Une patiente âgée de 70 ans, issue du milieu rural, est suivie pour une périartérite noueuse (PAN) révélée par une lourdeur et des paresthésies des quatre membres, des polyarthralgies inflammatoires et des ulcérations étagées des membres inférieurs évoluant dans un contexte d’amaigrissement. L’examen clinique objective un score 4 selon l’indice de performance de l’Organisation mondiale de la santé (OMS), des polyarthrites des grosses articulations intéressant les genoux et l’épaule droite. Les réflexes ostéotendineux sont présents. L’examen dermatologique individualise des ulcérations creusantes à fond fibrino-hémorragique de disposition étagée et symétrique des deux membres inférieurs (fig. 1 ). Les investigations complémentaires étayent le diagnostic de PAN : syndrome inflammatoire biologique, anémie inflammatoire à 8 g/dL, vitesse de sédimentation à 32 mm, tracé myogène et neurogène à l’électroneuromyogramme et infiltrat cellulaire neutrophilique à la biopsie des ulcérations. Un traitement combinant une corticothérapie systémique et du cyclophosphamide en bolus est préconisé.
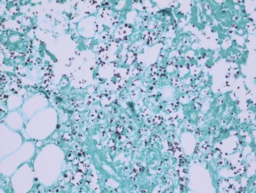
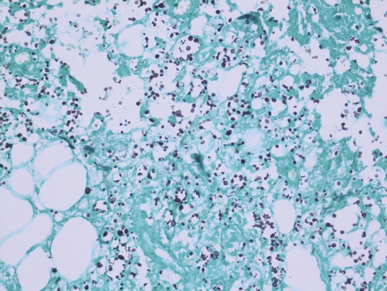
Après quelques jours de traitement immunosuppresseur, une douleur intense et insomniante s’installe, avec érythème et tuméfaction du membre supérieur gauche. Les examens complémentaires retrouvent une protéine C-réactive (CRP) à 300 mg/L, des hémocultures stériles, une échographie Doppler artérioveineuse sans thrombose. Le diagnostic d’une dermohypodermite bactérienne non nécrosante est évoqué dans un premier temps. La patiente est alors traitée par antibiothérapie (amoxicilline et acide clavulanique). L’évolution est défavorable, avec apparition de lésions nécrotico-hémorragiques rapidement extensives (fig. 2 ). Une imagerie par résonance magnétique (IRM) [fig. 3 ] montre une infiltration des parties molles sous-cutanées, des loges musculaires associées à des bulles d’air, en faveur d’une fasciite nécrosante. Une exploration chirurgicale permet de réaliser des biopsies profondes au niveau du fascia et du muscle. Le résultat histologique, après coloration de Grocott, montre une cryptococcose avec multiples foyers de nécrose de liquéfaction (fig. 4 ). Le diagnostic de fasciite nécrosante cryptococcique est finalement retenu. La recherche de l’antigène sérique cryptococique est positive (1 : 2 000, test d’agglutination au latex). La sérologie VIH (virus de l’immunodéficience humaine) est négative. À défaut d’amphotéricine B, du fluconazole à la dose de 400 mg/j est administré. L’évolution a été défavorable, avec décès à la suite d’un choc septique.
Après quelques jours de traitement immunosuppresseur, une douleur intense et insomniante s’installe, avec érythème et tuméfaction du membre supérieur gauche. Les examens complémentaires retrouvent une protéine C-réactive (CRP) à 300 mg/L, des hémocultures stériles, une échographie Doppler artérioveineuse sans thrombose. Le diagnostic d’une dermohypodermite bactérienne non nécrosante est évoqué dans un premier temps. La patiente est alors traitée par antibiothérapie (amoxicilline et acide clavulanique). L’évolution est défavorable, avec apparition de lésions nécrotico-hémorragiques rapidement extensives (
Cryptococcus neoformans est une levure bourgeonnante pathogène et encapsulée. L’exposition humaine se fait souvent par l’inhalation de formes de levures dans des milieux environnementaux spécifiques (par exemple, sol enrichi par des fientes d’oiseaux, creux d’arbres). Il en résulte généralement une infection subclinique. En cas d’immunodépression, avec altération de l’immunité à médiation cellulaire à lymphocyte T CD4, la cryptococcose peut être une cause importante de morbidité et de mortalité.1 La corticothérapie au long cours est considérée comme le principal facteur favorisant des infections opportunistes chez le patient VIH-négatif (28 % des cas).2 Les voies d’inoculation de Cryptococcus se situent généralement dans les voies respiratoires, le tractus gastro-intestinal, les tissus transplantés ou, par la réactivation de levures en quiescence, dans les systèmes réticulo-endothéliaux ou lymphoïdes.
La cryptococcose cutanée est la troisième localisation la plus fréquente (après le système nerveux central et les poumons) mais reste néanmoins peu habituelle. Elle peut revêtir différentes formes cliniques : lésions nodulaires ou pseudotumorales, papuleuses, vésiculeuses, cellulite-like, vésicules herpétiformes, lésions acnéiformes, rhinophyma-like, lésions eczématiformes, pyoderma gangronosum-like, etc.3 La fasciite nécrosante fongique appartient à ce spectre. Elle est extrêmement rare, seulement 14 cas ont été cités dans la littérature.4,5 Cliniquement, la fasciite nécrosante cryptococcique est semblable à la fasciite d’origine bactérienne. Cependant, la bilatéralité6 et la survenue au niveau des membres inférieurs7 sont plus fréquentes.
