objectifs
ARGUMENTER les principales hypothèses diagnostiques et JUSTIFIER les examens complémentaires pertinents.
Une bulle est une lésion élémentaire classiquement décrite comme une collection liquidienne claire, parfois hématique, de plus de 2 mm, au contraire de la vésicule dont le volume en est inférieur. Lorsque son contenu est purulent, on parle de pustule. Il peut arriver que les bulles deviennent coa­lescentes pour devenir des placards de décollement cutané. Rapidement, elles laissent la place à des érosions (d’autant plus que les décollements surviennent sur les muqueuses ou la peau fine), voire à des ulcérations qui sont plus profondes.
Les dermatoses bulleuses sont un groupe très hétérogène de maladies cutanées. Elles regroupent des causes auto-immunes, infectieuses, allergiques ou sont parfois le résultat de facteurs externes. Il conviendra de repérer rapidement les dermatoses bulleuses potentiellement sévères, mettant en jeu le pronostic vital, dont la prise en charge est urgente (fig. 1).

Dermatoses bulleuses auto-immunes

Pemphigoïde bulleuse


Épidémiologie

La pemphigoïde bulleuse affecte surtout des sujets âgés entre 70 et 80 ans. Au moins la moitié des patients présentent des troubles cognitifs avancés au diagnostic. La mortalité à moyen terme est importante du fait des comorbidités associées aux effets secondaires des traitements. Rarement, il peut exister des médicaments inducteurs comme la spironolactone, les diurétiques de l’anse ou les phénotiazines.

Présentation clinique

Dans la pemphigoïde bulleuse, le prurit est souvent inaugural, pouvant précéder de plusieurs semaines à plusieurs mois les lésions cutanées.
Ces dernières se présentent sous la forme de bulles tendues parfois sur peau saine mais souvent associées à des placards urticariens ou eczématiformes qui sont de temps en temps initialement trompeurs (fig. 2). Leur zone de prédilection est la face de flexion des jambes et l’abdomen. L’atteinte muqueuse est peu fréquente, il peut notamment exister des lésions buccales aphtoïdes.

Aspects anatomopathologiques

En microscopie optique (fig. 3), il existe un infiltrat inflamma­toire dermique avec des éosinophiles. La bulle clive la jonction dermo-épidermique, il n’y a pas d’acantholyse, au contraire du pem­phigus.

Aspects immunologiques

La pemphigoïde bulleuse est une maladie auto-immune dont les cibles antigéniques sont les protéines des hémidesmosomes, la BP180 et la BP230. Il convient de rechercher les anticorps dirigés contre ces protéines en immunofluo­rescence directe. Il existe alors un dépôt linéaire d’IgG et de C3 le long de la jonction dermo-épidermique. Le diagnostic associe donc une présentation clinique compatible (prurit avec ou sans bulle du sujet âgé), un décollement sous-épider­mique histologique­ment et un dépôt d’IgG et de C3 le long de la jonction dermo-­épidermique.

Traitement

Le traitement repose sur la corticothérapie locale forte (dipropionate de clobétasol) en première intention ; la corticothérapie orale, les immunosuppresseurs ou immunomodulateurs peuvent être proposés en cas de réponse insuffisante. Il convient aussi de prendre en charge les surinfections cutanées et les pertes hydriques, en particulier chez le sujet âgé (fig. 4).

Les autres pemphigoïdes


Pemphigoïde gestationnelle

La pemphigoïde gestationnelle est une maladie bulleuse auto-­immune touchant la femme enceinte, en particulier au deuxième ou au troisième trimestre. Elle dure quelques mois et prend fin très souvent après l’accouchement. Le risque de récurrence est important lors des grossesses ultérieures. L’atteinte clinique est semblable à celle de la pemphigoïde bulleuse, avec une prédilection pour la zone péri-ombilicale (fig. 5). L’histologie et l’immuno­fluor­escence directe sont similaires à la pemphigoïde bulleuse. Il existe un risque néonatal, associant un faible poids de naissance et des lésions cutanées similaires transitoires.

