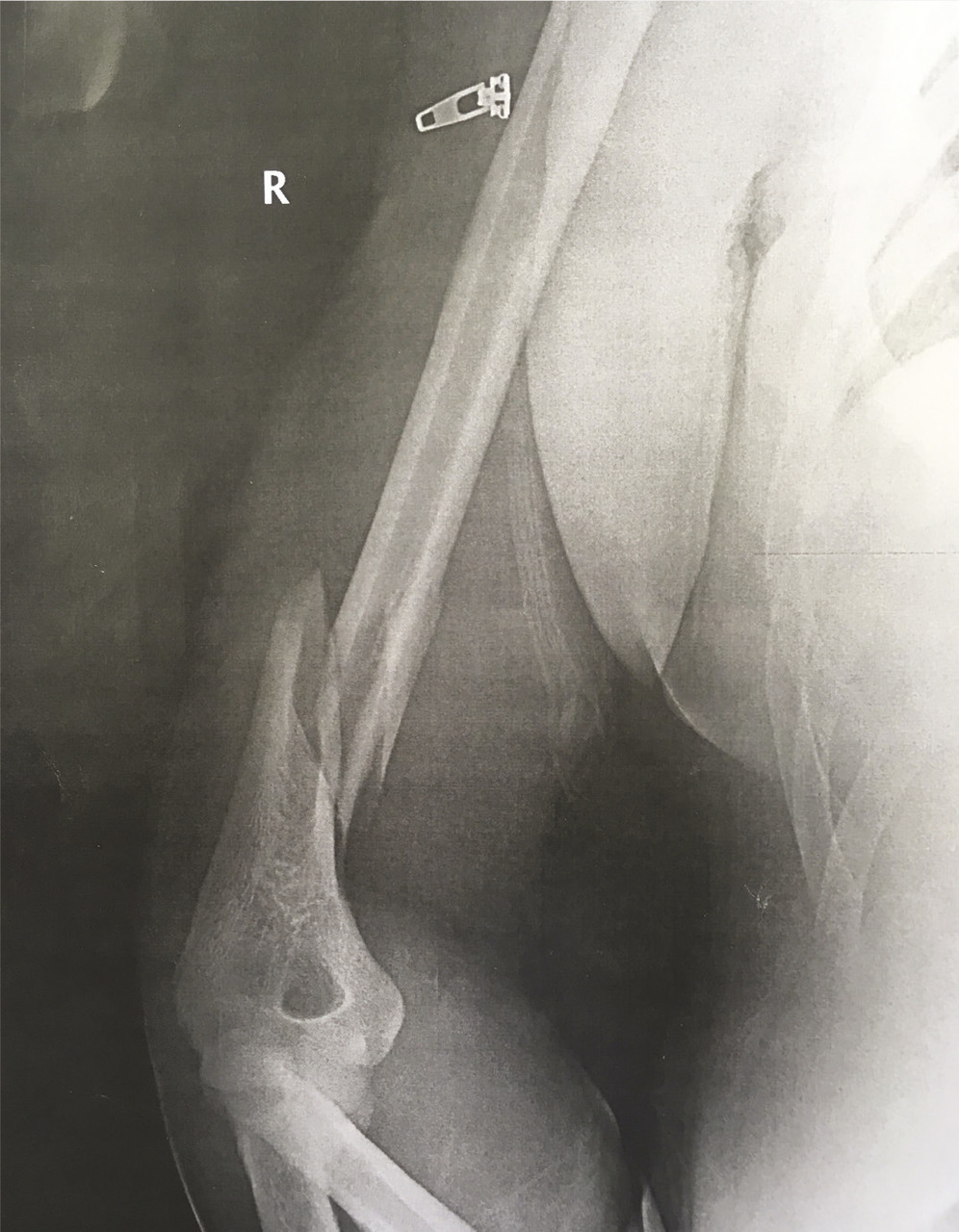
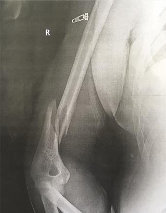
Ce jeune marin consultait pour une douleur aiguë de type décharge électrique dans le bras droit survenue alors qu’il faisait un « bras de fer » avec un de ses camarades. Cet homme, sportif, pratiquait la musculation et n’avait pas d’antécédent connu. L’examen ne notait pas d’atteinte vasculo-nerveuse. La radiographie ( v. figure) montrait une fracture du tiers inférieur de l’humérus. L’image n’était pas évocatrice d’un os pathologique et le bilan phosphocalcique était sans particularité. Après une prise en charge chirurgicale puis une rééducation fonctionnelle, la récupération de la force et des amplitudes articulaires était complète.
La fracture du tiers inférieur de l’humérus est un accident typique des parties de « bras de fer ». Bien que rare,1 ce mé- canisme lésionnel a déjà été rapporté.2 La fracture, de type spiroïde, est secondaire aux contraintes mécaniques en torsion imposées à la diaphyse humérale. L’épaule fait un mouvement de rotation interne tandis que le coude est fixé en flexion avec un mouvement de rotation externe appliqué par l’adversaire. La résultante des forces peut entraîner une fracture, même sur un os sain. L’originalité de cette fracture ne réside pas dans sa nature, mais dans son mécanisme lésionnel. Les muscles gagnent donc la bataille contre l’os, tel le roseau contre le chêne.
Références
1. Mayfield CK, Egol KA. Humeral fractures sustained during arm wrestling: a retrospective cohort analysis and review of the literature. Orthopedics 2018;41:e207-e210.
2. Benhima MA, Younsi A, Abkari I, Najeb Y, Fikry Y. Fracture de l’humérus au cours d’une partie de bras de fer, un mécanisme peu commun pour une fracture commune. Science Sport 2014;29:138-42.
2. Benhima MA, Younsi A, Abkari I, Najeb Y, Fikry Y. Fracture de l’humérus au cours d’une partie de bras de fer, un mécanisme peu commun pour une fracture commune. Science Sport 2014;29:138-42.
Une question, un commentaire ?