéficié d’une iridotomie ou d’une chirurgie filtrante, tous les mydriatiques sont contre-indiqués.
Schématiquement, tous les sympathomimétiques ou parasympatholytiques peuvent dilater la pupille. On peut citer :
– anticholinergiques (atropine et dérivés), vieux antihistaminiques H1 ;
– agonistes adrénergiques et vaso­constricteurs (épinéphrine…) ;
– nombreux antidépresseurs (tricycliques, IMAO, inhibiteurs de la recapture de la sérotonine) ;
– molécules à effet anticholinergique : neuroleptiques (phénothiazine), anti­parkinsoniens (lévodopa) et antispasmodiques (Ditropan), bronchodilatateurs (ipratropium).
En cas de doute chez un sujet à risque, il faut consulter les résumés des caractéristiques des produits. À noter : les malades sont généralement peu informés de la nature des traitements lasers ou chirurgicaux subis ; contacter l’ophtalmologiste systématiquement plutôt que de se fier à la seule parole du sujet.
Après iridotomie ou chirurgie de la cataracte, il n’y a plus de contre-indication à la dilatation pupillaire, et ces médicaments peuvent être utilisés sans restriction.
Encadre

Crise aiguë de fermeture de l’angle : rare mais grave

Survenant sur des yeux prédisposés, elle est plus fréquente chez les Asiatiques, les femmes, les sujets âgés et les hypermétropes (œil de plus petite taille que la normale).

À l’occasion d’une mydriase physiologique (obscurité, froid, stress) ou pharmacologique, l’iris se bloque contre le cristallin, empêchant le passage de l’humeur aqueuse. Son accumulation en arrière de l’iris va apposer celui-ci contre le trabéculum, empêchant définitivement son évacuation hors de l’œil. La pression intraoculaire s’élève alors rapidement, atteignant en quelques heures 50 à 80 mmHg. Ce phénomène rapide est généralement douloureux (algies oculaires ou céphalées) et accompagné de signes neurovégétatifs digestifs (nausées, vomissements, douleurs abdominales). Un œdème de cornée, est parfois visible à l’œil nu (cornée blanchâtre ou grisâtre). De même, le blocage pupillaire peut être manifeste (semi-mydriase ne réagissant pas à la lumière). Le patient rapporte une baisse d’acuité visuelle souvent profonde. À la palpation, l’œil apparaît dur par rapport à l’œil controlatéral.

Le pronostic visuel est rapidement engagé, et le traitement est une urgence absolue : hypotonisants locaux (collyres ;voir infra) et systémiques (Diamox, mannitol) pour baisser la pression intraoculaire. Des myotiques (pilocarpine 2 %) permettent de lever le blocage pupillaire. Par la suite, une iridotomie laser est réalisée, sur l’œil atteint et aussi souvent de façon préventive sur l’œil adelphe.

Encadre

Que dire à vos patients ?

Une fois le traitement étiologique réalisé (laser, chirurgie de la cataracte), il n’y a plus de contre-indications aux médicaments pouvant dilater la pupille (crainte fréquente des patients du fait des notices d’emploi de nombreux médicaments souvent utilisés : antalgiques, antiallergiques, anxiolytiques, antidépresseurs, antiparkinsoniens…).

Si le diagnostic est précoce et la prise en charge adaptée (suivi par un ophtalmologiste au moins 2 fois par an), le risque de cécité est très faible.

Les antécédents familiaux augmentent le risque de GFA : si vous êtes atteints, prévenez vos proches (fratrie, enfants) qu’ils doivent être dépistés.

Pour en savoir plus
1. Quigley HA. Number of people with glaucoma worldwide. Br J Ophthalmol 1996;80:389-93.
2. Congdon N, O’Colmain B, Klaver CC, et al. Causes and prevalence of visual impairment among adults in the United States. Arch Ophthalmol 2004;122:477-85.
3. Tham YC, Li X, Wong TY, Quigley HA, Aung T, Cheng CY. Global prevalence of glaucoma and projections of glaucoma burden through 2040: a systematic review and meta-analysis. Ophthalmology 2014;121: 2081-90.
4. Aptel F, Denis P. Optical coherence tomography quantitative analysis of iris volume changes after pharmacologic mydriasis. Ophthalmology 2010;117:3-10.
5. Renard JP, Sellem E. Glaucome primitif à angle ouvert. Rapport de la SFO 2014. Paris: Elsevier; 2014.
6. European Glaucoma Society. Guide pour les glaucomes. 4e éd. 2012. https://bit.ly/33EAJ4V
Association France Glaucome 41, avenue Édouard-Vaillant, 92100 Boulogne- Billancourt. Tél. : 01 71 16 11 95. assofrglaucome@gmail.com
www.association franceglaucome.fr
fr-fr.facebook.com/pages/AFG-Association- France-Glaucome

Dans cet article

Ce contenu est exclusivement réservé aux abonnés
essentiel

Les glaucomes par fermeture de l’angle sont beaucoup moins fréquents que les glaucomes à angle ouvert en Occident.

blocage pupillaire aboutissant à une élévation de la pression intraoculaire et éventuellement à une neuropathie glaucomateuse.

iridotomie laser (sujet jeune) ou ablation du cristallin (sujet âgé). Si insuffisant : collyres hypotonisants et enfin chirurgie filtrante.