Le cannabis est produit à partir du chanvre, plante herbacée dont la variété la plus connue est Cannabis sativa. Il contient principalement deux substances psychoactives, le ∆9-tétrahydrocannabinol (THC) et le cannabidiol (CBD), retrouvés à des concentrations élevées dans les feuilles et résines des plantes femelles. Effets recherchés par les consommateurs : euphorie, bien-être, soulagement du stress, aide à la relaxation et au sommeil.
C’est la première drogue illicite en France : 17 millions d’adultes l’ont expérimentée, soit 42 % des 18 à 64 ans (données 2014).1 Parmi eux, 5 millions sont des usagers réguliers, dont 1,4 million fument au moins 10 fois par mois et 700 000 tous les jours. Actuellement, ce sont surtout les plus jeunes qui en consomment : 28 % des 18-25 ans, soit 35 % des hommes et 21 % des femmes dans cette tranche d’âge.
Dans notre pays, il est essentiellement fumé sous forme de joints comportant plus souvent de la résine (hasch, shit, ganjah) que de l’herbe (beu, marijuana), mélangées au tabac. La concentration de THC a triplé en 10 ans, pour atteindre 23 % dans les résines contre 11 % dans l’herbe.1 Après inhalation, l’absorption est importante (20 % vs 6 % après ingestion) et le pic plasmatique de THC est rapide, dès la 7e minute (vs 45 minutes).
Liés à un très fort taux de THC, les effets aigus sont les hallucinations, les attaques de panique ou les épisodes psychotiques.2 La consommation de cette drogue entraîne une augmentation des accidents de la voie publique, surtout si elle est associée à l’alcool (x 15). Le décès lié à un surdosage (overdose) est rare et dû essentiellement à des complications cardiovasculaires, dont les mécanismes ne sont pas clairs. Aucune dose létale n’est connue.
Le risque de dépendance chez les utilisateurs à long terme concerne environ 9 % d’entre eux, ce qui est nettement inférieur à celui induit par l’héroïne, la cocaïne ou la nicotine. Selon le Cannabis Abuse Screening Test (CAST), outil de repérage des usages problématiques, 21 % des consommateurs âgés de 18-64 ans ont un risque élevé de dépendance, ce qui représente 2 % de l’ensemble de cette population.1
C’est la première drogue illicite en France : 17 millions d’adultes l’ont expérimentée, soit 42 % des 18 à 64 ans (données 2014).1 Parmi eux, 5 millions sont des usagers réguliers, dont 1,4 million fument au moins 10 fois par mois et 700 000 tous les jours. Actuellement, ce sont surtout les plus jeunes qui en consomment : 28 % des 18-25 ans, soit 35 % des hommes et 21 % des femmes dans cette tranche d’âge.
Dans notre pays, il est essentiellement fumé sous forme de joints comportant plus souvent de la résine (hasch, shit, ganjah) que de l’herbe (beu, marijuana), mélangées au tabac. La concentration de THC a triplé en 10 ans, pour atteindre 23 % dans les résines contre 11 % dans l’herbe.1 Après inhalation, l’absorption est importante (20 % vs 6 % après ingestion) et le pic plasmatique de THC est rapide, dès la 7e minute (vs 45 minutes).
Liés à un très fort taux de THC, les effets aigus sont les hallucinations, les attaques de panique ou les épisodes psychotiques.2 La consommation de cette drogue entraîne une augmentation des accidents de la voie publique, surtout si elle est associée à l’alcool (x 15). Le décès lié à un surdosage (overdose) est rare et dû essentiellement à des complications cardiovasculaires, dont les mécanismes ne sont pas clairs. Aucune dose létale n’est connue.