Pemphigoïde des muqueuses

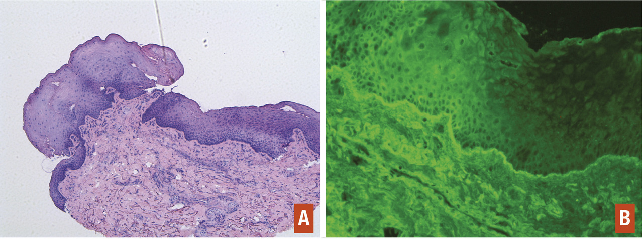
La pemphigoïde cicatricielle, ou pemphigoïde des muqueuses, est plus rare que la pemphigoïde bulleuse. Les patients atteints sont plus jeunes (60-65 ans). La muqueuse buccale est atteinte dans la majorité des cas mais aussi les zones oculaires (conjonctivite synéchiante), nasale ou génitale… L’atteinte conjonctivale ou œsophagienne peut avoir des conséquences fonctionnelles très importantes à type de lésions synéchiantes cicatricielles (fig. 6). L’analyse en anatomie pathologique retrouve un aspect similaire à la pemphigoïde bulleuse (fig. 7).

Les autres dermatoses bulleuses auto-immunes sous-épidermiques


Dermatose à IgA linéaire

Il s’agit d’une dermatose bulleuse touchant principalement l’enfant ou l’adulte jeune. Les lésions cutanées sont des vésiculo-­bulles, parfois arrangées en rosette (fig. 8). L’atteinte muqueuse est rare. La vancomycine et les anti-inflammatoires non stéroïdiens sont des médicaments inducteurs.

Dermatite herpétiforme

C’est une dermatose bulleuse rare en France, elle est la traduction dermatologique d’une intolérance à la gliadine du gluten. Il existe fréquemment une maladie cœliaque associée, parfois asymptomatique mais qu’il convient de dépister au vu du risque de lymphome grêlique. L’atteinte cutanée est polymorphe, avec un prurit diffus longtemps isolé et des vésiculobulles sur les faces d’extension des membres regroupées en bouquet. Le traitement repose sur l’éviction du gluten et la dapsone.

Épidermolyse bulleuse acquise

Il s’agit d’une maladie bulleuse auto-immune associée à des anticorps dirigés contre la jonction dermo-épidermique (anti-collagène VII), bien moins fréquente que la pemphigoïde bulleuse. Elle se caractérise par des bulles sur les zones de frottement et les extrémités laissant des cicatrices atrophiques.

Pemphigus


Généralités

Le terme de pemphigus regroupe des dermatoses bulleuses auto-immunes dont la cible antigénique est un groupe de protéines d’adhésion situées sur la membrane des kératinocytes amenant donc une acantholyse et un clivage intra-épidermique, souligné en anatomopathologie par un marquage IgG typique en « maille de filet » en immunofluorescence directe (fig. 9). Il existe trois types de pemphigus.

Pemphigus vulgaire

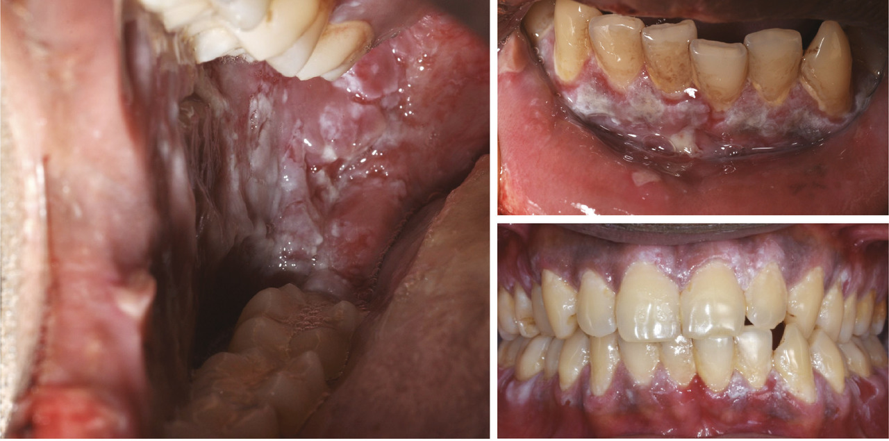
Le pemphigus vulgaire est caractérisé par l’atteinte muqueuse principale, notamment orale où on trouve des érosions parfois très étendues, d’installation insidieuse (fig. 10). Les muqueuses anogénitales ou conjonctivales peuvent être touchées elles aussi. L’atteinte cutanée est rarement au premier plan et peut parfois suivre l’atteinte muqueuse. Il s’agit d’une bulle fragile, à toit flasque, laissant rapidement place à une érosion de cicatrisation lente. On retrouve un signe de Nikolsky. Le pemphigus vulgaire est une maladie grave, parfois mortelle (complications infectieuses, de la corticothérapie…), qui touche le sujet plutôt jeune. Le prurit n’est pas important.

