Des algies pelviennes chroniques ou cycliques chez une femme ayant eu au moins une césarienne doivent faire penser au diagnostic d’endométriose pariétale sur cicatrice, même des années après la réalisation de la césarienne.
L’endométriose est une pathologie bénigne définie par la présence de cellules endométriales en dehors de la cavité utérine, et un endométriome est un nodule organisé d’endométriose.
L’endométriose se situe le plus fréquemment au sein du pelvis mais d’autres localisations extrapelviennes sont décrites notamment au niveau des poumons, des intestins, des voies urinaires, du système nerveux central, du périnée et de la paroi abdominale.1
Au niveau de la paroi abdominale, l’endométriose est décrite sur les cicatrices de sites opératoires obstétricaux et/ou gynécologiques notamment d’hystérectomie, d’épisiotomie, d’amniocentèse, de césarienne, de cœlioscopie et de chirurgie viscérale notamment d’appendicectomie, de hernie inguinale, de cholécystectomie.2
La prévalence de l’endométriose de la paroi abdominale sur cicatrice de césarienne a été évaluée entre 0,03 et 0,15 % dans une étude réalisée en 1989,3 à 0,86 % dans une étude sur les complications de la césarienne à propos de 122 cas de patientes césarisées en 1990,4 et à 0,2 % dans une troisième étude en 1995.5
Plus récemment, en 2018, la prévalence du nodule endométriosique de la paroi sur cicatrice de césarienne a été estimée entre 0,3 et 1 %.6
En effet, ce nodule douloureux est de diagnostic difficile car il survient plusieurs mois et plusieurs années après la césarienne,7-9 et les diagnostics différentiels sont nombreux (hernie inguinale, granulome, névrome, abcès, éventration, sarcome, métastase, lipome, kyste sébacé, lymphome, adénopathie, hématome).10, 11 Il existe donc une errance diagnostique importante pouvant aller jusqu’à une dizaine d’années chez certaines patientes12-16 ainsi que des erreurs d’orientation vers des médecins spécialistes (chirurgien général ou viscéral, gastro-entérologue…).17-20

Quand y penser ?

Les patientes ayant un nodule endométriosique pariétal de cicatrice de césarienne décrites dans la littérature sont des femmes en âge de procréer, ayant au moins un antécédent de césarienne ; elles ont autant de risque que la population générale des femmes en âge de procréer d’avoir une endométriose pelvienne, soit 8 à 15 %.12, 21 Le délai est parfois long entre la réalisation de la césarienne et la survenue des symptômes.9, 12, 22-24
Le tableau clinique le plus évocateur de l’endométriome pariétal sur cicatrice de césarienne associe des douleurs pelviennes chroniques cycliques localisées près de la cicatrice et une masse pariétale pelvienne.25, 26 Cependant, les douleurs peuvent être continues et exacerbées au cours des menstruations. Par ailleurs, la masse pariétale pelvienne peut augmenter de volume lors des menstruations.5, 16
À l’examen clinique, le nodule douloureux est recherché à la palpation au sein ou autour de la cicatrice de césarienne.27

Quels examens complémentaires demander ?