Le risque de dépendance chez les utilisateurs à long terme concerne environ 9 % d’entre eux, ce qui est nettement inférieur à celui induit par l’héroïne, la cocaïne ou la nicotine. Selon le Cannabis Abuse Screening Test (CAST), outil de repérage des usages problématiques, 21 % des consommateurs âgés de 18-64 ans ont un risque élevé de dépendance, ce qui représente 2 % de l’ensemble de cette population.1
Effets sur la fonction respiratoire
Contrairement aux effets nocifs bien décrits de la fumée de tabac sur le poumon, ceux liés au cannabis restent controversés. Le principal biais est la consommation conjointe de ces deux substances. Parmi les études publiées, peu stratifient le risque en fonction de la quantité du tabac (paquet-année) et du cannabis (joint-année ou JA). Un JA correspond à la fumée cumulée de 1 joint par jour pendant 1 an. Cependant, cette mesure est peu standardisable (taille et quantités d’herbe ou résine et tabac variables). De plus, par rapport aux cigarettes, les bouffées inhalées sont plus importantes et prolongées.
La fumée issue de la combustion d’un joint a une composition proche de celle de la cigarette. Ainsi, elle contient, en plus des substances psychoactives THC et CBD, du monoxyde de carbone, de l’ammonium, du formaldéhyde, des phénols, des nitrosamines, des benzopyrènes à un taux supérieur, pour certaines, à celui retrouvé dans la fumée de cigarette. Un grand nombre de ces produits sont des cancérigènes connus altérant l’épithélium respiratoire.
Comme la fumée de cigarette, elle induit une inflammation des voies respiratoires. Dans les modèles murins, elle provoque un emphysème sévère indépendamment de l’activation des récepteurs au cannabis CB1. Elle favoriserait l’hyperplasie des cellules basales et des cellules caliciformes, l’inflammation et la métaplasie malpighienne. Les biopsies bronchiques montrent des modifications histologiques plus fréquentes chez les fumeurs conjoints de tabac-cannabis.
Le cannabis fumé a également un effet bronchodilatateur rapide, comme les bêta-2 mimétiques. Néanmoins, chez les usagers réguliers, davantage de symptômes de bronchite chronique, toux, expectoration ou dyspnée sont rapportés. Les effets sur la fonction respiratoire sont discordants : aucun impact sur la DLCO (capacité de diffusion du CO, reflet du fonctionnement de la membrane alvéolocapillaire), résultats contradictoires sur le VEMS.
Dans une grande étude transversale, aucun impact sur les débits (VEMS, VEMS/CV) n’a été montré.3 Cependant, à plus de 20 JA, le risque de diminution du rapport VEMS/CV est multiplié par 2. En Nouvelle-Zélande, pays où cette drogue est fumée habituellement sous forme d’herbe sans tabac, aucun effet sur la fonction respiratoire n’est noté. Néanmoins, cette cohorte compte peu de gros consommateurs.
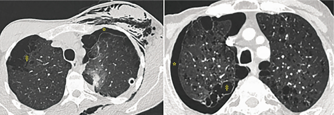
Parmi les patients d’une série française4 souffrant de pneumothorax spontané (n = 83), 85 % étaient fumeurs de tabac (n = 70) dont la moitié consommateurs de cannabis (n = 32), avec en moyenne un usage important de 30 JA (IC 25-75 : 10 à 31). Les scanners thoraciques ont montré un emphysème chez de nombreux sujets (50 % des consommateurs de tabac seul, 71 % des fumeurs tabac-cannabis). Dans ce dernier groupe, les malades étaient plus jeunes (35 ans vs 46 ans, p = 0,009) et consommaient moins de tabac en paquet-années (p = 0,02 ;figure ). Ainsi, fumer du cannabis, ajouté au tabac, majore le risque d’emphysème.
La fumée issue de la combustion d’un joint a une composition proche de celle de la cigarette. Ainsi, elle contient, en plus des substances psychoactives THC et CBD, du monoxyde de carbone, de l’ammonium, du formaldéhyde, des phénols, des nitrosamines, des benzopyrènes à un taux supérieur, pour certaines, à celui retrouvé dans la fumée de cigarette. Un grand nombre de ces produits sont des cancérigènes connus altérant l’épithélium respiratoire.