Pemphigus superficiel

L’atteinte cutanée est prédominante, avec des lésions érythémato-squamo-croûteuses prédominant au niveau du haut du tronc, du visage et du cuir chevelu.

Pemphigus paranéoplasique

Le pemphigus paranéoplasique prend des formes cutanées variées associant des caractéristiques du pemphigus et de la pemphigoïde bulleuse. Il est souvent associé à des hémopathies, parfois à des cancers solides.

Dermatoses bulleuses de cause physique

Brûlures

Une brûlure est une destruction du revêtement cutané, le plus souvent d’origine thermique, mais aussi parfois chimique, électrique ou liée aux radiations. Il existe classiquement trois degrés :
  • le premier degré est une brûlure superficielle atteignant l’épiderme sans atteindre la membrane basale, c’est le coup de soleil ;
  • le deuxième degré est une brûlure dépassant la basale, il est superficiel quand il y a des phlyctènes douloureuses, profond quand il n’y en a pas ;
  • le troisième degré est une destruction cutanée complète.
Concernant les radiodermites, on peut rencontrer des phlyctènes dans les radiodermites aiguës exsudatives (grade III).

Réactions de photosensibilité

Une réaction phototoxique est un érythème parfois œdémateux survenant plusieurs heures après la prise d’un médicament inducteur (anti-inflammatoire non stéroïdien [AINS] dont kétoprofène, cyclines, quinolones, amiodarone…). Il peut arriver qu’apparaissent des bulles lorsque la réaction est très importante. Les lésions siègent sur les zones photo-exposées.
Les réactions photo-allergiques surviennent chez des sujets ayant déjà été sensibilisés à une molécule donnée. Elles surviennent 1 à 3 semaines après la prise du médicament (AINS notamment). L’éruption cutanée dépasse largement les zones photo-exposées, les lésions sont eczématiformes, il existe parfois quelques bulles.

Les dermatoses aggravées par le soleil

En dehors du coup de soleil, les dermatoses par photosensibilisation peuvent faire apparaître des bulles cutanées. Les lésions lupiques sont classiquement photosensibles et peuvent prendre de manière peu fréquente une forme bulleuse. De même que la phytophotodermatose qui est une réaction de photosensibilité après contact de végétaux (fig. 11). Les lucites qui sont des réactions immunes faisant suite aux premières expositions solaires du printemps peuvent aussi en prendre l’aspect. La porphyrie cutanée tardive, déficit dans une des enzymes de métabolisme de l’hème avec dépôt des protéines intermédiaires, se caractérise par l’apparition de bulles après l’exposition solaire. Ses cicatrices donnent facilement des grains de milium, témoins de l’atteinte épidermique (mais qui n’est pas spécifique).

Toxidermies bulleuses

Nécrolyse épidermique toxique


Aspects cliniques et complications

Il s’agit d’une toxidermie rare mais grave, débutant entre 2 et 6 semaines du début du traitement inducteur, avec un syndrome pseudo-grippal inaugural, parfois fébrile, rapidement accompagné d’ulcérations muqueuses au niveau buccal, oculaire, nasal ou génital. La peau se décolle (fig. 12), prenant au pire un aspect de « linge mouillé » laissant à vif le derme. Il s’y associe par ailleurs une forte altération de l’état général. De manière classique, on parle de syndrome de Stevens-Johnson lorsque le décollement cutané est inférieur à 10 % et de syndrome de Lyell lorsque celui-ci est supérieur à 30 %.
Les complications proviennent d’une part d’un défaut de fonctions normalement assurées par la peau : troubles de la température corporelle, déshydratation avec insuffisance rénale aiguë, infections cutanées… Il existe d’autre part une possible atteinte du tractus ORL jusqu’à l’atteinte nécrolytique au niveau pulmonaire pouvant se compliquer de détresse respiratoire.

