Les services d’urgence reçoivent quotidiennement des patients ayant un corps étranger (CE) au niveau du nez, de la gorge ou des oreilles. Les localisations dans les voies aériennes inférieures sont plus rares, mais peuvent être mortelles ou laisser des séquelles.
Corps étrangers du pharynx
C’est la traditionnelle arête de poisson du vendredi ! Mais cet accident peut arriver tous les jours et être lié à une autre cause : un petit os, une épingle, un tire-nerf (lors de soins dentaires)… Il survient aussi bien chez les adultes que chez les enfants.1 La plupart du temps, le sujet, grâce à des mouvements de la langue ou au doigt, arrive à déloger le corps étranger, puis le crache ou l’avale.
Si le patient vient consulter aux urgences, c’est qu’il sent encore sa présence. Il peut dire s’il est à droite ou à gauche, mais sa position en hauteur est imprécise : il a par exemple l’impression que l’arête est à la base du cou alors qu’elle est dans une amygdale palatine.
Avec une lampe frontale et un abaisse-langue, il faut examiner attentivement l’oropharynx. Si le corps étranger est repéré, il est facile à extraire avec une pince de Lubet Barbon ou de Magill tenue dans la main libre. Le soulagement est immédiat. S’il n’est pas visible, le patient doit être adressé en consultation ORL. Le médecin, grâce à un miroir laryngé ou un fibroscope, peut alors identifier un objet localisé à la face postérieure du voile du palais ou à la base de langue et le retirer avec une pince coudée.
Si le patient vient consulter aux urgences, c’est qu’il sent encore sa présence. Il peut dire s’il est à droite ou à gauche, mais sa position en hauteur est imprécise : il a par exemple l’impression que l’arête est à la base du cou alors qu’elle est dans une amygdale palatine.
Avec une lampe frontale et un abaisse-langue, il faut examiner attentivement l’oropharynx. Si le corps étranger est repéré, il est facile à extraire avec une pince de Lubet Barbon ou de Magill tenue dans la main libre. Le soulagement est immédiat. S’il n’est pas visible, le patient doit être adressé en consultation ORL. Le médecin, grâce à un miroir laryngé ou un fibroscope, peut alors identifier un objet localisé à la face postérieure du voile du palais ou à la base de langue et le retirer avec une pince coudée.
Au niveau des oreilles
Cette localisation concerne les jeunes enfants. Le diagnostic est fait à l’occasion d’une otoscopie si aucun adulte n’a assisté à l’incident. L’extraction n’est pas urgente, sauf en cas d’insecte (le bruit est insupportable) ou de mini-pile (en contact avec l’eau, une nécrose du conduit auditif externe est possible).2 Les grains de sable et les petits morceaux de cheveux (après une coupe) s’éliminent spontanément ; les autres objets situés dans le conduit auditif externe sont retirés à la pince ou au crochet, sous contrôle de la vue, avec un bon éclairage (idéalement sous microscope).
Lire aussi | Corps étranger dans les fosses nasales : que faire ?
Dans les fosses nasales
Soit le jeune enfant est vu en consultation rapidement car un adulte a assisté à l’incident, soit le diagnostic est posé lors de l’examen des fosses nasales devant une rhinorrhée purulente unilatérale, plus rarement bilatérale, parfois fétide.3
De multiples méthodes d’extraction sont décrites : colle forte (appliquée à l’extrémité d’un stylet qui est enfoncé dans la fosse nasale pour « récupérer » le CE), insufflation par ballon Ambu, baiser parental (sur un enfant assis, informé qu’il va recevoir un « gros baiser » de la part d’un de ses parents : obstruer simultanément la narine libre et souffler brusquement dans sa bouche). Ces trois méthodes ne sont pas conseillées.
La technique la plus sûre est celle effectuée sous contrôle de la vue, avec un bon éclairage : pour un CE plat type morceau de papier, on utilise une pince ; pour les objets ronds comme une perle ou un grain de maïs, un crochet est glissé au-dessus et en arrière du CE afin de le ramener vers l’avant.
L’extraction d’une pile bouton est une urgence car en milieu humide elle provoque rapidement une nécrose des parois avec un risque de synéchies ou de perforation de la cloison nasale.
De multiples méthodes d’extraction sont décrites : colle forte (appliquée à l’extrémité d’un stylet qui est enfoncé dans la fosse nasale pour « récupérer » le CE), insufflation par ballon Ambu, baiser parental (sur un enfant assis, informé qu’il va recevoir un « gros baiser » de la part d’un de ses parents : obstruer simultanément la narine libre et souffler brusquement dans sa bouche). Ces trois méthodes ne sont pas conseillées.
La technique la plus sûre est celle effectuée sous contrôle de la vue, avec un bon éclairage : pour un CE plat type morceau de papier, on utilise une pince ; pour les objets ronds comme une perle ou un grain de maïs, un crochet est glissé au-dessus et en arrière du CE afin de le ramener vers l’avant.
L’extraction d’une pile bouton est une urgence car en milieu humide elle provoque rapidement une nécrose des parois avec un risque de synéchies ou de perforation de la cloison nasale.