Comme la fumée de cigarette, elle induit une inflammation des voies respiratoires. Dans les modèles murins, elle provoque un emphysème sévère indépendamment de l’activation des récepteurs au cannabis CB1. Elle favoriserait l’hyperplasie des cellules basales et des cellules caliciformes, l’inflammation et la métaplasie malpighienne. Les biopsies bronchiques montrent des modifications histologiques plus fréquentes chez les fumeurs conjoints de tabac-cannabis.
Le cannabis fumé a également un effet bronchodilatateur rapide, comme les bêta-2 mimétiques. Néanmoins, chez les usagers réguliers, davantage de symptômes de bronchite chronique, toux, expectoration ou dyspnée sont rapportés. Les effets sur la fonction respiratoire sont discordants : aucun impact sur la DLCO (capacité de diffusion du CO, reflet du fonctionnement de la membrane alvéolocapillaire), résultats contradictoires sur le VEMS.
Dans une grande étude transversale, aucun impact sur les débits (VEMS, VEMS/CV) n’a été montré.3 Cependant, à plus de 20 JA, le risque de diminution du rapport VEMS/CV est multiplié par 2. En Nouvelle-Zélande, pays où cette drogue est fumée habituellement sous forme d’herbe sans tabac, aucun effet sur la fonction respiratoire n’est noté. Néanmoins, cette cohorte compte peu de gros consommateurs.
Parmi les patients d’une série française4 souffrant de pneumothorax spontané (n = 83), 85 % étaient fumeurs de tabac (n = 70) dont la moitié consommateurs de cannabis (n = 32), avec en moyenne un usage important de 30 JA (IC 25-75 : 10 à 31). Les scanners thoraciques ont montré un emphysème chez de nombreux sujets (50 % des consommateurs de tabac seul, 71 % des fumeurs tabac-cannabis). Dans ce dernier groupe, les malades étaient plus jeunes (35 ans vs 46 ans, p = 0,009) et consommaient moins de tabac en paquet-années (p = 0,02 ;
Cancer du poumon ?
Dans l’analyse de 6 études cas-témoins, sur un total de 2 159 cancers et 2 985 contrôles, le risque relatif de cancer n’est pas augmenté chez les consommateurs réguliers de cannabis.5 Après ajustement du risque lié au tabac, il était de 0,96 par rapport à un non-fumeur (IC : 0,66-1,38). Néanmoins, pour les adénocarcinomes, il était évalué à 1,74 (IC : 0,85-3,55) chez les consommateurs d’au moins 10 JA (différence toutefois statistiquement non significative). La principale limite de cette étude est le faible nombre d’usagers importants de cannabis.à ce jour, si le lien entre cannabis fumé et cancer du poumon n’est pas prouvé, il est toutefois probable en raison de la présence de carcinogènes dans la fumée, d’un effet pro-inflammatoire et d’un surisque d’emphysème.
Risque infectieux
Plusieurs cas d’infection à Aspergillus fumigatus ont été rapportés chez les fumeurs de cette drogue, qui est souvent contaminée par des champignons. Dans un cas fatal d’aspergillose disséminée, la même souche a été retrouvée au niveau du poumon et dans la plante dont le cannabis était issu.
Pour en savoir plus
1. OFDT. Cannabis : usages actuels en population adulte. Tendances n° 119, juin 2017. https://bit.ly/2HIYEsB
2. Volkow ND, Baler RD, Compton WM, Weiss SRB. Adverse health effects of marijuana use. N Engl J Med 2014;370:2219‑27.
3. Kempker JA, Honig EG, Martin GS. The effects of marijuana exposure on expiratory airflow. A study of adults who participated in the U.S. National Health and Nutrition Examination Study. Ann Am Thorac Soc 2015;12:135‑41.
4. Ruppert AM, Perrin J, Khalil A, et al. Effect of cannabis and tobacco on emphysema in patients with spontaneous pneumothorax. Diagn Interv Imaging 2018;99:465-71.
5. Zhang LR, Morgenstern H, Greenland S, et al.; Cannabis and Respiratory Disease Research Group of New Zealand, Cannabis smoking and lung cancer risk: Pooled analysis in the International Lung Cancer Consortium. Int J Cancer 2015;136:894‑903.
