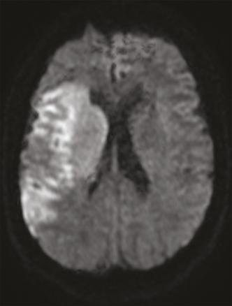
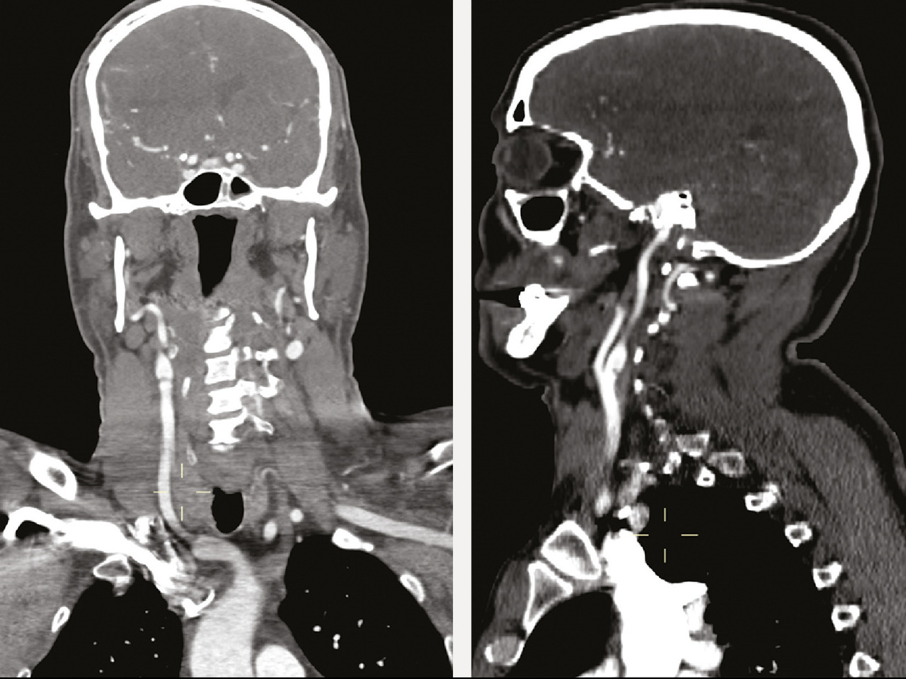
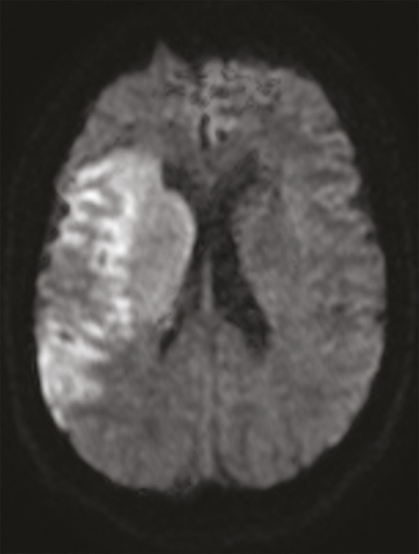
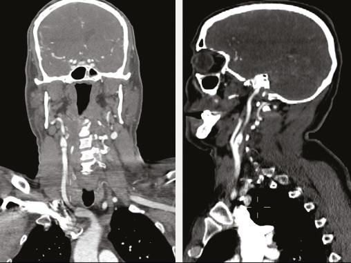
Cet homme de 41 ans, sans antécédent notable, était admis aux urgences pour une hémiplégie gauche d’apparition brutale (H3). Une angio-IRM cérébrale montrait un infarctus frontal et dans le territoire de l’artère sylvienne superficielle et profonde droit (fig. 1 ). Étant donné son jeune âge, un angioscanner des troncs supra-aortiques était réalisé, montrant une image d’éperon caractéristique de diaphragme bulbaire carotidien (fig. 2 ). Le patient était hospitalisé, mis sous traitement médical à base d’anticoagulant à dose préventive et d’antiagrégant plaquettaire en attendant la réalisation d’une artériographie avec mise en place d’un stent.
Le diaphragme carotidien est une pathologie rare à l’origine d’accidents vasculaires cérébraux ischémiques du sujet jeune. Il s’agit d’une prolifération intimale située le plus souvent à la face postérieure du bulbe carotidien réalisant un voile endoluminal, entraînant la formation d’emboles et responsable d’infarctus cérébraux par embolie des grosses artères ; son diagnostic est essentiel parce qu’il expose à un risque élevé de récidive dans le même territoire vasculaire. L’angioscanner des troncs supra-aortiques avec reconstruction en coupe sagittale montre un éperon endoluminal caractéristique. Le siège de prédilection est le bulbe carotidien ; d’autres localisations ont été décrites, notamment la carotide commune1 et l’artère carotide interne. L’angiographie numérisée à but thérapeutique montre le diaphragme, la stase du flux sanguin dans le récessus créé et, image caractéristique, la stagnation du produit de contraste. Le traitement consiste en un stenting endovasculaire et une endartériectomie associée à une antiagrégation plaquettaire à vie ;2 une surveillance rapprochée est préconisée, nécessitant un examen neurologique et une échographie doppler 3 mois après, puis annuellement pendant 5 ans. La double antiagrégation plaquettaire est préconisée pendant 3 mois, donnant relais à une monothérapie à base d’aspirine à vie.
Références
1. Lenck S, Labeyrie MA, Saint-Maurice JP, et al. Diaphragms of the carotid and vertebral arteries: an under-diagnosed cause of ischaemic stroke. Euro J Neurol 2014;21:586-93.
2. Joux J, Boulanger M, Jeannin S, et al. Association between carotid bulb diaphragm and ischemic stroke in young afro-Caribbean patients: a population-based case control study. Stroke 2016;47:2641-4.
2. Joux J, Boulanger M, Jeannin S, et al. Association between carotid bulb diaphragm and ischemic stroke in young afro-Caribbean patients: a population-based case control study. Stroke 2016;47:2641-4.
Une question, un commentaire ?