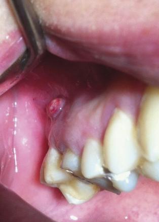
Louis, 20 ans, sans antécédent, se présente à sa visite médicale périodique. On découvre une protubérance gingivale inquiétante (photo 1 ) au niveau de la table osseuse externe de la dent n° 16. Fluctuante et régulière, elle ne saigne pas au contact.
Un panoramique dentaire récent ne montre pas d’image claire au niveau de la racine de la dent n° 16 (photo 2 ) mais un petit débord de pâte d’obturation canalaire. Un cliché rétro-alvéolaire ciblé sur les dents n° 16 et 17 est réalisé. Il pose le diagnostic de fistule vestibulaire bourgeonnante due à une lésion périradiculaire vestibulaire de la dent n° 16, après traitement endodontique.
Un panoramique dentaire récent ne montre pas d’image claire au niveau de la racine de la dent n° 16 (
Les foyers infectieux d’origine dentaire sont secondaires à une pathologie dentaire pure ou à une pathologie du tissu de soutien (parodonte). Le plus souvent, la cause est une nécrose de la pulpe dentaire secondaire à une carie ou à un traumatisme. En l’absence de traitement, le risque d’un abcès dentaire est l’extension de l’infection par contiguïté aux dents adjacentes, la diffusion dans les tissus mous (cellulite faciale d’origine dentaire) ou la fistulisation (comme ici, par exemple, au niveau de la table osseuse externe vestibulaire).
La fistulisation survient au stade chronique de l’infection après des mois, voire des années, d’évolution. Elle peut se faire au niveau de la muqueuse (95 % des cas) ou de la peau. Le patient néglige le plus souvent la lésion, qui apparaît à distance de l’épisode aigu et est asymptomatique. Après avulsion de la dent en cause et curetage soigneux de la lésion infectieuse, le patient a bénéficié d’un traitement par bains de bouche et antibiotique (amoxicilline-acide clavulanique 1 g 3 fois par jour pendant 7 jours). L’évolution a été favorable. L’examen post-avulsionnel de la dent n° 16 (photo 3 ) a montré qu’une perforation instrumentale, lors d’un traitement radiculaire de la racine disto-vestibulaire, était à l’origine du foyer infectieux.
La fistulisation survient au stade chronique de l’infection après des mois, voire des années, d’évolution. Elle peut se faire au niveau de la muqueuse (95 % des cas) ou de la peau. Le patient néglige le plus souvent la lésion, qui apparaît à distance de l’épisode aigu et est asymptomatique. Après avulsion de la dent en cause et curetage soigneux de la lésion infectieuse, le patient a bénéficié d’un traitement par bains de bouche et antibiotique (amoxicilline-acide clavulanique 1 g 3 fois par jour pendant 7 jours). L’évolution a été favorable. L’examen post-avulsionnel de la dent n° 16 (
Pour en savoir plus
Peron JM, Mangez JF. Cellulites et fistules d’origine dentaire. EMC Chirurgie orale et maxillo-faciale, Elsevier, 2002.
Une question, un commentaire ?