Y penser lors d’une douleur de hanche chez le sujet jeune.
Les douleurs inguinales sont un problème fréquent chez les adultes jeunes, souvent sportifs. Une des causes1 est le conflit fémoro-acétabulaire, responsable d’arthrose précoce.2 Initia-lement décrit par un Français, il a été redécouvert grâce aux travaux d’un chirurgien orthopédique suisse, le Pr Reinhold Ganz.
Conflit dynamique
Reinhold Ganz le décrit comme un contact anormal et répété entre le col du fémur et le rebord acétabulaire, avec pour conséquence des lésions cartilagineuses et du labrum (joint circonférentiel bordant l’acétabulum). L’anomalie initiale est soit une « bosse » du col fémoral (« effet came » : 48 %) [fig. 1], soit un cotyle trop couvrant (« effet tenaille » : 7 % des cas isolés) ou une combinaison des deux (45 %)3 [fig. 2].
Ces déformations siègent le plus souvent dans la zone articulaire antérieure. Les lésions postérieures sont généralement secondaires au contrecoup (fig. 2B) car les structures capsulo-ligamentaires (capsule, ligament pubofémoral et iliofémoral, ligament rond) empêchent l’extension au-delà de 15 à 20°.1 En flexion/rotation de hanche, les cisaillements réitérés sont à l’origine de lésions labrales et de décollements cartilagineux (clapets) dans 90 % des cas.3
L’étiologie du trouble primaire est mal connue. Des chocs répétés entre épiphyse fémorale supérieure et rebord acétabulaire seraient en cause chez l’adolescent sportif. Le seuil d’activité physique critique n’est pas connu. Toutefois, on rapporte très peu de ces conflits osseux chez des enfants de moins de 13 ans. Il n’y a par ailleurs aucune preuve d’une transmission génétique.3
Des pathologies articulaires de hanche pourraient en être responsables : séquelles d’épiphysiolyse, d’ostéochondrite ou de traumatismes pour l’effet came ; coxa profonda, rétroversion acétabulaire, inclinaison pelvienne antérieure trop importante pour l’effet tenaille.
La prévalence dans la population générale asymptomatique va de 5 à 32 % (15 % en moyenne) et le ratio homme/femme est de 1. Comme seulement 3 % des jeunes adultes se plaignent de douleurs de hanche, cette entité n’est pas forcément pathologique mais à considérer comme variante anatomique. Son dépistage n’est donc pas recommandé.
Les conflits par effet came affectent plus souvent les hommes sportifs de 20 à 35 ans adeptes de sports à fort impact (arts martiaux, football, rugby, escrime, etc.). Ceux par effet pince concernent plus volontiers les femmes de 30 à 40 ans pratiquant la danse, la gymnastique, le yoga ou l’aérobic.
Ces déformations siègent le plus souvent dans la zone articulaire antérieure. Les lésions postérieures sont généralement secondaires au contrecoup (fig. 2B) car les structures capsulo-ligamentaires (capsule, ligament pubofémoral et iliofémoral, ligament rond) empêchent l’extension au-delà de 15 à 20°.1 En flexion/rotation de hanche, les cisaillements réitérés sont à l’origine de lésions labrales et de décollements cartilagineux (clapets) dans 90 % des cas.3
L’étiologie du trouble primaire est mal connue. Des chocs répétés entre épiphyse fémorale supérieure et rebord acétabulaire seraient en cause chez l’adolescent sportif. Le seuil d’activité physique critique n’est pas connu. Toutefois, on rapporte très peu de ces conflits osseux chez des enfants de moins de 13 ans. Il n’y a par ailleurs aucune preuve d’une transmission génétique.3
Des pathologies articulaires de hanche pourraient en être responsables : séquelles d’épiphysiolyse, d’ostéochondrite ou de traumatismes pour l’effet came ; coxa profonda, rétroversion acétabulaire, inclinaison pelvienne antérieure trop importante pour l’effet tenaille.
La prévalence dans la population générale asymptomatique va de 5 à 32 % (15 % en moyenne) et le ratio homme/femme est de 1. Comme seulement 3 % des jeunes adultes se plaignent de douleurs de hanche, cette entité n’est pas forcément pathologique mais à considérer comme variante anatomique. Son dépistage n’est donc pas recommandé.
Les conflits par effet came affectent plus souvent les hommes sportifs de 20 à 35 ans adeptes de sports à fort impact (arts martiaux, football, rugby, escrime, etc.). Ceux par effet pince concernent plus volontiers les femmes de 30 à 40 ans pratiquant la danse, la gymnastique, le yoga ou l’aérobic.
Bilan ciblé
La découverte radiographique fortuite d’un vice architectural de la hanche ne permet pas de poser le diagnostic. Une douleur inguinale comme principal symptôme est indispensable. Les autres signes sont un claquement de hanche, un dérobement ou une perte d’amplitude articulaire. L’interrogatoire recherche des problèmes de hanche dans l’enfance ou des antécédents familiaux, et la pratique de sports à risque associant grande amplitude de hanche (flexion, rotation) et micro- traumatismes.