La nature insidieuse et les manifestations atypiques de ce type d’infection retardent souvent le diagnostic et le traitement. Chez les patients immunodéprimés, une fièvre persistante qui ne répond pas à un traitement antibactérien doit alerter sur la possibilité d’une origine fongique. Chez cette patiente, la prise prolongée de corticostéroïdes et la thérapie immunosuppressive administrée pour la maladie initiale sont les principaux facteurs ayant favorisé le développement de la fasciite nécrosante cryptococcique.
La recommandation actuelle pour le traitement antifongique de Cryptococcus neoformans est l’amphotéricine B associée à la flucytosine chez les patients non VIH et non transplantés.
La cryptococcose cutanée est la troisième localisation la plus fréquente (après le système nerveux central et les poumons) mais reste néanmoins peu habituelle. Elle peut revêtir différentes formes cliniques : lésions nodulaires ou pseudotumorales, papuleuses, vésiculeuses, cellulite-like, vésicules herpétiformes, lésions acnéiformes, rhinophyma-like, lésions eczématiformes, pyoderma gangronosum-like, etc.3 La fasciite nécrosante fongique appartient à ce spectre. Elle est extrêmement rare, seulement 14 cas ont été cités dans la littérature.4,5 Cliniquement, la fasciite nécrosante cryptococcique est semblable à la fasciite d’origine bactérienne. Cependant, la bilatéralité6 et la survenue au niveau des membres inférieurs7 sont plus fréquentes.
La nature insidieuse et les manifestations atypiques de ce type d’infection retardent souvent le diagnostic et le traitement. Chez les patients immunodéprimés, une fièvre persistante qui ne répond pas à un traitement antibactérien doit alerter sur la possibilité d’une origine fongique. Chez cette patiente, la prise prolongée de corticostéroïdes et la thérapie immunosuppressive administrée pour la maladie initiale sont les principaux facteurs ayant favorisé le développement de la fasciite nécrosante cryptococcique.
La recommandation actuelle pour le traitement antifongique de Cryptococcus neoformans est l’amphotéricine B associée à la flucytosine chez les patients non VIH et non transplantés.
Références
1. Başaran O, Emiroğlu R, Arikan U, Karakayali H, Haberal M. Cryptococcal necrotizing fasciitis with multiple sites of involvement in the lower extremities. Dermatol Surg Off Publ Am Soc Dermatol Surg Al 2003;29(11):1158‑60.
2. Pappas PG, Perfect JR, Cloud GA, Larsen RA, Pankey GA, Lancaster DJ, et al. Cryptococcosis in human immunodeficiency virus-negative patients in the era of effective azole therapy. Clin Infect Dis Off Publ Infect Dis Soc Am 2001;33(5):690‑9.
3. Akram SM, Koirala J. Cutaneous Cryptococcus. StatPearls. Treasure Island (FL): StatPearls Publishing; 2022.
4. Kimura M, Kadota E, Satou T, Yoneda E, Furuta T. Case report. Cryptococcal cellulitis showing necrotizing vasculitis. Mycoses 2001;44(3‑4):115‑8.
5. Goh T, Goh LG, Ang CH, Wong CH. Early diagnosis of necrotizing fasciitis. Br J Surg 2014;101(1):e119-125.
6. Kuwahara M, Yurugi S, Ando J, Takeuchi M, Miyata R, Harada M, et al. A case of cryptococcal necrotizing fasciitis and immune reconstitution inflammatory syndrome in a renal transplantation recipient. Int J Surg Case Rep 2021;85:106199.
7. Noguchi H, Matsumoto T, Kimura U, Hiruma M, Kusuhara M, Ihn H. Cutaneous cryptococcosis. Med Mycol J 2019;60(4):101‑7.
2. Pappas PG, Perfect JR, Cloud GA, Larsen RA, Pankey GA, Lancaster DJ, et al. Cryptococcosis in human immunodeficiency virus-negative patients in the era of effective azole therapy. Clin Infect Dis Off Publ Infect Dis Soc Am 2001;33(5):690‑9.
3. Akram SM, Koirala J. Cutaneous Cryptococcus. StatPearls. Treasure Island (FL): StatPearls Publishing; 2022.
4. Kimura M, Kadota E, Satou T, Yoneda E, Furuta T. Case report. Cryptococcal cellulitis showing necrotizing vasculitis. Mycoses 2001;44(3‑4):115‑8.
5. Goh T, Goh LG, Ang CH, Wong CH. Early diagnosis of necrotizing fasciitis. Br J Surg 2014;101(1):e119-125.
6. Kuwahara M, Yurugi S, Ando J, Takeuchi M, Miyata R, Harada M, et al. A case of cryptococcal necrotizing fasciitis and immune reconstitution inflammatory syndrome in a renal transplantation recipient. Int J Surg Case Rep 2021;85:106199.
7. Noguchi H, Matsumoto T, Kimura U, Hiruma M, Kusuhara M, Ihn H. Cutaneous cryptococcosis. Med Mycol J 2019;60(4):101‑7.
Une question, un commentaire ?