Prise en charge

Il existe une indication formelle au transfert vers une unité de soins intensifs ou de réanimation et bien évidemment à l’arrêt du médicament suspect. La mortalité est de 25 à 35 %, corrélée à l’importance de la surface corporelle atteinte. La cicatrisation peut laisser place à des cicatrices dépigmentées, des synéchies muqueuses, y compris conjonctivales, avec de potentielles séquelles oculaires ou génitales. Le SCORTEN est un score pronostique de nécrolyse épidermique toxique.

Diagnostic et facteurs de risque

Le diagnostic, même si la présomption clinique est forte, passe obligatoirement par une analyse anatomopathologique en urgence. Certains médicaments sont souvent cités comme inducteur de nécrolyse épidermique toxique : AINS, sulfamides, anticonvulsivants, antibiotiques et antiviraux ou allo­purinol. Les facteurs de risque sont l’immunodépression, y compris par le virus de l’immunodéficience humaine (VIH), la radiothérapie associée aux antiépileptiques, le lupus, le sexe masculin…
Le traitement repose sur une prise en charge symptomatique associant un contrôle de l’hydratation, de la température corporelle et l’alimentation. Les antalgiques seront nécessaires (comprenant souvent les paliers 3). Tout pansement adhésif est contre-indiqué (y compris les électrodes ECG). La corticothérapie systémique n’a pas fait l’objet de recommandations claires.

Érythème pigmenté fixe

L’érythème pigmenté fixe est une toxidermie survenant 1 jour à 2 semaines après la prise d’un médicament. Il s’agit d’un prurit localisé initial laissant apparaître des plaques ovalaires violacées. Ces plaques peuvent être vésiculo-bulleuses (fig. 13), parfois de manière généralisée, ce qui complique le diagnostic (aspect de nécrolyse épidermique toxique). La régression des lésions est la règle, de même que la réapparition aux mêmes endroits précédemment touchés lors d’une réintroduction.

Dermatoses bulleuses infectieuses

Impétigo bulleux

L’impétigo est une infection staphylococcique ou streptococcique touchant essentiellement les enfants. On remarque des croûtes mélicériques jaunâtres. Il peut prendre une forme bulleuse, en particulier au niveau orificiel chez le très jeune enfant (fig. 14). Une antibiothérapie générale est très souvent nécessaire, sauf en cas de lésions peu étendues où les antibiotiques locaux suffisent, associés à des bains antiseptiques.

Épidermolyse staphylococcique

Cette maladie bulleuse est due à la sécrétion par certains staphylocoques d’une toxine exfoliatrice. Elle prend la forme initiale d’un exanthème scarlatiniforme faisant suite à une infection staphylococcique locale (cutanée, ORL). Le décollement est sous-­corné et le signe de Nikolsky est positif : on parle « d’enfants ébouillantés ». Il n’y a pas d’atteinte muqueuse. Le pronostic est clément, et ce d’autant plus que les antibiotiques sont débutés tôt. La guérison est rapide et il n’y a pas de cicatrice à terme.

Autres dermatoses infectieuses à forme bulleuse

Les infections associant des vésicules (herpès simplex virus [HSV], virus varicelle-zona [VZV]) peuvent parfois prendre un aspect bulleux par coalescence de ces dernières (fig. 15). Il existe d’autres infections cutanées bulleuses plus rares, telles que la syphilis congénitale…

Érythème polymorphe

Il s’agit d’une réaction d’hypersensibilité, d’origine infectieuse le plus souvent (HSV, mycoplasmes…) ou médicamenteuse. La cocarde est la lésion élémentaire, parfois centrée par une vésiculobulle. Les lésions siègent classiquement sur la partie supérieure du corps et sur les muqueuses où elles conditionnent le pronostic (notamment oculaire). L’atteinte de la muqueuse buccale est constituée d’érosions rapidement croûteuses. La guérison est spontanée en 2 à 3 semaines. Le traitement est symptomatique ou celui de la cause. Les corticoïdes peuvent être discutés en cas d’atteintes graves. Lorsque l’érythème polymorphe est secondaire à l’introduction d’un médicament, il convient d’arrêter ce dernier.