Lire aussi | Ingestion de pile bouton : conduite à tenir
Larynx, trachée, bronches
Les accidents surviennent le plus souvent chez les moins de 4 ans, et surtout chez les garçons. Le tableau le plus grave est celui d’une asphyxie aiguë, lorsque l’enfant est en train de manger ou de jouer avec de petits objets. La manœuvre de Heimlich, en augmentant la pression dans les voies aériennes au-delà du CE, facilite efficacement son expulsion et sauve la vie du sujet.4
Si l’enfant arrive aux urgences cyanosé, la conscience altérée, et que les parents décrivent un syndrome de pénétration, il faut le conduire d’emblée au bloc opératoire ou en salle de déchocage (fig. 1 ). Si un CE sus-laryngé ou sous-glottique est visible à l’exposition de la glotte, il est retiré avec une pince de Magill. Dans le cas contraire, il faut intuber l’enfant et le ventiler. En effet, la sonde refoule vers la carène (plus large que la trachée) un ce trachéal et facilite l’oxygénation. En cas de localisation bronchique, l’apport supplémentaire d’oxygène permet d’attendre quelques minutes, afin d’organiser la bronchoscopie sous anesthésie générale.
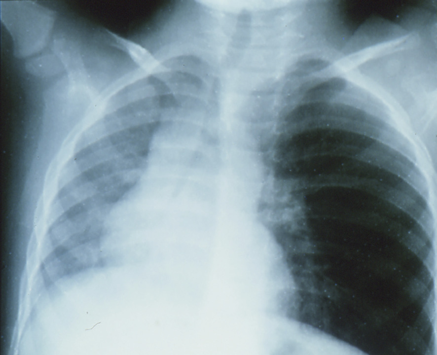
Si l’enfant après une période de toux brutale et de gêne respiratoire (syndrome de pénétration) respire à nouveau normalement, il faut néanmoins qu’il soit examiné : auscultation pulmonaire et radiographies du thorax en expiration et en inspiration (fig. 2 ).
En cas d’anomalie, une fibroscopie laryngotrachéale est réalisée en urgence, sous anesthésie locale, suivie, en cas de visualisation de corps étranger, d’une bronchoscopie.5
Des examens normaux n’éliminent pas formellement une localisation bronchique, qui peut causer une pneumopathie et éventuellement une dilatation des bronches. Ainsi, lorsque les parents décrivent un syndrome de pénétration, il faut faire une fibroscopie (sans urgence), chez un enfant à jeun. L’extraction est réalisée sous anesthésie générale.
Après ablation d’un corps étranger inerte, les suites sont simples. En revan- che, s’il est organique, en particulier un oléagineux (cacahuète, noisette…), une infection de l’arbre trachéobronchique peut survenir très rapidement, ce qui impose un traitement par kinésithé- rapie respiratoire (1 séance/j pendant 5 jours) et antibiothérapie per os : amo- xicilline-acide clavulanique pendant 7 jours.
Si l’enfant arrive aux urgences cyanosé, la conscience altérée, et que les parents décrivent un syndrome de pénétration, il faut le conduire d’emblée au bloc opératoire ou en salle de déchocage (
Si l’enfant après une période de toux brutale et de gêne respiratoire (syndrome de pénétration) respire à nouveau normalement, il faut néanmoins qu’il soit examiné : auscultation pulmonaire et radiographies du thorax en expiration et en inspiration (
En cas d’anomalie, une fibroscopie laryngotrachéale est réalisée en urgence, sous anesthésie locale, suivie, en cas de visualisation de corps étranger, d’une bronchoscopie.5
Des examens normaux n’éliminent pas formellement une localisation bronchique, qui peut causer une pneumopathie et éventuellement une dilatation des bronches. Ainsi, lorsque les parents décrivent un syndrome de pénétration, il faut faire une fibroscopie (sans urgence), chez un enfant à jeun. L’extraction est réalisée sous anesthésie générale.
Après ablation d’un corps étranger inerte, les suites sont simples. En revan- che, s’il est organique, en particulier un oléagineux (cacahuète, noisette…), une infection de l’arbre trachéobronchique peut survenir très rapidement, ce qui impose un traitement par kinésithé- rapie respiratoire (1 séance/j pendant 5 jours) et antibiothérapie per os : amo- xicilline-acide clavulanique pendant 7 jours.
Références
1. Kim SY, Park B, Kong IG, Choi HG. Analysis of ingested foreign bodies according to age, type and location: a retrospective observational study. Clin Otolaryngol 2016;41:640-5.
2. Dubois M, François M, Hamrioui R. Corps étrangers de l’oreille : à propos d’une série de 40 cas. Arch Pediatr 1998;5:970-3.
3. Regonne PE, Ndiaye M, Sy A, Diandy Y, Diop AD, Diallo BK. Nasal foreign bodies in children in a pediatric hospital in Senegal: A three-year assessment. Eur Ann Otorhinolaryngol Head Neck Dis 2017;134:361-4.
4. Baram A, Sherzad H, Saeed S, Kakamad FH, Hamawandi AMH. Tracheobronchial foreign bodies in children: the role of emergency rigid bronchoscopy. Glob Pediatr Health 2017;4:1-6.
5. François M. Détresse respiratoire aiguë, corps étrangers des voies aériennes supérieures. In: Bellaïche M. Pédiatrie. Paris: Vernarzobres-Greco; 2014: 485-99.
2. Dubois M, François M, Hamrioui R. Corps étrangers de l’oreille : à propos d’une série de 40 cas. Arch Pediatr 1998;5:970-3.
3. Regonne PE, Ndiaye M, Sy A, Diandy Y, Diop AD, Diallo BK. Nasal foreign bodies in children in a pediatric hospital in Senegal: A three-year assessment. Eur Ann Otorhinolaryngol Head Neck Dis 2017;134:361-4.
4. Baram A, Sherzad H, Saeed S, Kakamad FH, Hamawandi AMH. Tracheobronchial foreign bodies in children: the role of emergency rigid bronchoscopy. Glob Pediatr Health 2017;4:1-6.
5. François M. Détresse respiratoire aiguë, corps étrangers des voies aériennes supérieures. In: Bellaïche M. Pédiatrie. Paris: Vernarzobres-Greco; 2014: 485-99.