À l’examen dynamique, on réveille la douleur en flexion-adduction-rotation interne (test FADRI). Elle est moins spécifique en flexion-abduction-rotation externe (test FABER). Classiquement inguinale, plus rarement trochantérienne ou fessière, elle irradie volontiers à la cuisse. Un blocage ou un claquement évoquent une lésion du labrum.
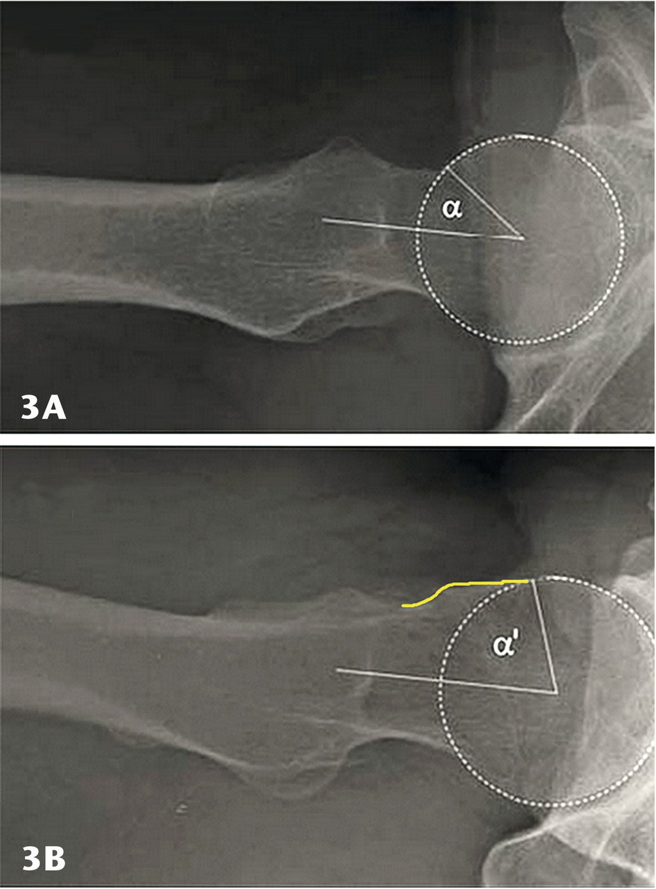
Les radios standard comportent des clichés du bassin, face et profil (bassin de face debout en charge). On peut voir un effet pince avec une éventuelle rétroversion acétabulaire, une coxa profunda avec protrusion acétabulaire. L’effet came est recherché en incidence spécifique : le profil de Dunn à 45°. Il déroule le col fémoral pour mettre en évidence sa « bosse » et la perte de sphéricité de la tête (fig. 3). On peut ainsi calculer l’angle alpha, norma-lement inférieur à 50°. Au-delà de 50°, il y a conflit par effet came.
L’association de symptômes douloureux et de radiographies évocatrices confirme le diagnostic. Une imagerie en coupes et injectée (arthroscanner ou arthro-IRM) précise les lésions cartilagineuses et labrales. Une reconstruction 3D montre la bosse fémorale en vue d’une éventuelle résection (fig. 1).
À l’examen dynamique, on réveille la douleur en flexion-adduction-rotation interne (test FADRI). Elle est moins spécifique en flexion-abduction-rotation externe (test FABER). Classiquement inguinale, plus rarement trochantérienne ou fessière, elle irradie volontiers à la cuisse. Un blocage ou un claquement évoquent une lésion du labrum.
Les radios standard comportent des clichés du bassin, face et profil (bassin de face debout en charge). On peut voir un effet pince avec une éventuelle rétroversion acétabulaire, une coxa profunda avec protrusion acétabulaire. L’effet came est recherché en incidence spécifique : le profil de Dunn à 45°. Il déroule le col fémoral pour mettre en évidence sa « bosse » et la perte de sphéricité de la tête (fig. 3). On peut ainsi calculer l’angle alpha, norma-lement inférieur à 50°. Au-delà de 50°, il y a conflit par effet came.
L’association de symptômes douloureux et de radiographies évocatrices confirme le diagnostic. Une imagerie en coupes et injectée (arthroscanner ou arthro-IRM) précise les lésions cartilagineuses et labrales. Une reconstruction 3D montre la bosse fémorale en vue d’une éventuelle résection (fig. 1).
Traitement
Il est médical dans un premier temps. L’activité physique doit être adaptée, voire arrêtée temporairement. Antalgiques et AINS permettent de passer le cap douloureux. La kinésithérapie corrige d’éventuels déséquilibres musculaires de la hanche et du rachis. Les étirements en amplitude maximale sont déconseillés.
En cas d’échec, une infiltration intra-articulaire de dérivés cortisoniques sous contrôle radiologique peut être envisagée. Son but est plus diagnostique (orientant alors vers une origine intra-articulaire) que thérapeutique. Le soulagement est modéré et surtout très variable (elle ne traite pas la cause).4 De plus, cela risque de masquer les symptômes et leur aggravation vers l’arthrose.
