La prescription doit mentionner un bref résumé de l’histoire clinique, l’absence de contre-indication (insuffisance rénale sévère, antécédent de réaction allergique avérée au produit de contraste) et formuler des hypothèses diagnostiques. Un Guide du bon usage des examens d’imagerie médicale est disponible en ligne (http://gbu.radiologie.fr/). L’irradiation est moindre avec les scanners de dernière génération, mais il faut s’assurer de l’absence de grossesse chez les femmes en âge de procréer.
Le protocole (± injection, temps d’acquisition) est déterminé par le radiologue. Au scanner sans injection on cherche des anomalies spontanément denses (calculs, calcifications, sang frais). Cette image sert de référence pour l’étude de la cinétique du rehaussement après injection. Le temps artériel sera réalisé, par exemple, dans la pathologie hépatique pour caractériser un nodule. Au temps portal (75 à 90 s), les parenchymes sont rehaussés de façon homogène, tout comme le réseau veineux mésentérique et porte.
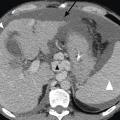
Si le médecin prescrit, c’est le radiologue qui interprète. Cela nécessite une connaissance de l’anatomie radiologique des différents organes (fig. 1 ).
Le compte-rendu doit être le plus clair et synthétique possible, orienté par l’indication. La conclusion doit répondre à la question initiale. Parfois, l’examen est insuffisant pour porter un diagnostic précis, il faut alors émettre des hypothèses en donnant brièvement les arguments. Enfin, une conduite à tenir est suggérée : à compléter par un autre examen (IRM, endoscopie, histologie), à recontrôler ou non, nécessite un avis spécialisé…
Le protocole (± injection, temps d’acquisition) est déterminé par le radiologue. Au scanner sans injection on cherche des anomalies spontanément denses (calculs, calcifications, sang frais). Cette image sert de référence pour l’étude de la cinétique du rehaussement après injection. Le temps artériel sera réalisé, par exemple, dans la pathologie hépatique pour caractériser un nodule. Au temps portal (75 à 90 s), les parenchymes sont rehaussés de façon homogène, tout comme le réseau veineux mésentérique et porte.
Si le médecin prescrit, c’est le radiologue qui interprète. Cela nécessite une connaissance de l’anatomie radiologique des différents organes (
Le compte-rendu doit être le plus clair et synthétique possible, orienté par l’indication. La conclusion doit répondre à la question initiale. Parfois, l’examen est insuffisant pour porter un diagnostic précis, il faut alors émettre des hypothèses en donnant brièvement les arguments. Enfin, une conduite à tenir est suggérée : à compléter par un autre examen (IRM, endoscopie, histologie), à recontrôler ou non, nécessite un avis spécialisé…
Analyse : systématique
On évalue la morphologie du foie. Lorsqu’il est dysmorphique dans un contexte d’hépatopathie chronique, certains de ses segments ont tendance à s’atrophier (IV) et d’autres à s’hypertrophier (I) ; les contours sont volontiers irréguliers.
Ensuite, on analyse le parenchyme, pour identifier d’éventuels nodules. On étudie les vaisseaux hépatiques (veines porte, sus-hépatiques et artères), les voies biliaires et la vésicule.
On note la morphologie du pancréas (trophicité, lobulations). Des calcifications évoquent une pancréatite chronique calcifiante. Si le canal de Wirsung est dilaté, on recherche une masse intra- pancréatique obstructive (adénocarcinome). La graisse péripancréatique est infiltrée (plus dense) lors d’une pancréatite aiguë.
La rate peut être hypertrophiée (splénomégalie). Il faut identifier des signes d’orientation étiologique : adénopathies pour un lymphome, présence de voies de dérivation porto-systémiques pour l’hypertension portale. Les lésions focales intraspléniques sont le plus souvent bénignes.
Le scanner est particulièrement adapté à l’étude de l’appareil urinaire. Dans un bilan de colique néphrétique, un examen sans injection, basse dose, est suffisant (l’uroscanner n’est pas nécessaire). Les calculs rénaux, hyperdenses, sont aisément détectés.
L’injection sert à caractériser les nodules. Au temps tardif, on peut étudier les cavités excrétrices, les uretères et la vessie. Au pôle supérieur des reins, un nodule au niveau des surrénales est un incidentalome dans la majorité des cas. Le diagnostic d’adénome est fait sur la mesure de densité (< 10 UH) au scanner sans injection. La surrénale peut être le siège de métastases, notamment d’origine pulmonaire.
Les vaisseaux et surtout l’aorte ne doivent pas être négligés : athéromatose (stade de sévérité), plaques ulcérées, anévrisme. Les veines cave inférieure et iliaques, sièges d’artéfacts de flux, sont difficilement analysables au temps portal.