Afin d’appuyer la suspicion diagnostique et d’écarter les diagnostics différentiels,28 il est indiqué de réaliser des examens paracliniques.
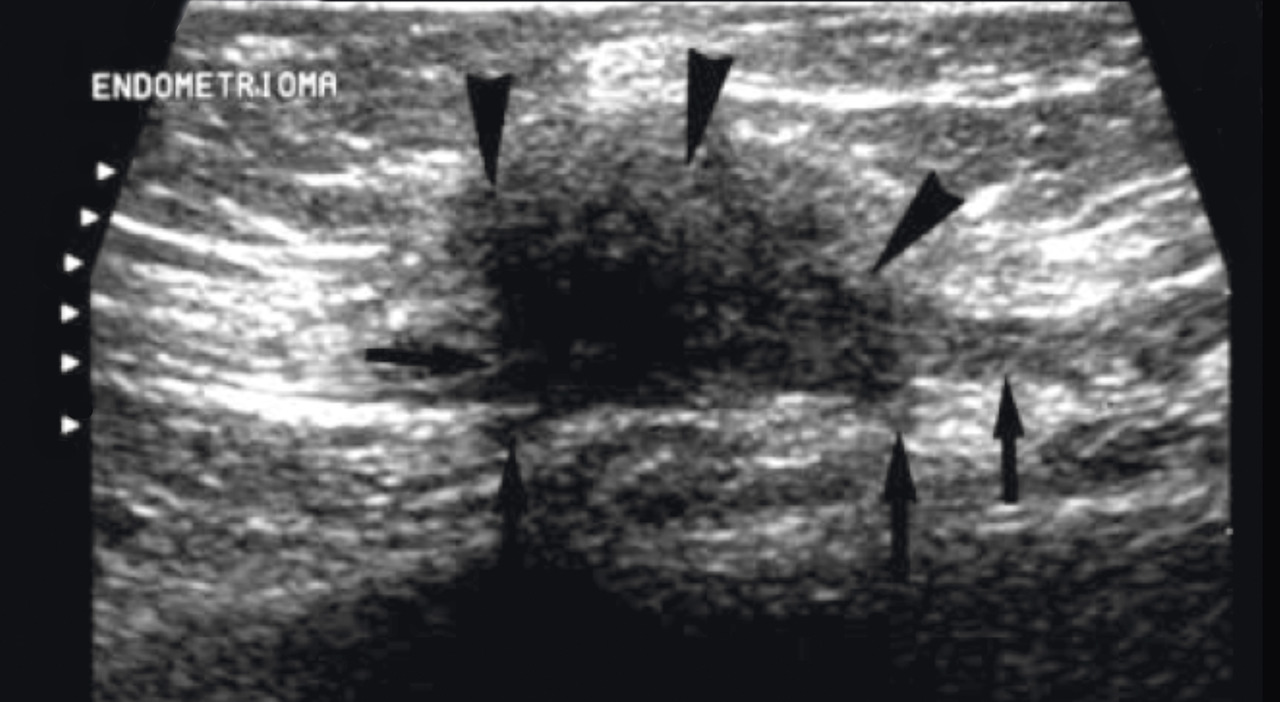
L’échographie pariétale est privi- légiée ; elle permet de localiser, me- surer et suspecter le nodule endo- métriosique dans la cicatrice de césarienne mais aussi de confirmer dans certaines situations les diagnostics différentiels. Il est conseillé, au mieux, de faire une échographie en crise pendant les règles et une en dehors des règles pour mettre en évidence le caractère fluctuant du nodule.27,29 Cependant, une échographie en dehors des règles retrouve déjà une image assez typique (fig. 1).
La tomodensitométrie n’est pas un bon examen pour diagnostiquer le nodule endométriosique pariétal dans la cicatrice de césarienne (fig 2).27 L’imagerie par résonance magnétique est plus adaptée pour l’exploration de la région pelvienne ; elle permet de rechercher une endométriose pelvienne dans le même temps qu’elle détermine les dimensions et la localisation précise du nodule endométriosique dans la paroi (fig. 3).30, 31

Le traitement est chirurgical

Le traitement de choix est chirurgical avec une excision large en marges saines ;28, 29 il permet une confirmation diagnostique, une élimination du risque de transformation maligne de la lésion (rare) et du risque de récidive de l’endométriome (fig. 4).
Cette chirurgie est simple, présente peu de complications et permet un soulagement durable des patientes.

UNE DÉMARCHE SIMPLE

Chez toute femme ayant des douleurs pelviennes chroniques, un antécédent de césarienne et un nodule douloureux au niveau de la cicatrice de césarienne, un endométriome pariétal doit être suspecté ; une échographie pariétale est alors demandée (idéalement pendant les règles) et la patiente adressée à un chirurgien gynécologue afin qu’elle bénéficie d’une prise en charge adaptée.V
Encadre

L’histoire de Mme G.

En 2015, Mme G., 34 ans, consulte pour des douleurs pelviennes pariétales localisées à l’extrémité gauche de sa cicatrice de césarienne et la présence d’une petite masse dure à ce niveau. À l’interrogatoire elle explique avoir accouché par césarienne en 2011 ; cet accouchement avait été programmé à 40 semaines d’aménorrhée en raison de métrorragies sur une languette placentaire recouvrante. Son médecin évoque des dysménorrhées sans gravité. Les douleurs persistent et s’aggravent jusqu’à devenir permanentes et exacerbées pendant les menstruations. La patiente consulte à nouveau : une échographie abdominale est prescrite qui conclut à une absence d’anomalie.