Si les douleurs persistent malgré un traitement médical bien conduit, l’intervention chirurgicale soulage les patients en corrigeant les vices architecturaux. Sous arthroscopie, en ambulatoire, elle consiste à réséquer la « bosse » du col fémoral et à fraiser le toit du cotyle s’il est trop couvrant (fig. 4). Les lésions du labrum et du cartilage sont traitées dans le même temps (suture du labrum ou résection, résection des clapets cartilagineux, microfractures, greffe des zones dépourvues de cartilage, etc.). L’appui est autorisé d’emblée en postopératoire, éventuellement avec des cannes-béquilles pendant 15 jours. Un AINS évite la formation de calcifications. La kinésithérapie entretient les amplitudes articulaires afin d’éviter des adhérences responsables de raideur articulaire.
L’efficacité à court terme sur la symptomatologie est bonne, avec plus de 80 % de bons ou de très bons résultats.5 Les études à moyen terme sont plus rares mais tendent à en confirmer la stabilité. La majorité des patients reprennent leur activité physique antérieure dans un délai de 2 à 3 mois. À long terme, on espère ralentir l’évolution vers l’arthrose, mais on manque de recul à l’heure actuelle.
Le traitement chirurgical est d’autant plus efficace qu’il n’y a pas d’arthrose préopératoire. Si celle-ci est avérée ou chez les sujets > 55 ans, il faut envisager une arthroplastie avec prothèse totale de hanche.
En cas d’échec, une infiltration intra-articulaire de dérivés cortisoniques sous contrôle radiologique peut être envisagée. Son but est plus diagnostique (orientant alors vers une origine intra-articulaire) que thérapeutique. Le soulagement est modéré et surtout très variable (elle ne traite pas la cause).4 De plus, cela risque de masquer les symptômes et leur aggravation vers l’arthrose.
Si les douleurs persistent malgré un traitement médical bien conduit, l’intervention chirurgicale soulage les patients en corrigeant les vices architecturaux. Sous arthroscopie, en ambulatoire, elle consiste à réséquer la « bosse » du col fémoral et à fraiser le toit du cotyle s’il est trop couvrant (fig. 4). Les lésions du labrum et du cartilage sont traitées dans le même temps (suture du labrum ou résection, résection des clapets cartilagineux, microfractures, greffe des zones dépourvues de cartilage, etc.). L’appui est autorisé d’emblée en postopératoire, éventuellement avec des cannes-béquilles pendant 15 jours. Un AINS évite la formation de calcifications. La kinésithérapie entretient les amplitudes articulaires afin d’éviter des adhérences responsables de raideur articulaire.
L’efficacité à court terme sur la symptomatologie est bonne, avec plus de 80 % de bons ou de très bons résultats.5 Les études à moyen terme sont plus rares mais tendent à en confirmer la stabilité. La majorité des patients reprennent leur activité physique antérieure dans un délai de 2 à 3 mois. À long terme, on espère ralentir l’évolution vers l’arthrose, mais on manque de recul à l’heure actuelle.
Le traitement chirurgical est d’autant plus efficace qu’il n’y a pas d’arthrose préopératoire. Si celle-ci est avérée ou chez les sujets > 55 ans, il faut envisager une arthroplastie avec prothèse totale de hanche.
références
1. May O., Krantz N. Le conflit fémoro-acétabulaire : physiopathologie et diagnostic. In: L’arthro-scopie. Paris: Elsevier-Masson; 2015.
2. Zhang C, Li L, Forster BB, et al. Le conflit fémoro-acétabulaire et la coxarthrose. Can Fam Physician 2015;61:e535-e41.
3. Clohisy JC, Baca G, Beaulé PE, et al. Descriptive epidemiology of femoroacetabular impingement: a North American cohort of patients undergoing surgery. Am J Sports Med 2013;41:1348-56.
4. Krych AJ, Griffith TB, Hudgens JL, Kuzma SA, Sierra RJ, Levy BA. Limited therapeutic benefits of intra-articular cortisone injection for patients with femoro-acetabular impingement and labral tear. Knee Surg Sports Traumatol Arthrosc 2014;22: 750-5.
5. Gédouin JE, Bonin N. Conflit fémoro-acétabulaire Traitement, indications et résultats. In: L’arthro- scopie. Paris: Elsevier-Masson; 2015.
Pour plus d’informations : http://bit.ly/2CUuyzq
2. Zhang C, Li L, Forster BB, et al. Le conflit fémoro-acétabulaire et la coxarthrose. Can Fam Physician 2015;61:e535-e41.
3. Clohisy JC, Baca G, Beaulé PE, et al. Descriptive epidemiology of femoroacetabular impingement: a North American cohort of patients undergoing surgery. Am J Sports Med 2013;41:1348-56.
4. Krych AJ, Griffith TB, Hudgens JL, Kuzma SA, Sierra RJ, Levy BA. Limited therapeutic benefits of intra-articular cortisone injection for patients with femoro-acetabular impingement and labral tear. Knee Surg Sports Traumatol Arthrosc 2014;22: 750-5.
5. Gédouin JE, Bonin N. Conflit fémoro-acétabulaire Traitement, indications et résultats. In: L’arthro- scopie. Paris: Elsevier-Masson; 2015.
Pour plus d’informations : http://bit.ly/2CUuyzq