Le tube digestif doit être soigneusement étudié, mais il faut être prudent dans la description d’épaississements pariétaux au niveau de l’estomac et du côlon qui ne sont pas distendus. Ce dernier se repère aisément : situé en position périphérique, il forme un cadre dans l’abdomen. Les parties ascendante et descendante sont les structures les plus postérieures en intrapéritonéal ; le côlon transverse a une topographie antérieure. À la différence du grêle, il est pourvu d’haustrations, le diamètre est plus large, son contenu est souvent aérique avec un granité fécal. Le grêle, de topographie plutôt centrale, est souvent plat ou contient un peu de liquide mais peu ou pas d’air. Son diamètre est inférieur à 25 mm : si ce n’est pas le cas, il faut rechercher un obstacle responsable de cette occlusion. On analyse également l’épaisseur de la paroi, son rehaussement et la graisse mésentérique adjacente.
Les feuillets péritonéaux ne sont pas visibles au scanner. Une prise de contraste est observée en cas de carcinose péritonéale (ascite, nodules péritonéaux, infiltration nodulaire du grand omentum), tuberculose péritonéale, péritonite.
Un épanchement intra-abdominal doit être systématiquement recherché (une lame chez une femme en âge de procréer est considérée comme physiologique).
Pour le pelvis féminin, le scanner est peu performant. L’imagerie de première intention est l’échographie.
Les aires ganglionnaires rétropéritonéales, iliaques et cœlio-mésentériques sont explorées à la recherche d’adénopathie. La taille est un critère important, mais la morphologie d’un ganglion l’est tout autant : perte du hile graisseux, forme ronde, contours irréguliers et nécrose centrale sont des signes pathologiques.
Enfin, on regarde les bases pulmonaires (nodule ? pneumopathie ?) et les structures osseuses. Des remaniements dégénératifs du rachis sont fréquents chez le sujet âgé. Dans les suivis oncologiques, on s’attache à détecter des lésions osseuses secondaires et une épidurite.
Ensuite, on analyse le parenchyme, pour identifier d’éventuels nodules. On étudie les vaisseaux hépatiques (veines porte, sus-hépatiques et artères), les voies biliaires et la vésicule.
On note la morphologie du pancréas (trophicité, lobulations). Des calcifications évoquent une pancréatite chronique calcifiante. Si le canal de Wirsung est dilaté, on recherche une masse intra- pancréatique obstructive (adénocarcinome). La graisse péripancréatique est infiltrée (plus dense) lors d’une pancréatite aiguë.
La rate peut être hypertrophiée (splénomégalie). Il faut identifier des signes d’orientation étiologique : adénopathies pour un lymphome, présence de voies de dérivation porto-systémiques pour l’hypertension portale. Les lésions focales intraspléniques sont le plus souvent bénignes.
Le scanner est particulièrement adapté à l’étude de l’appareil urinaire. Dans un bilan de colique néphrétique, un examen sans injection, basse dose, est suffisant (l’uroscanner n’est pas nécessaire). Les calculs rénaux, hyperdenses, sont aisément détectés.
L’injection sert à caractériser les nodules. Au temps tardif, on peut étudier les cavités excrétrices, les uretères et la vessie. Au pôle supérieur des reins, un nodule au niveau des surrénales est un incidentalome dans la majorité des cas. Le diagnostic d’adénome est fait sur la mesure de densité (< 10 UH) au scanner sans injection. La surrénale peut être le siège de métastases, notamment d’origine pulmonaire.
Les vaisseaux et surtout l’aorte ne doivent pas être négligés : athéromatose (stade de sévérité), plaques ulcérées, anévrisme. Les veines cave inférieure et iliaques, sièges d’artéfacts de flux, sont difficilement analysables au temps portal.
Le tube digestif doit être soigneusement étudié, mais il faut être prudent dans la description d’épaississements pariétaux au niveau de l’estomac et du côlon qui ne sont pas distendus. Ce dernier se repère aisément : situé en position périphérique, il forme un cadre dans l’abdomen. Les parties ascendante et descendante sont les structures les plus postérieures en intrapéritonéal ; le côlon transverse a une topographie antérieure. À la différence du grêle, il est pourvu d’haustrations, le diamètre est plus large, son contenu est souvent aérique avec un granité fécal. Le grêle, de topographie plutôt centrale, est souvent plat ou contient un peu de liquide mais peu ou pas d’air. Son diamètre est inférieur à 25 mm : si ce n’est pas le cas, il faut rechercher un obstacle responsable de cette occlusion. On analyse également l’épaisseur de la paroi, son rehaussement et la graisse mésentérique adjacente.