En 2016, Mme G. consulte un autre médecin qui ne s’inquiète pas non plus. Elle insiste pour refaire une échographie car la masse augmente de volume pendant les règles et les douleurs deviennent insupportables. L’échographie montre un nodule de 20 mm. Mme G. est alors adressée à un chirurgien viscéral qui évoque immédiatement un nodule endométriosique pariétal sur cicatrice de césarienne au vu de l’association des douleurs cycliques, de la masse pariétale pelvienne palpée et de la localisation de cette masse à l’extrémité gauche de la cicatrice de césarienne. L’exérèse chirurgicale du nodule sous anesthésie générale est réalisée. Les suites opératoires sont simples. Le compte-rendu anatomopathologique conclut à un endométriome pariétal sans signe suspect de malignité mesurant 15 mm. La patiente n’a plus de douleurs depuis l’intervention et ce jusqu’à ce jour.

Références
1. Olive DL, Schwartz LB. Endometriosis. N Engl J Med 1993;328:1759‑69.

2. Lamblin G, Mathevet P, Buenerd A. Endométriose pariétale sur cicatrice abdominale. À propos de 3 observations. J Gynecol Obstet Biol Reprod (Paris)1999;28:271‑4.

3. Wolf GC, Singh KB. Cesarean scar endometriosis: a review. Obstet Gynecol Surv 1989;44:89‑95.

4. Yao XY. Sequelae in 4 122 cases of cesarean section. Zhonghua Fu Chan Ke Za Zhi 1990;25:15‑7, 61.

5. Singh KK, Lessells AM, Adam DJ, et al. Presentation of endometriosis to general surgeons: a 10-year experience. Br J Surg 1995;82:1349‑51.

6. Merlot B, Ploteau S, Abergel A, et al. Endométriose extra-génitale : atteintes parieétales, thoraciques, diaphragmatiques et nerveuses. RPC Endometriose CNGOF-HAS. Gynecol Obstet Fertil Senol 2018;46:319‑25.

7. Zhao X, Lang J, Leng J, Liu Z, Sun D, Zhu L. Abdominal wall endometriomas. Int J Gynaecol Obstet 2005;90:218‑22.

8. Teng CC, Yang HM, Chen KF, Yang CJ, Chen LS, Kuo CL. Abdominal wall endometriosis: an overlooked but possibly preventable complication. Taiwan J Obstet Gynecol 2008;47:42‑8.

9. Ozel L, Sagiroglu J, Unal A, et al. Abdominal wall endometriosis in the cesarean section surgical scar: a potential diagnostic pitfall. J Obstet Gynaecol Res 2012;38:526‑30.

10. Bekta H, Bilsel Y, Sari YS, et al. Abdominal wall endometrioma; a 10-year experience and brief review of the literature. J Surg Res 2010;164:e77-81.

11. Seydel AS, Sickel JZ, Warner ED, Sax HC. Extrapelvic endometriosis: diagnosis and treatment. Am J Surg 1996;171:239.

12. Scholefield HJ, Sajjad Y, Morgan PR. Cutaneous endometriosis and its association with caesarean section and gynaecological procedures. J Obstet Gynaecol 2002;22:553‑4.

13. Francica G, Giardiello C, Angelone G, Cristiano S, Finelli R, Tramontano G. Abdominal wall endometriomas near cesarean delivery scars: sonographic and color doppler findings in a series of 12 patients. J Ultrasound Med 2003;22:1041‑7.

14. Nominato NS, Prates LFVS, Lauar I, Morais J, Maia L, Geber S. Caesarean section greatly increases risk of scar endometriosis. Eur J Obstet Gynecol Reprod Biol 2010;152:83‑5.

15. Erkan N, Haciyanli M, Sayhan H. Abdominal wall endometriomas. Int J Gynaecol Obstet 2005;89:59‑60.

16. Pathan SK, Kapila K, Haji BE, et al. Cytomorphological spectrum in scar endometriosis: a study of eight cases. Cytopathol 2005;16:94‑9.