Dermatoses bulleuses de cause rare

Dermatoses bulleuses rares

Il existe plusieurs dermatoses bulleuses génétiques rares apparaissant chez l’enfant (dont le cadre dépasse largement les connaissances attendues d’un étudiant de deuxième cycle) : incontinentia pigmenti, épidermolyses bulleuses héréditaires, porphyrie érythropoïétique congénitale ou maladie de Günther, porphyrie cutanée tardive (que l’on retrouve chez l’adulte aussi).

Dermatoses rarement bulleuses

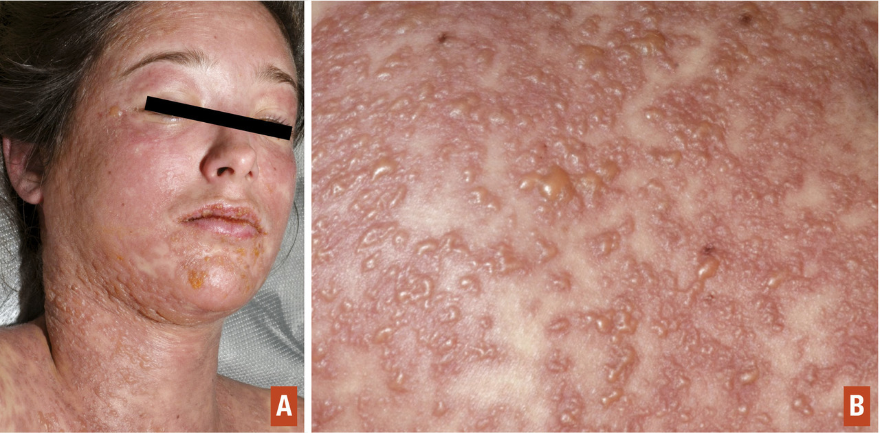
Certaines dermatoses peuvent parfois présenter des lésions bulleuses : le DRESS (fig. 16), les vascularites cutanées (fig. 17), la réaction du greffon contre l’hôte ou GVH (fig. 18)…•
Points forts
Dermatose bulleuse touchant la peau et/ou les muqueuses externes

POINTS FORTS À RETENIR

La pemphigoïde bulleuse est une dermatose bulleuse fréquente, le diagnostic allie la présentation clinique habituelle (bulles tendues sur peau érythémateuse au niveau des faces de flexion des jambes et de l’abdomen), un décollement dermo-épidermique en histologie et des anticorps anti-BP180 ou BP230 positifs. Le traitement repose sur les dermocorticoïdes forts.

La nécrolyse épidermique toxique est une dermatose d’hypersensibilité médicamenteuse caractérisée par de vastes décollements bulleux, il n’y a pas de traitement spécifique en dehors de l’arrêt urgent du médicament en cause. La mortalité est importante, il s’agit bien d’une urgence diagnostique et thérapeutique.

Message auteur

Message de l'auteur

L’univers des dermatoses bulleuses est ici rapidement exploré mais il est très vaste. Les cas cliniques susceptibles de tomber aux ECN peuvent reposer sur des sujets simples et sans ambiguïté comme la pemphigoïde bulleuse ou la nécrolyse épidermique toxique où il est attendu de l’étudiant des connaissances théoriques solides, depuis sa démarche diagnostique jusqu’à ses compétences thérapeutiques. D’autres dossiers peuvent être plus inattendus avec des présentations cliniques incomplètes où il sera demandé à l’étudiant un raisonnement clinique bien structuré (pemphigoïde bulleuse non initialement bulleuse, érosions buccales d’installation insidieuse, bulles isolées…). Cet item ne présente pas de difficultés insurmontables car les pathologies rares sont du domaine de l’hyperspécialiste.

Dans cet article

Ce contenu est exclusivement réservé aux abonnés