Cet enfant de 8 ans, sans antécédent pathologique notable, était admis pour la prise en charge d’un polytraumatisme après avoir été heurté par une voiture. À son admission, il était instable sur le plan hémodynamique avec une pression artérielle à 100/50 mmHg.
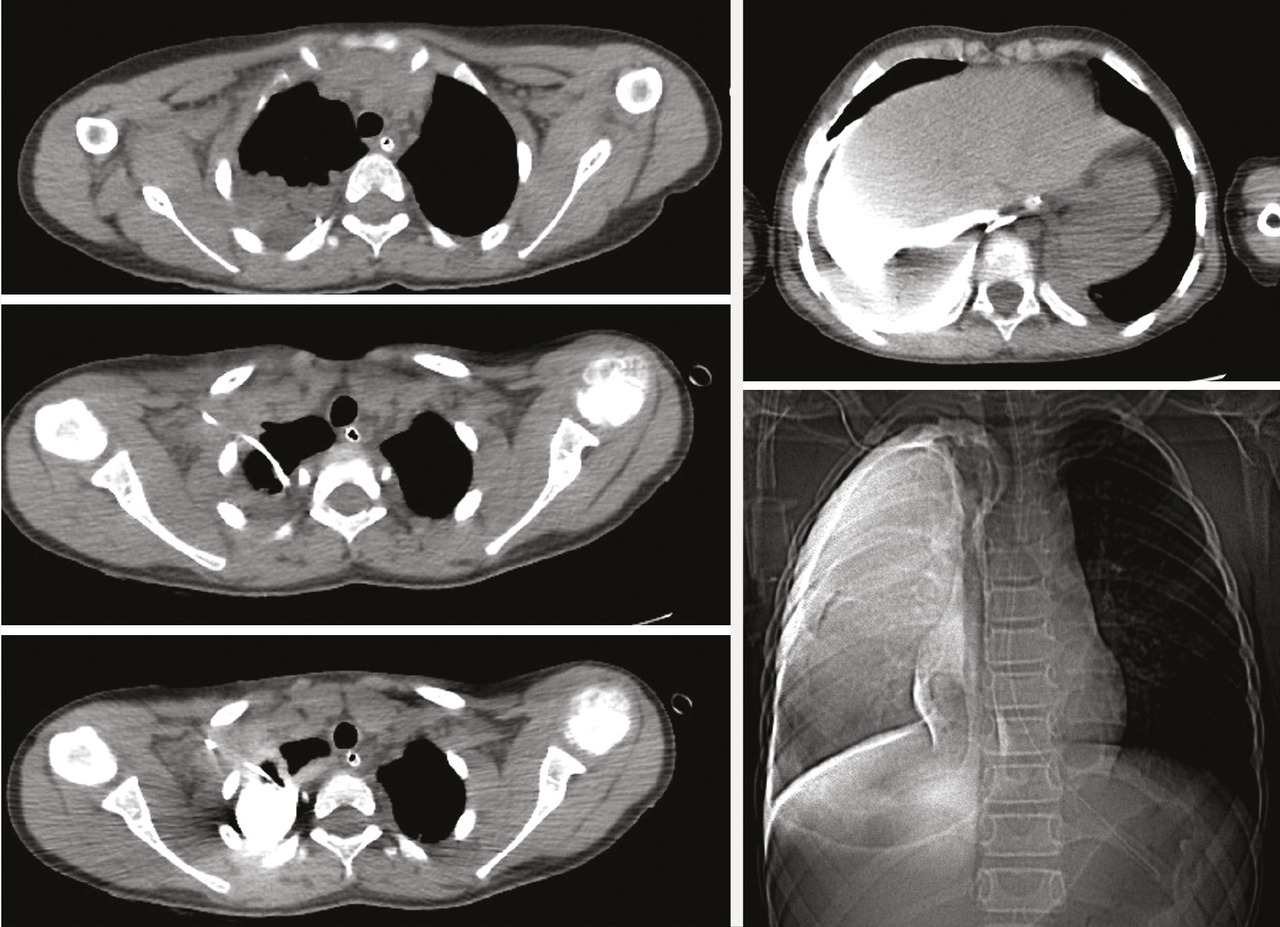
La tomodensitométrie montrait un épanchement pleural droit de moyenne abondance avec collapsus pulmonaire passif en regard, des lacérations hépatiques et une fracture rénale. Après injection de produit de contraste iodé, on notait un remplissage de l’espace pleural droit sans aucune opacification vasculaire secondaire à une position intrapleurale de la voie veineuse centrale (v. figure ). Une hydratation avec surveillance rapprochée des constantes de l’enfant ont été préconisées, l’évolution a été simple, sans complications immédiates ou tardives.
La tomodensitométrie montrait un épanchement pleural droit de moyenne abondance avec collapsus pulmonaire passif en regard, des lacérations hépatiques et une fracture rénale. Après injection de produit de contraste iodé, on notait un remplissage de l’espace pleural droit sans aucune opacification vasculaire secondaire à une position intrapleurale de la voie veineuse centrale (
La pose d’une voie veineuse centrale est devenue une pratique courante au service des urgences, non dépourvue de multiples complications tels qu’un pneumothorax, un traumatisme vasculaire ou une septicémie ; on estime qu’environ 15 % des patients sont sujets à ces complications.1
La malposition de voie centrale intrapleurale est une complication peu rapportée dans la littérature et résulte d’une perforation d’une veine à petit calibre à la suite de l’introduction traumatique du cathéter de voie centrale avec migration de ce dernier dans l’espace pleural.2 En effet sa position doit être toujours contrôlée par radiographie, du fait de la corrosivité du produit de contraste, nécessitant un geste de drainage pleural avant l’ablation de ce dernier.
La malposition de voie centrale intrapleurale est une complication peu rapportée dans la littérature et résulte d’une perforation d’une veine à petit calibre à la suite de l’introduction traumatique du cathéter de voie centrale avec migration de ce dernier dans l’espace pleural.2 En effet sa position doit être toujours contrôlée par radiographie, du fait de la corrosivité du produit de contraste, nécessitant un geste de drainage pleural avant l’ablation de ce dernier.
Références
1. Taylor RW, Palagiri AV. Central venous catheterization. Crit Care Med 2007;35:1390-6.
2. Ellis LM, Vogel SB, Copeland EM 3rd. Central venous catheter vascular erosion. Diagnosis and clinical course. Ann Surg 1989;209:475-8.
2. Ellis LM, Vogel SB, Copeland EM 3rd. Central venous catheter vascular erosion. Diagnosis and clinical course. Ann Surg 1989;209:475-8.
Une question, un commentaire ?