Coscas S, Benyamina A, Reynaud M, Karila L. Complications psychiatriques de la consommation de cannabis. Rev Prat 2013;63:1426-8.
Cottencin O, Bence C, Rolland B, Karila L. Conséquences somatiques de la consommation de cannabis. Rev Prat 2013;63:1430-2.
Coscas S, Karila L. Cannabis et grossesse. Rev Prat 2013;63:1433.
Lafaye G, Karila L. Comment repérer chez les jeunes adolescents la consommation de cannabis ? Que faire ? Rev Prat 2013;63:1434-7.
Laqueille X, Dervaux A. Pistes thérapeutiques dans la prise en charge de l’addiction au cannabis. Rev Prat 2013;63:1438-40.
Dervaux A. Consommation de cannabis et comorbidités psychiatriques. Rev Prat 2018;68:670-4.
– Goullé JP, Guerbet M. Cannabis et sécurité routière. Rev Prat 2014;64:1044-6.
Benyamina A, Reynaud M. Usage thérapeutique des dérivés du cannabis. Rev Prat 2014;64:165-8
Benyamina A, Blecha L. Cannabis : quel rationnel pour dépénaliser ? Rev Prat Med Gen 2017;31:641-2.
Loschi S, De Suremain N. Intoxication accidentelle au cannabis chez l’enfant Rev Prat Med Gen 2018;32:642-3.
Krebs MO, Jay TM. Maturation cérébrale à l’adolescence et consommation de cannabis. Rev Prat 2018; 68:675.
Nau JY. Affaire du joint électronique : fumeuse ? Rev Prat Med Gen 2017;31:881.
2. Volkow ND, Baler RD, Compton WM, Weiss SRB. Adverse health effects of marijuana use. N Engl J Med 2014;370:2219‑27.
3. Kempker JA, Honig EG, Martin GS. The effects of marijuana exposure on expiratory airflow. A study of adults who participated in the U.S. National Health and Nutrition Examination Study. Ann Am Thorac Soc 2015;12:135‑41.
4. Ruppert AM, Perrin J, Khalil A, et al. Effect of cannabis and tobacco on emphysema in patients with spontaneous pneumothorax. Diagn Interv Imaging 2018;99:465-71.
5. Zhang LR, Morgenstern H, Greenland S, et al.; Cannabis and Respiratory Disease Research Group of New Zealand, Cannabis smoking and lung cancer risk: Pooled analysis in the International Lung Cancer Consortium. Int J Cancer 2015;136:894‑903.
Coscas S, Benyamina A, Reynaud M, Karila L. Complications psychiatriques de la consommation de cannabis. Rev Prat 2013;63:1426-8.
Cottencin O, Bence C, Rolland B, Karila L. Conséquences somatiques de la consommation de cannabis. Rev Prat 2013;63:1430-2.
Coscas S, Karila L. Cannabis et grossesse. Rev Prat 2013;63:1433.
Lafaye G, Karila L. Comment repérer chez les jeunes adolescents la consommation de cannabis ? Que faire ? Rev Prat 2013;63:1434-7.
Laqueille X, Dervaux A. Pistes thérapeutiques dans la prise en charge de l’addiction au cannabis. Rev Prat 2013;63:1438-40.
Dervaux A. Consommation de cannabis et comorbidités psychiatriques. Rev Prat 2018;68:670-4.
– Goullé JP, Guerbet M. Cannabis et sécurité routière. Rev Prat 2014;64:1044-6.
Benyamina A, Reynaud M. Usage thérapeutique des dérivés du cannabis. Rev Prat 2014;64:165-8
Benyamina A, Blecha L. Cannabis : quel rationnel pour dépénaliser ? Rev Prat Med Gen 2017;31:641-2.
Loschi S, De Suremain N. Intoxication accidentelle au cannabis chez l’enfant Rev Prat Med Gen 2018;32:642-3.
Krebs MO, Jay TM. Maturation cérébrale à l’adolescence et consommation de cannabis. Rev Prat 2018; 68:675.
Nau JY. Affaire du joint électronique : fumeuse ? Rev Prat Med Gen 2017;31:881.