17. Douglas C, Rotimi O. Extragenital endometriosis--a clinicopathological review of a Glasgow hospital experience with case illustrations. J Obstet Gynaecol 2004;24:804‑8.

18. Ecker AM, Donnellan NM, Shepherd JP, Lee TTM. Abdominal wall endometriosis: 12 years of experience at a large academic institution. Am J Obstet Gynecol 2014;211:363.e1-5.

19. Uçar MG, Şanlıkan F, Göçmen A. Surgical Treatment of Scar Endometriosis Following Cesarean Section, a Series of 12 Cases. Indian J Surg 2015;77(Suppl 2):682‑6.

20. Yıldırım D, Tatar C, Doğan O, et al. Post-cesarean scar endometriosis. Turk J Obstet Gynecol 2018;15:33‑8.

21. Horton JD, Dezee KJ, Ahnfeldt EP, Wagner M. Abdominal wall endometriosis: a surgeon’s perspective and review of 445 cases. Am J Surg 2008;196:207‑12.

22. Blanco RG, Parithivel VS, Shah AK, Gumbs MA, Schein M, Gerst PH. Abdominal wall endometriomas. Am J Surg 2003;185:596‑8.

23. Gunes M, Kayikcioglu F, Ozturkoglu E, Haberal A. Incisional endometriosis after cesarean section, episiotomy and other gynecologic procedures. J Obstet Gynaecol Res 2005;31:471‑5.

24. Hensen JHJ, Van Breda Vriesman AC, Puylaert JBCM. Abdominal wall endometriosis: clinical presentation and imaging features with emphasis on sonography. AJR Am J Roentgenol 2006;186:616‑20.

25. Hocaoglu M, Turgut A, Ozdamar O, et al. Abdominal wall endometriosis in patients with a history of cesarian section. Ann Ital Chir 2018;89:425‑30.

26. Lopez-Soto A, Sanchez-Zapata MI, Martinez-Cendan JP, et al. Cutaneous endometriosis: Presentation of 33 cases and literature review. Eur J Obstet Gynecol Reprod Biol 2018;221:58‑63.

27. Gidwaney R, Badler RL, Yam BL, et al. Endometriosis of abdominal and pelvic wall scars: multimodality imaging findings, pathologic correlation, and radiologic mimics. Radiographics 2012;32:2031‑43.

28. Stein L, Elsayes KM, Wagner-Bartak N. Subcutaneous abdominal wall masses: radiological reasoning. Am J Roentgenol 2012;198:W146-151.

29. Francica G, Scarano F, Scotti L, Angelone G, Giardiello C. Endometriomas in the region of a scar from Cesarean section: sonographic appearance and clinical presentation vary with the size of the lesion. J Clin Ultrasound 2009;37:215‑20.

30. Pados G, Tympanidis J, Zafrakas M, Athanatos D, Bontis JN. Ultrasound and MR-imaging in preoperative evaluation of two rare cases of scar endometriosis. Cases J 2008;1:97.

31. Nissotakis C, Zouros E, Revelos K, Sakorafas GH. Abdominal wall endometrioma: a case report and review of the literature. AORN J 2010;91:730-42.

Dans cet article

Ce contenu est exclusivement réservé aux abonnés

Résumé Endométriose pariétale sur cicatrice de césarienne

Des algies pelviennes chroniques chez une femme ayant au moins un antécédent de césarienne doit faire envisager le diagnostic d’endométriome pariétal sur cicatrice de césarienne, même des années après la réalisation de la césarienne. Le tableau clinique le plus évocateur associe des douleurs pelviennes chroniques cycliques localisées près de la cicatrice de césarienne et une masse pariétale pelvienne. À l’examen clinique, ce nodule douloureux est le plus souvent palpable. Afin d’étayer le diagnostic, il est indiqué de réaliser une échographie pariétale, de préférence au cours des règles et pendant la crise douloureuse ; cependant les lésions échographiques peuvent aussi être typiques en dehors des règles. Le traitement de référence consiste en une exérèse chirurgicale large avec des marges saines sous anesthésie générale.