Seul le scanner faiblement dosé (scanner low dose ou LD) réduit significativement la mortalité spécifique de 20 à 25 %. Il se distingue du scanner thoracique tel qu’on le pratique habituellement par le fait qu’il s’agit d’un scanner non injecté faiblement irradiant. Sa prescription doit obligatoirement préciser cette modalité particulière.
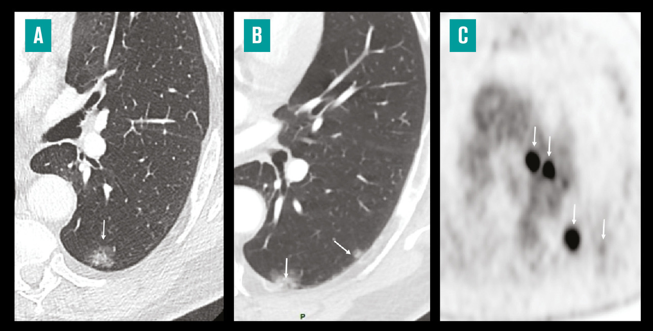
Outre le fait que la pratique de ce scanner est susceptible de sauver des vies (v. figure ), le dépistage des cancers du poumon par cette technique a d’autres avantages :
– proposé à un fumeur actif qui envisage de cesser son tabagisme, il peut aider au sevrage. En effet, dans deux études randomisées au moins, il a été montré que le tabagisme des fumeurs soumis au dépistage diminuait lorsqu’ils étaient randomisés dans le bras « dépistage » ;
– ce dépistage pourrait également être utile au dépistage d’autres anomalies, par exemple les calcifications coronaires.
Mais cette pratique du scanner peut aussi avoir des inconvénients :
– le scanner LD générerait beaucoup de « faux positifs », qui nécessiteraient des examens parfois invasifs, coûteux, et dont la pratique générerait de l’anxiété. Le suivi volumétrique des nodules, comme nous l’a appris l’étude NELSON, permet de réduire considérablement ces « faux positifs » ;1
– le scanner est irradiant, mais à des taux faibles comparables à 6 mois d’irradiation naturelle en France. De plus, le risque d’induction de cancer par l’irradiation est faible dans les tranches d’âge pour lesquelles ce dépistage est proposé ;2
– le surdiagnostic est faible, estimé à 3,1 %.3
Attention ! on ne doit pas proposer à tous les fumeurs ou anciens fumeurs asymptomatiques des scanners LD annuels. Cette prescription suppose cinq conditions qui doivent être impérativement réunies :
– le fumeur ou ancien fumeur doit être âgé d’au moins 50 ans et de moins de 75 ans. Il doit fumer ou avoir fumé plus de 15 cigarettes par jour pendant au moins 25 ans ou plus de 10 cigarettes par jour pendant au moins 30 ans ;4
– il doit être apte à recevoir un traitement curatif (chirurgie ou radiothérapie stéréotaxique) en cas de découverte d’un cancer accessible à ces traitements ;
– s’il est encore fumeur, sa démarche doit s’inscrire dans une démarche de sevrage tabagique ;
– s’il est ancien fumeur, il doit avoir cessé de fumer depuis moins de 10 ans ;
– dans tous les cas, il doit être informé des avantages et des inconvénients de la démarche qui lui est proposée.
Outre le fait que la pratique de ce scanner est susceptible de sauver des vies (
– proposé à un fumeur actif qui envisage de cesser son tabagisme, il peut aider au sevrage. En effet, dans deux études randomisées au moins, il a été montré que le tabagisme des fumeurs soumis au dépistage diminuait lorsqu’ils étaient randomisés dans le bras « dépistage » ;
– ce dépistage pourrait également être utile au dépistage d’autres anomalies, par exemple les calcifications coronaires.
Mais cette pratique du scanner peut aussi avoir des inconvénients :
– le scanner LD générerait beaucoup de « faux positifs », qui nécessiteraient des examens parfois invasifs, coûteux, et dont la pratique générerait de l’anxiété. Le suivi volumétrique des nodules, comme nous l’a appris l’étude NELSON, permet de réduire considérablement ces « faux positifs » ;1
– le scanner est irradiant, mais à des taux faibles comparables à 6 mois d’irradiation naturelle en France. De plus, le risque d’induction de cancer par l’irradiation est faible dans les tranches d’âge pour lesquelles ce dépistage est proposé ;2
– le surdiagnostic est faible, estimé à 3,1 %.3
Attention ! on ne doit pas proposer à tous les fumeurs ou anciens fumeurs asymptomatiques des scanners LD annuels. Cette prescription suppose cinq conditions qui doivent être impérativement réunies :
– le fumeur ou ancien fumeur doit être âgé d’au moins 50 ans et de moins de 75 ans. Il doit fumer ou avoir fumé plus de 15 cigarettes par jour pendant au moins 25 ans ou plus de 10 cigarettes par jour pendant au moins 30 ans ;4
– il doit être apte à recevoir un traitement curatif (chirurgie ou radiothérapie stéréotaxique) en cas de découverte d’un cancer accessible à ces traitements ;
– s’il est encore fumeur, sa démarche doit s’inscrire dans une démarche de sevrage tabagique ;
– s’il est ancien fumeur, il doit avoir cessé de fumer depuis moins de 10 ans ;
– dans tous les cas, il doit être informé des avantages et des inconvénients de la démarche qui lui est proposée.
Références
1. Horeweg N, van der Aalst CM, Vliegenthart R, et al. Volumetric computed tomography screening for lung cancer: three rounds of the NELSON trial. Eur Respir J 2013;42:1659-67.
2. Brenner DJ, Hall EJ. Computed tomography–an increasing source of radiation exposure. N Engl J Med 2007;357:2277-84.
3. National Lung Screening Trial research team. Lung cancer incidence and mortality with extended follow-up in the National Lung Screening Trial. J Thorac Oncol 2019;14:1732-42.
4. de Koning HJ, van der Aalst CM, de Jong PA, Scholten ET, Nackaerts K, Heuvelmans MA, et al. Reduced lung-cancer mortality with volume CT screening in a randomized trial. N Engl J Med 2020;382:503-13.
2. Brenner DJ, Hall EJ. Computed tomography–an increasing source of radiation exposure. N Engl J Med 2007;357:2277-84.
3. National Lung Screening Trial research team. Lung cancer incidence and mortality with extended follow-up in the National Lung Screening Trial. J Thorac Oncol 2019;14:1732-42.
4. de Koning HJ, van der Aalst CM, de Jong PA, Scholten ET, Nackaerts K, Heuvelmans MA, et al. Reduced lung-cancer mortality with volume CT screening in a randomized trial. N Engl J Med 2020;382:503-13.