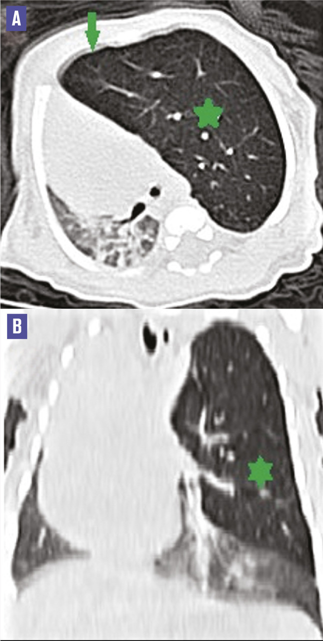
Ce nourrisson de 2 mois, issu d’un mariage non consanguin, né après une grossesse suivie et un accouchement médicalisé par voie basse, était admis aux urgences pour aggravation récente d’une dyspnée évoluant depuis la naissance. L’examen clinique notait une polypnée avec des signes de lutte et une déviation des bruits cardiaques à droite. Une radiographie standard et une tomodensitométrie (TDM) montraient une hyperclarté du lobe supérieur gauche associée à une déviation du médiastin vers la droite et une atélectasie du lobe inférieur gauche (figure ). Le diagnostic d’emphysème lobaire géant supérieur gauche a été retenu, et une lobectomie supérieure gauche a été réalisée. L’étude histologique de la pièce opératoire a confirmé le diagnostic. Dix-huit mois plus tard, l’enfant était asymptomatique.
L’emphysème lobaire géant est une malformation bronchopulmonaire congénitale caractérisée par une distension progressive des alvéoles d’un territoire pulmonaire, avec une prédilection pour le lobe supérieur gauche. Il se manifeste en général dès les six premiers mois de la vie,1 par une symptomatologie respiratoire d’importance variable pouvant aller d’une fatigabilité au biberon à une détresse respiratoire.
La radiographie standard, souvent réalisée en première intention dans l’urgence, permet généralement de poser le diagnostic. Elle met en évidence une hyperclarté unilatérale refoulant le médiastin et des signes d’hyperinflation :2 horizontalisation des côtes, élargissement des espaces intercostaux, abaissement de la coupole diaphragmatique homolatérale, déviation controlatérale des structures médiastinales.
La TDM, réalisée en deuxième intention, permet de confirmer le diagnostic, de préciser la topographie, les caractéristiques lésionnelles ainsi que les complications et autres anomalies éventuellement associées.
Le traitement de choix est la lobectomie, par thoracotomie ou thoracoscopie.
La radiographie standard, souvent réalisée en première intention dans l’urgence, permet généralement de poser le diagnostic. Elle met en évidence une hyperclarté unilatérale refoulant le médiastin et des signes d’hyperinflation :2 horizontalisation des côtes, élargissement des espaces intercostaux, abaissement de la coupole diaphragmatique homolatérale, déviation controlatérale des structures médiastinales.
La TDM, réalisée en deuxième intention, permet de confirmer le diagnostic, de préciser la topographie, les caractéristiques lésionnelles ainsi que les complications et autres anomalies éventuellement associées.
Le traitement de choix est la lobectomie, par thoracotomie ou thoracoscopie.
Références
1. Khen-Dunlop N, Révillon Y. Congenital lung malformations--when to operate ? Rev Mal Respir. 2012;29:328-36.
2. Bousetta K, Aloui-Kasbi N, Fitouri Z, et al. Malformations pulmonaires congénitales. Apport de l’imagerie. J Pediatr Pueric. 2004;17:370-9.
2. Bousetta K, Aloui-Kasbi N, Fitouri Z, et al. Malformations pulmonaires congénitales. Apport de l’imagerie. J Pediatr Pueric. 2004;17:370-9.
Une question, un commentaire ?