Les feuillets péritonéaux ne sont pas visibles au scanner. Une prise de contraste est observée en cas de carcinose péritonéale (ascite, nodules péritonéaux, infiltration nodulaire du grand omentum), tuberculose péritonéale, péritonite.
Un épanchement intra-abdominal doit être systématiquement recherché (une lame chez une femme en âge de procréer est considérée comme physiologique).
Pour le pelvis féminin, le scanner est peu performant. L’imagerie de première intention est l’échographie.
Les aires ganglionnaires rétropéritonéales, iliaques et cœlio-mésentériques sont explorées à la recherche d’adénopathie. La taille est un critère important, mais la morphologie d’un ganglion l’est tout autant : perte du hile graisseux, forme ronde, contours irréguliers et nécrose centrale sont des signes pathologiques.
Enfin, on regarde les bases pulmonaires (nodule ? pneumopathie ?) et les structures osseuses. Des remaniements dégénératifs du rachis sont fréquents chez le sujet âgé. Dans les suivis oncologiques, on s’attache à détecter des lésions osseuses secondaires et une épidurite.
Lire aussi | Douleur thoracique stable : le coroscanner d’abord
Vignettes cliniques
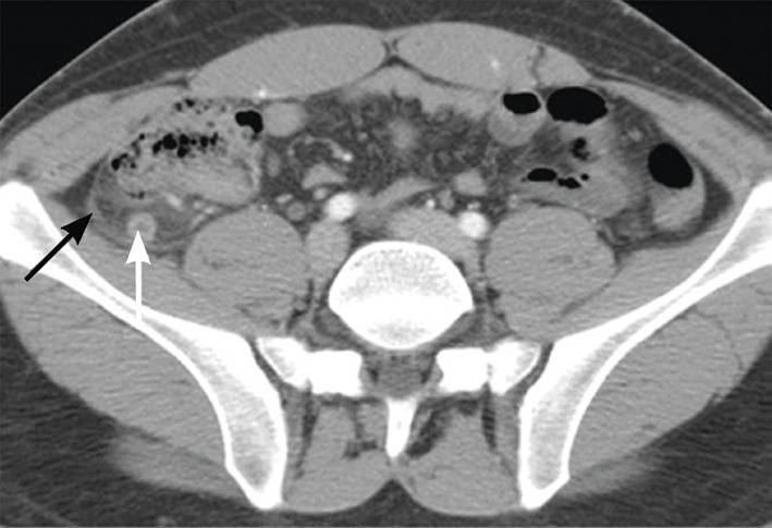
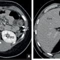
Un patient de 25 ans consulte pour des douleurs abdominales de la fosse iliaque droite. Pas de fièvre, CRP à 15. L’échographie abdominale est normale mais l’appendice n’est pas visible. Le scanner avec injection met en évidence, au temps portal, en arrière du cæcum, une structure tubulée borgne correspondant à l’appendice tuméfié, à paroi épaissie, intensément rehaussé (fig. 2 ; flèche blanche) avec infiltration de la graisse péri-appendiculaire (flèche noire). Le diagnostic d’appendicite aiguë rétro- cæcale est posé. L’échographie a été prise à défaut par la topographie atypique.
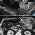
Un homme de 68 ans se plaint d’une altération de l’état général avec troubles du transit d’apparition récente et douleurs abdominales. Le scanner avec injection au temps portal montre un épaississement pariétal marqué du côlon transverse circonférentiel, bourgeonnant, avec contours irréguliers (fig. 3 ; flèches blanches). La graisse du méso est infiltrée au contact. On pose le diagnostic de cancer colique. La biopsie faite lors de la coloscopie le confirme : c’est un adénocarcinome.
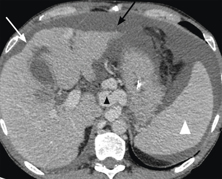
Un patient de 60 ans, éthylique chronique, vient pour amaigrissement et fatigue avec vomissements et distension abdominale. Le scanner au temps portal révèle une dysmorphie hépatique (contours bosselés) liée à une hépatopathie chronique (fig. 4 ; flèche blanche). S’y associent une ascite abondante (flèche noire), des voies de dérivation veineuse (tête de flèche noire) et une splénomégalie (tête de flèche blanche), traduisant une hypertension portale décompensée.
Un homme de 68 ans se plaint d’une altération de l’état général avec troubles du transit d’apparition récente et douleurs abdominales. Le scanner avec injection au temps portal montre un épaississement pariétal marqué du côlon transverse circonférentiel, bourgeonnant, avec contours irréguliers (
Un patient de 60 ans, éthylique chronique, vient pour amaigrissement et fatigue avec vomissements et distension abdominale. Le scanner au temps portal révèle une dysmorphie hépatique (contours bosselés) liée à une hépatopathie chronique (